成人呼吸窘迫综合征
成人呼吸窘迫综合征(adult respiratory distress syndrome )(简称ARDS)是患者原心肺功能正常,如严重创伤、烧伤、休克、感染、大手术等过程中继发的一种以进行性呼吸窘迫和难以纠正的低氧血症为特征的急性肺循环障碍性呼吸衰竭。临床特点为进行性低氧血症和呼吸窘迫。本病多发生在原来无明显肺部疾病的健康人,于多种肺内外因素造成急性肺部损伤后引起的肺顺应性丧失,弥漫性肺内浸润性病变。
虽其病因各异,但肺组织损伤的病理和功能改变大致相同,临床表现均为急性呼吸窘迫,难治性低氧血症,因其临床类似婴儿呼吸窘迫征,而它们的病因和发病机制不尽相同,故遂冠以“成人”,以示区别。
现在注意到本征亦发生于儿童,故欧美学者协同讨论达成共识,以急性(acute)代替成人(adult),称为急性呼吸窘迫综合征,缩写仍是ARDS。
疾病病因[编辑 | 编辑源代码]
病因甚多,如严重休克、严重创伤、骨折时脂肪栓塞、严重感染(特别是革兰染色阴性杆菌败血症所致的感染性休克)、吸入刺激性气体和胃内容物、氧中毒、溺水、大量输血、急性胰腺炎、药物或麻醉品中毒等。
注意有无休克、严重感染、创伤、手术、补液过量、大量输入陈血、误吸胃液或溺水、药物过量、吸入有毒气体(如高浓度氧、氯气等)、血液系统疾病、代谢性疾病及心脏病等病史。
病因和发病机制 引起ARDS的原发病或基础病大致有以下几种:
④中毒。吸入毒气、N2O、高浓度氧、药物中毒。
⑤误吸。误吸胃液、淡水或海水。
⑥大量输血或输液感染。
⑦弥漫性血管内凝血(DIC)。
⑧放射。
⑨其他。急性胰腺炎、尿毒症、妊娠中毒症、心脏转复术后、心肺体外循环、透析等。
这些因素均能引起肺毛细血管和肺泡上皮的严重挫伤。毛细血管的损伤使管壁通透性升高,导致肺泡内及间质水肿和纤维素大量渗出。肺泡上皮,特别是 II 型上皮损伤后,使肺泡表面活性物质缺失,导致肺泡表面透明膜形成及肺萎缩。上述改变都能造成肺内氧弥漫障碍,气/血比例失调而发生低氧血症,引起呼吸窘迫。
症状体征[编辑 | 编辑源代码]
注意呼吸是否频数(大于28次/min),有无发绀及胸部异常体征。
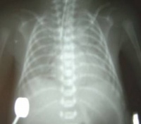
临床表现均为急性呼吸窘迫,难治性低氧血症,因其临床类似婴儿呼吸窘迫征,而它们的病因和发病机制不尽相同,故遂冠以“成人”,以示区别。本病起病急骤,发展迅猛,如不及早诊治,其病死率高达50%以上(25%-90%),常死于多脏器功能衰竭。大手术后,严重创伤或其他危重疾病抢救过程中,或急性期已趋稳定几个小时甚至几天后逐渐出现呼吸困难,表现为呼吸浅而快。部分患者出现鼻翼扇动,吸气三凹征。早期缺氧不明显,病情严重时缺氧逐渐加重,而且用鼻导管吸氧难以纠正。早期体格检查无异常体征,晚期双肺叩诊浊音,并可听到湿罗音。X射线检查早期可正常或仅有肺纹理增粗,之后出现斑片状阴影,逐渐扩展、融合形成大片实变。
除原发病如外伤、感染、中毒等相应症状和体征外,主要表现为突发性、进行性呼吸窘迫、气促、紫绀、常伴有烦躁、焦虑表情、出汗等。其呼吸窘迫的特点不能用通常的疗法使之改善,亦不能用其他原发心肺疾病(如气胸、肺气肿、肺不张、肺炎、心力衰竭)解释。
起病急剧或隐藏,多发生于原发性疾病的抢救或医治过程中。早期仅表现为原发疾病的症状,而后感到胸闷、气促、呼吸浅而频繁,心跳增快,唇指紫绀,
渐感烦躁不安,呼吸困难。上述症状呈进行性加重。呼吸频率一般在30次/分以上,不能用原发疾病解释。低氧血症经一般氧疗难以缓解。
体征:早期除原发病体征外可无异常发现,有时可听到干性罗音或哮喘音;病情进展可见呼吸浅速,吸气时肋间隙及锁骨上窝下陷,唇指紫绀并逐渐加重。后期出现肺实质性变化体征,双肺呼吸音减低,并可闻及广泛性的细湿性罗音。
诊断检查[编辑 | 编辑源代码]
1、胸部X线检查
两肺有无肺纹理增加、斑片状阴影或两肺广泛密度增加及呈“白肺”外观;恢复期病变吸收可表现为网状和线状阴影,有时用X线可不留异常表现。
2、血气分析
①PaO2:吸空气小于8.0kPa(60mmHg),吸纯氧小于46.5kPa(350mmHg);
②PA-aO2:吸空气大于6.65kPa(50mmHg),吸纯氧大于13.3kPa(100mmHg);
③PaO2/F1O2<40k
Pa(300mmHg)诊断为急性肺损伤,而PaO2/F1O2<26.7kPa(200mmHg)则诊断为ARDS;
④PaCO2:早期降低,小于4kPa(30mmHg),晚期升高,大于6.0kPa(45mmHg)。
3、注意有无DIC情况
有条件时进行中心静脉压、Swan~Ganz导管检查以测定混合静脉血氧分压和肺毛细血管楔压以及静动脉分流占总血流量百分数(Qs/Qt)]、血液胶体渗透压监测等,了解心、肺及血液胶体情况。
4、排除慢性肺疾病、心源性肺水肿等疾病
可能引起ARDS的患者,当出现明显呼吸困难和缺氧时应警惕ARDS,如果胸部X射线检查及动脉血气分析结果符合ARDS,并能除外造成肺水肿,缺氧的其他疾病,就可诊断为ARDS。
诊断依据[编辑 | 编辑源代码]
1.在休克、创伤、烧伤、严重感染、中毒等过程中出现非原发病引起的进行性呼吸困难和用一般吸氧方法难以纠正的低氧血症,呼吸频率〉35次/分,早期肺部无异常体征,后期可有肺实变体征或水泡音等。
2.胸部X线表现:早期可无异常或有纹理增多,边缘模糊。病情进展后出现斑片状阴影,逐渐扩展形成大片实变。
3.血气分析: 吸空气时PaO2〈8.0KPa(60mmHg);
吸纯氧15分钟后,PaO2〈46.6KPa(350mmHg);PaCO2〈4.66KPa(35mmHg),后期PaCO2可高于正常; 分流率(Qs/Qt)〉10%。
4.肺泡气-动脉血氧分压差(P(A-a)O2)显著增大。
5.必要时用漂浮导管测定肺楔压(PCWP)以鉴别因左心衰所致的肺水肿,ARDS时PCWP不超过正常范围(0.67-1.3kPa,即5~10mmHg)。具备以上1、2、3或1、3两项者即可作出临床诊断。本标准仅适用于在海拔不高地区居住的病人。
鉴别诊断[编辑 | 编辑源代码]
本病须与大片肺不张、自发性气胸、上呼吸气道阻、塞急性肺拴塞和心源性肺水肿相鉴别。通过询问病史体检和胸部x线检查等可作出鉴别,心源性肺水肿患者卧位时呼吸困难加重、咳粉红色泡沫样痰、双肺底有湿哆音。对强心利尿等治疗效果较好;若有困难可通过测定PAwP超产心动阁检查来鉴别。
治疗[编辑 | 编辑源代码]
治疗原则: 1.纠正缺氧:吸入50%以上浓度的氧,使PaO2维持在8kPa上。2.防止肺泡萎陷:机械通气,予呼气末正压呼吸(PEEP)或持续正压呼吸(cPAP)。3.改善肺微循环,如肾上腺皮质激素的应用。4.消除肺水肿:限制入水量,酌情使用利尿剂。5.积极治疗原发病。
用药原则: 1.积极治疗原发病(抗感染、抗休克等)。2.应用肾上腺皮质激素,以早期、大量、短程为原则。3.在本病早期,血清蛋白浓度无明显减少时,补液应以晶体为主。4.有低蛋白血症时,可补充白蛋白和血浆。5.创伤、出血过多、必须输血。6.注意纠正酸碱失衡、电解质紊乱。
应早期诊断和治疗,措施包括:积极治疗原发病(如控制感染、抗休克);实行机械通气并使用呼气末正压,以纠正低氧血症;控制液体入量,保持液体负平衡,以解除肺水肿;使用α受体阻断剂、低分子右旋糖酐、肾上腺皮质激素学药物改善微循环;及时发现并处理各种并发症,如消化道出血、急性肝肾功能衰竭、DIC、感染、心力衰竭、心律失常。
1、纠正低氧血症[编辑 | 编辑源代码]
(1)氧疗:立即给氧并积极清除呼吸道分泌物,保持呼吸道湿化。吸空气时PaO2<6.65kPa(50mmHg),吸氧时<9.3kPa(70mmHg)时,应进行气管插管或气管切开行机械通气。
(2)机械通气:先用间歇正压通气(IPPV),如吸氧浓度需50%才能使PaO2达理想水平时,应改用呼气末期正压通气(PEEP)。IPPV吸气末压力一般用0.78~1.47kPa(8~15cmH2O),PEEP采用呼吸频率20~30/min,吸气压约为3.7kPa(40cmH2O),呼气末压0.49~1.47kPa(5~15cmH2O)。应选择最佳压力以维持足够的氧合及足够的心排血量。慎防压力过高引起气胸和纵隔气肿。
(3)高频正压通气(HFPPV)、模式人工肺(ECMO):两者疗效均未完全肯定,且前者易引起CO2潴留,后者可破坏血液的有形成分,故都只能在有心功能不全时短时间应用。
2、消除肺水肿[编辑 | 编辑源代码]
(1)早期应用大剂量糖皮质激素:地塞米松40mg,1次/6h,静注,或甲基氢化泼尼松200~400mg,每6h一次,静注。维持48~72h。
(2)改善微循环:①酚妥拉明5~10mg加入10%葡萄糖液500ml,静滴,每12h一次,可扩张肺血管,降低肺楔压,减轻肺淤血;②有DIC存在时可用肝素。
(3)保持液体平衡:①限止入量,保持水的负平衡(每日出量>入量500ml);②利尿剂应用:呋塞米40mg,每6h一次静注;③强心剂应用;肺楔压>3.3kPa(25mmHg)时应给予快速洋地黄制剂静注;④低盐白蛋白应用:疗效可疑,多主张肺毛细血管通透性改善后再给予。
3、防治肺泡群不张[编辑 | 编辑源代码]
除使用PEEP可减少肺泡不张外,也可应用肺表面活性物质气管内滴入或雾化吸入,以改善和减少肺泡群不张,进而增加通气量,改善低氧血症。
4、注意各脏器功能衰竭的防治疗[编辑 | 编辑源代码]
5、积极进行病因治疗[编辑 | 编辑源代码]
并发症[编辑 | 编辑源代码]
急性呼吸窘迫综合征:患者病后不久数天或数周后病情未得缓解时,可由于氧供不足引起。出现其他器官的并发症:缺氧时间过长可引起严重的并发症,如肾功能衰竭,如未获及时治疗可因严重缺氧而死亡。由于急性呼吸窘迫综合征患者防御肺部感染的能力低下,在其患病过程中常常出现细菌性肺炎。
预防常识[编辑 | 编辑源代码]
对高危的患者应严密观察,加强监护,当发现呼吸频速,PaO2降低等肺损伤表现,应早期给予呼吸支持和其它有效的预防及干预措施,防止ARDS进一步发展和重要脏器损伤。
预后注意[编辑 | 编辑源代码]
ARDS的预后除与抢救措施是否得当有关外,常与患者原发病、并发症以及对治疗的反应有关。如严重感染所致的败血症得不到控制,则预后极差。骨髓移植并发ARDS死亡率几乎100%。经积极治疗后,若持续肺血管阻力增加,示预后不良。脂肪栓塞引起的ARDS,经积极处理,机械通气治疗可获得90%存活。刺激性气体所致的急性肺水肿和ARDS,一般脱离现场,治疗及时,亦能取得较好的疗效。ARDS能迅速得到缓解的病人,大部分能恢复正常。
小儿时期成人型呼吸综合症[编辑 | 编辑源代码]
【病因及病理】:
本病是由于全身性感染或败血症所致的中毒性休克,往往在休克10余小时后并发,或在中毒型痢疾、暴发型流脑经抢救好转后,突然出现急性呼吸困难而转为成人型呼吸窘迫综合征。有时肺部吸入毒性雾气或高浓度氧,亦可发生弥漫性肺泡损害。此征病理变化以肺泡-毛细血管损伤为主,目前认为全身性小动脉都有痉挛现象,肺微循环流出道也出现痉挛,引起肺瘀血、肺水肿及肺萎陷,形成肺透明膜,小血管内栓塞以及后期的肺纤维化等一系列病理变化。ARDS所见的肺透明膜大多数不成圈,部分不贴壁,而NRDS的透明膜则均成圈及贴壁。从病理生理学的角度,此病还涉及补体系统的致活,粒细胞聚集于肺部微血管内,以及蛋白酶的释放,其结果使肺组织受损,肺泡壁的毛细血管膜发生渗透性病变,引致心源性肺水肿及低氧血症。
