淋巴结

来自医学百科

淋巴结是哺乳类动物特有的器官。正常人浅表淋巴结很小,直径多在0.5厘米以内,表面光滑、柔软,与周围组织无粘连,亦无压痛。当细菌从受伤处进入你的机体时,淋巴细胞会产生淋巴因子抗体有效地杀灭细菌。结果是淋巴结内淋巴细胞和组织细胞反应性增生,使淋巴结肿大,称为淋巴结反应性增生。能引起淋巴结反应性增生的还有病毒、某些化学药物、代谢毒性产物、变性的组织成分及异物等。因此,肿大的淋巴结是人体的烽火台,是一个报警装置。

Bk74a.jpg

  

1、基本概述[编辑 | 编辑源代码]

哺乳类特有的周围淋巴器官,由淋巴细胞集合而成。呈豆形,位于淋巴管行进途中,是产生免疫应答的重要器官之一。淋巴结的一侧隆凸,连接数条输入淋巴管,另一侧凹陷,称为“门”,有输出淋巴管和神经血管出进。淋巴结表面包有被膜,被膜结缔组织伸入淋巴结内形成小梁,构成淋巴结的支架。被膜下为皮质区。淋巴结的中心及门部为髓质区。皮质区有淋巴小结、弥散淋巴组织和皮质淋巴窦(简称皮窦)。髓质包括由致密淋巴组织构成的髓索和髓质淋巴窦(简称髓窦)。淋巴窦的窦腔内有许多淋巴细胞和巨噬细胞。从输入淋巴管流来的淋巴液先进入皮窦再流向髓窦,最后经输出淋巴管离开淋巴结。淋巴结的主要功能是滤过淋巴液,产生淋巴细胞和浆细胞,参与机体的免疫反应。淋巴结肿大或疼痛常表示其属区范围内的器官有炎症或其他病变。因此按淋巴结分布规律检查淋巴结的情况,对诊断和了解某些感染性疾病的发展具有重要意义。淋巴结对病毒的过滤效果不佳。

头颈部浅表淋巴结

淋巴结遍布全身,只有比较表浅的部位才可触及。颈部、颌下、锁骨上窝腋窝腹股沟等最易摸到。当淋巴结肿大时,可摸到皮肤下有圆形、椭圆形或条索状的结节。如在颌下摸到肿大的淋巴结,表示口腔内有病变。如扁桃体炎牙周炎等。颈部出现成患的球状隆起,首先应考虑到颈淋巴结核鼻咽癌病人往往在颈部也可以摸到肿大的淋巴结。腋窝部淋巴结肿大,

腋部浅表淋巴结

常揭示上肢乳房有疾患。腹股沟淋巴结肿大是下肢、臀部有感染性疾病的信号。除此以外,还提醒人们不可忽视子宫癌睾丸癌直肠癌导致的病理反应。左锁骨上淋巴结肿大,多表示腹腔内有癌细胞沿胸导管上转移。如肝癌胃癌结肠癌等。右锁骨上淋巴结肿大,表示胸腔内有癌细胞沿右侧淋巴管向上转移。如肺癌食道癌等。患淋巴性白血病时,全身各处淋巴结均表现肿大。

掌握淋巴结肿大的性质,对于疾病的诊断也有重要意义。如系急慢性炎症,淋巴结质地柔软,能活动,与周围组织和皮肤无粘连,有游离感,急性期有红、肿、热、痛的典型症状。淋巴结结核,早期与皮肤和周围组织无粘连,病情加重可继续肿大。但不超过核桃大小,以后可粘连融合成片,发生变化,破溃,流出黄棕色脓液或豆腐渣样物质。癌肿所致淋巴结肿大多呈石头样坚硬,表现凸凹不平,与皮肤可粘连在一起,无疼痛或压痛。淋巴性白血病,肿大的淋巴结能活动、不粘性、光滑、不硬、不痛,也不化脓破溃。

淋巴结是人体最为重要的一种免疫性器官,是接受抗原刺激产生免疫应答反应的场所,有过滤、增殖免疫作用。正常人体浅表淋巴结很小,直径多在0.5cm以内,表面光滑、柔软,与周围组织无黏连,亦无压痛。淋巴结肿大的原因淋巴结肿大是指颌下、腋下、腹股沟等处淋巴结在发生炎症时,因细菌及其毒素刺激而肿大而可以用手触明显触及,常伴有疼痛的症状。其发病原因较多,当身体某一部位发生感染,细菌随淋巴液经过淋巴结时,可相应地引起淋巴结群的肿大和疼痛。在身体患恶性肿瘤时,也常沿淋巴管转移,并停留在淋巴结内分裂增生,致使淋巴结肿大起来。

人们根据淋巴结肿大——“烽火台”报警,一般就可弄清淋巴结肿大的原发病灶。必要时还应当进行X线摄片、病理切片镜检、B超及CT等特殊检查。这样“顺藤摸瓜”和综合分析,躲在背后的病魔自然会原形毕露。  

2、主要特征[编辑 | 编辑源代码]

是淋巴管向心行程中不断经过的淋巴器官,为大小不等的灰红色的扁圆形或椭圆形小体,直径约2~25mm,质软色灰红。其隆凸侧有数条输入淋巴管进入,而其凹陷侧称淋巴结门,有1~2条输出淋巴管及血管和神经出入。全身淋巴结约800多个。

淋巴结常成群聚集,也有浅、深群之分。多沿血管分布,位于身体屈侧活动较多的部位。在四肢,淋巴结多位于关节的屈侧;在体腔内多沿血管干排列或多位于器官门的附近。胸、腹、盆腔的淋巴结多位于内脏门和大血管的周围。

人体某器官或某部位的淋巴引流至一定的淋巴结,该淋巴结称为该器官或该部位的局部淋巴结。  

3、主要功能[编辑 | 编辑源代码]

主要功能是滤过淋巴液,产生淋巴细胞和浆细胞,参与机体的免疫反应。 当局部感染时,细菌、病毒或癌细胞等可沿淋巴管侵入,引起局部淋巴结肿大。 如该淋巴结不能阻止和消灭它们,则病变可沿淋巴管的流注方向扩散和转移。

(1)过淋巴液:病原体侵入皮下或粘膜后,很容易进入毛细淋巴管回流入淋巴结。当淋巴缓慢地流经淋巴窦时,巨噬细胞可清除其中的异物,如对细菌的清除率可达99%,但对病毒及癌细胞的清除率常很低。清除率常与抗原的性质、毒力、数量以及机体的免疫状态等密切相关。

(2)进行免疫应答:抗原进入淋巴结后,巨噬细胞和交错突细胞可捕获与处理抗原,使相应特异性受体的淋巴细胞发生转化。识别抗原与细胞间协作的部位在浅层皮质与深层皮质交界处。引起体液免疫应答时,淋巴小结增多增大,髓索内浆细胞增多。引起细胞免疫应答时,副皮质区明显扩大,效应性T细胞输出增多。淋巴结内的T细胞约占淋巴细胞总数的75%,B细胞占25%,大颗粒淋巴细胞极少或无,淋巴结内细胞免疫应答和体液免疫应答常同时发生,以那一种为主视抗原性质而定。淋巴结实质内有许多神经末梢,但淋巴小结内尚未发现。淋巴细胞表面有多种神经递质受体,说明神经系统对淋巴结内的免疫应答有一定的调作用。  

4、结构介绍[编辑 | 编辑源代码]

淋巴结皮质:位于被膜下方,由浅层皮质、副皮质区及皮质淋巴窦构成

浅层皮质(superfacial cortex):为皮质的B细胞区,由薄层的弥散淋巴组织及淋巴小结组成。淋巴小

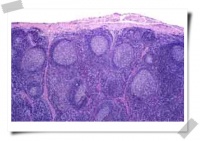
淋巴结结构图

结即在此薄层淋巴组织中发育而成,增大后嵌入深部的副皮质区。当淋巴小结密集时,仅在淋巴小结之间近被膜下淋巴窦处仍有薄层的弥散淋巴组织,也为B细胞区。发育良好的次级淋巴小结的正中切面,可见相当大的生发中心,它可分为暗区和明区两部分(图9-11)。生发中心的顶部及周围有一层密集的小淋巴细胞,以顶部最厚,称为小结帽(cap)(图9-11)。淋巴小结内95%的细胞为B细胞,其余为巨噬细胞、滤泡树突细胞和Th细胞等。生发中心的暗区较小位于生发中心的基部,主要由许多转化的大B细胞组成,细胞的胞质较丰富,嗜碱性强而着色较深。它们经过数次分裂和膜抗体结构突变过程,形成许多中等大小的B细胞。这些B细胞受滤泡树突细胞表面聚集的抗原的选择作用,只有其膜抗体与表面抗原有高度亲和性的细胞能保留继续分裂和分化,其余的则均被淘汰,由明区内的易染体巨噬细胞(tingible-body macrophage)吞噬清除(图9-12)。继续分裂分化的B细胞在明区近帽处形成两类小淋巴细胞:①浆细胞前身,它们随即迁移到髓质,或在其它淋巴器官、淋巴组织或慢性炎症灶处,转变为浆细胞;②B记忆细胞,它们也可迁出淋巴结,并参与淋巴细胞再循环。帽部主要为处女型B细胞,其功能意义未明。

副皮质区(paracortex zone):位于皮质的深层,为较大片的弥散淋巴组织,又称深层皮质单位(deep cortex unite),主要由T细胞聚集而成(图9-13)。每个单位与一条输入淋巴管相对应,位于约10数个淋巴小结的深部。整个单位呈半球形,其球面朝向髓质,较平的一面朝向多个淋巴小结。深层皮质单位可分为中央区和周围区。中央区含大量T细胞和一些交错突细胞等,细胞较密集,为胸腺信赖区,新生动物切除胸腺后,此区即呈空竭状。细胞免疫应答时,此区细胞的分裂相增多,并迅速扩大。周围区为包围中央区的一层较稀疏的弥散淋巴组织,含T细胞及B细胞,还有许多高内皮毛细血管后微静脉,它是血液内淋巴细胞进入淋巴组织的重要通道(图9-14)。血液流经此段时,约有10%的淋巴细胞穿越内皮细胞进入深层皮质单位周围区,再迁移到其它部位。在周围区与髓质邻接处,含有一些小盲淋巴窦(small blind sinus),它们是髓窦的起始部,也是副皮质区淋巴窦的重要通道。  

5、主要病变[编辑 | 编辑源代码]

淋巴结肿大

淋巴结因内部细胞增生或肿瘤细胞浸润而体积增大的现象。临床常见的体征。可通过触摸颌下、颈部、锁骨上窝、腋窝和腹股沟等部位而发现,但肺门纵隔腹膜后和肠系膜等体内肿大的淋巴结则要靠X射线、CT和B超等才能发现。淋巴结肿大常见3种情况:①良性肿大。包括各种感染、结缔组织病变态反应等引起的肿大。临床常呈良性经过,随着病因去除,在一定时间内可以完全恢复。②恶性肿大。包括原发于淋巴结的恶性肿瘤如淋巴瘤淋巴细胞性白血病恶性组织细胞病等及其他恶性肿瘤的淋巴结转移如肺癌、胃癌和乳腺癌等。临床呈恶性经过,淋巴结持续性进行性肿大,若不积极治疗,常会进行性恶化死亡。③介于良性与恶性间的肿大。如血管原始免疫细胞淋巴结病和血管滤泡性淋巴结增生症等。开始常为良性,可变成恶性而致命。因此在确定淋巴结肿大后,关键是确定其原因和性质,局部肿大伴明显疼痛者常提示感染;进行性无痛性肿大者常提示恶性肿瘤性疾病。骨髓穿刺特别是淋巴结活检可帮助确诊。淋巴结肿大的治疗以病因而定,如淋巴腺结核可应用链霉素雷米封等,若为恶性淋巴瘤,应以联合化疗为主,若为癌症晚期转移,则预后极差。

淋巴结肿大非常多见,可发生于任何年龄段人群,可见于多种疾病,有良性,也有恶性,故重视淋巴结肿大的原因,及时就诊、确诊,以免误、漏诊,是非常重要的。下面就谈一谈淋巴结肿大的常见原因。

慢性淋巴结炎

多数有明显的感染灶,且常为局限性淋巴结肿大,有疼痛及压痛,一般直径不超过2~3cm,抗炎治疗后会缩小。腹股沟淋巴结肿大,尤其是长期存在而无变化的扁平淋巴结,多无重要意义。但无明显原因的颈部、锁骨上淋巴结肿大,标志着全身性淋巴组织增生性疾病,应予以重视,进一步检查确定。

结核性淋巴结炎

发热多汗乏力血沉增快,多见于青壮年。常伴发肺结核,淋巴结质地不均匀,有的部分较轻(干酪样变),有的部分较硬(纤维化钙化),且互相粘连,并和皮肤粘连,所以活动度差。这类患者结核菌素实验和血中结核抗体阳性。

恶性淋巴瘤

也可见于任何年龄组,其淋巴结肿大常为无痛性、进行性肿大,可从黄豆大到枣大,中等硬度。一般与皮肤无粘连,在初、中期相互不融合,可活动。到了后期淋巴结可长到很大,也可融合成大块,直径达20cm以上,侵犯皮肤,破溃后经久不愈。此外,可侵犯纵隔、肝、脾及其它器官,包括肺、消化道骨骼、皮肤、乳腺、神经系统等。确诊需活组织病理检查。临床上恶性淋巴瘤常易误诊,以表浅淋巴结肿大为首发表现者,有70%~80%在初诊时被确诊为淋巴结炎或淋巴结结核,以致延误治疗。

巨大淋巴结增生

是一种易误诊的罕见病。常表现为原因不明的淋巴结肿大,主要侵犯胸腔,以纵隔最多,也可侵犯肺门及肺内。其它受侵部位有颈部、腹膜后、盆腔、腋窝以及软组织。常易误诊为胸腺瘤浆细胞瘤、恶性淋巴瘤等。了解本病的病理及临床表现对早期诊断极为重要。

假性淋巴瘤

常发于淋巴结外的部位,如眼眶、胃的假性淋巴瘤及消化道的淋巴性息肉,均可形成肿块。一般认为属反应性的增生,由炎症引起。

淋巴结转移瘤

淋巴结常较硬,质地不均匀,可找到原发灶。很少为全身性淋巴结肿大。

急性白血病慢性淋巴细胞性白血病 也常有淋巴结肿大,特别是儿童常见的急性淋巴细胞性白血病,临床上急,常伴有发热、出血、肝和脾肿大胸骨压痛等,血液学和骨髓穿刺检查可以确诊鉴别。

结节病

在我国较少见,常侵犯双侧肺门,呈放射状,伴有长期低热。全身淋巴结都可肿大,尤其是耳前后、颌下、气管旁。在临床上很难与恶性淋巴瘤鉴别。

传染性单核细胞增多症

多见与青壮年男性,为EB病毒所致,但病人常一般情况良好,可有发热及全身性淋巴结肿大,也可有脾脏轻度肿大。外周血中有异形淋巴细胞,嗜异凝集实验阳性可以确诊。

血清病

为病人使用血清制品(破伤风抗毒素狂犬疫苗等)后发生的一种疾病。少数患者以淋巴结肿大为最先出现的临床症状。但多为注射处及滑车上淋巴结首先肿大。根据注射史及发热、皮疹嗜酸性粒细胞增多等可诊断。

淋巴结肿大很常见,列举的以上10种疾病原因,希望能给大家以启示,及时就诊、确诊及鉴别,以便得到及时有效的治疗。  

6、分布简介[编辑 | 编辑源代码]

淋巴结的变化与许多疾病的发生、发展、诊断及治疗密切相关,尤其是对肿瘤的诊断、转移及发展变化的观察起着非常重要的作用。淋巴结分布于全身,一般检查只能发现身体各部位表浅淋巴结的变化。

正常表浅淋巴结

1.正常情况下,表浅淋巴结很小,直径多为0.2~o.5cm,质地柔软,表面光滑。无压痛,与毗邻组织无粘连,常呈链状与组群分布,通常不易触及。

2.表浅淋巴结的部位

(1)耳前淋巴结:位于耳屏前方。

(2)耳后淋巴结:位于耳后乳突表面、胸锁乳突肌止点处,亦称为乳突淋巴结

(3)枕淋巴结:位于枕部皮下,斜方肌起点与胸锁乳突肌止点间。

(4)颌下淋巴结:位于颌下腺附近,在下颌角与颏部之中间部位。

(5)颏下淋巴结:位于颏下三角内,下颌舌骨肌表面,两侧下颌骨前端中点后方。

(6)颈前淋巴结:位于胸锁乳突肌表面及下颌角处。

(7)颈后淋巴结:位于斜方肌前缘。

(8)锁骨上淋巴结:位于锁骨与胸锁乳突肌所形成的夹角处。(图3-2-8)

(9)腋窝淋巴结:是上肢最大的淋巴结组群,可分为五群:

1)外侧淋巴结群:位于腋窝外侧壁。

2)胸肌淋巴结群:位于胸大肌下缘深部。

3)肩胛下淋巴结群:位于腋窝后皱襞深 i部。

4)中央淋巴结群:位于腋窝内侧壁近肋骨前锯肌处。

5)腋尖淋巴结群:位于腋窝顶部。

(10)滑车上淋巴结:位于上臂内侧,内上髁上方3~4cm处,肱二头肌肱三头肌之间的问沟内。

(11)腹股沟淋巴结:位于腹股沟韧带下方股三角内,它又分为上、下两群:①上群:位于腹股沟韧带下方,与韧带平行排列,故又称为腹股沟韧带横组或水平组。②下群:位于大隐静脉上端,沿静脉走向排列,故又称为腹股沟淋巴结纵组或垂直组。

(12)胭窝淋巴结:位于小隐静脉和胭静脉的汇合处。  

7、实验介绍[编辑 | 编辑源代码]

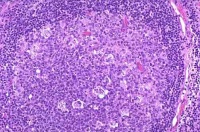
淋巴结:49号切片,牛淋巴结,HE染色

淋巴结HE染色图

(1).被膜:由较致密的结缔组织构成,被膜伸入淋巴结内,形成小梁。

(2).皮质:

淋巴小结:在被膜下方,圆形或卵圆形。在淋巴小结内可看到三种结构:帽区、亮区、暗区。

高倍显微镜下淋巴结HE染色图

皮质淋巴窦:被膜下或小梁旁,以及与淋巴小结之间,窦壁由内皮细胞组成,靠被膜或小梁侧窦壁完整;有网状细胞的突起在皮质淋巴窦中形成网眼,网眼中有少量淋巴细胞。巨噬细胞 。

副皮质区:位于淋巴小结和髓质之间,有大量散在淋巴细胞,主要是T淋巴细胞,还有巨噬细胞。

(3).髓质:即位于淋巴结的中央部分,由髓索和髓质淋巴窦组成。

髓索:淋巴组织排列成索状,与副皮质区相连。髓索内有淋巴细胞,浆细胞,巨噬细胞等。

髓质淋巴窦:夹于髓索之间,与皮质淋巴窦相通,结构也相同、巨噬细胞。

(4)。切片:被摸切片不能太薄。

(5) 。 素制:素制对皮质很重要  

淋巴疾病食疗9方[编辑 | 编辑源代码]

1 去皮大蒜头90克,鸭蛋2粒,加水适量同煮,鸭蛋熟后去壳再煮片刻,饮汤吃蛋,每日-4次 治初期颈淋巴结核

2 鲜刀豆壳30克,鸡蛋1个,酒,水煎服,治颈淋巴结核初起

3 紫菜猪肉汤--猪瘦肉100克,紫菜25克共煮汤,加适量食盐,味精调味食用。有清热化痰,软坚作用。适用于甲状腺肿大,颈淋巴结结核,脚气病等症

4 夏枯草煮猪肉--夏枯草30克与猪瘦肉50-100克,共煮汤,煮熟后加食盐调味,喝汤。有清热,散结,降压作用。适用于高血压,头痛眩晕,颈淋巴结肿,肺结核,乳房结核,痢疾,传染性肝炎等症

5 荸荠、海蜇(浸泡去盐)各50-100克,煎汤分-3次饮下,此即清代名医王士雄的“雪羹汤”,有清热化痰、消积软坚及降低血压之效,可用于治疗痰热咳嗽淋巴结核原发性高血压等症。

6 瓦楞子鸡肝--瓦楞子6-10克,于火上烧煅,研成细末与鸡肝1-2具拌匀,同蒸熟食用。有消积化痰,补肝肾,养血作用。适用于淋巴结核,肺结核,小儿疳积等症

7 用生芋头3公斤,晒干研末,另用陈海蜇300克(洗去盐)及马蹄300克,两味加水煮烂去渣,配入芋头粉制成丸如绿豆大,用温开水送服,每次6克,一日三次;或用鲜芋头洗净放锅内蒸熟剥去皮,酱油调味,每日当菜吃。治瘰疬,颈淋巴结核等症。

8 海藻.生牡蛎各30克,玄参15克,夏枯草10克(或海藻.夏枯草.香附.浙贝母各10克),水煎服,治淋巴结核肿。

9 黄豆150-200克,海藻、海带各30克,同煮汤,用食盐或白糖调味食用。有清热、降压、散结、软坚作用,适用于高血压、单纯性甲状腺肿、慢性颈淋巴腺炎等症。注意:体弱、胃寒怕冷及大便溏稀者忌食

参看[编辑 | 编辑源代码]