淤血

来自医学百科
Bkj6n.jpg

淤血多是在外力作用下,使皮下毛细血管破裂出血所致。因血液从毛细血管破裂处外渗致皮下。所以我们在完整的皮肤上可以看到皮肤一片淤青。此时外渗致皮下的血液已属异物,又因皮下神经丰富。所以疼痛感明显。发生淤血24小时后,可以用温水热敷患处。以促进局部血液循环,促进淤血消散。一般皮下淤血机体会慢慢吸收,时间大约需要两周左右。

处理方法:1.在淤血处,用药酒擦拭后轻揉,促进淤血消散。

2.建议服用中药进行调理。  

淤血的原因、病理变化及对机体的影响[编辑 | 编辑源代码]

(一)淤血的原因[编辑 | 编辑源代码]

1.静脉受压 静脉受压使管腔发生狭窄或闭塞、血液回流受阻导致相应部位的器官和组织发生淤血。如妊娠子宫压迫髂静脉引起的下肢静脉淤血。

2.静脉管腔阻塞 常见于静脉血栓形成,由于静脉分支多,只有当静脉腔阻塞而血流又不能通过侧支回流时,才发生静脉性充血

3.心力衰竭 二尖瓣瓣膜病和原发性高血压引起左心功能不全时,可导致肺淤血,肺源性心脏病导致右心功能不全可造成肝、肾和下肢等器官淤血,引起体循环淤血。  

(二)淤血的病理变化[编辑 | 编辑源代码]

肉眼:由于静脉回流受阻,血液淤积在扩张的小静脉和毛细血管内,故淤血的器官和组织体积增大;由于淤血区血液流动缓慢、缺氧,氧合血红蛋白减少,还原血红蛋白增多,故淤血脏器呈暗红色。

代谢:静脉淤血时,器官和组织得不到充足的氧气和营养物质,使组织代谢率降低,产热减少,使体表淤血处温度降低;淤血的组织相对缺氧,代谢机能减弱。

光镜下:小静脉和毛细血管扩张充盈,可见出血,间质水肿。  

(三)常见器官淤血举例[编辑 | 编辑源代码]

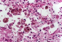
1.肺淤血:多为左心衰竭引起,左心腔内压力升高,阻碍肺静脉回流,造成肺淤血。肉眼表现为肺脏肿胀、重量增加、色暗红或呈棕褐色,质地变硬。切面流出泡沫状医`学教育网搜集整理红色血性液体,光镜下急性肺淤血见肺泡壁毛细血管扩张充血,肺泡壁增厚,肺泡腔内充满水肿液及出血。慢性肺淤血时,可见肺泡壁变厚及纤维化肺水肿肺出血,并见大量吞噬含铁血黄素巨噬细胞,称为心力衰竭细胞。长期慢性肺淤血可致肺脏褐色硬化。肺淤血患者临床上有明显气促、发绀及咳出大量粉红色泡沫痰等。

2.肝淤血 主要见于右心衰竭肝静脉回流受阻,致使肝小叶中央静脉及肝窦扩张淤血。急性肝淤血时肝脏体积增大,暗红色。镜下中央静脉及肝窦扩张,小叶中央可见肝细胞萎缩坏死。周围肝细胞发生脂肪变性。慢性肝淤血时,肝小叶中央严重淤血呈暗红色,多个肝小叶中央医`学教育网搜集整理淤血区相连,而肝小叶周边肝细胞因脂肪变性为黄色,致使肝脏呈红黄相间的花纹状,如同槟榔的切面,称为槟榔肝。光镜下可见肝静脉、中央静脉和肝窦扩张淤血,肝小叶中央部肝细胞因缺氧和受压发生萎缩和坏死,肝小叶周边部肝细胞发生脂肪变性。长期慢性肝淤血可致肝脏淤血性硬化。  

(四)淤血对机体的影响[编辑 | 编辑源代码]

①淤血可致淤血性出血、组织水肿;

②脏器实质细胞的萎缩、变性和坏死;

③长期慢性淤血可致脏器硬化;

④侧支循环的建立。在肝硬变门静脉和腔静脉之医`学教育网搜集整理间侧支循环的吻合支开放,形成胃底食管静脉曲张腹壁浅静脉曲张,以及痔静脉曲张。  

病理[编辑 | 编辑源代码]

器官或局部组织静脉回流受阻,血液淤积于小静脉及毛细血管内,称静脉性充血,简称淤血。

常引起的后果:1.淤血性水肿。 2.淤血性出血。3.淤血性硬化