甲状腺

来自医学百科

甲状腺(拉丁语:Glandula thyr(e)oidea;英语:Thyroid)是脊椎动物非常重要的腺体,属于内分泌器官。在哺乳动物它位于颈部甲状软骨下方,气管两旁。人类的甲状腺形似蝴蝶,犹如盾甲,故名。

甲状腺前面观

  

简介[编辑 | 编辑源代码]

甲状腺是人体最大的内分泌腺体,位于甲状软骨下紧贴在气管第三,四软骨环前面,由两侧叶和峡部组成,平均重量成大约20-25g,女性略大略重。甲状腺后面有甲状旁腺4枚及喉返神经血液供应有上下左右四条动脉,所以甲状腺血供较丰富,腺体受颈交感神经节的交感神经迷走神经支配,甲状腺的主要功能是合成甲状腺激素,调节机体代谢,一般人每日食物中约有100-200μg 无机碘化合物,经胃肠道吸收入血循环,迅速为甲状腺摄取浓缩,腺体中贮碘约为全身的1/5。碘化物进入细胞后,经过氧化酶的作用,产生活性碘迅速与胶质腔中的甲状腺球蛋白分子上的酪氨酸基结合,形成一碘酪氨酸(MIT)和二碘酪氨酸(DIT),碘化酪氨

甲状腺后面观

酸通过氧化酶的作用,使MIT和DIT偶联结合成甲状腺素(T4),MID和DIT偶联结合成三碘甲状腺原氨酸(T3),贮存于胶质腔内,合成的甲状腺素(T4)和三碘甲状腺原氨酸(T3)分泌至血液循环后,主要与血浆甲状腺素结合球蛋白(TBG)结合,以利转运和调节血中甲状腺素的浓度。甲状腺素(T4)在外周组织经脱碘分别形成生物活性较强的T3和无生物活性的rT3。脱下的碘可被重新利用。所以,在甲状腺功能亢进时,血 T4、T3及rT3均增高,而在甲状腺功能减退时,则三者均低于正常值。甲状腺素分泌量由垂体细胞分泌和TSH通过腺苷酸环化酶-cAMP系统调节。而TSH则由下丘脑分泌的TRH控制,从而形成下丘脑—垂体—甲状腺轴,调节甲状腺功能。

甲状腺的被膜和毗邻,甲状腺有两层被膜:气管前筋膜包绕甲状腺形成甲状腺鞘,称为甲状腺假被膜;甲状腺自身的外膜伸入腺实质内,将腺体分为若干小叶,即纤维囊,又称甲状腺真被膜.腺鞘与纤维囊之间的间隙内有疏松结缔组织,血管,神经和甲状旁腺等.手术分离甲状腺时,应在此间隙内进行,并避免损伤不该损伤的结构.在甲状腺左右叶的上端,假被膜增厚并连于甲状软骨,称为甲状腺悬韧带;左右叶内侧和甲状腺峡后面的假被膜与环状软骨和气管软骨环的软骨膜愈着,形成甲状腺外侧韧带.上述韧带将甲状腺固定于喉及气管壁上,因此,吞咽时甲状腺可随喉上,下移动,为判断甲状腺是否肿大的依据.喉返神经常在甲状腺外侧韧带和悬韧带后面经过,甲状腺手术处理上述韧带时注意避免损伤喉返神经.

甲状腺前面由浅入深依次为皮肤,浅筋膜,颈筋膜浅层,舌骨下肌群和气管前筋膜.甲状腺叶的后内侧与喉和气管,咽和食管以及喉返神经等相毗邻,其后外侧与颈动脉鞘及鞘内的颈总动脉,颈内静脉和迷走神经,以及位于椎前筋膜深面的颈交感干相邻.当甲状腺肿大时,如向内侧压迫,可出现呼吸吞咽困难和声音嘶哑等,如向后外压迫交感干时,可出现HORNER综合征,基瞳孔缩小,上睑下垂眼球内陷等。  

甲状腺肿[编辑 | 编辑源代码]

甲状腺肿瘤可以分为良性肿瘤恶性肿瘤。临床上甲状腺肿瘤往往仅

双侧甲状腺肿大 - CT病例

表现为甲状腺结节,因此常把甲状腺肿瘤与甲状腺结节相互混用。实际上结节仅是形态的描述,它包括肿瘤、囊肿、正常组织构成的团块以及其他疾病所引起的甲状腺肿块。临床上难以确定甲状腺结节的性质,即使病理活检,有时甲状腺腺瘤与结节性增生,良性肿瘤与恶性肿瘤也不易明确辨认。因此。甲状腺肿瘤的发病率不易精确统计。

甲状腺肿瘤是常见病,在不同地区其发病率有较大差别。一般甲状腺肿流行地区的甲状腺肿瘤发病率较非流行区高。甲状腺肿瘤中,最多见的是甲状腺良性肿瘤甲状腺癌并不常见,但近年来有逐年增高的趋势。手术证明单个结节者80%为良性肿瘤,20%为恶性肿瘤。单个结节的肿瘤发生率为15.6%-28.7%,而多发结节癌肿的发生率,一般不到10%.说明单个结节癌肿的可能性数倍于多发结节.就性别而言,甲状腺肿瘤多见于女性,其发病率女性较男性高4倍,但就甲状腺癌和甲状腺结节的比例看,男性高于女性,在每个年龄组中,甲状腺良性肿块和恶性肿块的发病率相似,但是儿童时期的甲状腺结节中,甲状腺癌的发病率高,约占50%-71%,因此,对儿童期的甲状腺结节,应特别警惕癌的可能.  

甲状腺疾病[编辑 | 编辑源代码]

当你发现颈部增粗或有肿块时,即使没有什么不适的症状,也应想到是否发生了甲状腺肿大或其他甲状腺疾病。此时应及时去医院就诊。一般医生通过甲状腺触诊就可以告诉你甲状腺是否肿大、是否有肿物。甲状腺疾病多种多样,有甲状腺肿大或甲状腺肿物者,一般需要进一步做些检查,才能确定甲状腺疾病的性质,如抽血化验检查甲状腺功能,必要时还需做甲状腺的放射性核素超声波检查,甚至做甲状腺穿刺细胞学检查。当你出现怕热、多汗心悸、性情急躁、食欲亢进消瘦等症状时,应该想到是否有甲状腺功能亢进的可能。当你发现有怕冷、浮肿、体重增加皮肤干燥食欲减退等症状时,应该注意有无甲状腺功能减退的可能。当你感觉颈部疼痛并有发热,尤其可在甲状腺部位摸到肿块并有压痛时,应想到有无急性或亚急性甲状腺炎的可能。遇到以上这些情况,应及时到医院内分泌科就诊,以便做进一步检查,这样可以得到及时的诊断和合理的治疗。

疾病分类

1.单纯性甲状腺肿

2.甲状腺功能亢进(甲状腺功能亢进的并发症

3.甲状腺功能减退

4.甲状腺结节、甲状腺瘤

5.急性化脓性甲状腺炎

6.亚急性甲状腺炎

7.慢性淋巴细胞性甲状腺炎桥本甲状腺炎

8.慢性纤维性甲状腺炎

甲状腺是多种原因造成的甲状腺功能增强、减弱,合成和分泌甲状腺激素过多、过少,所导致的一种常见内分泌疾病,主要包括:甲状腺机能亢进(俗称甲亢)、甲状腺功能减退(俗称甲减)、甲状腺炎、甲状腺肿、甲状腺瘤、甲状腺癌。

一、甲亢

指甲状腺的呈高功能状态,其特征有甲状腺肿大、突眼症、基础代谢增加和自主神经系统的失常。本病多见于女性,男女之间比例为1:4~6,以20-40岁最多见,起病缓慢。临床上最常见的甲亢是毒性弥漫性甲状腺肿

主要病理表现及危害:

(1)高代谢症群:患者可表现为怕热多汗,皮肤、手掌、面、颈、腋下皮肤红润多汗。常有低热,严重时可出现高热。患者常有心动过速、心悸、胃纳明显亢进,但体重下降,疲乏无力

(2)甲状腺肿大

(3)眼征:眼突出

(4)神经系统神经过敏,易于激动,烦躁多虑,失眠紧张,多言多动,有时思想不集中,有时神情淡漠、寡言抑郁者。

(5)心血管系统:心悸、胸闷、气促,活动后加重,可出现各种早搏及房颤等.

(6)消化系统:食欲亢进,体重明显减轻。

(7)生殖系统:女性患者常有月经减少,周期延长,甚至闭经,但少数患者仍能 妊娠、生育。男性多阳痿,影响乳房发育。

二、甲减

甲状腺机能低减症,系甲状腺激素合成与分泌不足或甲状腺激素生理效应不好,生理效应不足而致的全身性疾病。

主要分为:呆小病、幼年甲低、成人甲低三种,多见于中年女性。成人的甲状腺机能减退,不少由于手术切除、长期抗甲状腺药物治疗或使用放射性131碘治疗甲亢导致。

主要病理表现及危害:

(1)一般表现:怕冷、皮肤干燥少汗、粗糙、泛黄、发凉、毛发稀疏、干枯、指甲脆、有裂纹疲劳、瞌睡、记忆力差、智力减退、反应迟钝、轻度贫血、体重增加。

(2)特殊表现:颜面苍白而蜡黄、面部浮肿、目光呆滞、眼睑浮肿、表情淡漠、少言寡语、言则声嘶、吐词含混。

(3)心血管系统:心虑缓慢、心音低弱、心脏呈普遍性扩大、常伴有心包积液、也有疾病后心肌纤维肿胀、粘液性糖蛋白(PAS染色阳性)沉积以及间质纤维化称甲减性心肌病变。

(4)生殖系统:男性可出现性功能底下,性成熟推迟、副性征落后,性欲减退、阳痿和睾丸萎缩。女性可有月经不调、经血过多或闭经,一般不孕。无论对男女病人的生育都会产生影响。

(5)肌肉关节系统:肌肉收缩与松弛均缓慢延迟、常感肌肉疼痛、僵硬、骨质代谢缓慢、骨形成与吸收均减少、关节不灵、有强直感、受冷后加重、有如慢性关节炎、偶见关节腔积液。

(6)消化系统:患者食欲减退、便秘腹胀、甚至出现麻痹性肠梗阻、半数左右的患者有完全性胃酸缺乏

(7)内分泌系统:男性阳痿、女性月经过多、久病不治者亦饿闭经、肾上腺皮质功能偏低、血和尿皮质醇降低。

(8)精神神经系统:记忆力减退、智力低下、反应迟钝、多瞌睡、精神抑郁、有时多虑有精神质表现、严重者发展为猜疑性精神分裂症、后期多痴呆、环幻觉木僵或昏睡。

三、甲状腺炎

甲状腺炎是以炎症为主要表现的甲状腺病

按发病多少依次分为:桥本氏甲状腺炎、亚急性甲状腺炎、无痛性甲状腺炎感染性甲状腺炎及其他原因引起的甲状腺,最常见的是慢性淋巴细胞性及亚急性甲状腺炎。

1、桥本氏甲状腺炎

桥本氏甲状腺炎于1912年由日本人桥本策首先报告并描述,因而得名,又称桥本氏病、慢性淋巴细胞性甲状腺炎、自身免疫性甲状腺炎。为甲状腺炎中最常见的一种类型,约占全部甲状腺病的7.3%-20.5%。桥本氏病多见于30-50岁的妇女,也是儿童散发性甲状腺肿的常见原因,男女比例约为1:6-10。

主要病理表现及危害:

起病缓慢,发病时多有甲状腺肿大,质地硬韧,边界清楚,部分患者可有压迫症状。

初期时常无特殊感觉,甲状腺机能可正常,少数病人早期可伴有短暂的甲亢表现,多数病例发现时以出现甲状腺功能底下。

病患常表现怕冷、浮肿、乏力、皮肤干燥、腹胀、便秘、月经不调、性欲减退等。

2、亚急性甲状腺炎:

多在30~50岁发病,女性比男性发病率多3-6倍。大多数病人甲状腺功能渝后可恢复正常,一些病人病情缓解后数月之内还可再次或多次复发。永久性甲状腺功能低减的发病率不及10%,极少数病例可发展为桥本氏病或毒性弥漫性甲状腺肿。

主要病理表现及危害:

典型的表现为甲状腺剧痛,通常疼痛开始于一侧甲状腺的一边,很快向腺体其他部位和耳根及颌部放散,常常伴有全身不适、乏力、肌肉疼痛,也可有发热,病后3-4天内达到高峰,1周内消退,也有不少病人起病缓慢,超过1-2周,病情起伏波动持续3-6周,好转后,在数月内可有多次服发,甲状腺可较正常时体积增大2-3倍或者更大,接触时压痛明显病后1周内,约一半病人;伴有甲状腺功能亢进的表现:包括兴奋、怕热、心慌、颤抖及多汗等;这些症状是由于急性炎症时从甲状腺释放出过量的甲状腺激素引起的,在疾病消退过程中,少数病人可以出现肿胀、便秘、怕冷、瞌睡等甲状腺功能减低表现,但这些表现持续时间不长最终甲状腺功能恢复正常。

四、甲状腺结节

一种常见的甲状腺病,甲状腺上的结节可能是甲状腺癌,也可能是甲状腺瘤,结节性甲状腺肿等其他病因,在未明确其性质以前统称为甲状腺结节。

主要病理表现及危害:

临床表现为甲状腺肿大,并可见到触及大小不等的多个结节,结节的质地多为中等硬度。临床症状不多,仅为颈前区不适。甲状腺功能多数正常。但部分患者会出现继发性功能亢进癌变

甲状腺结节多数是良性,其中只有甲状腺癌是恶性疾病。但儿童期出现的结节50%为恶性,发病于青年男性的当个结节,也应警惕恶性的可能,如果新生结节或原有的结节在短期内迅速增大,应怀疑恶性病变。高速怀疑恶性疾病者宜尽早治疗。

五、甲状腺瘤

1、甲状腺腺瘤:临床常见的良性甲状腺肿瘤,指发生于颈部正中或附近的半球肿块,表现光滑,边缘清楚,能随吞咽动作而上下移动、质地坚实,按之不痛,生长缓慢。

2、甲状腺囊肿:若甲状腺腺瘤血液循环不足,在结节内发生退行性病变,引起囊肿形成时称甲状腺囊腺瘤,或称甲状腺腺瘤。

3、功能亢进性腺瘤:合并有功能亢进症状者,称功能亢进性腺瘤,亦称毒性腺瘤,此种腺瘤发生恶变的可能性较小。

4、乳状腺瘤:腺瘤内出现乳头状改变者,称乳状腺瘤,其恶变可能性较大。

六、甲状腺癌

甲状腺癌是由数种不同生物学行为以及不同病理类型的癌肿组成,主要包括乳头状腺癌滤泡未分化癌髓样癌四种类型。它们的发病年龄、生长速度、转移途径、预后都明显不同,如乳头状腺癌术后10年生存率将近90%,而未分化癌变程很短,一般仅生存几月。

七、慢性淋巴细胞性甲状腺炎

亦称桥本甲状腺炎(Hashimoto thyroiditis),是一种自体免疫性疾病。本病多见于中年女性,表现为甲状腺肿,起病缓慢,常在无意中发现,体积约为正常甲状腺的2~3倍,表面光滑,质地坚韧有弹性如橡皮,明显结节则少见,无压痛,与四周无粘连,可随吞咽运动活动。晚期少数可出现轻度局部压迫症状。

本病发展缓慢,有时甲状腺肿在几年内似无明显变化。初期时甲状腺功能正常。病程中有时也可出现甲亢,继而功能正常,甲减,再正常,其过程类似于亚急性甲状腺炎,但不伴疼痛,发热等,故称此状态为无痛性甲状腺炎,产后发病则称为产后甲状腺炎。但当甲状腺破坏到一定程度,许多患者逐渐出现甲状腺功能减退,少数呈粘液性水肿。本病有时可合并恶性贫血,此因患者体内存在胃壁细胞的自身抗体

八、慢性纤维性甲状腺炎

是甲状腺慢性炎症性疾病中最少见的一种,其特征为正常甲状腺组织被侵入性纤维化所取代并穿破其被膜进入邻近器官或组织的炎性疾病.临床上命名众多,如侵袭性纤维性甲状腺炎(invasive fibrous thyroiditis,IFT)、慢性木样甲状腺炎(chronic woody thyroiditis)等,1896年由Bernhard Riedel首先报道,故国外多称Riedel病(Riedel′s disease)、Riedel甲状腺炎(Riedel′s thyroiditis)、Riedel甲状腺肿(Riedel′s struma)等。男女比例为1:3,临床上早期症状不明显,功能正常,晚期甲状腺功能低下,增生的瘢痕组织压迫可以产生声音嘶哑,吞咽困难等。肉眼观甲状腺中度大,病变呈结节状,质硬如木样,与周围组织明显粘连,切面灰白。光镜下,甲状腺滤泡萎缩,小叶结构消失,而大量纤维组织增生,玻璃样变,有淋巴细胞浸润,但不形成淋巴滤泡。  

甲状腺的构造[编辑 | 编辑源代码]

甲状腺是人体最大的内分泌腺。棕红色,分左右两叶,中间相连(称峡部),呈“H”形,约20~30克。甲状腺位于喉下部气管上部的前侧,吞咽时可随喉部上下移动。甲状腺的基本构成单位是腺泡,对碘有很强的聚集作用,虽然通常腺体中的碘含量比血液中的含量高25~50倍,但每日饮食摄入的碘仍有1/3进入甲状腺,全身含碘量的90%都集中在甲状腺。甲状腺激素是甲状腺分泌的激素

甲状腺激素的生理功能主要为:(1)促进新陈代谢,使绝大多数组织耗氧量加大,并增加产热。(2)促进生长发育,对长骨、脑和生殖器官的发育生长至关重要,尤其是婴儿期。此时缺乏甲状腺激素则会患呆小症。(3)提高中枢神经系统兴奋性。此外,还有加强和调控其它激素的作用及加快心率、加强心缩力和加大心输出量等作用。

甲状腺是内分泌系统的一个重要器官,它和人体其它系统(如呼吸系统等)有着明显的区别,但和神经系统紧密联系,相互作用,相互配合,被称为两大生物信息系统,没有它们的密切配合,机体的内环境就不能维持相对稳定。内分泌系统包括许多内分泌腺,这些内分泌腺受到适宜的神经刺激,可以使这些内分泌腺的某些细胞释放出高效的化学物质,这种化学物质经血液循环被送到远距离的相应器官,发挥其调节作用,这种高效的化学物质就是我们平常所说的激素。甲状腺是人体内分泌系统中最大的内分泌腺,它受到神经刺激后分泌甲状腺激素,作用于人体相应器官而发挥生理效应。

平常大多数人并不知道甲状腺位于何处,但“粗脖子病”大多数人并不陌生,其实“粗脖子病”就是甲状腺肿大,这就告诉我们甲状腺位于颈部。再具体些,我们平常所说的“喉结” ,我们自己都能触到,甲状腺就位于“喉结”的下方约2~3厘米处,在吞咽东西时可随其上下移动。

甲状腺形如“H”,棕红色,分左右两个侧叶,中间以峡部相连。两侧叶贴附在喉下部和气管上部的外侧面,上达甲状软骨中部,下抵第六气管软骨处,峡部多位于第二至第四气管软骨的前方,有的人不发达。有时自峡部向上伸出一个锥状叶,长短不一,长者可达舌骨,为胚胎发育的遗迹,常随年龄而逐渐退化,故儿童较成年人为多。

甲状腺外覆有纤维囊,称甲状腺被囊,此囊伸入腺组织将腺体分成大小不等的小叶,囊外包有颈深筋膜(气管前层),在甲状腺侧叶与环状软骨之间常有韧带样的结缔组织相连接,故吞咽时,甲状腺可随吞咽而上下移动。

在青春期甲状腺发育成熟,甲状腺的重量为15~30克。两个侧叶各自的宽度为2厘米左右,高度为4~5厘米,峡部宽度为2厘米,高度为2厘米。女性的甲状腺比男性的稍大一些。在正常情况下,由于甲状腺很小很薄,因此在颈部既看不到,也摸不到。如果在颈部能摸到甲状腺,即使看不到,也被认为甲状腺发生了肿大。这种程度的肿大往往是生理性的,尤其是在女性青春发育期,一般不是疾病的结果,但有时也可以是病理性的。

人的甲状腺重20~30g,是人体内最大的内分泌腺。它位于气管上端两侧,甲状软骨的下方,分为左右两叶,中间由较窄的峡部相联,呈“H”形。

甲状腺由许多滤泡组成。显微镜下所见:滤泡由单纯的立方腺上皮细胞环绕而成,中心为滤泡腔。腺上皮细胞是甲状腺激素合成和释放的部位,滤泡腔内充满均匀的胶性物质,是甲状腺激素复合物,也是甲状腺激素的贮存库。滤泡形态学的改变可反映腺体功能状态:腺体活动减弱时,腺上皮细胞呈扁平状,滤泡腔内贮存物增加;如果活动亢进,腺泡上皮呈柱状,滤泡腔内贮存物减少。  

甲状腺激素[编辑 | 编辑源代码]

甲状腺分泌的有生物活性的激素有甲状腺素(又名四碘甲腺原氨酸,T4)和三碘甲腺原氨酸(T3)两种。它们是一组含碘的酪氨酸,它是以碘和酪氨酸为原料在甲状腺腺细胞内合成。甲状腺腺细胞有很强的摄取碘的能力。人体每天从饮食摄取100~200μg碘,其中约有1/3碘进入甲状腺。甲状腺含碘总量约8000μg,占全身含碘量的90%,说明甲状腺具有很强的泵碘能力。甲状腺功能亢进,泵碘能力超过正常,摄入碘量增加;低下时则低于正常,摄入碘量减少。故临床把甲状腺摄取放射性碘(131I)的能力作为常规检查甲状腺功能的方法之一。

碘离子被摄入甲状腺腺泡上皮细胞后,在过氧化酶的作用下,迅速氧化为活化碘,然后经碘化酶的作用使甲状球蛋白中的酪氨酸残基碘化,生成一碘酪氨酸(MIT)和二碘酪氨酸(DIT)。再在缩合酶的作用下,将它们缩合成T4或T3。这样,含有四种酪氨酸残基的甲状球蛋白贮存在滤泡腔内(请参阅生物化学有关章节)。

甲状腺受到TSH的作用,释放甲状腺激素时,腺上皮细胞先通过吞饮作用把滤泡腔内的甲状球蛋白吞入腺细胞,在溶酶体蛋白水解酶的作用下,使甲状球蛋白分解,解脱下来的T4和T3因能抗拒脱碘酶的作用,分子又小,可以透过毛细血管进入血液循环。甲状球蛋白分子上的T4数量远远超过T3,所以分泌的激素中T4约占总量的90%,T3分泌量较少,但其活性大,是T4的5倍。T4每日分泌总量约96μg,T3约30μg。T4释放入血后,一部分与血浆蛋白结合,另一部分则呈游离状态在血中运输,两者之间可以互相转变,维持T4、T3在血液中的动态平衡,因为只有游离型,才能进入细胞发挥作用。T3释放入血后,因为与血浆蛋白的亲和力小,主要以游离型存在。每天约有50%的T4脱碘转变为T3,故T3的作用不容忽视。  

甲状腺激素的生物学作用[编辑 | 编辑源代码]

甲状腺激素的生物学作用主要有下列三方面:

(一)促进生长发育

甲状腺激素促进生长发育作用最明显是在婴儿时期,在出生后头四个月内影响最大。它主要促进骨骼、脑和生殖器官的生长发育。若没有甲状腺激素,垂体的GH也不能发挥作用。而且,甲状腺激素缺乏时,垂体生成和分泌GH也减少。所以先天性或幼年时缺乏甲状腺激素,引起呆小病。呆小病患者的骨生长停滞而身材矮小,上、下半身的长度比例失常,上半身所占比例超过正常人。又因神经细胞树突轴突髓鞘以及胶质细胞生长障碍,脑发育不全而智力低下,他们性器官也不能发育成熟。新生儿甲状腺功能低下时,应在一岁内适量补充甲状腺激素,这对中枢神经系统的发育和脑功能的恢复还有效。迟于此时期,以后即使补充大量T3或T4,也不能恢复正常功能,则治疗往往无效。

(二)对代谢的影响

1.产热效应甲状腺激素可提高大多数组织的耗氧率,增加产热效应。这种产热效应可能由于甲状腺激素能增加细胞膜上Na+-K+泵的合成,并能增加其活力,后者是一个耗能过程。甲状腺素使基础代谢率增高,1mg的甲状腺素可增加产热4000KJ。甲状腺功能亢进患者的基础代谢率可增高35%左右;而功能低下患者的基础代谢率可降低15%左右。

2.对三大营养物质代谢的作用它对三大营养物质代谢的影响十分复杂。总的来说,在正常情况下甲状腺激素主要是促进蛋白质合成,特别是使骨、骨骼肌、肝等蛋白质合成明显增加,这对幼年时的生长、发育具有重要意义。然而甲状腺激素分泌过多,反而使蛋白质,特别是骨骼肌的蛋白质大量分解,因而消瘦无力。在糖代谢方面,甲状腺激素有促进糖的吸收,肝糖元分解的作用。同时它还能促进外周组织对糖的利用。总之,它加速了糖和脂肪代谢,特别是促进许多组织的糖、脂肪及蛋白质的分解氧化过程,从而增加机体的耗氧量和产热量。

三)其它方面

此外,甲状腺激素对于一些器官的活动也有重要的作用。它对维持神经系统的兴奋性有重要的意义。甲状腺激素可直接作用于心肌,促进肌质网释放Ca2+,使心肌收缩力增强,心率加快。  

甲状腺功能调节[编辑 | 编辑源代码]

(一)下丘脑-腺垂体-甲状腺功能轴

下丘脑神经内分泌细胞分泌TRH,促进腺垂体分泌TSH。TSH是调节甲状腺分泌的主要激素。动物去垂体后,其血中TSH迅速消失,甲状腺吸收碘的速率下降,腺体逐渐萎缩,只靠自身调节(见后)维持最低水平的分泌。给这种动物注射TSH可以维持甲状腺的正常分泌。切断下丘脑与脑垂体门脉的联系,或损坏下丘脑促甲状腺区,均能使血中TRH含量显著下降,TSH、及甲状腺激素含量也相应降低。这说明下丘脑-腺垂体- 甲状腺间存在功能联系。

甲状腺激素在血中的浓度,经常反馈调节腺垂体分泌TSH的活动。当血中游离的甲状腺激素浓度增高时,将抑制腺垂体分泌TSH,是一种负反馈。这种反馈抑制是维持甲状腺功能稳定的重要环节。甲状腺激素分泌减少时,TSH分泌增加,促进甲状腺滤泡代偿性增大,以补充合成甲状腺激素,以供给机体的需要。

(二)体内外的其它刺激

体内外各种刺激可以通过感受器,经传入神经传到中枢,促进或抑制下丘脑分泌TRH,进而再影响甲状腺素的分泌。例如寒冷就是通过皮肤冷感受器经上述环节促进甲状腺分泌。

(三)自身调节

甲状腺功能的自身调节,这是指在完全缺少TSH或TSH浓度基本不变的情况下,甲状腺自身对碘供应的多少而调节甲状腺素的分泌。当食物中碘供应过多时,首先使甲状腺激素合成过程中碘的转运发生抑制,同时使合成过程也受到抑制,使甲状腺激素合成明显下降。如果碘量再增加时,它的抗甲状腺合成激素的效应消失,使甲状腺激素的合成增加。此外,过量的碘还有抑制甲状腺激素释放的作用。相反,外源碘供应不足时,碘转运机制将加强,甲状腺激素的合成和释放也增加,使甲状腺激素分泌不致过低。碘的这种作用原理尚不清楚。

(四)交感神经的作用

甲状腺滤泡受交感神经支配,电刺激交感神经可使甲状腺激素合成增加  

甲状腺的检查方法[编辑 | 编辑源代码]

(一)视诊 观察甲状腺的大小和对称性,正常人甲状腺外观不突出,女性在青春发育期可略增大。检查时嘱咐被检查者做吞咽动作,可见甲状腺随吞咽动作而向上移动,如不易辨认时,再嘱咐被检查者两手放于枕后,头向后仰,再进行观察即较明显。

(二)触诊 (1)甲状腺峡部:甲状腺峡部位于环状软骨下方第二至第四气管环前面。站于受检者前面用拇指或站于受检者后面用示指从胸骨上切迹向上触摸,可感到气管前软组织,判断有无增厚,请受检者吞咽,可感到此软组织在手指下滑动,判断有无长大和肿块。(2)甲状腺侧叶:前面触诊:一手拇指施压于一侧甲状软骨,将气管推向对侧,另一手示指、中指在对侧胸锁乳突肌后缘向前推挤甲状腺侧叶,拇指在胸锁乳突肌前缘触诊,配合吞咽动作,重复检查,可触及被推挤的甲状腺。用同样方法检查另一侧甲状腺。后面触诊:类似前面触诊。一手示指、中指施压于一侧甲状软骨,将气管推向对侧,另一手拇指在对侧胸锁乳突肌后缘向前推挤甲状腺,示、中指在其前缘触诊甲状腺。配合吞咽动作,重复检查。用同样方法检查另一侧甲状腺。

(三)听诊 当触到甲状腺肿大时,用钟型听诊器直接放在肿大的甲状腺上,如听到低调的连续性静脉“嗡鸣”音,对诊断甲状腺功能亢进很有帮助。另外,在弥漫性甲状腺肿伴功能亢进者还可听到收缩期动脉杂音。

(四)甲状腺肿大可分三度:不能看出肿大但能触及者为Ⅰ度;能看到肿大又能触及,但在胸锁乳突肌以内者为Ⅱ度;超过胸锁乳突肌外缘者为Ⅲ度。

甲状腺实验

甲状腺:55号切片,猪或猫甲状腺和甲状旁腺,H.E染色。

被膜:由结缔组织构成,伸入实质内,将实质分成许多小叶。

腺泡:圆形或卵圆形,腺泡腔内含有粉红色胶状物质。腺泡上皮为单层立方上皮。有胞质清亮的细胞,夹在腺泡上皮和基膜之间,有一种体积较大的细胞称为腺泡旁细胞。

甲状腺偏方

祖国医学称甲状腺肿为“瘿”病。早在晋代蔼洪《肘后方》中,就有用海藻等食物治疗瘿病的记载。近代科学研究证明,海产动植物如海带、海藻、海蜇、海蜒、海龙以及海产贝壳类和鱼类,含碘量均很高,因此古代医学家用它们治疗瘿病是有科学道理的。

中医认为这些食物具有软坚、消痰降火滋阴利水等功效,对甲状腺肿大具有治疗功能。

以下推荐几例以含碘海产食物为主配制成的食疗方供甲状腺肿病人选用。

绿豆海带汤】

功能:清凉解毒、削肿软坚,除瘿瘤

主治:青春期甲状腺功能亢进、缺乏碘性甲状腺肿大。

用料:海带30克,绿豆60克,大米30克,陈皮6克,红糖60克。

制法:将海带泡软洗净切丝。沙锅内加清水,放入大米、绿豆、海带、陈皮,煮至绿豆开花为宜,加入红糖溶匀服食。不喜甜食者可酌加食盐调味。

海星带煲瘦肉】

功能:消肿软坚,散结消痰。

主治:一般甲状腺肿初起。

用料:海星1个,瘦肉60克,红枣5枚。

制法:将海星洗净斩块,瘦肉切块,红枣去核,一起放进锅内煲汤。至热加盐,饮汤吃肉,常服有效。

紫菜煲贴贝】

功能:软坚散结,消瘿病。

主治:一般甲状腺肿初起。

用料:干贴贝(淡菜)60克,紫菜15克。

制法:紫菜清水洗净,贴贝清水浸透,入瓦锅内清水同煲,调味后吃肉饮汤。

甲状腺手术

甲状腺手术是治疗甲亢的有效方法,引起的并发症不多见,尤其在医疗水平较高的医院进行手术则更为少见。因此,需用手术治疗的甲亢患者千万不能过分担心那些不大可能山现的并发症,否则会因顾虑太多而影响手术治疗的方法。从而失去治愈疾病的机会。

几种主要手术的并发症如下:

(1)出血:术中结扎不紧而脱落可引起术后出血。动脉出血迅速且发展快,往往要再手术止血。静脉山血发展较慢,不一定要再手术止血。

(2)喉返神经麻痹:手术损伤喉返神经可以引起喉返神经麻痹。单侧损伤可引起声音改变,两侧损伤可引起呼吸困难

(3)喉上神经麻痹:损伤喉上神经可以引起声带松弛,音调改变。

(4)低血钙抽搐:切除或损伤甲状旁腺(长在甲状腺背侧,一般为4个甲状旁腺),引起低血钙抽搐,表现手足特征性抽搐。

(5)甲亢危象:手术诱发甲亢危象。

(6)甲状腺功能减退:少数患者在术后出现甲状腺功能减退。发生甲状腺功能减退的原因有两种可能性。其一,甲状腺切除过多,留下的甲状腺组织不能合成和分泌足够的甲状腺激素。其二,原伴有慢性淋巴性甲状腺炎,这种病例体内有破坏甲状腺组织的抗体存在,因此,即使甲状腺组织切除不过多,也可以引起甲状腺功能减退。甲状腺功能减退发生的时间可早可晚,一般来说,发生较早的,可能是甲状腺切除过多所致;发生较晚的,可能与伴有慢性淋巴性甲状腺炎有关。  

甲状腺疾病患者的饮食禁忌[编辑 | 编辑源代码]

甲亢

1、慎用含碘过高食物 甲亢并非因缺碘而致,使用碘治疗应遵照医师指导准确使用碘的剂量。否则饮食中大量摄碘,如海带、海藻、昆布等,影响医生对病情的判断与分析,将干扰临床治疗。

2、甲亢患者多属阴虚阳亢证型,应禁忌以下食物 忌辛辣食物,如辣椒韭菜、生葱、生姜、生蒜等,以及热性和有壮阳升火作用之食物,如:桂皮、生姜、羊肉狗肉鹿肉、麻雀、海虾、海马、海参等。避免煎、炸、烧、烤食物,以免助热升阳,化燥耗阴。忌过食油腻厚味,以免助湿生痰化热。

3、禁烟戒酒 烟酒均为辛燥火烈之物,久之伤阴,化燥,生热。往往使病情加重,干扰治疗。

甲减

1、甲状腺功能减退症,中医辨证阳虚为主要方面,阳虚则生内寒。因而饮食应以温阳补虚食品为要,禁忌过食生冷,如冰激凌、冰棒、冰水、冰镇食品等。

2、甲状腺功能减退症,多合并血清胆固醇升高,应适当调控脂类物质的摄取。  

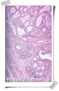
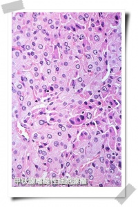
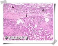
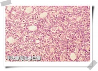
甲状腺组织切片HE染色图谱[编辑 | 编辑源代码]

甲状腺恶性淋巴瘤 HE染色
甲状腺滤泡-乳头混合腺癌切片 HE染色
甲状腺滤泡状癌切片 HE染色
甲状腺嗜酸性细胞腺瘤切片 HE染色
甲状腺原发性肉瘤 HE染色
甲状腺小结节 HE染色

参看[编辑 | 编辑源代码]