肺水肿

来自医学百科

肺水肿(pulmonaryedema)是肺脏内血管与组织之间液体交换功能紊乱所致的肺含水量增加。

肺水肿

本病可严重影响呼吸功能,是临床上较常见的急性呼吸衰竭的病因。主要临床表现为极度呼吸困难端坐呼吸紫绀,大汗淋漓,阵发性咳嗽伴大量白色或粉红色泡沫痰,双肺布满对称性湿啰音,X线胸片可见两肺蝶形片状模糊阴影,晚期可出现休克甚至死亡。动脉血气分析早期可有低O2、低CO2分压、严重缺O2、CO2 潴留混合性酸中毒

肺水肿

 

发病机理[编辑 | 编辑源代码]

解剖基础[编辑 | 编辑源代码]

肺泡表面为上皮细胞,约有90%的肺泡表面被扁平I型肺泡细胞覆盖,有较少的Ⅱ型肺泡细胞。这些肺泡上皮细胞排列紧密,正常情况下液体不能透过。Ⅱ型肺泡细胞含有丰富的磷脂类物质,主要成分是二软脂酰卵磷脂,其分泌物进入肺泡,在肺泡表面形成一薄层具减低肺泡表面张力的表面活性物质,使肺泡维持扩张,并有防止肺泡周围间质液向肺泡腔渗漏的功能。肺毛细血管内衬着薄而扁平的内皮细胞,内皮细胞间的连接较为疏松,允许少量液体和某些蛋白质颗粒通过。

电镜观察可见肺泡的上皮与血管内皮的基底膜之间不是完全融合,与毛细血管相关的肺泡壁存在一侧较薄和一侧较厚的边。薄侧上皮与内皮的基底膜相融合,即由肺泡上皮、基底膜和毛细血管内皮三层所组成,有利于血与肺泡的气体交换。厚侧由肺毛细血管内皮层、基底膜、胶原纤维和弹力纤维交织网、肺泡上皮、极薄的液体层和表面活性物质层组成。上皮与内皮基底膜之间被间隙(肺间质)分离,该间隙与支气管血管束周围间隙、小叶间隔和脏层胸膜下的间隙相连通,以利液体交换。进入肺间质的液体主要通过淋巴系统回收。在厚侧肺泡隔中,电镜下可看到神经和点状胶原物质组成的感受器。当间质水分增加,胶原纤维肿胀刺激“J”感受器,传至中枢,反射性使呼吸加快加深,引起胸腔负压增加,淋巴管液体引流量增多。  

生理基础[编辑 | 编辑源代码]

控制水分通过生物半透膜的各种因素可用Starhing公式概括。当将其应用到肺并考虑到滤过面积和回收液体至血管内的机制时,可改写为下面公式:

EVLW={(SA×Lp)〔(Pmv-Ppmv)-σ(πmv-πpmv)〕}-Flymph

式中EVLW为肺血管外液体含量;SA为滤过面积;Lp为水流体静力传导率;Pmv和Ppmv分别为微血管内和微血管周围静水压;σ为蛋白反射系数;πmv和πpmv分别为微血管内和微血管周围胶体渗透压;Flymph为淋巴流量,概括了所有将液体回收到血管内的机制。

肺水肿

这里需要指出的是,之所以使用微血管而不是毛细血管这一术语,是因为液体滤出还可发生在肺小动脉和小静脉处。此外,SA×Lp=Kf,是水传导力的滤过系数。虽然很难测定SA和Lp,但其中强调了SA对肺内液体全面平衡的重要性。反射系数表示血管对蛋白的通透性。如果半透膜完全阻止可产生渗透压的蛋白通过,σ值为1.0,相反,如其对蛋白的滤过没有阻力,σ值为0。因此,σ值可反映血管通透性变化影响渗透压梯度,进而涉及肺血管内外液体流动的作用。肺血管内皮的σ值为0.9,肺泡上皮的σ值为1.0。因此,在某种程度上内皮较肺泡上皮容易滤出液体,导致肺间质水肿发生在肺泡水肿前。

从公式可看出,如果SA,Lp,Pmv和πpmv部分或全部增加,其它因素不变,EVLW即增多。Ppmv,σ,πmv和Flymph的减少也产生同样效应。由于重力和肺机械特性的影响,肺内各部位的Pmv和Ppmv并不是均匀一致的。在低于右心房水平的肺区域中,虽然Pmv和Ppmv均可升高,但Pmv的升高大于Ppmv升高的程度,这有助于解释为什么肺水肿易首先发生在重力影响最明显的部位。

正常时,尽管肺微血管和间质静水压力受姿势,重力、肺容量乃至循环液体量变化的影响,但肺间质和肺泡均能保持理想的湿润状态。这是由于淋巴系统、肺间质蛋白和顺应性的特征有助于对抗液体潴留和连续不断地清除肺内多余的水分。肺血管静水压力和通透性增加时,淋巴流量可增加10倍以上。起次要作用的是间质蛋白的稀释效应。它是由微血管内静水压力升高后致液体滤过增多引起,降低πpmv,反过来减少净滤过量,但对血管通透性增加引起的肺水肿不起作用。预防肺水肿的另一因素是顺应性变化效应。肺间质中紧密连接凝胶结构不易变形,顺应性差,肺间质轻度积液后压力即迅速升高,阻止进一步滤过。但同时由于间质腔扩大范围小,移除肺间质水分的速度赶不上微血管滤出的速度时,易发生肺泡水肿。  

发病机理[编辑 | 编辑源代码]

尽管上面列举了影响肺血管内外液体交换的各自因素,但实际上肺水肿通常是多种发病机理的综合效应。下面仅就几种临床常见肺水肿的发病机理作一简要介绍。

(一)肺微血管静水压力升高性肺水肿临床常见于心肌梗塞、高血压主动脉等疾患引起的左心衰,二尖瓣狭窄肺静脉闭塞性疾病引起肺静脉压升高时,引起肺微血管静水压升高。同时还可扩张已关闭的毛细血管床,造成通透系数增加。当这两种因素引起的液体滤过量超过淋巴系统清除能力时,即产生肺水肿。

(二)微血管和肺泡壁通透性增加性肺水肿弥漫性肺部感染,吸入有毒气体和休克(特别是革兰氏阴性杆菌败血症出血性胰腺炎)均可损害毛细血管内皮和肺泡上皮,增加通透性引起肺水肿。

(三)血浆胶体渗透压降低虽然肝肾疾病可引起低蛋白血症,降低胶体渗透压,但由于同时伴有微血管周围的胶体渗透压下降,故很少产生肺水肿。只有同时伴有微血管内静水压力升高时,才诱发肺水肿。

(四)肺淋巴回流障碍据推测成人肺淋巴流量稳态时可达200ml/h,是阻止肺水肿最重要的因素。急性微血管静水压力或通透性增加时,肺淋巴流量可增加10倍以上,减慢肺水肿形成的速度。当其引流不畅或瘀滞时,即可诱发肺间质甚至肺泡水肿。

(五)复张后肺水肿胸穿排气或抽液速度过快、量过多时,可骤然加大胸腔负压,降低微血管周围静水压,增加滤过压力差。同时由于过大胸腔负压的作用,肺毛细血管开放的数量和流入的血流量均增多,使滤过面积和滤过系数均增加。另外,肺组织萎缩后表面活性物质生成减少,降低肺泡上皮的蛋白反射系数,诱发形成肺泡水肿。

(六)高原肺水肿易发生在3000米以上高原,过量运动或劳动为诱发因素,多见25岁以下年轻人。机理尚不清楚。可能与肺小动脉或肺静脉收缩有关。病人吸氧或回到平原后病情改善提示低氧的作用,但低氧本身并不改变肺微血管的通透性。因此,运动后心输出量增多和肺动脉压力升高与低氧性肺小动脉收缩一起,可产生这一典型的前小动脉压力升高性肺水肿。

(七)神经原肺水肿可发生在患中枢神经系统疾病但没有明显左心衰的患者。很多研究提示与交感神经系统活动有关。肾上腺素能介质大量释放导致末梢血管收缩,升高血压,将血液转移到循环中,同时可发生左心室顺应性降低。两种因素均升高左房压,诱发肺水肿。此外,刺激肾上腺素能受体可直接增加毛细血管通透性,但与升高压力比较,这一作用相对较小。  

病理改变[编辑 | 编辑源代码]

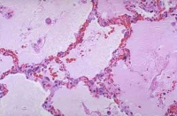
肺表面苍白,含水量增多,切面有大量液体渗出显微镜下观察,可将其分为间质期,肺泡壁期和肺泡期。

间质期是肺水肿的最早表现,液体局限在肺泡外血管和传导气道周围的疏松结缔组织中,支气管、血管周围腔隙和叶间隔增宽,淋巴管扩张。液体进一步潴留时,进入肺泡壁期。液体蓄积在厚的肺泡毛细血管膜一侧,肺泡壁进行性增厚。发展到肺泡期时,可见充满液体的肺泡壁丧失了环形结构,出现褶皱。无论是微血管内压力增高还是通透性增加引起的肺水肿,肺泡腔内液体的蛋白均与肺间质内相同,提示表面活性物质破坏,而且上皮丧失了滤网能力。

肺水肿

肺水肿的病理生理改变可影响到顺应性,弥散,通气/血流比值及呼吸类型。其程度与上述的病理改变有关,间质期最轻,肺泡期最重。肺含水量增加和肺表面活性物质破坏,可降低肺顺应性,增加呼吸功。间质和肺泡壁液体潴留可加宽弥散距离。肺泡内部分或全部充满液体可引起弥散面积减少和通气/血流比值降低,产生肺泡动脉血氧分压差增加和低氧血症。区域性肺顺应性差异易使吸入气体进入顺应性好的肺泡,增加通气/血流比值。同时由于肺间质积液刺激了感受器,呈浅速呼吸类型,进一步增加每分钟死腔通气量,减少呼吸效率、增加呼吸功耗。当呼吸肌疲劳不能代偿性增加通气量保证肺泡通气后,即出现CO2潴留和呼吸性酸中毒

肺水肿间质期即可表现出对血流动力学的影响。间质静水压力升高可压迫附近微血管,增加肺循环阻力,升高肺动脉压力。低氧和酸中毒还可直接收缩肺血管,进一步恶化血流动力学,加重右心负荷,引起心功能不全。如不及时纠正,可因心衰心律失常而死亡。  

临床表现[编辑 | 编辑源代码]

肺水肿间质期,患者常有咳嗽胸闷,轻度呼吸浅速、急促。查体可闻及两肺哮鸣音,心源性肺水肿可发现心脏病体征。PaO2和PaCO2均轻度降低。肺水肿液体渗入肺泡后,患者可表现为面色苍白,紫绀,严重呼吸困难,咳大量白色或血性泡沫痰,两肺满布湿罗音血气分析提示低氧血症加重,甚至出现CO2潴留和混合性酸中毒。   

化验检查[编辑 | 编辑源代码]

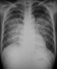
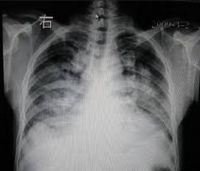
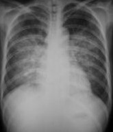
肺水肿间质期的X线表现主要为肺血管纹理模糊,增多,肺门阴影不清,肺透光度降低,肺小叶间隔增宽。两下肺肋膈角区可见与胸膜垂直横向走行的KerleyB线,偶见上肺呈弧形斜向肺门较KerleyB线长的KerleyA线。肺泡水肿主要表现为腺泡状致密阴影,呈不规则相互融合的模糊阴影,弥漫分布或局限于一侧或一叶,或从肺门两侧向外扩展逐渐变淡成典型的蝴蝶状阴影。有时可伴少量胸腔积液。但肺含量增加30%以上才可出现上述表现。CT和核磁共振成像术可定量甚至区分肺充血和肺间质水肿,但费用昂贵。  

肺水肿2

鉴别诊断[编辑 | 编辑源代码]

根据病史、症状、体检和X线表现常可对肺水肿作出明确诊断,但由于肺含水量增多超过30%时才可出现明显的X线变化,必要时可应用CT和核磁共振成像术帮助早期诊断和鉴别诊断。热传导稀释法和血浆胶体渗透压肺毛细血管楔压梯度测定可计算肺血管外含水量及判断有无肺水肿,但均需留置肺动脉导管,为创伤性检查。用99mTc人血球蛋白微囊或113mIn运铁蛋白进行肺灌注扫描时,如果血管通透性增加,可聚集在肺间质中,通透性增加性肺水肿尤其明显。此外,心原性与非心原性肺水肿在处理上有所不同,二者应加以鉴别。  

诊断依据[编辑 | 编辑源代码]

间质性肺水肿[编辑 | 编辑源代码]

  • 肺纹理和肺门阴影边缘模糊。
    肺水肿
  • 肺血重新分布现象,即由正常时上肺血管比下肺血管细变为上肺野血管增粗。
  • 支气管袖口征,支气管轴位投影可见管壁环形厚度增宽,边缘模糊,称为袖口征。
  • 间隔线阴影,其病理基础是小叶间隔水肿。可分为KerleyA、B、C线,以B线最常见,长度小于2cm,与胸膜垂直。
  • 胸膜下水肿,类似胸膜增厚,不随体位改变而变化。叶间胸膜下水肿表现为叶间裂增厚。
  • 常合并心影增大。可有少量胸水

肺泡性肺水肿[编辑 | 编辑源代码]

  • 肺泡实变阴影,早期呈结节状阴影,约0.5-1cm大小,边缘模糊,很快融合成斑片或大片状阴影,有含气支气管影像.密度均匀。
  • 分布和形态呈多样性,可呈中央型、弥漫型和局限型。中央型表现为两肺中内带对称分布的大片状阴影,肺门区密度较高,形如蝶翼称为蝶翼征。局限型可见于一侧或一叶,多见于右侧。除片状阴影外,还可呈一个或数个较大的圆形阴影,轮廓清楚酷似肿瘤
  • 动态变化:肺水肿最初发生在肺下部、内侧及后部,很快向肺上部、外侧及前部发展,病变常在数小时内有显著变化。
  • 胸腔积液:较常见,多为少量积液,呈双侧性。
  • 心影增大。

肾性肺水肿[编辑 | 编辑源代码]

除上述影像特点外,还可表现有如下特点:

  • 肺血管阴影普通增粗。
  • 血管蒂增宽。
  • 弥漫性分布:见于慢性肾炎尿毒症。肺野外带有较多阴影。  

治疗方法[编辑 | 编辑源代码]

(一)病因治疗对肺水肿的预后至关重要,可减轻或纠正肺血管内外液体交换紊乱。输液速度过快者应立即停止或减慢速度。尿毒症患者可用透析治疗。感染诱发者应立即应用适当抗生素。毒气吸入者应立即脱离现场,给予解毒剂。麻醉剂过量摄入者应立即洗胃及给予对抗药。

肺水肿

(二)吗啡每剂5~10mg皮下或静脉注射可减轻焦虑,并通过中枢性交感抑制作用降低周围血管阻力,将血液从肺循环转移到体循环。还可松弛呼吸道平滑肌,改善通气。对心原性肺水肿效果最好,但禁用于休克、呼吸抑制和慢性阻塞肺病合并肺水肿者。

(三)利尿静脉注射呋喃苯胺酸速尿)40~100mg或丁尿胺1mg可迅速利尿、减少循环血量和升高血浆胶体渗透压,减少微血管滤过液体量。此外静脉注射速尿还可扩张静脉,减少静脉回流,甚至在利尿作用发挥前即可产生减轻肺水肿的作用。但不宜用于血容量不足者。

(四)氧疗肺水肿患者通常需要吸入较高浓度氧气才能改善低氧血症,最好用面罩给氧。湿化器内置75~95%酒精或10%硅酮有助于消除泡沫。低氧血症难以纠正者可应用呼吸机经面罩或人工气道给氧,有助于升高间质静水压减少心输出量并降低微血管内静水压力,减少液体滤出血管外,但禁用于心输出量不足者。

(五)扩血管药静滴硝普钠15~30μg/min可扩张小动脉和小静脉。α受体阻滞剂可阻断儿茶酚胺组胺和5-羟色胺等介质的血管收缩作用,扩张肺和体循环的小动脉、小静脉。两者均可降低心脏前后负荷,减少肺循环血流量和微血管静水压力,进而减轻肺水肿。常用苄胺唑啉0.2~1mg/min或笨苄0.5~1mg/kg静滴。但应注意调整滴数和补充血容量,保持动脉血压在正常范围。

(六)强心药主要适用于快速心房纤颤或扑动诱发的肺水肿。两周内未用过洋地黄类药物者,可用毒毛旋花子甙K0,25mg或毛花甙丙0.4~0.8mg溶于葡萄糖内缓慢静注。

(七)氨茶碱静脉注射氨苯碱0.25g可有效地扩张支气管,改善心肌收缩力,增加肾血流量和钠排除。但应注意注射速度,预防对心脏的不利影响。

(八)肾上腺糖皮质激素对肺水肿的治疗价值存在分歧。一些研究表明,它能减轻炎症反应,减少微血管通透性,促进表面活性物质合成,增强心肌收缩力,降低外周血管阻力和稳定溶酶体膜。可应用于高原肺水肿,中毒性肺水肿心肌炎合并肺水肿。通常用地塞米松20~40mg/d或氢化可地松400~800mg/d静脉注射,连续2~3天。

(九)减少肺循环血量患者坐位,双腿下垂或四肢轮流扎缚静脉止血带,每20min轮番放松一肢体5min ,可减少静脉回心血量。适用于输液超负荷或心原性肺水肿,禁用于休克和贫血患者。  

并发症[编辑 | 编辑源代码]

会造成循环衰竭各器官各系统相既受损最终会导致多器官衰竭  


心力衰竭与肺水肿

参看[编辑 | 编辑源代码]