肺气肿

来自医学百科

肺气肿是指终末细支气管远端(呼吸细支气管肺泡管肺泡囊肺泡)的气道弹性减退,过度膨胀、充气和肺容积增大或同时伴有气道壁破坏的病理状态。按其发病原因肺气肿有如下几种类型:老年性肺气肿代偿性肺气肿间质性肺气肿,灶性肺气肿,旁间隔性肺气肿,阻塞性肺气肿

症状[编辑 | 编辑源代码]

临床表现症状轻重视肺气肿程度而定。早期可无症状或仅在劳动、运动时感到气短,逐渐难以胜任原来的工作。随着肺气肿进展,呼吸困难程度随之加重,以至稍一活动甚或完全休息时仍感气短。此外尚可感到乏力、体重下降、食欲减退上腹胀满。引起肺气肿的主要是慢性支气管炎,因此除气短外还有咳嗽咳痰等症状,早期仅有呼气相延长或无异常。典型肺气肿者胸廓前后径增大,呈桶状胸呼吸运动减弱,语音震颤减弱,叩诊过清音,心脏浊音界缩小,肝浊音界下移,呼吸音减低,有时可听到干、湿罗音,心率增快,心音低远,肺动脉第二心音亢进。  

病因[编辑 | 编辑源代码]

阻塞性肺气肿的发病机理尚未完全清楚。一般认为与支气管阻塞以及蛋白酶-抗蛋白酶失衡有关。吸烟、感染和大气污染等引起细支气管炎症,管腔狭窄或阻塞。吸气时细支气管管腔扩张,空气进入肺泡;呼气时管腔缩小,空气滞留,肺泡内压不断增高,导致肺泡过度膨胀甚至破裂。细支气管周围的辐射状牵引力损失,使细支气管收缩,致管腔变狭。肺血管内膜增厚,肺泡壁血供减少,肺泡弹性减弱等,助长膨胀的肺泡破裂。在感染等情况下,体内蛋白酶活性增高,正常人抗蛋白酶系统的活性也相应增高,以保护肺组织免遭破坏。α1抗胰蛋白酶缺乏者对蛋白酶的抑制能力减弱,故更易发生肺气肿。吸烟对蛋白酶-抗蛋白酶平衡也有不良影响。  

病理[编辑 | 编辑源代码]

(1)慢性支气管炎症使细支气管管腔狭窄,形成不完全阻塞,呼气时气道过早闭合,肺泡残气量增加,使肺泡过度充气。

(2)慢性炎症破坏小支气管壁软骨,失去其支架作用,致使呼气时支气管过度缩小或陷闭,导致肺泡内残气量增加。

(3)反复肺部感染和慢性炎症,使白细胞巨噬细胞释放的蛋白分解酶增加,损害肺组织和肺泡壁,导致多个肺泡融合成肺大泡

(4)肺泡壁毛细血管受压,肺组织供血减少致营养障碍而使肺泡壁弹性减退。

(5)弹性蛋白酶及其抑制因子失衡:人体内存在弹性蛋白酶和弹性蛋白酶抑制因子(主要为α1-抗胰蛋白酶),吸烟可使中性粒细胞释放弹性蛋白酶,烟雾中的过氧化物还使α1-抗胰蛋白酶的活性降低,导致肺组织弹力纤维分解,造成肺气肿。此外,先天性遗传缺乏α1-抗胰蛋白酶者易于发生肺气肿。  

临床诊断[编辑 | 编辑源代码]

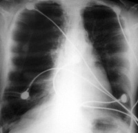
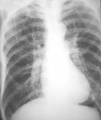
一、X线检查:胸廓扩张,肋间隙增宽肋骨平行,活动减弱,膈降低且变平,两肺野的透亮度增加。

二、心电图检查:一般无异常,有时可呈低电压。

三、呼吸功能检查:对诊断阻塞性肺气肿有重要意义。

四、血液气体分析:如出现明显缺氧二氧化碳滞留时,则动脉血氧分压(PaO2)降低,二氧化碳分压(PaCO2)升高,并可出现失代偿呼吸性酸中毒,pH值降低。

五、血液和痰液检查:一般无异常,继发感染时似慢支急性发作表现。

诊断根据病史、体检、X射线检查和肺功能测定可以诊断科研。X射线检查表现为胸腔前后径增大,胸骨前突,胸骨后间隙增宽,横膈低平,肺纹理减少,肺野透光度增加,悬垂型心脏,肺动脉及主要分支增宽,外周血管细小。肺功能测定表现为残气、肺总量增加、残气/肺总量比值增高、1秒率显著降低、弥散功能减低。  

鉴别诊断[编辑 | 编辑源代码]

应注意与肺结核、肺部肿瘤和职业性肺病的鉴别诊断。此外慢性支气管炎、支气管哮喘和阻塞性肺气肿均属慢性阻塞性肺病,且慢性支气管炎和支气管哮喘均可并发阻塞性肺气肿。但三者既有联系,又有区别,不可等同。慢性支气管炎在并发肺气肿前病变主要限于支气管,可有阻塞性通气障碍,但程度较轻,弥散功能一般正常。支气管哮喘发作期表现为阻塞性通气障碍和肺过度充气,气体分布可严重不匀。但上述变化可逆性较大,对吸入支气管扩张剂反应较好。弥散功能障碍也不明显。而且支气管哮喘气道反应性明显增高,肺功能昼夜波动也大,为其特点。

疾病自测[编辑 | 编辑源代码]

肺气肿是指肺脏充气过度,终末细支气管的远端部分,如呼吸细支气管肺泡管肺泡囊肺泡膨胀或者破裂的一种病理损害

肺气肿这种病实际是由慢性支气管炎引起的,所以经过比较缓慢。在终年不愈的情况下出现咳嗽咳痰,多在冬季发病,或在伤风感冒症状明显。病人咳痰量不多,痰多呈粘性,不易咯出,症状上反反复复,与慢性支气管炎的症状相似,但有时伴有呼吸困难,呼吸不畅,有时出现喘息,症状时轻时重。经过几年,十几年,几十年的慢性经过,咳嗽、咯痰、肺换气功能障碍的症状逐渐加重。

肺气肿病除了咳嗽、咯痰症状之外,细心看一下病人的呼吸状态就可以知道,如呼气延长,胸廓前后径增大,外呈桶状,即俗称桶状胸呼吸运动减慢。肺气肿的不同发展阶段有其不同的体征,早期呼吸困难症状并不明显,但随着疾病的加重,病理损害的加深,则会出现呼吸困难,同时也可出现心脏方面的损害症状。早期发现这种病并不难,主要是防止病理损害的进展。  

治疗[编辑 | 编辑源代码]

(一)适当应用舒张支气管药物,

肺气肿

氨茶碱,β2受体兴奋剂。如有过敏因素存在,可适当选用皮质激素。

(二)根据病原菌或经验应用有效抗生素,如青霉素庆大霉素环丙沙星头孢菌素等。

(三)呼吸功能锻炼作腹式呼吸,缩唇深慢呼气,以加强呼吸肌的活动。增加膈的活动能力。

(四)家庭氧疗,每天12-15h的给氧能延长寿命,若能达到每天24h的持续氧疗,效果更好。

(五)物理治疗,视病情制定方案,例如气功太极拳、呼吸操、定量行走或登梯练习。  

并发症[编辑 | 编辑源代码]

(一)自发性气胸

自发性气胸并发于阻塞性肺气肿者并不少见,多因胸膜下肺大皰破裂,空气泄入胸膜腔所致。若患者基础肺功能较差,气胸为张力性,即使气体量不多,临床表现也较重,必须积极抢救不可掉以轻心。肺气肿患者肺野透亮度较高,且常有肺大皰存在,体征不够典型,给局限性气胸的诊断带来一定困难。

(二)呼吸衰竭

阻塞性肺气肿往往呼吸功能严重受损,在某些诱因如呼吸道感染、分泌物干结潴留、不适当氧疗、应用静脉剂过量、外科手术等的影响下,通气和换气功能障碍进一步加重,可诱发呼吸衰竭。

(三)慢性肺源性心脏病右心衰竭

低氧血症和二氧化碳潴留以及肺泡毛细血管床破坏等,均可引起肺动脉高压。在心功能代偿期,并无右心衰竭表现。当呼吸系病变进一步加重,动脉血气恶化时,肺动脉压显著增高,心脏负荷加重,加上心肌缺氧和代谢障碍等因素,可诱发右心衰竭。

(四)胃溃疡

尸检证实阻塞性肺气肿患者约有18%~30%并发胃溃疡。其发病机理尚未完全明确。

(五)睡眠呼吸障碍

正常人睡眠中通气可以稍有降低,而阻塞性肺气肿患者睡眠时通气降低较为明显。尤其是患者清醒状态下动脉血氧分压已经低达8.00kPa(60mmHg)左右时,睡眠中进一步降低,就更为危险。患者睡眠质量降低,可出现心律紊乱和肺动脉高压等。  

预防[编辑 | 编辑源代码]

首先是戒烟。注意保暖,避免受凉,预防感冒。改善环境卫生,做好个人劳动保护,消除及避免烟雾、粉尘和刺激性气体对呼吸道的影响。

 阻塞性肺气肿食疗

慢性阻塞性肺气肿呼吸系统常见病,常常引起呼吸功能减退,通气、换气功能障碍,发生不同程度的低氧血症和高碳酸血症;慢性支气管炎并发肺气肿,往往在咳嗽、咯痰的基础上,出现逐渐加重的呼吸困难。最初仅在劳动、上楼、登山、爬坡时出现气促,病情进一步发展,即使静止状态下也会出现气促。本病经胸部x线、心电图、痰培养、肺功能测定、气血分析等检查即可确诊。患病后除保持心理平衡、必须戒烟、预防感冒、适当锻炼、适当用药、家庭氧疗外,还可采取以下食疗方法。

(1)石竹杏仁绿豆粥:生石膏40克,鲜竹叶15克,苦杏仁15克,绿豆50克,桔梗10克,陈皮20克,白糖适量,粳米150克。将生石膏加适量水,先煎30分钟后,加入鲜竹叶、苦杏仁、桔梗、陈皮煎煮,煮开后换小火煎煮,约30分钟后,过滤去渣取汁备用。粳米洗净,与绿豆一同置锅中,加入适量清水,置武火烧沸后,再改用文火煎煮,至粥熟后,倒入药汁与白糖,稍煮片刻,即可温热服食。每日剂,分3次食完。连食3-5日。

(2)桂花核桃冻:鲜桂花15克,核桃仁250克,奶油100克,白糖适量。将核桃仁加水磨成浆汁,锅内加水适量,烧沸,再加白糖搅匀,然后把核桃仁浆汁、白糖汁混合拌匀,放入奶油和匀后置武火上烧沸,出锅入盒中,待冷后放入冰箱内冻结。食用时,用刀划成小块,装入盘中,撒上桂花即成。每日剂,分2次食用,连服3-5天。

(3)虫草小米粥:冬虫夏草lO克,猪瘦肉50克,小米100克,生姜5克,食盐味精适量。将冬虫夏草用布包好,猪瘦肉去筋膜,洗净切碎,小米洗净后加入适量清水,一同放砂锅中煎煮,用武火烧沸,改用文火煎煮,至粥熟后,加入食盐、味精调味,再稍煮即可食用。每日剂,分2次食完。连服5-7日。

(4)鱼腥草猪肺汤:鱼腥草60克(干品30克),猪肺200克,食盐、味精各适量。先将猪肺冲洗、沥水切块,再将鱼腥草入砂锅内,加清水适量煎煮,去渣取汁,把药汁入锅与猪肺块,先武火煮沸,再用文火炖猪肺至烂熟时,加入含食盐、味精即可。每日剂,饮汤、食猪肺,亦可佐餐食用。

(5)寸冬贝母粥:寸冬(麦门冬)、贝母各10克,粳米50克,冰糖适量。用粳米、冰糖煮粥,等米开汤未稠时,调入寸冬、贝母粉,改文火稍煮片刻(煮2-3沸),粥稠即成。每日早、晚温服

(6)麻黄附子粥:制附子3克,干姜3克,粳米50克,葱白2茎,红糖少许。将麻黄、附子、干姜研为极细粉末。先用粳米煮粥,等粥煮沸后,加入药末及葱白、红糖同煮为稀饭;或用麻黄、附子、干姜煎汁,去渣后下米、葱、糖一并煮粥。每日剂,分2次温热服食。连服3天。

(7)狗肉炖附子:狗肉100克,熟附子5克,生姜10克,生抽、盐、米酒、陈皮各适量。将狗肉洗净切块,姜切片。先用锅煮狗肉,熟后加入姜、附子、陈皮、生抽、盐、米酒,加清水适量,炖2-3小时,至狗肉烂熟即可。每日剂,分2次服食,连服2-3天。

 肺气肿的饮食疗法

患有肺气肿的病人需要注意饮食的营养的补充,从中得到调理和治疗。

(一)饮食禁忌

①忌食刺激性食物。忌食辣椒、葱、蒜、酒等辛辣刺激性食物,因刺激气管粘膜,会加重咳嗽、气喘心悸等症状,诱发哮喘,故当忌食。

②忌食海腥油腻之品。非清蒸做法做出的鱼,由于用油量过大,容易引起上火。此外,有过敏体质的人以及血尿酸高的人(如痛风病人)也应少吃油量大的黄鱼、带鱼、虾、蟹以及肥肉等,以免助火生痰。

③避免食用产气食物。如红薯、韭菜等,因其对肺气宣降不利,应多食用碱性食物。

④禁止吸烟。因抽烟为支气管炎发生发展的祸根之一,对哮喘性支气管炎极为不利,应绝对禁止。

(二)适宜的饮食

①供给充足的蛋白质和铁。饮食中应多吃瘦肉、动物肝脏豆腐、豆浆等。这些食品不仅富含优质蛋白质和铁元素,而且又无增痰上火之弊,对增强病人体质有利,提高抗病力,促进损伤组织的修复。

②多吃含有维生素A、C及钙质的食物。含维生素A的食物如猪肝、蛋黄、鱼肝油胡萝卜南瓜、杏等;有润肺、保护气管之功效,含维生素C的食物有抗炎、抗癌、防感冒的功能,如大枣、番茄、青椒等;含钙食物能增强气管抗过敏能力,如猪骨、青菜、豆腐、芝麻酱等。需注意的是,奶制品可使痰液变稠,不易排出,从而加重感染,所以要限制牛奶及其制品的摄入。

③增加液体摄入量。大量饮水,有利于痰液稀释,保持气管通畅;每天饮水量至少2000ml(其中包括食物中的水分)。

④经常吃食用菌类能调节免疫功能。如香菇、蘑菇香菇多糖蘑菇多糖,可以增强人体抵抗力,减少支气管哮喘的发作。

(三)哮喘患者的食谱举例

食谱举例Ⅰ

早餐:大米粥,金银卷(玉米粉、面粉各半),卤猪肝

午餐:米饭,清蒸黑鱼,素炒青菜豆腐

晚餐:猪肉白菜馅水饺,骨头萝卜黑木耳汤

加餐:香蕉

食谱举例Ⅱ

早餐:糖豆浆,麻酱饼,拌三丝(青椒,牛肉,香干)

午餐:米饭,清炖鸡块,素炒苋菜

晚餐:玉米粥,熘肚片,糖醋卷心菜

加餐:苹果

 肺气肿病人如何自我保健

(1)对引起此病的原发病,如慢性支气管炎,支气管哮喘和矽肺等,要积极防治。此病由于肺功能受损害,影响身体健康及抵抗力,并且两者互为因果,所以,平时注意调养,增进身体健康及抵抗力,是改善肺功能的是根本方法,并要树立治愈的信心,此病不是不治之症。

肺气肿

(2)根据病人体力,可积极参加一些适当的体育活动。如慢跑是一种最完整的全身性协调运动,能增加肺活量和耐力,慢跑时维持呼吸均匀,可使足够的氧气进入体内。太极拳,柔软操,步行等能增进身体健康,凡多年坚持锻炼的患者,比多休息少动者更能保持健康。

(3)肺气肿病人冬季最怕冷,也很易患感冒,每次呼吸道感染后症状加重,肺功能亦受影响,进行耐寒锻炼可以提高患者抵抗力。春季开始,先用两手摩擦头面部及上下肢暴露部分,每日数次,每次数分钟,至皮肤微红为好,夏天在室内用毛巾浸于冷水中拧干后作全身摩擦,每日-2次。秋后改用冷水擦脸。这样经耐寒锻炼后,可减少罹患感冒,呼吸道感染。

(4)肺气肿病人在肺部感染时,一定要卧床休息,遵照医嘱积极抗炎,解痉平喘,按时服药。时补不可操之过急,原则上以祛邪为主。感染控制后可逐步调补,若平时体倦乏力,易患感冒,属肺气虚者,可选用黄芪人参防风白术等以补益肺气。

肺气肿的常用的临床经验方、偏方

肺气肿是指肺充气过度,肺脏终末细支气管远端部分(包括呼吸细支气管、肺泡管、肺泡囊和肺泡)膨胀或破裂,以致肺功能减退而引起的一种阻塞性肺疾患,常继发于慢性支气管炎,支气管哮喘和肺纤维化

肺气肿发病缓慢,常以咳、喘,咯痰开始,逐渐出现气急,呼长吸短,且进行性加重,甚至丧失劳动力。常用的有效的临床经验方、偏方主要如下。

[方一]

橘红10克,米粉500克,白糖200克。橘红研细末,与白糖和匀为馅;米粉以水少许湿润,放蒸锅屉布上蒸熟;冷后压实,切为夹心方块米糕,不拘时酌量食用。

本方燥湿化痰理气健脾,适用于痰浊阻肺所致的肺气肿,此种肺气肿喘而胸满闷窒,甚则胸盈仰息,咳嗽痰粘腻色白,咯吐不利,兼有呕恶,纳呆,口粘不渴,苔白厚腻,脉滑

[方二]

生石膏30克,杏仁泥10克,冬瓜仁20克,鲜竹叶lO克,竹沥20—30克。将生石膏、杏仁泥、冬瓜仁、鲜竹叶(洗净)共入砂锅煎汁,去渣,再分数次调入竹沥水,日分叫次饮用。

本方宜泄肺热,化痰降逆,适用于痰热结肺所致的肺气肿。此种肺气肿的特点为喘咳气涌胸部胀痛,痰粘稠色黄或夹血色,胸中烦热,身热有汗,渴喜冷饮,面红咽干,尿赤,苔黄或腻,脉滑数。

[方三]

黄芪30克,白术20克,茯苓30克,乳鸽1只。将乳鸽(未换毛的幼鸽)浸入水中淹死,去毛和内脏,放人炖盅内,加适量水,再人黄芪、白术、茯苓(洗净),置于蒸锅内,隔水炖熟,加少许食盐,味精。在正餐时食用,每天一次。

本方益肺止喘,适用于肺虚所致肺气肿。此种肺气肿的特点为喘促,气短不足以息,语气乏力,苔白滑或腻,脉细软。

[方四]

党参10克,黄芪9克,白术12克,茯苓10克,甘草半夏各6克,陈皮12克,苏子莱菔子各9克,白芥于12克,大枣10枚。将大枣、陈皮除外,其余各药熬汤,除药渣,将其汤煮大枣和陈皮,开锅10分钟后,吃大枣,喝汤,去陈皮。

本方健脾益气化痰平喘,适用于脾虚所致肺气肿。此种肺气肿的主要特点为喘促,气短不足以息,语言无力痰多质稀,四肢倦怠,食少腹胀,大便稀溏舌淡,苔白滑或薄腻,脉细软。

[方五]

核桃仁50克,萝卜子(研粉)、冰糖各10克。

将冰糖先熬化,再加入上药拌匀,制成糖块,每日时时含化。

本方补肾平喘,适用于肾虚久喘。此种肺气肿为咳喘

久,短气息促而难以接续,动则大甚,痰吐起伴,伴有腰膝酸软脉微细

[方六]

黑苏子、陈皮、半夏、当归厚朴各9克,沉香末(冲)、肉桂各2.5克,前胡、杏仁各9克。水煎服,每日剂,分2次服。

本方除疲降气,适用于肺气肿。

[方七]

黄芩瓜蒌仁、半夏、胆星橘皮、杏仁泥;枳实、姜竹茹各9克。

水煎服,1日l剂,早晚服。

方清肺化痰,运用于痰热所致的肺气肿者。

[方八]

沙参12克,麦冬五味子、杏仁、玉竹、贝母各9克。水煎服,每日l剂,分2次服。

本方补气生津,适用于气津两伤所致的肺气肿。

[方九]

熟地山萸肉、五味子各9克,肉桂2.5克,补骨脂胡桃肉各9克。水煎服,日1剂,2次服。

本方补肾纳气,适用于肾虚所致的肺气肿者。

[方十]

苏子10克,白芥子9克,莱菔子10克,山药60克,人参30克。水煎服,每日剂,日服2次。

本方扶正祛邪,降气化痰,适用于痰涎壅盛所致的肺气肿。

[方十一]

莱菔子适量,粳米2两。将莱菔子炒熟后研末,每次取1卜15克,同粳米煮粥。

本方化痰平喘,行气消食。适用于咳嗽多痰,胸闷气喘,不思饮食,嗳气腹胀之肺气肿。

[方十二]

粳米60克,川贝5-10克,砂糖适量。先以粳米60克,砂糖适量煮粥,待粥将成时,调人川贝母极细粉末5-10克,再煮二三沸即可。温热服食。

润肺养胃,化痰止咳。老年慢性气管炎、肺气肿、咳嗽气喘等症。

[方十三]

射于10克,麻黄、白芥子、莱菔子各9克,苏子10克,皂荚12克,旋复花紫菀款冬花各10克,半夏、杏仁各9克。若外感风寒,痰从寒化,寒重于饮而咳重于喘者,加桂枝细辛、干姜、五味子、白芍、甘草;饮重于寒并兼有郁热而喘重于咳者,加厚朴、石膏、细辛、干姜、五味子;饮寒并重而喘咳并重者,加生姜、细辛、五味子、大枣;外感风热,痰从热化,热重于饮者,加石膏、生姜、大枣、甘草;饮重于热者,加细辛、干姜、五味子、白芍、石膏;饮热并重者,加厚朴、石膏。水煎服,日1剂,分2次服。

本方降气化痰,止咳平喘,适用于痰浊阻肺所致的肺气肿,其临床主要症状如:喘而胸满闷窒,甚则胸盈仰息,咳嗽痰粘腻色白,咯吐不利,兼有呕恶、纳呆、口粘不渴、苔白厚腻、脉滑。

[方十四]

黄芩、桑白皮金荞麦各10克,杏仁、半夏各9克,款冬花12克,苏子、贝母、黄连山栀各9克。若痰多而粘稠,加瓜蒌射干海蛤粉;痰涌便秘、喘不能卧,加大黄、风化硝葶苈子;身热甚加生石膏、知母口渴咽干,加天花粉、麦冬;咯痰气腥,配鱼腥草、冬瓜子。水煎服,日1剂,分2次服。

本方清泻痰热,降气而喘,适用于痰热结肺所致的肺气肿,其主要临床症状如:喘咳气涌,胸部胀痛,痰粘稠色黄或夹血色,胸中烦热,身热有汗,渴喜冷饮,面红咽干,尿赤,苔黄或腻,脉滑数。

[方十五]

党参9克,黄芪10克,沙参、麦冬各9克,熟地10克,五味子、桑白皮、紫菀各12克。若短气喘促明显,加冬虫夏草、钟乳石、甘草;喘逆、咳痰稀薄,去桑白皮,加款冬、钟乳石;恶风自汗明显,加白术、防风;动则喘甚,加山萸肉、胡桃肉;食少便溏、腹中气坠,加升麻柴胡,同时重用黄芪、党参;呛咳烦热、苔少舌红,加玉竹、百合石斛诃子。水煎服,日1剂,分2次服。

本方益气养阴舒肺止喘,适用于肺虚所致的肺气肿,其主要临床表现如:喘促短气,气怯声低,咳声低弱,痰稀色白,自汗畏风,经常感冒,舌质淡红,脉细弱;若呛咳痰少质粘,烦热而渴,咽喉不利,面色潮红,舌红苔少,脉细数

[方十五]

党参10克,黄芪、白术各9克,茯苓12克,甘草、陈皮各9克,半夏6克。若痰多质粘且咯吐不爽、脘痞、苔腻,加川朴苍术;大便易溏,加淮山药薏苡仁煨木香砂仁,或平时常服香砂六君子丸健脾丸理中丸等;四肢逆冷、形寒锩卧,加附子、肉桂、胡桃肉、紫河车,亦可服金匮肾气丸。水煎服,日1剂,分2次服。

本方健脾益气,化痰平喘,适用于脾虚所致的肺气肿,其主要临床症状如:咳喘日久,短气息促而难以接续,动则尤甚,痰吐起沫,头晕耳鸣,腰膝酸软,伴形寒肢冷,自汗,面青唇紫,舌苔淡白或黑润,脉微细或沉弱;或面红烦躁,口咽干燥,汗出粘手,舌红苔少,脉细数。

[方十六]

熟地10克,山萸肉12克,山药15克,紫河车6克,胡桃肉、补骨脂各9克,鹿角片6克,肉桂9克,附子6克,五味子9克。呼多吸少者,加紫石英、沉香、磁石、五味子、冬虫夏草;喘甚加服参蛤散;咳吐粘痰者,加苏子、半夏、茯苓、橘红;喘咳眩悸、肢体浮肿小便不利,加茯苓、白术、白芍;面赤如妆、虚烦,加龙骨牡蛎,平时常服紫河车粉、金匮肾气丸或六味地黄丸;面红烦躁,舌红苔少,加麦冬、当归、龟板胶。水煎服,日1剂,分2次服。

本方补肾纳气平喘,运用于肾虚所致的肺气肿,其临床主要症状如:咳逆短气、痰多、面足浮肿、形体消瘦、脉细弱、舌质淡。

[方十七]

五味子250克,鸡蛋10个。将五味子水煎半小时,冷却,放入鸡蛋,浸泡10天后,每晨取1个,糖水或热黄酒冲服。

本方适用于肺气肿症。  

危害[编辑 | 编辑源代码]

肺气肿的危害性是慢慢渗透的,一开始一般是没有明显症状的,此症最易被忽视,也最危险,一旦肺部遭破坏,所剩余的组织不能维持身体输氧的功能时,成为肺残废就无法治疗了,至少目前科学尚未进步到移植肺的境界。

肺气肿对肺的危害

首先是由于肺泡及毛细血管的损害,

肺气肿

不能完成吸入氧气、排出二氧化碳的任务,导致缺氧,以至使肺部遭到破坏,所剩余的组织不能维持身体输氧的功能时,就会出现缺氧的状态,呼吸困难,甚至威胁生命安全。

肺气肿对其它器官的危害

严重者血液中二氧化碳升高。缺氧又可影响心脏、大脑肾脏、肝脏及胃肠道的功能,而出现相应的症状。  

肺气肿患者自我保健法[编辑 | 编辑源代码]

(1)对引起此病的原发病,如气管炎,慢性支气管炎,支气管哮喘和矽肺等,要积极防治。此病由于肺功能受损害,影响身体健康及抵抗力,并且两者互为因果,所以,平时注意调养,增进身体健康及抵抗力,是改善肺功能的是根本方法,并要树立治愈的信心,此病不是不治之症。

(2)根据病人体力,可积极参加一些适当的体育活动。如慢跑是一种最完整的全身性协调运动,能增加肺活量和耐力,慢跑时维持呼吸均匀,可使足够的氧气进入体内。太极拳,柔软操,步行等能增进身体健康,凡多年坚持锻炼的患者,比多休息少动者更能保持健康。

(3)肺气肿病人冬季最怕冷,也很易患感冒,每次呼吸道感染后症状加重,肺功能亦受影响,进行耐寒锻炼可以提高患者抵抗力。春季开始,先用两手摩擦头面部及上下肢暴露部分,每日数次,每次数分钟,至皮肤微红为好,夏天在室内用毛巾浸于冷水中拧干后作全身摩擦,每日-2次。秋后改用冷水擦脸。这样经耐寒锻炼后,可减少罹患感冒,呼吸道感染。

(4)肺气肿病人在肺部感染时,一定要卧床休息,遵照医嘱积极抗炎,解痉平喘,按时服药。时补不可操之过急,原则上以祛邪为主。感染控制后可逐步调补,若平时体倦乏力,易患感冒,属肺气虚者,可选用黄芪,人参,防风,白术等以补益肺气。

(5)注意营养,提高机体抵抗力。适当选用蛋白质含量较高又有丰富维生素的食品,如奶制品,蛋类,肉汁。平素饮食宜清淡,不宜过咸,并要定时定量。多吃蔬菜水果,少食海鲜之类,如海虾,黄鱼,带鱼等。还要戒酒戒烟。

参看[编辑 | 编辑源代码]