红细胞增多症

来自医学百科

红细胞增多症红细胞增多症(polycythemia)以红细胞数目、血红蛋白、红细胞压积和血液总容量显著地超过正常水平为特点。儿童时期血红蛋白超过180g/L(16g/dl),红细胞压积大于55%和每公斤体重红细胞容量绝对值超过35ml,排除因急性脱水烧伤等所致的血液浓缩而发生的相对性红细胞增多,即可诊断。红细胞增多症可分为原发性继发性两大类。原发性的即真性红细胞增多症;继发性的主要是由组织缺氧所引起的。

疾病概述[编辑 | 编辑源代码]

红细胞增多症(polycythemia)以红细胞数目、血红蛋白、红细胞压积和血液总容量显著地超过正常

红细胞增多症

水平为特点。儿童时期血红蛋白超过180g/L(16g/dl),红细胞压积大于55%和每公斤体重红细胞容量绝对值超过35ml,排除因急性脱水或烧伤等所致的血液浓缩而发生的相对性红细胞增多,即可诊断。

本症可分为原发性与继发性两大类。原发性的即真性红细胞增多症;继发性的主要是由组织缺氧所引起的。  

真性红细胞增多症[编辑 | 编辑源代码]

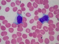
真性红细胞增多症(polycythemia vera)是一种由于异常的多能干细胞克隆增殖所造成的骨髓增生性疾病。发病率约为1/10万,多发生在60岁左右的老年人,儿童时期极罕见,发生在25岁以下的只占所有病例的1%。

起病大多缓慢。由于红细胞增多,导致血液粘稠度增加,血流缓慢,微循环障碍,全身血管扩张充血。常见的症状头痛眩晕视力障碍、面色发红、眼结膜充血、血压增高、肝脾肿大血管栓塞等症状。亦常见鼻衄皮肤瘀斑。夜间多汗和体重下降亦为常见现象。眼底检查可见视网膜静脉扩张、充血、粗细不等,颜色深紫等。约1/3病人有舒张血压增高现象。

骨髓细胞染色体检查可见多种非特异性畸变,如第8三体、第9三体或5和7或22部分缺失等。

红细胞计数大多在6~10×1012/L(600万~1000万/mm3)以上,血红蛋白160~250g/L(16~25g/dl),红细胞压积54%~80%,白细胞中度增高。血小板增多可达400~1100×109/L(40万~110万/mm3)。骨髓增生活跃,粒细胞/红细胞下降。血红蛋白F轻度增高,白细胞碱性磷酸酶血浆B12增高。红系祖细胞在体外培养不需要红细胞生成素即可增殖。动脉血氧饱和度>92%。

治疗方法有:1、静脉放血 可在较短时间内使血容量降至正常,症状减轻,减少出血血栓形成

红细胞增多症

会。每隔2~3d放血200~400ml,直至红细胞数在6.0×1012/L以下,红细胞压积在50%以下。放血一次可维持疗效1个月以上。本法简便,可先采用。较年轻患者,如无血栓并发症,可单独放血治疗。但放血后有引起红细胞及血小板反跳性增高的可能,反复放血又有加重缺铁倾向,宜加注意。对老年及有心血管疾患者,放血要谨慎,一次不宜超过200~300ml,间隔期可稍延长。血细胞分离可单采大量红细胞,但应补充与单采等容积的同型血浆,放血时应同时静脉补液,以稀释血液。

2、化疗

(1). 羟基脲系一种核糖核酸还原酶,对真性红细胞增多症有良好抑制作用,且无致白血病副反应,每日剂量为15~20mg/kg。如白细胞维持在3.5~5×109/L,可长期间歇应用羟基脲。

(2). 烷化剂有效率80%~85%。环磷酰胺及左旋苯胺氮芥(马法仑)作用较快,缓解期则以白消安苯丁酸氮芥为长,疗效可持续半年左右。苯丁酸氮芥副作用较少,不易引起血小板减少,为其优点。烷化剂也有引起白血病但较放射性核素为少。烷化剂的用量和方法:开始剂量环磷酰胺为100~150mg/d,白消安,马法仑及苯丁酸氮芥为4~6mg/d,缓解后停用4周后可给维持剂量,环磷酰胺为每日mg,白消安等为每日或隔日2mg。

(3). 三尖杉酯碱国内报告应用本品2~4mg,加于10%葡萄糖液中静脉滴注每日一次,连续或间歇应用到血细胞压积及血红蛋白降到正常为止。达到缓解时间平均为60d,中数缓解期超过18个月。

3、α干扰素治疗:干扰素有抑制细胞增殖作用,近年也已开始用于本病治疗,剂量为300万U/m2,每周3次,皮下注射。治疗3个月后脾脏缩小,放血次数减少。 缓解率可达80%。

4、放射性核素治疗 32P的β射线能抑制细胞核分裂,使细胞数降低。初次口服剂量为11.1×107~14.8×107Bq,约6周后红细胞数开始下降,3~4个月接近正常,症状有所缓解,约75%~80%有效。如果3个月后病情未缓解,可再给药一次。缓解时间达2~3年。32P有可能使患者转化为白血病的危险,故近年已很少应用。。

预后差,多死于静脉栓塞、大出血、或发展成为骨髓纤维化急性白血病。  

家族性良性红细胞增多症[编辑 | 编辑源代码]

家族性良性红细胞增多症(Benignfamilial polycythemia)为常染色体遗传性疾病,有不同的外显

红细胞增多症

性。比较罕见。

症状较轻,常有头痛、嗜睡、眩晕和易疲倦;或完全没有自觉症状。病儿面色深红,眼结膜充血,但多无脾脏肿大。

血象检查仅有红细胞系增生过盛,血红蛋白常在200g/L(20g/dl)以上,血容量增多。白细胞与血小板正常。家族中有同样病人。此症多呈良性经过,可活到正常年若因血液粘稠而产生症状,则可采用放血疗法。  

继发性红细胞增多症[编辑 | 编辑源代码]

继发性红细胞增多症(Secondarypolycythemia)由许多不同的原因引起。各种可引起红细胞增多症的疾病见下:

继发性红细胞增多症的分类:

1.组织缺氧或氧释放障碍

(1)生理性:

1)胎儿期

2)环境中氧含量不足:高原地区

红细胞增多症

(2)病理性:

1)肺换气不足:肺部疾患如支气管扩张肺心病肥胖症(Pickwickian Syndrome)

2)肺动脉、静脉瘘

3)青紫型先天性心脏病

4)异常血红蛋白病:血红蛋白M、硫化血红蛋白和正铁血红蛋白带氧能力差

2.骨髓生成红细胞的功能增强

(1)内源性:

1)肾性:肾胚组织瘤、肾上腺样瘤多囊肾肾动脉狭窄

2)肾上腺嗜铬细胞瘤、Cushing综合征先天性肾上腺增生、肾上腺腺瘤合并原发性醛固酮增多症

3)肝:肝细胞瘤

4)小脑成血管细胞

(2)外源性:

1)应用睾丸酮或类似药物

2)应用生长激素  

新生儿[编辑 | 编辑源代码]

(1)经胎盘输血:母亲输血给胎儿,双胎中受血者

红细胞增多症

(2)脐带结扎过晚

继发性红细胞增多症主要由于组织缺氧,致红细胞生成素的分泌代偿性增多;或由于发生可以产生红细胞生成素的良性或恶性肿瘤以及服用促使红细胞生成素产生增多的激素制剂。新生儿可由经胎盘输血或脐带结扎过晚引起。

症状轻重不等,视原发病而异。除红细胞增多外,白细胞和血小板多正常。

主要治疗原发病。红细胞增多是一种代偿现象,不需要治疗。根除原发病后,红细胞增多现象可以自然痊愈。若红细胞压积超过65%,则血液粘稠度极度增加,应间断地从静脉放血用等量血浆或生理盐水换血。  

治疗方法[编辑 | 编辑源代码]

静脉放血[编辑 | 编辑源代码]

静脉放血可在较短时间内使血容量降至正常,症状减轻,减少出血及血栓形成机会。每隔2~3d放血200~400ml,直至红细胞数在6.0×1012/L以下,红细胞压积在50%以下。放血一次可维持疗效1个月以上。本法简便,可先采用。较年轻患者,如无血栓并发症,可单独放血治疗。但放血后有引起红细胞及血小板反跳性增高的可能,反复放血又有加重缺铁倾向,宜加注意。对老年及有心血管疾患者,放血要谨慎,一次不宜超过200~300ml,间隔期可稍延长。血细胞分离可单采大量红细胞,但应补充与单采等容积的同型血浆,放血时应同时静脉补液,以稀释血液。  

化疗[编辑 | 编辑源代码]

(1)、羟基脲系一种核糖核酸还原酶,对真性红细胞增多症有良好抑制作用,且无致白血病副反应,每日剂量为15~20mg/kg。如白细胞维持在3.5~5×109/L,可长期间歇应用羟基脲。

(2)、烷化剂有效率80%~85%。环磷酰胺及左旋苯胺酸氮芥(马法仑)作用较快,缓解期则以白消安及苯丁酸氮芥为长,疗效可持续半年左右。苯丁酸氮芥副作用较少,不易引起血小板减少,为其优点。烷化剂也有引起白血病但较放射性核素为少。烷化剂的用量和方法:开始剂量环磷酰胺为100~150mg/d,白消安,马法仑及苯丁酸氮芥为4~6mg/d,缓解后停用4周后可给维持剂量,环磷酰胺为每日mg,白消安等为每日或隔日2mg。

(3)、三尖杉酯碱:中国国内报告应用本品2~4mg,加于10%葡萄糖液中静脉滴注每日一次,连续或间歇应用到血细胞压积及血红蛋白降到正常为止。达到缓解时间平均为60d,中数缓解期超过18个月。  

α干扰素治疗[编辑 | 编辑源代码]

干扰素有抑制细胞增殖作用,近年也已开始用于本病治疗,剂量为300万U/m2,每周3次,皮下注射。治疗3个月后脾脏缩小,放血次数减少。缓解率可达80%。  

放射性核素治疗[编辑 | 编辑源代码]

32P的β射线能抑制细胞核分裂,使细胞数降低。初次口服剂量为11.1×107~14.8×107Bq,约6周后红细胞数开始下降,3~4个月接近正常,症状有所缓解,约75%~80%有效。如果3个月后病情未缓解,可再给药一次。缓解时间达2~3年。32P有可能使患者转化为白血病的危险,故近年已很少应用。预后差,多死于静脉栓塞、大出血、或发展成为骨髓纤维化及急性白血病。  

治疗原则[编辑 | 编辑源代码]

红细胞增多症的基本病理改变为瘀血内停,故宜以活血化瘀为基本治则,且应贯穿于疾病的始终。若兼见肝胆火盛者,应配合清肝泻火之法;兼气滞者宜配合行气止痛;兼热入营血者,宜配合清热凉血之法;兼肝脾肿大、坚硬着,则直配合软坚散结之法;若出现中风胸痹等又应按各自主症进行辩治;晚期患者属正虚邪实之证者,则应采用攻补兼施之法。

转归与预后:本病初期,以瘀血及肝热表现为主,多为实证。但实证血瘀病久后,因瘀血阻滞影响人体气血阴阳化生,可渐转成虚实夹杂之证,虚证的表现有气虚、血虚阴虚阳虚的不同,部分病人气血阴阳的亏虚可以相兼出现,如气阴两虚、气血两虚及气损及阳等。 本病大多病程较长,其病情轻重及预后取决于瘀血的轻重,瘀血阻滞较重,则预后较差;若瘀血阻滞较轻,则预后尚可。如病程中出现面黯唇紫,倦怠乏力,四肢逆冷,心胸剧烈刺痛,脉结或迟的阳虚血瘀表现;或出现语言蹇涩,肢体运动不遂,甚或神志不清等表现均属危重证候。如因热迫血行或瘀血阻滞,血不循经而出现突然大量呕血便血等症亦为难治之证,预后较差。

调护:应嘱患者注意调理情志,保持心情舒畅,忌食辛辣之物,宜进清淡饮食。以防七情抑郁,七情化火或食郁化火而出现瘀血合并肝火之证加重病情。另应嘱病人慎起居,防止感染外邪,郁而化热,热入营血或热入心包、热闹清窍使病情转危。

预防:平素应嘱病人起居有节,保持心情舒畅,正确对待疾病,树立战胜疾病的信心,否则七情所伤易使病情加重。饮食宜清淡,忌食辛辣助热之品。病至中晚期,病情多呈虚实夹杂之象,故应防止过劳耗伤正气,或劳后复感外邪加重病情。