肾癌
肾癌(carcinoma of kidney)又称肾细胞癌,肾腺癌,起源于肾小管上皮细胞,
可发生于肾实质的任何部位,但以上、下极为多见,少数侵及全肾;左、右肾发病机会均等,双侧病变占1%~2%。
巨检:肿瘤外观为不规则圆形或椭圆形肿块,有一层纤维包摸;血供丰富,血管怒张,有充血及出血区。肿瘤的颜色与血管多少、癌细胞内脂质含量以及出血、坏死等因素有关,一般说来,生长活跃区为白色,透明细胞呈黄色,颗料细胞或未分化细胞呈灰白色。暗红色或红色部位分别为陈旧或新鲜出血区,常有囊性变、中心坏死、血肿或不规则钙化灶。
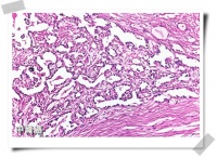
显微镜检查:癌细胞类型主要为透明细胞癌、颗粒细胞癌和未分化癌等,其中以透明细胞癌为常见。透明细胞癌体积大,边缘清晰,呈多角形,核小而均匀、染色深;细胞质量多呈透明色。细胞常排列成片状、乳头状或管状。颗粒细胞呈圆形、多边形或不规则形态,暗色;细胞质内充满细小的颗粒,胞质量少;核略深染。约一半肾癌同时有以上2种细胞。还有一种恶性程度更高的肾癌,
其细胞呈梭形,核较大或大少不一,有较多的核分裂象,呈肉瘤样结构,称为未分化癌。
临床表现[编辑 | 编辑源代码]
肾癌患者的主诉和临床表现多变,容易误诊为其他疾病。肾位置隐蔽,与外界主要的联系是尿,因此血尿是发现肾癌最常见的病状,但血尿的出现必须在肿瘤侵入肾盂后方有可能,因此已不是早期病状。多年来,把血尿、疼痛和肿块称为肾癌的“三联征”,大多数病人就诊时已具有1个~2个病状,三联征俱全者占10%左右,很少有可能治愈。
1.血尿:血尿常为无痛性间歇发作肉眼可见全程血尿,间歇期随病变发展而缩短。肾癌出血多时可能伴肾绞痛,常因血块通过输尿管引起。肾癌血尿的血块可能因通过输尿管形成条状。血尿的程度与肾癌体积大小无关。肾癌有时可表现为持久的镜下血尿。
2.腰痛:腰痛为肾癌另一常见症状,多数为钝痛,局限在腰部,疼痛常因肿块增长充胀肾包膜引起,血块通过输尿管亦可引起腰痛已如前述。肿瘤侵犯周围脏器和腰肌时疼痛较重且为持续性。
3.肿块:肿块亦为常见症状,大约1/3~1/4肾癌患者就诊时可发现肿大的肾脏。肾脏位置较隐蔽,肾癌在达到相当大体积以前肿块很难发现。一般腹部摸到肿块已是晚期症状。
4.疼痛:疼痛约见于50%的病例,亦是晚期症状,系肾包膜或肾盂为逐渐长大的肿瘤所牵扯,或由于肿瘤侵犯压迫腹后壁结缔组织、肌肉、腰椎或腰神经所致的患侧腰部持久性疼痛。
5.全身表现:
⑴.发热:肿瘤组织内致热原。
⑵.高血压:肿瘤压迫血管,肿瘤内A-V短路等。
⑶.血沉加快。
⑷.贫血:血清铁和血清内转铁蛋白↓,铁进入癌细胞。发生率30~50%。
⑸.红细胞增多症:Hb>155g/L,血球压积>50%
6.其他症状:不明原因的发热,或刚发觉时已转移,有乏力、体重减轻、食欲不振、贫血、咳嗽和咳血等肺部症状。另外,肾腺癌的作用是由肿瘤内分泌活动而引起的,包括红细胞增多症、高血压、低血压、高钙血症,发热综合症。虽然这些全身性、中毒性和内分泌的作用是非特殊性的,但约30%的病人首先有许多混合的表现。因而是有价值的线索,这种发现考虑为肿瘤的系统作用。
致病原因[编辑 | 编辑源代码]
肾癌的病因未明,但有资料显示其发病与吸烟、解热镇痛药物、激素、病毒、射线、咖啡、镉、钍等有关;另有些职业如石油、皮革、石棉等产业工人患病率高。
(一) 吸烟 :
大量的前瞻性观察发现吸烟与肾癌发病正相关。吸烟者发生肾癌的相对危险因素(RR)=2, 且吸烟 30 年以上、吸无过滤嘴香烟的人患肾癌的危险性上升。
(二) 肥胖和高血压:
发表在2000年11月2日出版的新英格兰医学杂志上的一项前瞻性研究表明,高体重指数(BMI)和高血压是与男性肾癌危险性升高相关的两个独立因素。
(三) 职业:
有报道接触金属铺的工人、报业印刷工人、焦炭工人、干洗业和石油化工产品工作者肾癌发病和死亡危险性增加。
(四) 放射:
有统计使用过一种弱的α颗粒辐射源导致的124例肿瘤中有26例局限在肾,但是未见放射工作者和原子弹爆炸受害者的放射暴露与肾癌的相关报道。
(五) 遗传:
有一些家族内肾癌,在进行染色体检查时发现。肾癌高发生率的人中第三对染色体上有缺陷。多数家族性肾癌发病年龄比较早 , 趋于多病灶和双侧性。有一种罕见的遗传性疾病——遗传性斑痞性错构瘤 (VHP) 病的患者发生肾癌者多达 28%~45% 。
(六) 食品和药物:
调查发现高摄入乳制品、动物蛋白、脂肪,低摄入水果、蔬菜是肾癌的危险因素。咖啡可能增加肾癌的危险性与咖啡用量无关。在动物实验中,由于女性激素(雌激素) 原因而致肾癌已得到证明,但在人体尚无直接的证据。滥用解热镇痛药尤其是含非那西丁的药物可增加肾孟癌危险性。利尿剂也可能是促进肾癌发生的因素。通过动物实验得出红藤草又名“千根”, 可能诱发肾癌的结论 , 韩国食品医药安全厅已要求国内企业停止生产红藤草食品添加剂。
(七)其他疾病:
在进行长期维持性血液透析的患者, 萎缩的肾脏内发生囊性变 (获得性囊性病) 进而又发现肾癌的病例有增多的现象。因此透析超过 3 年者应每年 B 超检查肾脏。有报告糖尿病患者更容易发生肾癌。肾癌患者中 14% 患有糖尿病 , 是正常人群患糖尿病的 5 倍。
病理改变[编辑 | 编辑源代码]
肾癌常为单侧单病灶,左右侧发病数相似肾癌多数为圆形,大小十分悬殊。肿瘤无组织学包膜,但有被压迫的肾实质和纤维组织行成的假包膜,少数为均匀的黄色或棕色,多数体有出血、坏死、纤维化斑块,出血坏死可形成囊性,本身为乳头状囊腺癌。肿瘤可破坏全部肾脏,并可侵犯邻近脂肪、肌肉组织、血管,淋巴管等,肾周围筋膜是防止局部扩散的一层屏障。肾癌易向静脉内扩展形成癌栓,可伸延进入肾静脉、下腔静脉。远处转移常见为肺、脑、骨等。
电镜检查见肾癌细胞大多数表现为不同程度的近曲小管的超微结构,认为肾癌发生于近曲小管。肾癌大多数为透明细胞癌,亦可同时或大多数为颗粒细胞,这种细胞形为梭状,有时酷似肉瘤,这种恶性程度较大的肾癌,称为未分化癌。
诊断及鉴别[编辑 | 编辑源代码]
l.一般检查:血尿是重要的症状红细胞增多症多发生于3%~4%;亦可发生进行性贫血双侧肾肿瘤总肾功能通常没有变化血沉增高某些肾癌患者并无骨骼转移却可有高血钙的症状以及血清钙水平的增高肾癌切除后症状迅速解除血钙亦回复正常有时可发展到肝功能不全如将肿瘤肾切除可恢复正常
2.X线造影术为诊断肾癌的主要手段
(1)X线平片:X线平片可以见到肾外形增大轮廓改变偶有肿瘤钙化在肿瘤内局限的或广泛的絮状影亦可在肿瘤周围成为钙化线壳状尤其年轻人肾癌多见
(2)静脉尿路造影静脉尿路造影是常规检查方法由于不能显示尚未引起肾孟肾盏未变形的肿瘤以及不易区别肿瘤是否肾癌肾血管平滑肌脂肪瘤肾囊肿所以其重要性下降必须同时进行超声或CT检查进一步鉴别但静脉尿路造影可以了解双侧肾脏的功能以及肾盂肾盏输尿管和膀胱的情况对诊断有重要的参考价值
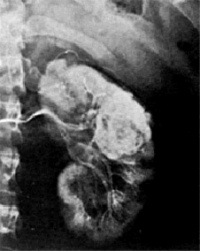
(3)肾动脉造影:肾动脉造影可发现泌尿系统造影未变形的肿瘤肾癌表现有新生血管动静脉瘘造影剂池样聚集(Pooling)包膜血管增多血管造影变异大有时肾癌可不显影如肿瘤坏死囊性变动脉栓塞等肾动脉造影必要时可向肾动脉内注入肾上腺素正常血管收缩而肿瘤血管无反应 在比较大的肾癌选择性肾动脉造影时亦可随之进行肾动脉栓塞术可减少手术中出血肾癌不能手术切除而有严重出血者可行肾动脉栓塞术作为姑息性治疗
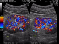
3.超声扫描:超声检查是最简便无创伤的检查方法,可作为常规体检的一部分,肾脏内超过lcm肿块即可被超声扫描,所发现重要的是鉴别肿块是否是肾癌,肾癌为实性肿块由于其内部可能有出血坏死囊性变,因此回声不均匀,一般为低回声。肾癌的境界不甚清晰这一点和肾囊肿不同,肾内占位性病变都可能引起肾盂肾盏肾窦脂肪变形或断裂肾乳头状囊腺癌,超声检查酷似囊肿并可能有钙化,肾癌和囊肿难以鉴别时可以穿刺,在超声引导下穿刺是比较安全的,穿刺液可作细胞学检查并行囊肿造影,囊肿液常为清澈无肿瘤细胞低脂肪造影时囊壁光滑可肯定为良性病变,如穿刺液为血性应想到肿瘤可能,在抽出液中找到肿瘤细胞造影时囊壁不光滑,即可诊断为恶性肿瘤。肾血管平滑肌脂肪瘤为肾内实性肿瘤,其超声表现为脂肪组织的强回声,容易和肾癌相鉴别。在超声检查发现肾癌时亦应注意肿瘤是否穿透包膜,肾周脂肪组织有无肿大淋巴结,肾静脉下腔静脉内有无癌栓,肝脏有无转移等。
4.CT扫描:CT对肾癌的诊断有重要作用。可以发现未引起肾盂肾盏改变和无病状的肾癌,可准确的测
定肿瘤密度,并可在门诊进行CT可准确分期。有人统计其诊断准确性:侵犯肾静脉91%,肾周围扩散78%,淋巴结转移87%,附近脏器受累96%。肾癌CT检查表现为肾实质内肿块亦可突出于肾实质肿块为圆形,类圆形或分叶状边界清楚或模糊,平扫时为密度不均匀的软组织块,CT值>20Hu,常在30~50Hu间,略高于正常肾实质,也可相近或略低,其内部不均匀系出血坏死或钙化所致,有时可表现为囊性CT值,但囊壁有软组织结节经静脉注入造影剂后正常肾实质CT值达120Hu左右,肿瘤CT值亦有增高,但明显低于正常肾实质,使肿瘤境界更为清晰,如肿块CT值在增强后无改变可能为囊肿结合造影剂注入前后的CT值为液体密度即可确定诊断肾癌内坏死灶肾囊腺癌以及肾动脉栓塞后注入造影剂以后CT值并不增高肾血管平滑肌脂肪瘤由于其内含大量脂肪CT值常为负值内部不均匀增强后CT值升高但仍表现为脂肪密度嗜酸细胞瘤在CT检查时边缘清晰内部密度均匀一致增强后CT值明显升高。
肾癌治疗[编辑 | 编辑源代码]
肾癌的治疗主要是手术切除。放射治疗化学治疗免疫治疗等效果不理想亦不肯定有统计肾癌配合放疗对5年生存无影响
1.肾癌手术分为单纯性肾癌切除术和根治性肾癌切除术目前公认的是根治性肾癌切除术可以提高生存率根治性肾癌切除术包括肾周围筋膜及其内容:肾周围脂肪肾和肾上腺关于根治性肾癌切除术是否进行局部淋巴结清扫尚有争议有的认为淋巴结转移时往往有血行转移有淋巴转移的病例最终都出现血行转移淋巴结分布广不易清除干净;但亦有人认为淋巴结转移主要在肾门附近;下腔静脉和主动脉区可以根治性切除但根治性淋巴结清扫手术发现有转移灶者很少有生存超过5年者肾癌手术时应争取先结扎肾动脉和肾静脉可以减少手术中出血和可能引起的肿瘤扩散
肾癌是多血管肿瘤常有大的侧枝静脉手术容易出血且不易控制因此在较大肿瘤手术时可以在术前进行选择性肾动脉栓塞可引起剧烈疼痛发热肠麻痹感染等不应常规应用
肾动脉栓塞术
是指通过经皮穿刺选择性肾动脉插管,注入栓塞物质,使动脉闭塞。主要作用:①栓塞后肿瘤发生广泛坏死,肿瘤缩小,为手术创造条件,使术中出血少,容易分离肿瘤和缩短手术时间;②减少肿瘤细胞播散;③对于难以切除的巨大肿瘤,栓塞后可以增加手术切除的机会;④姑息性栓塞治疗,可控制和缓解患者的症状;⑤激活宿主的免疫机制等。栓塞术还可用于治疗肾癌的大出血。选择性栓塞肾动脉,是一种损伤小的治疗方法。由于栓塞治疗的疗效80%是栓塞作用,而肾癌对化疗不敏感,化疗药物的副作用大,肾癌介入宜慎用化疗药物。
肾癌治疗中的特殊问题:
(1)保留肾组织的肾癌手术:保留肾组织的肾癌手术如双侧肾癌或孤立肾肾癌以及对侧肾功能不好如肾血管性高血压肾结石肾结核肾盂输尿管连处狭窄肾癌较小即<3cm直径并位于肾边缘的亦可考虑保留肾组织手术手术方法为部分肾切除术亦可将肿瘤刺出
(2)下腔静脉癌栓:肾癌容易发生肾静脉和下腔静脉内癌栓近年来认为如未发现局部或远处扩散肾癌根治切除术时可同时切除静脉内癌栓或取出下腔静脉内癌栓预后仍然良好手术时阻断下腔静脉应在血栓水平以上可避免致命的肺栓塞如血栓延伸到心脏可在心包内把下腔静脉阻断再切开下腔静脉取出栓子
(3)肾癌局部扩散侵犯邻近组织和脏器:这是肾癌治疗中的棘手问题手术彻底切除肿瘤和其受累的组织是唯一能治愈的方法这类病人5年生存者不过5%肾癌局部扩散可伴有疼痛由于肿瘤侵入后腹壁骶棘肌和神经根肾癌直接浸润肝脏比较少肝内转移多于直接浸润十二指肠和胰腺受累几无可能治愈虽然有远处转移只要手术可能多数还是能将原发病肾切除转移处病灶还是有可能获得相当长的存治率摘除病肾后血尿和疼痛亦被去除还是值得的
2.免疫治疗:
1、活化吞噬细胞、自然杀手细胞、伤害性T细胞等免疫细胞,诱导白细胞素,干扰素-γ,肿瘤坏死因子-α等细胞因子的分泌。
2、诱导癌细胞凋亡。
3、与传统的化学治疗药物(丝裂霉素、卡莫斯汀注射液等)合用,既增加药效,又减轻化疗过程中的毒副作用。
4、与免疫治疗药物(干扰素-α2b)有协同作用。
5、减缓晚期癌症患者的疼痛,增加食欲,改善患者的生活质量。
3.化学治疗:肾癌的化疗效果不好单用药治疗效果更差有专家统计37种化疗药物单药治疗肾癌其中以烷化剂效果较好联合化疗中疗效较好的组合为:长春花碱+氨甲喋呤+博菜霉素+Tamoxifem睾丸;长春新碱+阿霉素+BCG+甲基乙醛氧孕前酮;长春花碱+阿霉素+羟基脲+MA总之多药治疗优于单药
4.免疫治疗和化疗结合:一组957例肾癌转移±肾癌复发者应用+扰素A LPHA-2A治疗单用时有效率12%如与长春花碱合并治疗则有效率24%有效者2年可能生存者50%~70%无效者生存10%~15%理想剂量为干扰素180万单位皮下或肌肉注射每周3次长春花碱0.1mg/kg静脉注射3周一次
(三)针灸治疗
1.针灸治疗仪治疗 用韩氏治疗仪,将电极板接在疼痛处,以负极接在疼痛对侧外,以中低频刺激,适用於肿瘤和各处疼痛。
2.针刺和穴位注射 取穴三阴交、昆仑、足三裏,并以复方丹参注射液2ml稀释在5ml生理盐水中,每次分别注射1ml,每日或隔日一次,连续10天为一疗程。休息5天后再开始另一疗程。适用於肿瘤疼痛和血尿有条索状血块,排尿困难者。
(四)推拿治疗
取穴曲池、合谷、肾俞、三阴交等穴,采用擦、拿、摇、拍、击等手法,扶正固本,理气活血化瘀,适用於肾脏肿瘤气机不畅之腰痛和血尿等症。
(五)外敷药物
癌痛散:山柰、乳香、没药、姜黄、桅子、白芷、黄芩各20g,小茴香、公丁香、赤芍、木香、黄柏各15g,蓖麻仁20粒。上药共为细末,用鸡蛋清调匀外敷肾穴位,6~8小时更换一次。适用於肾脏肿瘤疼痛者。
(六)饮食调养
1.手术前饮食 肾脏肿瘤一经发现,多属晚期,术前应进容易消化,吸收、富有营养的食品、蔬菜、瘦肉、鸡蛋等,以维持人体营养,增强机体的抗病能力,为手术治疗创造条件。
2.手术後饮食 肾癌手术後,因损伤正气,肾气大伤,伤气耗血,气血两伤,宜补气养血。食用富含蛋白质的食物,如牛奶、豆浆、土豆泥、青豆泥、菠菜泥、鱼羹等,也可用枸杞子炒肉食用。但注意食品不宜食用过多过饱。
3.放疗时饮食 放疗期间,肾阴亏损,宜滋肾阴养血生津之品,选用鲜水果、鲜蔬菜、如菠菜、苹果、山梨、龙眼肉、核桃仁、枸杞子、银耳汤等。
4.化疗时饮食 化疗时患者因气血两伤,加之药物副作用,而阴液耗伤,气伤血耗,更应进食滋阴补气食物,如鱼羹、龟肉汤、甲鱼汤、香菇汤、银耳汤、燕窝、苹果汁、银杏、肉片汤、鸡汤等,均可选择食用。有有呕吐者,可用生姜汤。
5.晚期肿瘤饮食 肿瘤晚期气血均伤,阴阳失调,宜调整阴阳,益气养血。可酌情食用以上食品外,可选用桃人参汤、银耳汤、果仁膏等。禁食虾、蟹等发物食品。
常见食物的酸碱性
中碱性 大豆、红萝卜、蕃茄、香蕉、橘子、草莓、蛋白、柠檬、菠菜等
(七)生物治疗
• 通过一类物质调节加强机体的免疫功能,或直接显示其细胞毒作用,改变宿主对肿瘤的生物反应状态,从而达到抗肿瘤治疗的目的。
• 人体肿瘤细胞内淋巴细胞对肿瘤产生免疫反应→TIL对肿瘤毒性低→体外扩增→回输给人体
肾癌特殊病例的处理
(1)转移性肾癌的处理: 目前对转移性肾癌处理的一致看法是:①单个转移灶,应争取患肾和转移灶切除,术后辅以化疗和/或免疫治疗。肺转移的临床表现主要有咳嗽、咯血或呼吸困难等,但不少病例并无症状,往往于常规胸透或胸部摄片才被发现。孤立性肺转移宜作肺叶或楔叶切除,5年生存率为25%~35%。②多发性转移性肾瘤,在条件许可下,亦应切除原发病灶后给予综合治疗,可稳定病情或缓解症状,偶有转移灶自行消失的报道,因而不可忽视转移性肾癌的治疗。
(2)双侧和孤立肾肾癌的处理: 处理的原则是:①对一侧较大癌肿作根治性肾切除;②对一侧较小的病灶行部分肾切除、肿瘤局部切除或剜出术;③如两侧肾病变范围均较局限时,宜行双侧部分肾切除或剜出术。Novick通过肾动脉造影和CT扫描,对有完整包膜的20例双侧肾癌行肿瘤剜出术,3年生存率为90%,肿瘤局部复发占6%。
预后[编辑 | 编辑源代码]
决定肾癌的生存因素已如前述。一般肾癌经肾切除治疗后5年生存率35%~40%,10年生存率17%~30%。肾癌的预后有时难以估计,可以在肾癌切除手术后20年、30年,甚至更长的时间出现转移病灶。
中医释义: 《医源资料库》 :肾癌 ,病名。癌之发于阴茎者。见《疡科心得集》卷中。又名肾癌翻花。“夫肾巖翻花者;俗名翻花下疳,此非由交合不洁触染淫秽而生,由其人肝肾素亏,或又郁虚忧思,相火内灼,水不涵木,肝经血燥,而络脉空虚久之,损者愈损,阴精消涸,火邪郁结,遂遘疾于肝肾。”证见“初起马口之内,生肉一粒,如竖肉之状,坚硬而痒,即有脂水,延至一二年,或五六载,时觉疼痛应心,玉茎渐渐肿胀,其马口之竖肉处,翻花若榴子样,此肾岩已成也。渐至龟头破烂,凸出凹进,痛楚难胜,甚或鲜血流注。斯时必脾胃衰弱,饮食不思,即食亦无味,形神困惫或血流至两三次,则玉茎尽为烂去,如精液不能灌输,即溘然而毙矣。”即阴茎癌。证治:初始宜滋阴降火,补益肝肾,用知柏八味丸,或大补阴丸。后期气血两亏,则宜补气养血,可内服十全大补汤。外治法可随症选药。早期宜外科手术切除。
肾癌手术后护理[编辑 | 编辑源代码]
肾癌手术后复发的病人,容易有骨、肺转移,但常缺少特异症状。
因此,对肾癌手术后病人,应多注意有无消瘦、 贫血 、疼痛、咳嗽等非特异症状。并定期检查尿常规、肾功能和胸部透视。
肾癌的物理微创治疗方法[编辑 | 编辑源代码]
肿瘤微创靶向治疗技术-美国氩氦超冷刀,是世界上唯一同时兼具零下150度超低温冷冻、介入热疗、200度大温差逆转和免疫增强等多重效能的高新科技医疗系统。优于单纯高热或单纯冷冻治疗。杀灭癌细胞更彻底有效。 该技术属纯物理治疗,具有彻底摧毁肿瘤治疗效果确切、治疗不导致癌细胞扩散、治疗过程微创无痛苦、恢复快、不损伤正常组织、与放化疗不同氩氦超冷刀治疗无毒副作用,还可以有效地调控细胞因子和抗体的分泌,经过这种方法治疗后的病人,身体免疫功能较治疗前明显改善,远期生存率显著提高,另外还具有治疗费用低、住院时间短等优点。它是继射频消融治疗,微波,激光,超声聚集刀,伽玛刀等之后发展起来的肿瘤治疗高新技术。在治疗肺癌、肝癌、乳腺癌、肾肿瘤等实体肿瘤方面具有显著优势。代表世界肿瘤治疗先进水平。
氩氦超冷刀适用于早期、中期和晚期各期实体肿瘤的治疗,尤其是那些不能手术切除的中晚期患者、或因年龄大身体虚弱等各种原因不愿手术肿瘤患者的首选;是不愿承受放化疗副作用或放化疗及介入治疗等治疗效果不好肿瘤患者可以选择;为了更好的使用该项技术解除患者痛苦,提高综合治疗效果。中国氩氦刀治疗中心集中了胸外科、肝病研究中心、肝胆外科、肿瘤科、脑外科、泌尿外科、 CT 、 B 超、介入等科室强大的专家团队力量,采用氩氦超冷刀单独或联合基因治疗、介入、化疗、放疗、中药等综合性的最优化肿瘤治疗方案,成功治愈或有效延长 了几百例不能手术中晚期恶性肿瘤患者的生命,减轻了患者痛苦,提高了生活质量,取得了突破性进展。2mm以上探针内自带温度传感器,可监测冷冻区域中心的温度。1.47mm探针内不带温度传感器,如需监测温度,可单独插入温度探针监测组织内的温度。监测到的温度变化、冷冻时间可在液晶显示屏显示为温度时间曲线,以便操作者及时了解冷冻过程
手术时多数用局麻为主,治疗时一般在B超、CT、磁共振引导下进行穿刺,实时监测穿刺的全过程。手术方式有经皮穿刺,外科手术直视下穿刺,腔镜下穿刺。在CT或B超定位引导下将氩气刀准确穿刺进入肿瘤体内,然后首先启动氩气,可籍氩气在刀尖急速膨胀产生制冷作用,在15秒内将病变组织冷冻至零下140℃~170℃。持续15~20分钟后,关闭氩气,再启动氦气,又可籍氦气在刀尖急速膨胀,急速加热处于超低温状态的病变组织,可使病变组织温度从零下140℃上升至零上20℃~40℃从而施行快速热疗。持续3~5分钟之后,再重复一次以上治疗。此种冷热逆转疗法,对病变组织的摧毁尤为彻底。其降温及升温的速度、时间和温度,摧毁区域的尺寸与形状,可由B超或CT等实时监测,并由计算机精确设定和控制。更重要的是由于氩氦刀制冷或加热只局限在刀尖端,刀杆不会对穿刺路径上的组织产生冷热伤害。氩氦刀是目前唯一可进行微创经皮冷热治疗的仪器。
氩氦刀冷冻治疗术对于早期的小肿瘤,冷冻治疗可作为手术的替代治疗。对于晚期较大的肿瘤可作为姑息治
疗,增强综合治疗的效果,可减少肿瘤负荷,减轻症状,提高生活质量,延长生存时间。
早期症状[编辑 | 编辑源代码]
(1)血尿:多为突发的肉眼全程血尿,不伴有疼痛或任何不适症状,常呈间歇性发作,可自行停止而不被注意;在直至多次反复发作,才去医院检查;此时,反复发作说明肿瘤医`学教育网 搜集整理已侵犯肾盂和肾盏,已非属早期。如果第一次血尿便引起重视,及早就医,治疗可获得较好的效果。 (2)腰痛:是因为肿瘤增大牵扯肾包膜压迫周围神经、肌内组织的结果。多为腰或上腹部钝痛,偶有血凝块经输尿管排出时堵塞而发生剧烈的绞痛,易被误认为是肾或输尿管的结石而延误诊治。
(3)腰部肿块:肿瘤组织生长到相当大时病人取侧卧位,可在腰部或上腹部摸到肿块。如肿块与周围组织粘连、固定、不易推动,多已属晚期。
肾癌预防注意事项[编辑 | 编辑源代码]
1.戒烟,避免放射线侵害,慎用激素。加强对铅化合物接触的防护。减少化学性致癌物质的接触,是预防本病不可忽视的措施。
2.积极开展防癌宣传,普及防癌知识,做到对肾肿瘤的早期诊断、早期治疗,这是决定本病治疗效果及预后的关键。
3.养成良好的卫生习惯,不食用霉变腐烂腌制食品。宜用清淡饮食,适当进食鱼、鸡蛋及少量动物瘦肉。
4.加强体育锻炼,增强抗病能力。
5.保持乐观的人生观,稳定情绪,提高生活质量。
6.术后康复患者应定期复查,每1~3月复查一次,情况良好者每半年到一年复查一次,并坚持综合治疗。
参看[编辑 | 编辑源代码]
| |||||||||||||||||||||||