缺血性心肌病
缺血性心肌病(ischemic cardiomyopathy,ICM)是指由于长期心肌缺血导致心肌局限性或弥漫性纤维化,从而产生心脏收缩和(或)舒张功能受损,引起心脏扩大或僵硬、充血性心力衰竭、心律失常等一系列临床表现的临床综合征。1970年,Raftery和Burch研究指出心肌缺血能导致心肌弥散性纤维化,继而产生一种与原发性充血性心肌病不易区别的临床综合征。
简介[编辑 | 编辑源代码]
缺血性心肌病是冠心病外科治疗中的一个棘手问题。因为这类心肌病大多是由于冠状动脉多支病变 ,甚
至是弥漫性病变引起的心肌广泛缺血、变性、坏死和纤维化 ,另外还掺杂有心肌顿抑和冬眠心肌 ,从而导致严重心肌功能失常、心脏呈球形扩大和 (或 )心力衰竭。缺血性心脏病包括粥样硬化病变引致的冠状动脉梗阻或狭窄。心肌缺血引致的左心室室壁瘤,心肌栓塞后心室间隔缺损和乳头肌缺血引起的二尖瓣关闭不全,是中老年常见多发的后天性心脏病。
Burch等在1970年描述了在某些冠心病病人中,由于心肌缺血引起心肌弥漫性纤维化,产生了一些类似于扩张型心肌病样的表现,并将这一系列临床综合征命名为缺血性心肌病。
1984年Pantely等将ICM定义为在排除了如室壁瘤室间隔穿孔、二尖瓣反流等结构性异常以后,由于收缩功能降低和(或)舒张功能改变引起的急性或慢性心室功能损害于1986年提出ICM主要是指由于冠状动脉疾病引起的,表现为充血性心力衰竭的综合征,也称为充血型缺血性心肌病。1995年WHO/ISCF对ICM的定义为:表现为扩张型心肌病伴收缩功能损害其临床表现不能完全用冠状动脉病变和缺血的严重程度来解释者。从ICM的定义可以看出,该病是由于心肌长期缺血引起的故其发病与冠心病有着密切联系。
流行趋势[编辑 | 编辑源代码]
随着中国人民寿命的延长,老年疾病尤其是心血管病的病死率随年龄而增加。有人认为40岁以后明显上升60岁以上每增加10岁,心血管病的病死率则增加1倍左右。由于生活和医疗条件的改善,延长了人均寿命,老年人心血管病的流行情况和心脏病的死因构成也发生了不少变化。据上海老年患者常见死亡病因序列变化表明,20世纪50年代高血压病(包括高血压性心脏病和脑出血)为首位,冠心病据第4位,20世纪60年代高血压、冠心病、风心病分别占第1、第3及第10位,但20世纪70年代后,冠心病死亡仅次于肺炎上升到第二位。从心脏病因和年龄的关系来看,以冠心病增长的最快可能与社会经济、环境因素、生活方式以及冠心病易患因素增加有关。结果还表明死亡年龄段主要集中在中老年,特别是老年后期。如40~49岁、50~59岁、60~69岁及70~79岁心血管病病死率分别为113.8,237.9,433.0和653.2/10万人口,心血管病病死率高峰在70~79岁组为653.2/10万人口。
危险因素[编辑 | 编辑源代码]
综述[编辑 | 编辑源代码]
流行病学研究表明,冠心病是一种受多种因素影响的疾病,据文献报导影响因素共有246种。许多流行病学家将影响冠心病发病的主要危险因素分为:①致动脉粥样硬化的因素,包括高血压、高血
糖、脂肪代谢紊乱以及纤维蛋白原升高;②一些易患冠心病的生活习惯包括过量进食缺乏体力活动、吸烟以及尚有争论的A型性格;③冠状动脉循环受累的临床指征,包括休息或运动或监测时心电图不正常、超声心动图不正常以及心肌灌注不良等。这些指征并非致冠状动脉病变的危险因素,但可预示冠状动脉已有相当程度的病变;④其他先天易患因素如早期患冠心病的家族史。到为止,采用前瞻性观察方法将冠心病的危险因素分为可改变与不可改变2大类,危险因素的概念给预防的理论提供关键性的依据,被公认的一些危险因素包括:
高血压病[编辑 | 编辑源代码]
无论是收缩压或舒张压的增高都会增加冠心病发病的危险。有研究对5222名人群调查结果,高血压组冠心病的患病率比正常血压组高4倍。但在高血压组内年龄在60岁以上冠心病的患病率为60岁以下的2倍。另外,7组国内调查资料表明非高血压组与高血压组冠心病的患病率为1∶2.2~1∶13且都随年龄增大而增高。血压升高是冠心病发病的独立危险因素。血压升高所致动脉粥样硬化所引起的危害,最常见者为冠状动脉硬化,脑动脉粥样硬化和间歇跛行。
高脂血症[编辑 | 编辑源代码]
许多国际流行病学资料证明血脂异常能引起心脏和大血管硬化性心脏病,其中血清总胆固醇水平和冠心病呈正相关。费明汉等冠心病研究的前瞻性研究均提示胆固醇水平在5.2~5.7mmol/L时冠心病的发病相对稳定,但当胆固醇值超过此水平时,冠心病的危险因素随胆固醇浓度的升高而增加中国有1组报道自0~90岁以上,15208名人群血清总胆固醇及5585名高密度脂蛋白胆固醇和三酰甘油的测定结果,表明血脂水平与年龄和性别的分布特征与美国相似,但胆固醇均值较美国为低,总胆固醇和三酰甘油随年龄的增加而升高,60~80岁达顶峰。80岁以后反而有轻度降低的趋势与西方相似。但也有报道老年冠心病与血清胆固醇水平并不平行因而提出老年冠心病患者的降脂治疗似乎无重要意义。国外学者多项研究表明,空腹时三酰甘油水平的升高是男女两性心肌梗死发病的独立危险因素。该项研究观察了6224人,发现冠心病死亡危险随三酰甘油水平升高呈线性升高。三酰甘油、HDL-C和LDL-C对冠心病的发病危险有强的协同作用,TG>200mg/dlLDL-C/HDL-C>5时危险最大,发生急性心肌梗死的可能性比低于此指数者高3.8倍。
吸烟[编辑 | 编辑源代码]
在工业发达国家吸烟被认为是冠心病的独立致病原因吸烟与冠心病发病明显有关,七国研究得出吸烟者患冠心病的可能性比不吸烟者大70%或更多。并认为猝死的危险与每日的吸烟量成正比吸烟量年限、吸入浓度、开始吸烟年龄均与冠心病的危险比值(OR)成剂量反应关系。
饮食[编辑 | 编辑源代码]
无论是流行病学或实验的结果均表明摄入高动物脂肪和高胆固醇与冠心病的发病成正相关。中国内蒙和新疆牧民,食用牛羊肉和奶酪,冠心病的患病率较其他地区明显升高。北京调查1520名年龄65岁以上不同生活情况的老人,发现以脑力劳动为主营养条件较好,比以体力劳动为主营养条件较差者冠心病的患病率高3倍。
肥胖[编辑 | 编辑源代码]
据流行病学调查,在中国大中城市和经济发达地区近10年来超重率大幅度升高,部分地区的中年人超重已达50%,接近西方发达国家。尽管肥胖对65岁以上的人比对65岁以下的人不那么重要,但过度肥胖会增加心脏负担是被肯定的肥胖与高血压、高血脂均密切有关1组调查65岁以上工人149名正常体重组冠心病患病率8.33%,超重组却高达23.08%。
糖尿病[编辑 | 编辑源代码]
20世纪40年代流行病学研究表明,葡萄糖耐量不良是导致动脉粥样硬化,尤其是冠心病的一个独立的强的易患因子。糖尿病作为冠心病的危险因素对两性来说,男性具有较强的发病危险,但经校正年龄和其他危险因素后,女性糖尿病患者冠心病的发病危险明显高于男性,甚至有报道,糖尿病是女性冠心病的独立的危险因素。
性格和社会因素[编辑 | 编辑源代码]
A型性格与冠心病的研究虽然较广泛,但尚不能证明某种性格类型与冠心病和死亡之间有何肯定的相关性美国西部合作研究(WCGS)表明A型性格者冠心病发病率2倍于B型。北美一组研究表明心肌梗死发病率A型性格者较B型者高2~4倍。中国在这方面的研究起步较晚,曾报道对139例经冠状动脉造影确诊的冠心病患者与200例正常人,用填表和谈话方式所取得的数据表明,A型性格的男性冠状动脉病变的相对危险6倍于对照组,女性则为5倍。A型性格者可增加心绞痛和心肌梗死的发病危险且这种危险与患者的文化程度、工作紧张状况以及在政治运动中受冲击的程度有关。
其他因素[编辑 | 编辑源代码]
血中同型半胱胺酸水平增高微量元素缺乏,凝血因子异常,如纤维蛋白原凝血因子Ⅶ和PAI-I抗原活性升高等是动脉血栓形成中的危险因素。新近提出ACE基因插入(缺失)多态基因突变可能是冠心病遗传易患因子。
致病病因[编辑 | 编辑源代码]
基本病因[编辑 | 编辑源代码]
缺血性心肌病的基本病因是冠状动脉动力性和(或)阻力性因素引起的冠状动脉狭窄或闭塞性病变。心脏不同于人体内其他器官,它在基础状态下氧的摄取率大约已占冠状动脉血流输送量的75%,当心肌耗氧量增加时就只能通过增加冠状动脉血流来满足氧耗需求当各种原因导致冠状动脉管腔出现长期的严重狭窄引起局部血流明显减少就会引起心肌缺血。能引起心肌缺血的病因有以下几个方面:
冠状动脉粥样硬化[编辑 | 编辑源代码]
是心肌缺血的常见病因。动脉粥样硬化为动脉壁的细胞、细胞外基质、血液成分、局部血流动力学环境及遗传诸因素间一系列复杂作用的结果流行病学研究表明冠状动脉粥样硬化的发病受多种因素共同作用的影响,其中血压升高、高血糖、高胆固醇血症、纤维蛋白原升高以及吸烟等都是导致动脉粥样硬化的主要危险因素。高热量饮食、肥胖或超重、缺乏体力活动、A型性格以及冠心病的家族史也是易患冠心病的危险因素。
ICM病人,尤其是充血型缺血性心肌病,往往有多支冠状动脉发生显著性粥样硬化性狭窄。有报道在该病病人中3支血管病变以上者占72%,2支血管病变者占27%,单支血管病变者极少见。Atkinson在35例缺血性心肌病尸检结果中发现,平均每例有2支以上冠状动脉狭窄超过75%。其中26例有心肌梗死的证据,9例无心肌梗死的病理表现。而Edward对14例缺血性心肌病患者尸检时发现100%患者均有心肌梗死。正是由于多支冠状动脉严重狭窄引起较大范围心肌发生长期灌注不足,缺血心肌变性、坏死,心肌纤维化,心室壁被大片瘢痕组织代替,心室肥厚、扩大心肌收缩力减退和心室顺应性下降,导致心功能不全。
血栓形成[编辑 | 编辑源代码]
近年来的研究肯定了冠状动脉急性血栓堵塞是导致急性冠脉综合征的主要原因,在动脉粥样硬化斑块的基础上,血栓急性形成,血栓局部的斑块约3/4有破溃及(或)出血。北京阜外医院31例急性心肌梗死病人尸检结果,发现冠状动脉并发新鲜血栓者有21例尸检证明所有血栓均堵塞在冠状动脉大分支近端,贯通性梗死累积范围更广,左心衰竭或心源性休克并发症多见。部分患者血栓可溶解再通,也有少数患者发生血栓机化,造成血管腔持续性的狭窄或闭塞。在急性期恢复后的幸存者中,大多数患者会遗留广泛室壁运动减弱或消失,心室腔明显扩大。
血管炎[编辑 | 编辑源代码]
多种风湿性疾病可以累积冠状动脉发生冠状动脉炎,经反复炎性活动、修复机化可引起冠状动脉管腔狭窄,导致心肌缺血。如系统性红斑狼疮类风湿性关节炎、结节性多动脉炎、病毒性冠状动脉炎等。结节性多动脉炎也称为结节性动脉周围炎,是主要累积中、小动脉的一种坏死性血管炎,病变可呈节段性,好发于动脉分叉处,向下延伸致小动脉,易形成小动脉瘤。大约60%的结节性多动脉炎的患者可发生冠状动脉炎,引起心肌缺血,可诱发心绞痛或心肌梗死,甚至引起缺血性心肌病。
其他[编辑 | 编辑源代码]
能引起慢性心肌缺血的因素还有冠状动脉微血管病变(X综合征)以及冠状动脉结构异常,比如心肌桥。人的冠状动脉主干及其大的分支,主要行走在心包脏层下脂肪组织内或心包脏层的深面。有时它们被浅层心肌所掩盖在心肌内行走一段距离后,又浅出到心肌表面,这段被心肌掩盖的动脉段叫壁冠状动脉,而掩盖冠状动脉的这部分心肌叫心肌桥。当心肌桥收缩时压迫其包围的冠状动脉。可以导致冠状动脉严重狭窄,影响局部心肌供血,造成心肌缺血。另外冠状动脉在体液和神经因素作用下,血管平滑肌反应性异常增强,会出现血管痉挛,尤其是在有动脉粥样硬化时,病变广泛的血管常常表现为舒张反应迟缓,可造成血管舒缩功能失调,导致心肌缺血加重研究发现有很多因素参与了血管平滑肌痉挛收缩的调节,例如肾上腺素α受体激动,局部血小板聚集和释放血栓素A2(TXA2)以及高胆固醇血症或局部粥样硬化病变均可使血管反应性异常麦角新碱是诱发痉挛最有效的药物,而硝酸甘油、钙拮抗药能有效地缓解这一痉挛。
发病机制[编辑 | 编辑源代码]
心肌供氧需氧平衡失调[编辑 | 编辑源代码]
心肌供氧和需氧之间不平衡而导致心肌细胞减少坏死、凋亡、心肌纤维化、心肌瘢痕和心力衰竭。痉挛和毛细血管网的病变引起心肌细胞的减少和坏死可以是心肌梗死的直接后果也可因慢性累积性心肌缺血而造成因此,心室壁上既可以有块状的成片坏死区,也可以有非连续性多发的灶性的心肌损害存在。心肌不停地收缩和舒张活动,心肌需氧量即使在安静状态下,心肌也要从冠状动脉循环中最大限度地摄取75%可利用的氧,而且心肌不能像骨骼肌那样可以进行较长时间的无氧运动,心肌必须有氧呼吸。决定心肌耗氧量的多少取决于以下6个因素:收缩期室壁张力、张力持续时间、心肌收缩力以及基础代谢、电激动和心肌纤维缩短前三者是决定心肌耗氧量多少的决定因素,后三者为次要因素。当左心室收缩压容量和室壁厚度增加,或心率增快心肌收缩力加强时,心肌耗氧量便增加。临床上常用收缩压与心率的“双乘积”作为心肌耗氧量指数当心肌需氧量增加时,只能靠增加冠状动脉血流量来增加氧的摄取量,冠状动脉血流量与灌注压阶差即近端冠状动脉与右心房之间压力差成正比,和冠状动脉阻力成反比。冠状动脉可分为两段,位于心包脏层表面上的一段血管管腔较粗大,主要起传输血流作用,仅产生较小的阻力称为“传输血管”,这部分血管进入心肌后逐渐分支成为较细小的血管直至毛细血管前血管,这部分的血管管径的变化对整个冠脉循环的阻力起着决定性作用,称为“阻力血管”。由于左心室收缩时心肌内的阻力血管受挤压,收缩期流向左心室心肌的血流量仅为舒张期的7%~45%所以当舒张期缩短时,冠脉血流量减少,当冠状动脉血管壁上分布的α受体激动时引起包括主力血管和传输血管在内的冠状动脉收缩,使血流阻力增加而兴奋β受体可因起冠脉舒张,使冠脉血流量增加。
心肌细胞能量代谢障碍[编辑 | 编辑源代码]
心肌能量代谢主要来源于葡萄糖和脂肪酸氧化代谢生成的高能磷酸化合物(三磷腺苷和磷酸肌酸辅助系统),心肌活动所需的能量几乎都是由高能磷酸化合物在线粒体中经氧化代谢产生由于心肌不能合成乳酸糖酵解产生的三磷腺苷不是心肌产能主要途径。但是当心肌缺血缺氧时,糖酵解就成为心肌细胞获取能量的主要来源。这样虽然能使缺血心肌损伤不致迅速恶化但是局部区域的心肌内乳酸合成增加,乳酸堆积。如果心肌持续缺血缺氧,将导致心肌不可逆性的损伤。如果心肌供血突然停止,心肌组织内三磷腺苷及磷酸肌酸水平迅速降低心肌细胞内出现酸中毒,收缩蛋白对钙离子的敏感性降低以及磷酸盐和脂质的堆积,使得心肌舒张和收缩功能障碍立即发生。
缺血对心功能的影响[编辑 | 编辑源代码]
缺血对心室功能的损害可以是急性的、可逆的,也可以是慢性的,或在慢性基础上的急性发作。急性心室功能损害通常由暂时性心肌缺血引起慢性心室功能损害则常由冠状动脉硬化性狭窄造成的散在性或弥漫性心肌纤维化引起。在将近40年的时间里,人们一直相信在严重的心肌缺血后要么发生不可逆的心肌损害要么迅速恢复。然而自20世纪80年代以来,已经明确,在严重但比较短暂(一般不超过20min)的心肌缺血后心肌不会发生永久性损害,收缩期功能经一段时间后可以恢复到正常水平。恢复时间的长短,主要依缺血时间的长短和严重程度而定,可以持续数分钟、数小时或数日,然后完全恢复。这种缺血后的心功能失常叫做“心肌顿抑”。顿抑心肌具有生化改变和形态学异常。当血流阻塞时,心肌中缺血区的ATP浓度迅速减低若缺血15min后恢复灌注,ATP浓度于几天后逐渐增加一周后达到正常水平.
由于心肌缺血,部分心肌细胞坏死丧失收缩能力减退使心排血量和每心搏量减少,心室的舒张末期容量增加。其结果是使收缩期心室收缩时的心室容量也增大,室壁压力增加按照Laplace定律,室壁张力与心室内压力和心室半径成正比,与室壁厚度成反比,心室最初的扩张使心室半径和室壁张力增加但是,在坏死的心肌的愈合过程中非坏死区心室肌可发生进行性肥大代偿心功能的减低。此时心肌细胞肥大使心肌厚度增加,可使室壁张力又恢复正常。在左室发生较大的心肌坏死后,右室会发生心肌肥大。但右室心肌肥大的程度,比发生心肌坏死的左室轻。如果肥大的心肌有足够的血液供应,虽然相当部分的心肌已经丧失了功能,但心脏仍可处于比较稳定的代偿状态。如果冠状动脉病变呈弥漫性,由于慢性缺血的持续存在以及间接或发生的急性缺血的影响。心肌难以维持良好的代偿,使受损或发生坏死的心肌细胞数量逐渐增多。此时肥大的心肌组织也缺少按比例生长的毛细血管网,使心肌缺血进一步加重。缺血的心肌还容易引起灶性损伤和纤维化,使室壁张力和僵硬度增加也就是说,心肌细胞坏死、残留心肌细胞的肥大纤维化或瘢痕形成以及心肌间质胶原沉积的增加几乎成为缺血性心肌病的一种结构模式,并可导致室壁张力增加及室壁僵硬度异常、心脏扩大及心力衰竭等。
缺血对心肌电活动的影响[编辑 | 编辑源代码]
缺血性心肌病病变复杂多样化,包括心肌细胞肥大的不同、与毛细血管网的分布不成比例、微循环障碍和存活心肌与坏死心肌顿抑心肌、冬眠心肌的掺杂存在等,不仅可以导致心律失常、也可使缺血性心肌病的某些临床表现和对治疗的反应有所不同。心肌缺血会影响心肌细胞膜对离子的通透性,导致钠泵活性丧失,细胞内钠水潴留,因心肌细胞内无氧糖酵解的增强,细胞内出现酸中毒,细胞外出现高钾。缺血心肌的这种改变,影响心室的除极和复极,使心脏冲动的发放和传导出现异常,因此,在缺血性心肌病病人中可引起各种严重的心律失常。
血管内皮功能失调[编辑 | 编辑源代码]
近些年来人们对血管内皮的研究发现,在冠心病患者中血管内皮产生和释放的内源性血管舒张因子一氧化氮(NO)及前列腺素(PGI2)减少,而强有力的缩血管物质内皮素及血管紧张素Ⅱ的分泌增多。内皮素和血管紧张素Ⅱ除了血管作用以外,还具有促进心肌细胞肥大、间质纤维化和引起胎儿型收缩蛋白基因表达的作用,直接参与了心力衰竭的病理生理过程。这种内皮功能的失调,可以刺激血管的收缩,平滑肌增殖及血管壁的脂质沉着并可能促使冠状动脉内血栓形成,使心肌缺血导致左室功能受损。可见内皮功能失调也是导致心肌缺血和心力衰竭的重要机制之一。晚近,TREND(Trial on Reversing Endothelial Dysfunction)已证明,血管紧张素转换酶抑制剂可以逆转或改善血管内皮功能失调。而且这一血管假说,也已为4S(Scandinavian Simvastatin Survival Study)及CARE(Cholesterol and Recurrent Event)试验所证实,并为心力衰竭的治疗提供了部分理论基础。病理:ICM病人心脏增大重量可达450~830g。心脏扩大,以左心室腔扩大为主如双心室腔均严重扩大,心脏外观可呈球形。心室壁由于代偿性肥厚和局部纤维化或瘢痕形成而厚薄不均,与正常人相比,ICM病人的心室壁较薄并且心室壁厚度与增大的心脏不成比例。冠状动脉常有弥漫而严重的粥样硬化,导致冠状动脉管腔狭窄和血栓形成,常有多支冠状动脉病变组织学检查常见有心肌细胞变性、坏死和纤维瘢痕形成心室壁常见大片瘢痕组织。有近半数的病人心室内可见附壁血栓。镜下观察,心肌线粒体内膜破坏嵴减少。线粒体呼吸链相关酶活性下降心肌纤维可见I带增宽,严重缺血时可见痉挛带形成。
基本分类[编辑 | 编辑源代码]
心肌缺血和心肌梗死或坏死对心室的不同作用,使缺血性心肌病具有各种不同的临床表现。根据患者的不同表现,可以将缺血性心肌病划分为两大类型,即充血型缺血性心肌病和限制型缺血性心肌病。它们的临床表现分别非常类似于原发性心肌病中的扩张型和限制型心肌病。但是,在本质上缺血性心肌病和原发性心肌病又有不同。缺血性心肌病的发病基础主要是由于冠状动脉粥样硬化性狭窄闭塞、痉挛甚至心肌内毛细血管网的病变,引起心肌供氧和需氧之间的不平衡而导致心肌细胞变性、坏死心肌纤维化心肌瘢痕形成,出现心力衰竭、心律失常和心腔的扩大,表现为充血性心肌病样的临床综合征,另外有少部分缺血性心肌病患者主要表现为心室肌舒张功能改变,心室壁僵硬度异常。
充血型缺血性心肌病临床表现[编辑 | 编辑源代码]
心绞痛[编辑 | 编辑源代码]
心绞痛是缺血性心肌病患者常见的临床症状之一。但是,心绞痛并不是缺血性心肌病患者必备的症状,随着心力衰竭症状的日渐突出心绞痛发作逐渐减少甚至完全消失仅表现为胸闷、乏力、眩晕或呼吸困难等症状。心绞痛并不是心肌缺血的准确指标也不是劳累时发生呼吸困难的心功能异常的准确指针。有些老年患者从一开始就可能没有心绞痛和心肌梗死的病史,因为它们缺乏具有保护意义的心脏“警告系统”。可能是由于老年患者的痛阈较高实际上这种无症状性心肌缺血的临床意义及危害性同有心绞痛症状的心肌缺血相同。因为,这种无症状性心肌缺血是一直持续存在的,对心肌的损害也持续存在,直到发生充血型心力衰竭,有时难以与特发性充血型心肌病相区别。有72%~92%的缺血性心肌病患者出现过心绞痛发作也有人报道有1/3~1/2的心肌梗死病例曾被漏诊。
心力衰竭[编辑 | 编辑源代码]
心力衰竭往往是缺血性心肌病发展到一定阶段必然出现的临床表现。早期进展缓慢,一旦发生心力衰竭则进展迅速。多数病人在心绞痛发作或心肌梗死早期可能已发生心力衰竭,这是由于急性心肌缺血引起心肌舒张和收缩功能障碍所致。研究表明短暂的心肌缺血,主要损伤早期舒张功能,即舒缓性能;长期反复的发生心肌缺血,引起明显的晚期舒张功能异常,即左室顺应性降低、僵硬度增高。大面积心肌梗死使心肌间质网络遭到破坏,引起急性心室扩张使心腔的顺应性升高,而小灶性心肌梗死或纤维化,可引起心腔僵硬度增加顺应性降低即心肌梗死后心室扩张,顺应性增高,若持续发生心肌缺血,仍可出现舒张早期充盈障碍和心腔硬度增加
病人常表现为劳累性呼吸困难,严重者可发展为端坐呼吸和夜间阵发性呼吸困难等左心衰竭的表现。疲乏、虚弱比较常见。晚期合并右心衰竭时,病人可出现食欲减退、周围性水肿和腹胀、肝区痛等表现。周围性水肿发展缓慢而隐匿,老年人应注意监测体重尿量。查体:患者血压可正常或偏低,高血压罕见。可有颈静脉充盈、怒张,双肺底可闻及散在的湿啰音,心脏检查心界扩大,听诊第一心音正常或减弱,心尖部可闻及第三心音和第四心音。如有肺动脉高压存在,可闻及肺动脉第二心音亢进。因心脏扩大和肺动脉高压,常可闻及由二尖瓣、三尖瓣反流引起的收缩期杂音。这些瓣膜关闭不全损害的程度与心脏瓣膜病的解剖学损害相比,通常为轻至中度。
心律失常[编辑 | 编辑源代码]
长期慢性的心肌缺血可导致心肌坏死、心肌顿抑、心肌冬眠以及局灶性或弥漫性心肌纤维化直至瘢痕形成可导致心肌电活动障碍,包括冲动的形成、发放及传导均可产生异常。在充血型缺血性心肌病的病程中可出现各种类型的心律失常。尤以室性期前收缩、心房纤颤、束支传导阻滞多见。同一个缺血性心肌病的病人,可表现出多种类型的心律失常。病变晚期心律失常类型瞬时多变,大约有半数的缺血性心肌病患者死于各种严重的心律失常
血栓和栓塞[编辑 | 编辑源代码]
缺血性心肌病患者发生心力衰竭时血栓和栓塞较常见由于心脏扩大、心房纤颤,心腔内易形成附壁血栓。老年人血流缓慢、血液黏滞度增高。因此,长期卧床而未进行肢体活动的患者易并发下肢静脉血栓形成,栓子脱落后发生肺脑栓塞。对伴有慢性心房纤颤的患者应常规给予抗凝治疗,以防止血栓和栓塞。有报道缺血性心肌病患者血栓发生率为14%~24%。需要强调指出的是,虽然充血型缺血性心肌病常见的临床表现是充血性心力衰竭,但是也有一些患者的严重临床症状与左室功能的损害程度和心肌异常改变之间不成比例临床表现有比较严重的心力衰竭症状和体征,但仅有轻度的心肌异常改变。这可能和心肌梗死范围的大小及部位的多少有关。有些患者的心肌梗死发生在多个部位,并且分布在两支以上的冠状动脉支配范围内,就单个梗死部位来讲,坏死的范围可能并不很大但
多个部位发生心肌坏死对于心室功能的影响远比那些虽有同样大小心肌坏死而局限在心肌的一个部位者的损害要大得多。另外,缺血性心肌病患者心脏的平均室壁厚度要比虽有反复心肌梗死但无充血型缺血性心肌病者充血型扩张性心肌病者或心脏瓣膜病者的心室壁要薄,这可能是因为广泛的冠状动脉病变,严重限制了血供使未坏死的心肌不能适度肥大或者心肌暂时性肥大后最终因缺血复又萎缩,以及心室扩张的影响之故。这些患者的持续的弥漫性缺血及间或加重较之主要是融合性的坏死或瘢痕似乎更容易引起明显的左室功能抑制或减低但尚不足以引起大量心肌细胞的不可逆损害。
最近人们强调可能就是心肌顿抑和心肌冬眠现象造成了上述临床表现,特别是心肌冬眠这种由慢性持续性缺血引起的心功能减低,可以与顿抑心肌和部分坏死心肌一起导致临床上比较严重的心力衰竭症状而病理检查仅有较轻的心肌病变。
正确判定这类心力衰竭是不可逆的(由心肌坏死纤维化和瘢痕组织引起)抑或可逆的(由心肌缺血、心肌冬眠和心肌顿抑引起)具有重要的临床意义。应进行心导管及造影检查,以估价血流动力学改变心室功能和冠状动脉病变情况。如结果显示收缩力异常或丧失功能的心肌是由狭窄的冠状动脉或侧支循环供血,而且应用正性肌力性刺激后心功能确有改善者,说明其仍保留有心肌收缩储备,外科搭桥术或血管成形术可能会改善心功能提高存活率,改善预后。
还有一些患者,有比较严重的心力衰竭病理改变但临床症状较少,约4%的患者没有症状,8%~15%的患者可无心绞痛或心肌梗死的病史。患者可因此有难以解释的心脏扩大和心电图异常,有时会以房颤、室性心动过速或室性期前收缩等心律失常及血栓栓塞为主诉而就医。可见无症状性心肌缺血和心肌梗死的存在使这些症状相对较少的充血型缺血性心肌病的必备条件之一。
现已明确,并非所有的心肌缺血都有心绞痛也并非所有的心肌梗死都有症状。早在40年前即有无痛性心肌梗死的报道,还有人报道约有1/3~1/2的心肌梗死曾被漏诊,其中有50%是属于无症状的。这种反复发生和经常存在的无症状性心肌缺血或心肌梗死可逐步引起充血型缺血性心肌病。
心力衰竭比较严重而临床症状相对较少的另一个原因是,临床症状、运动或活动能力与心功能异常的程度之间并无固定的关系。有些患者尽管左室射血分数减低,运动时也不增加,但却具有相当的运动耐量或可接近与正常人水平。这些人可能是通过增加舒张末期容量和心率扩大动静脉氧差和增加组织对氧的摄取等代偿来维持比较合适的心排出量和氧的运送。或许其中有些患者并无十分严重的冠状动脉病变,以及运动时那些存活的心肌从比较丰富的侧支循环中得到了足够的血供因而能耐受相当的运动负荷而无明显症状。
限制型缺血性心肌病临床表现[编辑 | 编辑源代码]
尽管大多数缺血性心肌病病人表现类似于扩张性心肌病,少数患者的临床表现却主要以左心室舒张功能异常为主而心肌收缩功能正常或轻度异常,类似于限制性心肌病的症状和体征,故被称为限制型缺血性心肌病或硬心综合征(stiff heart syndrome)。患者常有劳力性呼吸困难和心绞痛,并因此使活动受限。患者可无心肌梗死病史,却往往因反复发生肺水肿而就医即使在急性心肌梗死期间,有一部分患者虽然发生了肺
淤血或肺水肿,却可以有接近正常的左心室射血分数说明这些患者的心功能异常是以舒张期心功能障碍为主的限制型缺血性心肌病患者的心脏大小可以正常但左室常有异常的压力-容量关系。患者在静息和既定的心室容量下,左室舒张末压高于正常。在急性心肌缺血发作时心室顺应性下降,心室僵硬度进一步增加,使左室舒张末压增高产生肺水肿,而收缩功能可以正常或轻度受损。
诊断[编辑 | 编辑源代码]
缺血性心肌病必须有引起长期心肌缺血的致病原因。由于引起心肌缺血的最常见病因为冠心病,所以既往有心绞痛或心肌梗死病史是重要的诊断线索但部分患者可表现为无痛性心肌缺血或心肌梗死对于这部分患者应给予高度重视,以免漏诊。可根据临床查体及各种辅助检查对有下列表现者:①心脏有明显扩大以左室扩大为主。②超声心动图有心功能不全征象。③冠状动脉造影发现多支冠状动脉狭窄病变。但是必须除外由冠心病和心肌梗死后引起的乳头肌功能不全,室间隔穿孔以及由孤立的室壁瘤等原因导致心脏血流动力学紊乱引起的心力衰竭和心脏扩大,它们并不是心肌长期缺氧缺血和心肌纤维化的直接结果。其射血分数虽有下降但很少小于35%。
诊断检查[编辑 | 编辑源代码]
充血型缺血性心肌病[编辑 | 编辑源代码]
1.心电图检查:主要表现为左心室肥大、ST段压低、T波改变、异常Q波及各种心律失常,如窦性心动过速、房性早搏、室性早搏、室性心动过速、心房颤动及心脏传导阻滞等,且出现ST-T改变的导联常按病变冠状动脉支配区域分布医学`教育网搜集整理,具有定位诊断价值。
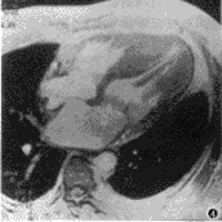
2.胸部X线检查:主要表现为心影增大,且多数呈主动脉型心脏(以左心室增大为主、右心室多数正常),少数心影呈普大型。并可见升主动脉增宽及主动脉结钙化等。多数患者有不同程度的肺淤血表现,但肺动脉段改变不明显。
3.心脏超声检查:可见心腔内径扩大,并以左心房及左心室扩大为主;室壁呈节段性运动减弱或消失,左心室射血分数明显降低;多数患者伴有二尖瓣口返流,并可见主动脉瓣增厚及钙化。
4.冠状动脉造影:可见多支冠状动脉弥漫性严重狭窄或闭塞。
5.心室核素造影:显示心腔扩大、室壁运动障碍及射血分数下降。心肌显像可见多节段心
肌放射性核素灌注异常区域。
6.心导管检查:左室舒张末压、左房压和肺动脉楔压增高,心室造影可见局部或弥漫性多节段多区域性室壁运动异常左室射血分数显著降低,二尖瓣反流等。
限制型缺血性心肌病[编辑 | 编辑源代码]
1.X线胸片:有肺间质水肿、肺淤血及胸腔积液心脏多不大,也无心腔扩张。有时可见冠状动脉和主动脉钙化。
2.心电图:可表现为各种心律失常,窦性心动过速,房早、房颤、室性心律失常及传导阻滞等。
3.超声心动图:常表现为舒张受限心室肌呈普遍性轻度收缩力减弱,无室壁瘤局部室壁运动障碍。无二尖瓣反流。
4.心导管:即使在肺水肿消退后,仍表现为左室舒张末压轻度增高舒张末期容量增加和左室射血分数轻度减少
5.冠状动脉造影:常有2支以上的弥漫性血管病变。
治疗方法[编辑 | 编辑源代码]
一般治疗[编辑 | 编辑源代码]
消除一切可以治疗或预防的冠心病危险因素,包括吸烟(烟草、烟雾中的尼古丁和一氧化碳,可以影响体内的凝血机制促使心肌缺氧以及诱发冠状动脉痉挛促进血小板的黏附和纤维蛋白原含量升高,加速冠状动脉硬化的进展)、血压升高、糖尿病、高胆固醇血症肥胖控制体重等,尤其对有冠心病阳性家族史,合并有糖尿病的老年人易发生无痛性心肌缺血,更应引起重视针对老年人的生理特点如老年人常同时合并其他慢性疾病在治疗时应加以考虑老年人肾功能随年龄增长而减退,肝功能下降,体脂增加,但去脂后体重减轻体液、体钾总量较年轻人低,以及其他老年变化使生理应激功能低下药物代谢、排泄缓慢,易出现药物中毒和副作用。要注意防止心力衰竭的诱发因素如呼吸道感染、输液过多过快等因素。(1)饮食:因缺血性心肌病时,需经常服用利尿药,故饮食的限制不必过严。老年人体液减少,远侧肾单位吸收钠的能力减退,易引起低钠血症,导致脱水、血压下降、血液浓缩、血栓形成。服用利尿药时可不必过度限制钠盐一般2~5g/d,心力衰竭严重者要限制在0.2g/d以下。液体入量1500~2000ml/d。应食用高蛋白、低热量、高纤维素等易消化的食物,少食多餐。
(2)休息:缺血性心肌病病人的休息与活动应根据心功能的状况安排合并有心力衰竭时应强调有足够的休息,休息的时间要长早期即应鼓励病人在床上做四肢活动促进肢体血液循环。轻度心力衰竭者应避免剧烈活动坚持适当的体力活动如太极拳等。中度心力衰竭应限制日常活动量,可短距离散步、短时间气功等。重度心力衰竭应卧床休息。老年人心力衰竭时既要强调休息也要强调适量活动,以不增加发生胸闷、气短等症状为前提。避免长时间卧床休息防止发生褥疮及引起静脉血栓形成、栓塞等疾病。
药物治疗[编辑 | 编辑源代码]
(1)改善心肌缺血:硝酸酯类:缺血性心肌病患者冠状动脉储备功能低下,缺血可引发收缩力下降,使心衰加重。硝酸酯类药物作为抗心肌缺血药的应用,已有100多年的历史,至今仍是临床上治疗冠心病应用最广泛、疗效最可靠的一线药物硝酸酯类药为血管平滑肌细胞提供外源性的NO,舒张血管作用是非内皮依赖性的,冠状动脉粥样硬化时,内皮细胞功能损伤,MO合成释放减少,内皮依赖性舒张反应减弱。外源性硝酸酯可补充内源性NO的不足,扩张粥样病变的狭窄冠脉,增加缺血区的血流,并减轻内皮功能不全所致的冠脉收缩或痉挛作用改善冠脉血流储备硝酸酯类药物还能选择性扩张心外膜上的冠状血管解除冠状动脉痉挛。对严重偏心性狭窄病变的冠状动脉,可使病变对侧管壁的平滑肌松弛,增强缺血区的血流和灌注。非缺血
区大的冠状动脉输送血管的扩张有利于迫使血液沿侧支血管流向缺血区。此外,由于硝酸酯类药物可扩张静脉,减少回心血量和左室舒张末期容量,降低左心室充盈压,从而提高了血液从心外膜向心内膜的灌注梯度,增加了心内膜区的供血。
(2)纠正心力衰竭:近60年来,大量有关心力衰竭方面的研究和概念更新,治疗和策略有了新进展。对于心衰病理生理基础的新认识,强调心衰主要是心室结构的变化,心室重塑是心衰患病率和病死率的决定因素。心室重构是指心室结构的改变包括心肌细胞外基质的变化。心肌细胞的丧失心肌细胞肥大使心肌收缩功能低下。研究发现,血管紧张素Ⅱ、内皮素醛固酮等细胞因子都能促进心肌间质重构。引起心肌重构的各种损伤同时能诱导心肌凋亡。因此现今的治疗目标是改变心室重塑和细胞凋亡。达到防止和延缓心衰的发生、发展降低病死率的目的。
(3.纠正心律失常 老年缺血性心肌病心律失常发生率较高,应在纠正心力衰竭,祛除诱发因素,纠正电解质紊乱的基础上进行,室性和室上性心律失常十分常见,快速性室性心律失常还可导致猝死。对室性心律失常的治疗的原则:无血流动力学的室早、非持续性室速患者无症状时不需治疗有因心理紧张所致的症状应做解释工作,症状明显者可做药物治疗伴有血流动力学改变的室早非持续性室速,有预后意义,易诱发猝死,应积极治疗。
有学者对心房纤颤的研究发现,房颤时有若干心电现象如房颤的连缀现象,房颤导致窦房结功能低下,也可使匿性房室旁路开放。长期的房颤甚至可出现心房静止或自行恢复窦性心律,产生心房分离现象。长期房颤者易发生非瓣膜病性血栓栓塞。年龄≥65岁、高血压、糖尿病脑卒中史是房颤血栓栓塞的高危因素,应使用抗凝药,阿司匹林或华法林。
抗心律失常的药物选择,对室性心律失常首先要衡量药物治疗的安全性/危险性比值,症状显著而药物治疗利大于弊时选用β-受体阻滞药,忌用Ⅰ类药物。胺碘酮的心脏副作用小,应优先选用胺碘酮是房颤复律维持窦律较好的药物,该药延长QT间期但不增加离散度。每200mg胺碘酮含碘75mg。胺碘酮主要影响TT3、FT3减少,TSH、TT4、FT4增高半年内检测甲状腺功能,在老年人一年中服用维持量50~100mg/d是安全的。ACEI类药物改善心功能,可预防心律失常应注意使用。对慢性房颤,控制心室率的药物主要应选用洋地黄、β-受体阻滞药、胺碘酮。
限制型缺血性心肌病的治疗[编辑 | 编辑源代码]
限制型缺血性心肌病的主要病理改变为心肌缺血引起的纤维化和灶性瘢痕,表现为心室舒张功能不全性心力衰竭。因心肌的纤维化和灶性瘢痕即使在无发作性缺血时,心室的僵硬度也较高,不易治疗。由于短暂的发作性缺血是促使僵硬度进一步增加的原因所以治疗应针对防止或减轻缺血发作,并尽量纠正慢性持续性缺血。临床上治疗重点是应用改善心脏舒张功能的药物,可用硝酸盐、β-受体阻滞药和钙拮抗药来治疗,也可考虑对合适病例施行手术治疗。该类患者不宜使用洋地黄和拟交感胺类正性肌力药物。曾有人认为细胞内钙的调节异常是心肌僵硬度增高的原因之一故应用钙拮抗药可能有效。但尚缺乏充分的临床证据。
缺血性心肌病的介入治疗[编辑 | 编辑源代码]
缺血性心肌病患者长期生存率低,药物治疗效果不佳数据显示,IVEF≤35%~40%的冠心病患者,4年存活率为35%~60%。近年来虽然治疗心力衰竭的药物有了很大进展,但缺血性心肌病患者的长期预后并无明显改善。大量的临床数据证实,采用冠脉旁路移植术(CABG)进行血运重建术可显著改善这类患者的长期生存率冠心病的介入治疗是CABG有效的替代疗法主要用于单支、双支病变,左心室功能无明显受损的冠心病治疗。而很少用于缺血性心肌病,以改善患者的预后。近年来,介入治疗PTCA技术迅猛发展尤其是冠脉内支架术的广泛应用使缺血性心肌病的近期远期疗效有了明显提高。①经皮冠状动脉内球囊成形术(PTCA):缺血性心肌病患者左心室功能受损严重冠脉病变广泛多为多支病变。与无心功能损害的冠心病相比,PTCA治疗的近期远期疗效均较差。
②冠状动脉内支架术:缺血性心肌病PTCA治疗的围术期死亡率高、远期生存率低与单纯球囊扩张引起的急性冠脉闭塞和再狭窄有关而支架治疗恰恰能弥补单纯PTCA治疗的这些缺陷。但由于支架本身作为一种金属异物,有致血栓形成和异物反应性,术后亚急性血栓形成和再狭窄仍是两大主要并发症近年来各种更加符合血流动力学和更加适应性的支架正在进行实验研究。
③激光心肌血管重建术:利用激光能量在心肌缺血区造成与心室腔相通的激光隧道,直接以心室血液灌注缺血心肌,并逐渐与冠脉血管网相交汇,实现缺血心肌血管重建的一种方法新的TMR方法,非开胸经皮穿刺心肌血管重建术(PTMR)更引起了心血管疾病研究领域的高度重视。
④经皮超声导管溶栓:经皮超声导管冠状动脉溶栓,尤其适用于血栓负荷大的冠脉病变。如急性心肌梗死和不稳定心绞痛,超声波在溶栓的同时还消融局部的斑块组织兼有血管成形术的作用,超声对病
变组织的选择性依次为新鲜血栓、钙化、脂质、纤维病变,也适于对陈旧性复杂病变的消融。无围术期急性并发症,无栓塞发生。
⑤冠状动脉内放射疗法:PTCA是冠心病介入治疗的里程碑,但30%~60%冠状动脉再狭窄成为临床医学的难题。支架植入可以减少30%的再狭窄,但是支架不能抑制细胞的增生。最近的动物实验和临床研究证明,冠状动脉内放射疗法(ICRT)可减少新生内膜的形成,给介入治疗带来了新的希望。
⑥基因治疗:随着分子生物学理论和技术的进展,特别是在载体的构建、靶基因的界定和活体内基因转移技术等方面所取得的重要进展,使许多因基因结构或表达异常引起的心血管疾病利用基因治疗可获得根治。心功能不全是大多数心血管疾病的终末阶段,如果能加以基因干预,达到阻断心功能恶化的目的将会对心血管病治疗产生深远影响。
康复治疗[编辑 | 编辑源代码]
老年缺血性心肌病的康复治疗应和缺血性心肌病的临床同步进行,并贯穿医疗的全过程。在饮食方面要合理膳食,既要保证充足的睡眠和休息又要强调运动,避免长期卧床。在病情稳定后,应立即开始上下肢的被动运动,减少肌肉萎缩并增强肌力,通过活动肩、肘、髋、膝等关节,逐步增加各关节的活动范围,一般1~2次/d,每次~10min即可。病情好转后,可试行起坐、下床起立和活动,逐步增加活动量。早活动、早下床等早期康复比长时间卧床休息要恢复得早而且对患病老年人有良好的心理影响。老年人一般均有心理衰退,因病情反复发作,多伴有焦虑、精神紧张或悲观厌世,因此应进行心理治疗和卫生宣教,使患者理解生命在于运动,有信心地通过康复战胜疾病并坚持到底。
老年患者由于年迈、体衰、多病,健身运动应以轻度运动[音乐电疗法(METs)3个代谢当量或16.736kJ/min],即低能量运动为主。据美国报道,坚持这种运动的中老年人较不参加或偶尔参加剧烈运动者,病死率降低2.5倍,心血管疾病、糖尿病、老年痴呆等发病率减少了35%,表明轻度运动也有良好的健身效果。有余力者可以过渡到中度运动或直接从中度运动开始,重度运动应慎重行事,至于剧烈运动应列为禁忌。运动时间每天可1次或几次累计在30min以上即可。
由于生理、心理和文化素质各异,健身运动方式可以灵活多样,注重康乐、太极拳扭秧歌、老年迪斯科、交谊舞、门球、体操等均可步行是最好的健身方法之一饭后百步走并不科学进餐特别是饱餐对有心血管病者是一种负荷,我们在研究中发现,老年人在进餐后60min血压由餐前的18.5kPa下降到17.2kPa而心率上升,5METs运动后出现体位性低血压占25%,表明餐后运动对老年人心血管有明显的负性作用,因此饱餐后2h内避免运动锻炼
不同的锻炼类型、强度、持续时间和频率影响锻炼效果,上肢锻炼比下肢锻炼对缺血性心肌病更有好处。缺血性心肌病的体育锻炼需要长期不间断地进行,有利于患者的情绪稳定,自信心恢复,活动能力增强。长期运动可改善心肌缺血,增加心肌氧的供应和摄取,加速侧肢循环形成,逆转缺血性心肌病的发
展,通过平衡改善心功能,提高生存质量。
预后[编辑 | 编辑源代码]
缺血性心肌病预后不良。充血性缺血性心肌病预后不良,可能比原发性扩张性心肌病还差其5年病死率50%~84%。预后不良的预测因素包括有显著的心脏扩大,LVEF减低心房纤颤和心室心动过速等心律失常。如果有显著的心脏扩大,尤其是有进行性心脏增大者,2年内的病死率可能有50%死亡的主要原因是进行性充血性心力衰竭、心肌梗死,和继发性严重心律失常和猝死。由栓塞和非心脏疾病引起的死亡较少见。
限制型缺血性心肌病的自然病程和预后,所知甚少。不过,有人报道,那些急性心肌梗死后射血分数正常,而因舒张期功能异常导致急性肺水肿者的病死率和心肌梗死复发率与急性心肌梗死后射血分数减低伴发急性肺水肿的一样高,但那些没有急性心肌梗死的硬心综合征患者的预后是否也如此,尚不得而知 。
预防[编辑 | 编辑源代码]
一级预防[编辑 | 编辑源代码]
(1)膳食结构:冠心病的危险因素如血脂、血压升高、超重肥胖、凝血等,都和膳食营养因素有密切关系改善膳食结构是预防冠心病的重要措施之一。根据我国对长寿老人的调查表明,长寿老人饮食多以素食为主,不偏食、不暴饮暴食。流行病学数据表明,少吃动物脂肪有利于减少心血管病的发病和死亡。老年人生理性消化功能减退,消化液分泌减少,应提倡多吃易消化、具有一定营养的低动物脂肪食物。提倡戒烟,忌大量饮酒。认为小量饮酒每日酒精摄入量小于28.34g。有可能提高血液中高密度脂蛋白胆固醇的水平,对健康是有益的。
(2)控制高血压:冠心病是高血压最常见的临床并发症,即使无临床症状或仅仅血压偏高,但未达到高血压的诊断标准,冠心病的发病率已成倍增加。血压降至正常范围内,可使动脉硬化延迟。首先应加强对高血压的检出和控制,低盐饮食,每天钠摄入量2.4~6g,控制体重。药物治疗结合改善生活方式。但是在治疗
老年高血压时,要避免血压过度降低引起靶器官供血不足及体位性低血压。
(3)控制糖尿病:长期高血糖使由此产生的体内蛋白质非酶促糖化作用增强和糖化终产物的形成脂质的过氧化作用增强等可能加速了动脉粥样硬化的发生发展。女性在绝经期后雌激素对冠心病的作用消失,故老年女性糖尿病患者发生冠心病较非糖尿病患者高4倍,除饮食和药物控制血糖外,更应该强调重视早期检出糖尿病前期和对糖尿病患者早期给予膳食指导或降糖治疗达到减少并发症的发生率,提高生活质量改善预后的目的。
(4)体力活动:体力活动可通过减轻肥胖来改善冠心病的危险因素。如改善体脂分布,降低非胰岛素依赖性糖尿病的发病率,中等强度体力活动还对调整血压和血脂有益处现已公认,经常参加体力活动的人,心血管病危险因素升高率较低,因此体育锻炼是改善危险因素的重要辅助治疗手段坚持体育锻炼可防治高血压,增强胰岛素敏感性,使葡萄糖利用增加,减轻肥胖。有调查研究,体育运动还能降低胆固醇,纤维蛋白原下降,减少血小板启动,从而减少血栓的形成。另外,体育运动还能改善血管内皮功能,提高副交感神经活性。老年人的体育运动应因人而异坚持长期锻炼,以达到防病治病的目的。
(5)女性冠心病与激素替代疗法:冠心病为绝经后妇女的重要死因之一流行病学资料表明绝经后妇女冠心病的发病率和病死率是绝经前的4倍,且其发病年龄约推迟10年,提示与绝经前雌激素的保护有关。激素替代疗法(HRT)通过对机体多个系统的有益保护可降低绝经后妇女各种原因的总死亡率达46%,且对冠心病患者的益处最大。HRT不仅在形态学上控制粥样斑块的消退,更主要的是改善体内生理条件,如内皮功能的保护血管舒张功能的恢复与维持调节脂质代谢效应及抗氧化抗血栓形成倾向等血流动力学特性得到改善,现有的粥样硬化病变趋于稳定,不易发生退变或破裂,从而降低冠心病临床事件的发生率和病死率。但如何用药多大剂量须在医生严格指导下进行。
(6)心理社会因素:Lindon等的荟萃分析表明,冠心病是一种心身疾病,心理因素及生物学危险因素对冠心病的发病均有一定的作用,并且,疾病的转归、预后及防治均与心理社会因素密切相关。老年人应保持情绪稳定、乐观多参加社会活动和集体活动,以减少工作和生活中与冠心病相关的应激事件发生,保证心理和生理的健康状态。
(7)感染因素:最近几年,越来越多的流行病学、基础和临床研究提示,冠状动脉或其他部位的炎症与冠心病密切相关,引起炎症的微生物通常包括肺衣原体单纯疱疹病毒幽门螺旋菌、巨细胞病毒等。感染引起冠心病的主要机理可能是,感染和炎症启动了炎症细胞并产生了多种酶和炎症介质,损伤内皮细胞,促进动脉粥样硬化斑块的形成、发展和破裂,促进血栓的形成。倾向认为动脉粥样硬化有一个慢性炎性变化,感染或炎症是冠心病特别是不稳定性心绞痛及冠状动脉急性事件的原因之一。因此老年人应增强体质,避免上述各种病原菌感染减少冠心病的致病机会。
二级预防[编辑 | 编辑源代码]
在改变生活方式、运动、控制体重等基础上给予药物治疗。包括预防心绞痛发作、心律失常等。
(1)β-受体阻滞药:可减慢心率而延长心肌灌注时间,降低血压和心肌收缩力,降低心肌耗氧量,减少斑块的损伤、破裂和血栓堵塞所导致的急性冠脉事件,并具有抗心律失常的作用。实验证明AMI发病后持续服用β阻滞剂≥90天,第一年内减低再梗死发生率35%~40%,减少猝死发生率18%~39%。对心力衰竭者也可考虑应用,剂量要因人而异。(2)硝酸盐类:可松弛血管平滑肌,扩张冠状动脉,增加冠状动脉血流也可扩张周围小动脉降低周围血管阻力,减轻心脏后负荷,减少回心血量和左室前负荷使心肌耗氧量下降以达到改善心肌缺血、预防心绞痛发作的效果。
(3)钙拮抗药:对心绞痛的治疗作用效果显著,但对心肌梗死的二级预防作用尚有争论,有报道短效制剂对高血压和冠心病有害。新一代长效钙离子拮抗药短期疗效虽已肯定,但缺少大规模的临床试验评价。钙拮抗药比较适用于有冠状动脉痉挛等血管张力性心肌缺血或并发高血压者。
(4)抗血小板治疗:研究证明,冠心病心绞痛患者的冠状动脉内血小板的数量及活性均增高,且血小板容易活化和聚集。患者的精神、情绪改变心理压力及环境应激、性格等诸多因素,均可影响血小板聚集斑块破裂及血栓形成故抗血小板药物对预防心绞痛发作尤为重要。常用的有阿司匹林,剂量50~150mg/d噻氯匹定(抵克力得)具有同时抑制外源性及内源性ADP所诱导的血小板聚集能力,并可阻断血小板上纤维蛋白原的受体,使与聚集有关的物质同时失活,是一种广谱的血小板抑制剂常用剂量为0.25~0.5g/d常见的副作用有恶心、呕吐,少数可有白细胞减少及肝功异常,个别人可引起再生障碍性贫血。
(5)降血脂药物:降脂治疗应从改善膳食开始。这是降脂治疗的基础,经一定时间积极膳食治疗效果不理想,可在膳食治疗的基础上加用降脂药物.
(6)血管紧张素转换酶抑制药(ACEI):ACEI作为缺血性心肌病的二级预防长期用药是安全和有效的。自从SAVE,SOLVD,CONSENSUS等大型临床试验后,开始用于心衰及左室功能低下患者的治疗通过临床研究,有学者主张心肌梗死发病后两天可应用ACEI能预防心室重塑和改善左室功能。
三级预防[编辑 | 编辑源代码]
(1)抗心律失常:冠心病患者可有多种心律失常,室性心律失常,尤其是室性心动过速及室颤可致猝死,故一直是临床防治的重点。在心肌缺血时,交感神经兴奋心肌内儿茶酚胺浓度增加和血小板活化可能参与室性心律失常的发生心律失常防治的主要目标是减轻和消除症状,防止心功能恶化。预防措施:一般选用β阻滞剂,但要注意适应证。不主张使用Ⅰ类抗心律失常药物,因为CAST研究,长期内服ⅠA和ⅠC类药,虽可减少期前收缩,但是增加病死率。可能与药物的致心律失常作用有关。如有反复发作室速,可选用利多卡因和胺碘酮,循环状态恶化者应立即同步直流电复律。有房颤或反复发作者,可用地高辛和胺碘酮长期服用。
(2)纠正心力衰竭:
①膳食控制总热量、膳食结构和脂肪构成合理,每日食盐0.2~2.0g,并戒烟限酒养成良好的生活习惯多食蔬菜水果,防止便秘。
②运动:体力活动有利于冠状动脉扩张和侧支循环形成和提高心脏代偿能力、减少血小板聚集并增加纤溶活性缺血性心肌病患者既要强调休息,更要重视体力活动。对病情较重者,需延长卧床和睡眠时间,重症患者应完全卧床。休息有利于钠和水的排出及水肿的消退。心力衰竭缓解时,因病情而异,活动量从轻量开始,逐渐增加以不出现不适症状为宜,如活动肢体散步做体操和打太极拳等。
③药物治疗:利尿药和ACEI是心力衰竭的基本治疗。首选呋塞米,该药口服吸收良好,不会受肠道淤血的影响。以患者体重波动为指标每次增减40mg,但必须注意维持水和电解质的平衡,尤其是用量大于80mg/d的时候。
此外应长期服用阿司匹林预防血小板集聚及血栓形成,极重度心力衰竭时,应选用血管扩张药硝普钠等,间歇应用多巴酚胺,以过渡到某一指定的治疗措施,如激光心肌血运重建术及心脏移植。
小区干预[编辑 | 编辑源代码]
小区医务人员应对缺血性心肌病患者及亲属进行医疗、卫生方面的宣传教育,使他们对疾病建立正确的认识消除心理紧张因素、焦虑、恐惧等,配合医生的治疗并指导和开展非药物治疗戒烟、戒酒、平衡合理的膳食结构。对小区内冠心病人群,定期检查随访,及时检出缺血性心肌病的高危险个体并采取有针对性的预防措施,纠正其高危险因素如对肥胖、高血压、高血糖、高血脂等的干预治疗。尤其对老年人,因发病比较隐匿,症状和体征不典型,病程长更应注意早发现早诊断、早治疗。在小区内应开展适量的,特别是适于缺血性心肌病患者的体育活动,如低强度的太极拳,体操等。以提高心脏和机体的耐受力,提高生活质量同时,小区医务人员还应指导缺血性心肌病患者的药物治疗合理用药防止滥用药,减少药物的毒副作用。对病情变化者应及时指导他们就医。以防止病情恶化及减少猝死的发生率。
