衣原体

来自医学百科

衣原体革兰氏阴性病原体,在自然界中传播很广泛。它没有合成高能化合物ATP、GTP的能力,必须由宿主细胞提供,因而成为能量寄生物,多呈球状、堆状,有细胞壁,以一般寄生动物细胞内。从前它们被划归病毒,后来发现自成一类。它是一种比病毒大、比细菌小的原核微生物,呈球形,直径只有O.3-0.5微米,它无运动能力,衣原体广泛寄生于人类,哺乳动物及鸟类,仅少数有致病性

Bkho7.jpg

  

简介[编辑 | 编辑源代码]

概念[编辑 | 编辑源代码]

衣原体是一类能通过细胞滤器,有独特发育周期、严格细胞内寄生原核细胞型微生物。 主要是通过性接触传播,进入生殖道后,喜欢进入粘膜细胞内生长繁殖,在女性引起子宫内膜炎输卵管炎盆腔炎尿道炎等。在男性可引起尿道炎、附睾炎直肠炎炎症。女性感染沙眼衣原体,会引起不孕异位妊娠(宫外孕)、流产死胎胎膜早破早产等。  

存在形态[编辑 | 编辑源代码]

衣原体有两种存在形态,分别称为原体和始体。原体有感染力,它是一种不能运动的球状细胞。原体逐渐伸长,形成无感染力的个体,称为始体,这是一种薄壁的球状细胞,形体较大。  

与细菌区别[编辑 | 编辑源代码]

衣原体是一种既不同于细菌也不同于病毒的一种微生物,属于原核生物,即细胞内没有形成核膜的细胞核。衣原体与细菌的主要区别是其缺乏合成生物能量来源的ATP酶,也就是说衣原体自己不能合成生物能量物质ATP,其能量完全依赖被感染的宿主细胞提供。而衣原体与病毒的主要区别在于其具有DNA、RNA两种核酸核糖体和一个近似细胞壁的膜,并以二分裂方式进行增殖,能被抗生素抑制.衣原体属于原核类生物。  

感染与致病机理[编辑 | 编辑源代码]

总体简述[编辑 | 编辑源代码]

衣原体以鹦鹉热病原体和沙眼病原体为代表的专性寄生性的微生物。最早是由宫川米次等(1935)从腹股沟淋巴肉芽肿患者的染色体中作为宫川小体而发现的,被命名为宫川氏体(Miyagawanella)(E.Brumpt,1938)。其后,相继又出现很多其它名称,例如作为立克次氏体的亲缘种被称为Rickettsia formis、Neor-ickettsia等,也有作为病毒类而称之谓鹦鹅热和腹股沟淋巴肉芽肿病毒(psittacosislymphogranvlo-ma,virus,PLV)、鹦鹉热病毒群(Psittacosisvirus group)等,相当混乱。现在已按伯杰式分类法归为衣原体目(Chlamidiales,L.A.Pagei等,1971)。然而目前尚有许多不明之处。侵染粒子呈直径0.3微米的球形,可用光学显微镜看到;在被细胞壁和细胞膜包裹的细胞质中有核糖体;核酸同时含有DNA和RNA;已证明有葡萄糖代谢活性和蛋白质合成能力;在细胞液胞内增殖,不进入细胞质质内。侵染粒子通过吞噬作用进入细胞波胞内,转化成一般称为网状结构体的粒子。网状结构体通过分裂增殖,在浸染后期成熟为侵染粒子。因此,在增殖周期中,虽没有保持作为粒子的连续性的潜伏期,然而,由于没有证实网状结构体的侵染性,所以从外表看起来,有一个相当于潜伏期的时期。为此,如上所述,直到最近仍作为病毒进行分类。  

感染人体[编辑 | 编辑源代码]

衣原体感染人体后,首先侵入柱状上皮细胞并在细胞内生长繁殖,然后进入单核巨噬细胞系统的细胞内增殖。由于衣原体在细胞内繁殖,导致感染细胞死亡,同时尚能逃避宿主免疫防御功能,得到间歇性保护。衣原体的致病机理是抑制被感染细胞代谢,溶解破坏细胞并导致溶解酶释放,代谢产物的细胞毒作用,引起变态反应自身免疫

当人体感染衣原体后,产生特异性的免疫,但是这种免疫力较弱,持续时间短暂,因此,衣原体感染容易造成持续,反复感染,以及隐性感染细胞免疫方面,大部分活动性已治愈的衣原体患者,给予相应的抗原皮内注射时,常引起迟发型变态反应。这种变态反应可用淋巴细胞进行被动转移。此种免疫性很可能是T细胞所介导。体液免疫方面,在支衣原体感染后,在血清和局部分泌物中出现中和抗体。中和抗体可以阻止衣原体对宿主细胞的吸附,也能通过调理作用增强吞噬细胞的摄入。

衣原体在女性生殖道最常见的侵犯部位是子宫颈,由此而上蔓延可引起子宫内膜炎、输卵管炎、盆腔炎,也可引起急性尿道炎和前庭大腺炎。孕妇如有衣原体感染,分娩胎儿经过产道可引起新生儿眼炎肺炎

妇女感染衣原体后,不一定会出现症状,即使有症状,也因感染部位的不同而有所不同,例如子宫颈感染后可出现宫颈糜烂、宫颈黏膜水肿白带增多(呈脓性)、接触性出血等,输卵管感染可引起下腹痛、腰痛不育。一般来说,这些症状均无特异性。

衣原体可通过性接触,还可通过手、眼、毛巾、衣物、浴器、  

衣原体的类型和相关疾病[编辑 | 编辑源代码]

已知的与人类疾病有关的衣原体有三种,分别是鹦鹉热衣原体、沙眼衣原体和肺炎衣原体。这三种衣原体均可引起肺部感染。鹦鹉热衣原体可通过感染有该种衣原体的禽类,如鹦鹉、孔雀、鸡、鸭、鸽等的组织、血液和粪便,以接触和吸入的方式感染给人类。沙眼衣原体和肺炎衣原体主要在人类之间以呼吸道飞沫、母婴接触和性接触等方式传播。  

衣原体感染的实验室检查[编辑 | 编辑源代码]

1.衣原体细胞培养:对沙眼衣原体敏感的细胞株为McCoy细胞、Hela-229细胞和BHK细胞,最常用的是经放线菌酮处理的单层McCoy细胞,孵育后,用单克隆荧光抗体染色,可迅速诊断,但操作人员一定要熟练,需专业培养。培养法的敏感性为80%-90%,阳性即可确立诊断。

2.衣原体细胞学检查法:在感染细胞内可有衣原体的包涵体存在。从感染部位采取细胞标本涂片,姬姆萨染色包涵体是蓝色或暗紫色,碘染色显示褐色。但敏感性差(40%),目前已较少采用。

近年来采用荧光素标记的抗衣原体单克隆抗体,来检测细胞涂片中的衣原体,使用较为方便,目前主要用衣原体外膜蛋白(MOMP)的单克隆抗体的商品试剂(Mico Trak,Pathfinder,Monofluor)。结果判断:要衣原体数>10个才能判为阳性。  

衣原体标本采集[编辑 | 编辑源代码]

1、取材[编辑 | 编辑源代码]

男性:用无菌棉拭子插入尿道约2cm处旋转,静止数秒钟后取材。

女性:抹去宫颈口粘液,用无菌拭子插入宫颈管l-2cm旋转取材。

尚可用尿道取材、溃疡部位或腹股沟横痃抽吸液。  

2、标本处理[编辑 | 编辑源代码]

将拭子置于采集管内加入提取缓冲液于刻度,800C水浴10分钟,放置室温冷却至少5分钟。  

3、检测[编辑 | 编辑源代码]

滴加5滴标本提取物于试验板的检测窗,静置15分钟,读取结果。  

特征[编辑 | 编辑源代码]

衣原体是一类在真核细胞内专营寄生生活的微生物。研究发现这类微生物具有和革兰氏阴性细菌很多相似。

这些特性是:

(1)有DNA和RNA两种类型的核酸;

(2)具有独特的发育周期,类似细菌的二分裂方式繁殖;

(3)具有粘肽组成的细胞壁;

(4)含有核糖体;

(5)具有独立的酶系统,能分解葡萄糖释放CO2,有些还能合成叶酸盐,但缺乏产生代谢能量的作用,必须依靠宿主细胞的代谢中间产物,因而表现严格的细胞内寄生;

(6)对许多抗生素、磺胺敏感,能抑制生长。1957年开始将衣原体分类于细菌类。

衣原体广泛寄生于人、哺乳动物及禽类,仅少数致病。据抗原构造、包涵体的性质、对磺胺敏感性等的不同,将衣原体属分为沙眼衣原体、鹦鹉热衣原体肺炎衣原体三个种。其中沙眼衣原体又有三个生物变种,即沙眼生物变种、性病淋巴肉芽肿(LGV)生物变种和鼠生物变种。沙眼生物变种还有A~K14个血清型(包括Ba、Da、Ia)。LGV生物变种还有4个血清型,即L1、L2、L2a和L3。

衣原体

衣原体(chlamyida)是一类能通过细菌滤器,严格细胞内寄生,有独特发育周期的原核细胞性微生物。过去认为是病毒,先归属细菌范畴。衣原体广泛寄生于人类、鸟类及哺乳动物。能引起人类疾病的有沙眼衣原体、肺炎衣原体、鹦鹉热肺炎衣原体。其共同特征:

1 体积大于病毒,约250~500nm,在光学显微镜下可以查见。

2 含有DNA和RNA。

3 具有细胞壁,但无肽聚糖,只含微量的细胞壁,由二硫键连接的多肽作为支架。

4 对多种抗生素敏感。

5 具有一些酶类但不够完善,这些酶缺乏产生代谢能量的作用,要由主细胞提供。能在鸡胚卵黄囊及多种细胞中生长繁殖。

6 有独特发育周期,仅在活细胞内以二分裂方式繁殖。  

生物学性状[编辑 | 编辑源代码]

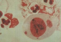
1 发育周期与形态染色 衣原体在宿住主细胞内繁殖有特殊生活周期,可观察到两种不同的颗粒结构:(1)原体(elementary body,EB)直径为0.2~0.4的小球形颗粒,有胞壁,内有核质核蛋白体,是发育成熟的衣原体,为细胞外形式。Giemsa 染色呈紫色,Gimenez 染色呈红色。原体具有高度的感染性,在宿主细胞外教稳定,无繁殖能力,通过吞饮作用进入胞内,原体在空泡中逐渐发育、增大成为网状体。(2)网状体(reticulate body,RB)或称始体(initial body),EB通过吞饮作用进入胞内,由宿主惜败包围EB形成空泡,并在空泡内逐渐增大为RB。直径为0.5~1.0μm,圆形或椭圆形。电子致密度较低,无胞壁,代谢活泼,以二分裂方式繁殖。RB为细胞内形式,无感染性,Macchiavello染色呈蓝色。RB在空泡内发育成许多子代EB也称为包涵体。成熟的EB从宿主细胞中释放,在感染新的易感细胞,开始新的发育周期,整个发育周期约需48~72h.

2 培养特性 衣原体为专性细胞内寄生,不能用人工培养基培养,可用鸡胚卵黄囊及HeLa-299、BHK-21、McCoy等细胞培养。将接种标本的细胞培养管离心,促进衣原体粘附进入细胞;或在培养管内加入二乙氨乙基葡聚糖,以增强衣原体吸附于易感细胞,提高分离培养阳性率。

3 类型 根据抗原构造、包涵体性质和对磺胺敏感性,衣原体可分为沙眼衣原体、肺炎衣原体、鹦鹉热衣原体三个种。沙眼衣原体有三个生物变种即沙眼生物变种、性病淋巴肉芽肿生物和鼠生物变种。其中沙眼生物变种有A、B、C、D、J、K、等血清型,性病淋巴肉芽肿生物变种有L1、L2、L3、L2a、四个血清。用单克隆抗体识别鹦鹉热衣原抗原可分为4个血清型。肺炎衣原体只有1个血清型。

4 抵抗力 衣原体耐冷不耐热,56~60度仅存活5~10min,在-70度可保存数年。0.1%甲醛液、0.5%石碳酸30min可杀死。75%酒精0.5min可杀死。对四环素红霉素螺旋霉素强力霉素及利副平均很敏感。  

二 致病性与免疫性[编辑 | 编辑源代码]

1.致病机理 衣原体能产生类似格兰阴性菌内的内毒素静脉注射小白鼠,能迅速使动物死亡。体外试验提示,衣原体表面脂多糖和蛋白促进 其吸附雨易感细胞,促进易感细胞对衣原体的内吞作用,并能阻止吞噬体溶酶体的融合,从而使衣原体在吞噬体内繁殖破坏细胞。受衣原体感染的细胞代谢被抑制,最终被破坏。

2.所致疾病

(一)沙眼: 由衣原体沙眼生物变种A、B、Ba、C血清型引起。主要经直接或间接接触传播,即眼~眼或眼~手~眼的途经传播。当沙眼衣原体感染眼结膜上皮细胞后,在其中增殖并在胞浆内形成散在型、帽型、桑椹型或填塞型包涵体。该病发病缓慢,早期出现眼睑结膜急性或亚急性炎症,表现流泪、有粘液脓性分泌物、结膜充血等症状与体征。后期移行为慢性,出现结膜瘢痕眼睑内翻倒睫角膜血管翳引起的角膜损害,以致影响视力,最后导致失明。据统计沙眼居致盲病因的首位。1956年我国学者汤飞凡等人用鸡胚卵黄囊接种法,在世界上首次成功地分离出沙眼衣原体,从而促进了有关原体的研究。

(二)包涵体包膜炎:由沙眼生物变种D~K血清型引起。包括婴儿及成人两种。前者系婴儿经产道感染,引起急性化脓性结膜炎(包涵体脓漏眼),不侵犯角膜,能自愈。成人感染可因两性接触,经手至眼的的途径或者来自污染的游泳池水,引起滤泡性结膜炎又称游泳池结膜炎。病变类似沙眼,但不出现角膜血管翳,亦无结膜瘢痕形成,一般经数周或数月痊愈,无后遗症。

(三)泌尿生殖道感染:经性接触传播,由沙眼生物变种D~K血清型引起。男性多表现为尿道炎,不经治疗可缓解,但多数转变成慢性,周期性加重,并可合并副睾炎、直肠炎等。女性能引起尿道炎、宫颈炎等,输卵管炎是较严重并发症。该血清型有时也能引起沙眼衣原体性肺炎。

(四)性病淋巴肉芽肿:由沙眼衣原体LGV生物变种引起。LGV要通过两性接触传播,是一种性病。男性侵犯腹股沟淋巴结,引起化脓性淋巴结炎和慢性淋巴肉芽肿。女性可侵犯会阴肛门直肠,出现会阴~肛门~直肠组织狭窄

(五)呼吸道感染:由肺炎衣原体及鹦鹉热衣原体引起。肺炎衣原体引起急性呼吸道感染,以肺炎多见,也可致气管炎咽炎蹬。鹦鹉热原为野生鸟类及家畜的自然感染,也可经呼吸道传给人,发生呼吸道感染和肺炎。  

三 免疫性[编辑 | 编辑源代码]

衣原体感染后能诱导产生型异性细胞和体液免疫。但保护性不强,为时短暂,因此衣原体的感染常表现为持续感染,反复感染或隐形感染。有些衣原体抗原注入人皮后内可造成免疫病理损伤。  

衣原体感染中干扰素的作用[编辑 | 编辑源代码]

干扰素在动物模型中的作用[编辑 | 编辑源代码]

Pank等用沙眼衣原体鼠模型引起下生殖道感染,检测 I F N-γ所引起的保护作用。给鼠应用各种抗 I F N-γ单克隆抗体或用重组I F N-γ处理沙眼衣原体后再感染。结果显示,积极给予I F N-γ,有助于清除衣原体。

Zhong等用研究沙眼衣原体内源性 I F N-γ的局部防御作用,在衣原体感染时脾细胞分泌的 I F N-γ与肝组织中微生物的清除量相关联,把已免疫的动物的脾细胞移植到未免疫的鼠中,随后感染衣原体。结果可减少受体动物的感染。而用单克隆抗体处理的动物则引起严重的感染。这些资料表明,内源性 I F N-γ在清除沙眼衣原体L1型系统感染时有重要作用, I F N-γ在多部位显示活性。

生殖道组织的组织病理显示,用抗体处理过的动物,输卵管感染组织的炎症渗出显著减轻。这与用免疫组织化学方法检测到的对衣原体免疫的减弱相平行。从黏膜下到分泌物中的衣原体特异抗体,对生殖道衣原体感染有保护作用。  

γ干扰素在细胞培养系统中的作用[编辑 | 编辑源代码]

T细胞产生的γ干扰素( IFN-γ)能限制衣原体在被活化的单核巨噬细胞、成纤维细胞和上皮细胞中的生长。Beatty 等的研究显示,高水平的I F N-γ完全抑制衣原体的生长,而中、低浓度则导致不同于原体和始体的亚细胞结构的增大、非典型非感染状态的形成。用于这些细胞培养试验的I F N-γ的浓度在衣原体感染后的体内也获得证实。这些非典型微生物有着不同的表达衣原体抗原的方式,如合成热休克蛋白60(一种免疫致病机制抗原),外膜蛋白合成的减少(一种保护性抗原),甚至一些衣原体结构如类脂质(L P S)或Mr 6000包膜蛋白的表达也受到抑制。在进一步的实验中,Beatty 等研究了持续感染细胞培养中提取的感染衣原体的活化。把这些不正常的微生物转移至没有I F N-γ的培养基中,结果发现了感染性病原体。这种现象中膜结构蛋白表达增加,畸变病原体重新变成形态典型的衣原体。衣原体感染眼和尿道黏膜上皮细胞,这些细胞的更新都很快,因此认为不可能存在持续的衣原体感染。然而,初步的资料显示衣原体能在皮下组织中存在。  

沙眼衣原体快速检测[编辑 | 编辑源代码]

衣原体按其特性分为三类:沙眼衣原体(Chlamydia Trachomatis)、鹦鹉热衣原体(Chlamydia Psittas)和肺炎衣原体(Chlamydia Pneumoniae)。沙眼衣原体有15个已知的血清型,其中12个血清型与沙眼和生殖道的感染有关;另外3个则与性病性淋巴肉芽肿(Lymphor Ganuloma Venereun, LGV)的发生有关。

沙眼衣原体快速检测目前分定性和定量快速检测。目前流行常用的为金标定性快速检测。其检测原理为:用抗衣原体脂多糖单克隆抗体和羊抗鼠IgG多克隆抗体分别固定于固相硝酸纤维素膜,并和胶体金标记的另一抗衣原体脂多糖单克隆抗体及其他试剂和原料制成,应用胶体金免疫层析技术,采用双抗体夹心的形式建立的衣原体检测方法,用于女性宫颈和男性尿道中衣原体的检测。从而达到检测女性宫颈和男性尿道中衣原体的存在,临床辅助诊断衣原体感染,试验结果还需要临床医生结合患者症状、体征及其它检查结果进一步确定的目的。

金标法定性沙眼衣原体快速检测有着快速、方便、准确性高的优点。为临床医生的辅助诊断等节省了很多时间。为目前市面上沙眼衣原体快速检测的主流。  

预防和减少衣原体感染的措施[编辑 | 编辑源代码]

新婚夫妇在准备怀孕前应该进行衣原体检测,若存在衣原体感染,应于治愈后再怀孕;其次,妊娠早期检测,若检测为阳性,应及时治疗,以免对胎儿构成损害。未孕妇女可服用美满霉素、红霉素等药物,孕妇只限用红霉素治疗。红霉素副作用小,衣原体是一种通过性接触传播的疾病,也存在间接性感染,因此,夫妇双方重视性卫生,杜绝不洁性生活,对预防衣原体感染具有十分重要的意义。

参看[编辑 | 编辑源代码]