鳞状细胞癌

来自医学百科

鳞状细胞癌亦称皮样,主要从有鳞状上皮复盖的皮肤开始。皮肤和结膜交界处的睑缘是其多发部位。此类癌肿恶性程度较基底细胞癌者为高。发展较快,破坏也较大。即可破坏眼部组织,侵入副鼻窦或颅内,又可以通过淋巴管转移至耳前或颌下淋巴结,甚至引起全身性转移。

简介[编辑 | 编辑源代码]

鳞状细胞癌亦称皮样癌,主要从有鳞状上皮复盖的皮肤开始。皮肤和结膜交界处的睑缘是其多发部位。此类癌肿恶性程度较基底细胞癌者为高。发展较快,破坏也较大。即可破坏眼部组织,侵入副鼻窦或颅内,又可以通过淋巴管转移至耳前或颌下淋巴结,甚至引起全身性转移。  

症状[编辑 | 编辑源代码]

多发于50岁以上的男性,常见于面部、头皮下唇手背前臂、阴部等处。

鳞状细胞癌

尤其是皮肤与粘膜交界处更易发生。初起为暗红色坚硬的样小结节,表面毛细血管扩张,中央有角质物附着,不易剥离,用力剥后可出血。皮损逐渐扩大,形成坚硬的红色斑块,表面有少许鳞屑,边境清楚,向周围浸润,触之较硬,迅速扩大形成溃疡,溃疡向周围及深部侵犯,可深达肌肉骨骼,损害互相粘连形成坚硬的肿块,不易移动,溃疡基底部为肉红色,有坏死组织,有脓液、臭味,易出血。溃疡边缘隆起外翻,有明显炎症,自觉疼痛。如发生在皮肤与粘膜交界处,固潮湿与摩擦更易出血,发展更快,可形成菜花状,破坏性大,有明显疼痛,易转移,预后不良。

病变粗糙、脱屑、溃破等,邻近淋巴结及区域淋巴结肿大、固定。大部分肺鳞状细胞癌起源于中心性主支气管叶支气管或段支气管

肿瘤科眼科疾病描述鳞状细胞癌亦称皮样癌,主要从有鳞状上皮复盖的皮肤开始。皮肤和结膜交界处的睑缘是其多发部位。此类癌肿恶性程度较基底细胞癌者为高。发展较快,破坏也较大。即可破坏眼部组织,侵入副鼻窦或颅内,又可以通过淋巴管转移至耳前或颌下淋巴结,甚至引起全身性转移。多发发生于中老年人,好发于睑缘皮肤粘膜移行处。  

诊断[编辑 | 编辑源代码]

表皮角化,肿瘤由鳞状上皮细胞团块所组成,不规则地向真皮内浸润,棘细胞呈瘤性增生,呈条索状或巢状细胞团,边缘以基底细胞层,中心部有角化性癌珠,在癌细胞团内有很多分裂象,周围淋巴细胞和浆细胞浸润。

1.注意发病年龄、癌肿部位、职业。有无长期风吹日晒或海上生活史,有无吸烟嗜好及慢性热刺激,有无不稳定性瘢痕慢性骨髓炎慢性溃疡病史。

2.注意病变是否粗糙、脱屑、溃破等,邻近淋巴结及区域淋巴结有无肿大、固定。

3.胸部X线摄片检查,疑有骨质破坏时尚应作骨X线摄片。

4.邻近淋巴结切除送病理检查。  

影像学[编辑 | 编辑源代码]

放射X线检查:中央型SCC可发生肺叶或整个肺萎陷,伴有纵隔向患侧移位。中心性段或段以下支气管肿瘤可扩散至局域淋巴结,表现为肺门、肺门周围或纵隔阴影,伴或不伴有局部肺萎陷。外周性肿瘤表现为孤立的肺部结节(<3cm)或肿块(>3cm)。鳞状细胞癌是形成空洞最常见的肺癌类型,在胸片上可见不规则的厚壁空洞。当肿瘤位于肺上沟时,称之为Pancoast肿瘤,常伴有胸后壁肋骨破坏,可导致Horner综合征。一些小气管或支气管内肿瘤的胸部X线可表现正常。肺门阴影、肺不张或周围肿块可伴有胸腔积液、纵隔扩大或横隔一侧抬高。

CT或螺旋CT:原发性肿瘤和中央型病变范围的最佳检测方法是CT扫描。螺旋CT可更好地评估胸廓病变的范围,显示在胸部平片上无法显示的小的原发性或继发性结节以及淋巴结扩散。

PET扫描:是目前鉴别转移发生的可选择方法(除需MRI检测的脑转移外)。骨转移典型呈溶骨性表现。  

细胞学[编辑 | 编辑源代码]

鳞状细胞癌的细胞学表现根据组织分化程度和标本类型而不同。

鳞状细胞癌

在坏死和细胞碎屑的背景中可见到大的肿瘤细胞,伴有不规则的深染的核,位于中央,有一个或多个小核仁,胞浆丰富。肿瘤细胞常散在分布,可呈奇特的形状如梭形和蝌蚪形,也可表现粘附性聚集,通常呈扁平片状伴有拉长的或梭形核。在分化良好的鳞状细胞癌中角化的胞浆通过Romanowsky染色呈现刺槐毒素的(robin’s)蛋蓝色,而通过Papanicolaou染色可呈橙黄色或黄色。在脱落细胞标本中以表层肿瘤细胞为主,表现为单个散在分布,具有明显角化的胞浆和致密深染的核。相反,在刷取的标本中细胞多取自较深层组织,可见更多的细胞表现为粘附性聚集。

巨检和部位

肿瘤外观根据纤维化程度不同常呈白色或灰色,质地较硬,伴有局部碳样色素沉着,在病变中央呈星状倒行至四周。肿瘤可表现巨大并伴有空洞形成。中央型肿瘤可形成腔内息肉状肿块和/或透过支气管壁向周围组织浸润,也可阻塞支气管腔导致支气管分泌物潴积、肺不张、支气管扩张、阻塞性脂样肺炎感染性支气管肺炎。少数病例可来源于外周小气道。但研究结果有所改变因为最近一项研究报道53%的鳞状细胞癌可发生于周围肺部。

肿瘤扩散和分期

中央型鳞状细胞癌以两大扩散方式为特征:上皮内扩散(原位)伴或不伴皮下侵犯和支气管内息肉状生长。广泛的上皮内扩散常见于主要的支气管。支气管腺体或导管上皮常被侵及。关于早期浸润性鳞状细胞癌的两种生长方式已有描述:一种是沿着支气管一侧粘膜生长替代表层上皮,伴粘膜下微浸润和腺体导管侵犯(蔓延型);另一种表现为小的息肉样粘膜病变,伴向深层浸润(穿透型)。肺门纵隔组织包括淋巴结的直接侵犯可在进展期病例中见到。

周围型鳞状细胞癌以形成实性结节为特征,常伴有支气管内结节性生长、上皮内扩散或两者兼有。在进展期病例中周围型鳞状细胞癌可直接透过胸膜侵犯胸壁或横隔。

分期通常根据TNM方法进行。一般来说,鳞状细胞癌倾向于表现为通过直接扩散侵犯局部邻近组织。与腺癌或其它原发性肺癌组织类型相比,鳞状细胞癌较少发生远处器官转移。直径<2cm的周围型肿瘤较少发生局部淋巴结转移。分化差的肿瘤可在病变早期转移至脑、肝脏肾上腺下消化道和淋巴结。手术切除后局部复发在鳞状细胞癌中比其它类型的肺癌更常见。  

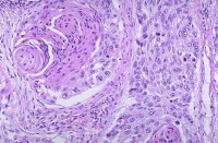
组织病理学[编辑 | 编辑源代码]

鳞状细胞癌可表现角化、角化珠形成和/或细胞间桥等特征。这些特征随分化程度而表现不同。在分化良好的肿瘤中该特征表现明显,而在分化差的肿瘤中仅局部可见。

鳞状细胞癌

乳头状型SCC。一些位于近端支气管的肿瘤可表现向外生长和支气管内生长。有时仅可见非常局限的上皮内扩散不伴有浸润,但是大多数病例中存在浸润形成。

透明细胞型SCC。主要或几乎全部由伴透明胞浆的细胞组成。该型需要与大细胞癌、伴广泛透明细胞改变的肺腺癌和肾脏转移性透明细胞癌相区分。

小细胞型SCC是一种分化差的鳞状细胞癌,小肿瘤细胞保留有非小细胞癌的形态特征,并表现局部鳞状分化。该型必须与混合有鳞状细胞癌及真正的小细胞癌的复合性小细胞癌相鉴别。小细胞型SCC缺乏小细胞癌具有的细胞核特征,即具有粗糙或泡状染色质、更明显的核仁、更丰富的胞浆和更清楚的细胞边界。局部可见到细胞间桥或角化。

基底样型可表现明显的呈周围栅栏状排列的核。伴广泛的基底样生长模式但缺乏鳞状分化特征的分化差的肺癌可认为是基底样型的大细胞癌。

最近有报道描述了一种表现肺泡腔填充型的周围型SCC:肿瘤细胞充满了肺泡腔但不伴有肺泡结构的破坏,这与可导致肺泡结构和肺组织结构破坏的扩展型SCC正好相反。该型仅约占周围型SCC的5%。罕见的无角化鳞状细胞癌可类似于移行细胞癌。  

电镜[编辑 | 编辑源代码]

在鳞状细胞癌中可观察到胞浆角蛋白中间丝,常聚集一起形成张力丝。分化较差的癌具有少量的桥粒和胞浆细丝。

免疫组化

绝大多数的鳞状细胞癌可表现高分子量角蛋白(34βE12)、细胞角蛋白5/6和癌胚抗原(CEA)高表达。许多病例可表达低分子量角蛋白(35βH11)和极少数表达甲状腺转录因子-1(TTF-1)或细胞角蛋白7(CK7)。  

治疗[编辑 | 编辑源代码]

1、早期癌肿无深部浸润及淋巴结转移时,可将局部病变彻底切除,一般应较基底细胞癌的切除范围更广。切除后创面用皮片或皮瓣修复。手术前、后可考虑用抗癌化学药物治疗。

2、晚期癌肿有深部浸润或已有淋巴结转移时,除局部广泛彻底切除外,手术当时或术后2周尚需作淋巴结清除术。在肢体的癌肿可考虑截肢。

3、晚期癌肿,全身情况不佳,不能经受根治手术者,可考虑放射、冷冻激光治疗

4、以上治疗均应配合中药真情散治疗才能做到不复发、不转移  

心理治疗[编辑 | 编辑源代码]

人们的情绪障碍是由人们的不合理信念所造成,因此简要地说,这种疗法就是要以理性治疗非理性,帮助求治者以合理的思维方式代表不合理的思维方式,以合理的信念代表不合理的信念,从而最大限度地减少不合理的信念给情绪带来的不良影响,通过以改变认知为主的治疗方式,来帮助求治者减少或消除他们已有的情绪障碍,一般经过一个月左右的集体心理治疗癌症患者的心理反应状态和认知程度会有明显改变,负性情绪得到缓解,可以改善他们的无助、绝望、焦虑抑郁状态,表现为与疾病做斗争的精神增强,病人对各种治疗方法容易接受。良好医患关系的建立,增强了病人战胜疾病的信心,有利于疾病的康复。  

饮食治疗[编辑 | 编辑源代码]

根据肿瘤疾病寒热表现及患者自身阴阳盛衰,辨证施膳,从组方、筛方到实验,制定出各种抗癌药膳,如肝癌血虚药膳、肺癌气虚药膳等,其优势主要体现在::①亦食亦治;②疗效确切;③无副作用;④应用广泛;⑤原料充足;⑥制作方便;⑦便于久服。

推荐食疗方案:核葵煮鸡蛋

配方:核桃青枝梢100克,龙葵30克,生鸡蛋4个。

制法:将核桃青枝切碎,与龙葵同置砂锅内,加水先煎20分钟后,放入鸡蛋煮熟去皮,鸡蛋上用竹签扎遍小孔,再放入原汤中煮2小时后取出。

用法:每日早晚各2个,空腹服食。连服1各月为一个疗程,停一周后继续服用。  

体育治疗[编辑 | 编辑源代码]

体疗以形体锻炼、鼓舞人体正气,抗御病邪为目的有氧抗癌操为主,旨在:提高机体的免疫功能;抗放、化疗副反应;改善机体内环境,抑制癌细胞的生长;调整神经系统的紊乱;直接对恶性肿瘤细胞有杀伤作用。要体疗老师的指导下,并赠送伟达有氧抗癌操的光盘,要求病人在身体条件允许的情况下,尽量持之以恒。  

验方[编辑 | 编辑源代码]

板兰根120g,银花9g,连翘9g,皂刺9g。每日剂,煎2次分眼。

疗效:按本方f台疗多例,疗效显著,1例服药2.5个月治愈。

蟾酥软膏:蟾酥10g,溶于30ml清洗液中,加磺胺软膏40g,配成20%蟾酥软膏外敷,一般用药3天,癌组织开始脱落,约18天基本愈合。

疗效:青岛白求恩医院用此方治愈皮肤癌13例。  

偏方[编辑 | 编辑源代码]

①樟乳散:樟丹30g,乳香10g。研末以小麻油制成糊状,涂敷患处,每日1次。

白花蛇舌草30g,夏枯草30g。黄芪30g,蚤休15g,穿曲甲10g,甘草10g。水煎服,日服2次

参看[编辑 | 编辑源代码]