骨软骨瘤

来自医学百科

骨软骨瘤又称外生骨疣,是儿童期最常见的良性骨肿瘤。该肿瘤通常位于干骺端的一侧骨皮质,向骨表面生长可分为单发和多发性骨软骨瘤。后者有遗传倾向并影响骨骺发育或产生肢体畸形,称为多发性遗传性骨软骨瘤病,或骨干续连症

简介[编辑 | 编辑源代码]

骨软骨瘤又名外生骨疣,也属软骨肿瘤,最为常见,有单发性及多发性两种。单发性多见。多发性较少

骨软骨瘤

见,常合并骨骼发育异常,最多发生于膝关节踝关节附近,常为二侧对称性并有遗传性,又称遗传性多发性外生骨疣。发生于关节附近骨端的叫做骺生骨软骨瘤,位于趾末节趾骨的叫做甲下骨疣。骨软骨瘤由纤维组织包膜软骨帽和骨性基底构成。其基底可为细长呈蒂状,也可为宽广的基底。在生长年龄内,骨软骨瘤本身有其自己的骨骺板。所以到生长年龄结束时,骨软骨瘤的生长也停止。在骨软骨瘤与周围组织之间,可因摩擦而产生滑囊。约有1%的单发性骨软骨瘤可恶变,但多发性骨软骨瘤发生恶变为软骨肉瘤者为10~20%。  

病因[编辑 | 编辑源代码]

骨软骨瘤严格讲来鶒不属于肿瘤,而是生长方面的异常,或称错构瘤。瘤体有软骨帽和一个从骨侧面突出的骨组织。本症又称骨疣其成因可能是从靠近骨膜的小软骨岛长出,或来自骺板软骨鶒。

软骨化骨的部位均可发生,但下肢长管状骨占1/2,股骨下端胫骨上端最多。其次为肱骨上端桡骨胫骨下端以及腓骨的两端病变位于干骺端,随生长发育逐渐远离骺板。骨疣内健康搜索的骨髓脂肪组织丰富。骨疣的增长是靠软骨帽深层的软骨化骨作用。病儿发育成熟后,骨疣即停止生长

成年后,软骨帽逐渐退化以至消失,偶持久存在并可继发为软骨肉瘤。  

发病机制[编辑 | 编辑源代码]

主要有两种学说Virchow于1891年提出骺板细胞分离学说,认为骺板的软骨细胞从骺板分离,旋转90°后沿长骨长轴相垂直的方向生长,即横向生长形成肿瘤。另一学说认为起源于骨膜的软骨细胞巢不断增殖骨化所形的肿瘤。后来D.Ambrosia和Ferguson通过骺板软骨细胞移植,成功地产生了骨软骨瘤模型,从而支持骺板发育缺陷的理论病理解剖可见肿瘤呈菜花状,由软骨膜、软骨帽和骨性瘤体组成。骨性部分可直接或有一细蒂与骨皮质相连续。肿瘤直径多介于1~10cm,形态各异。镜下所见软骨帽的软骨细胞形态及排列似骨骺软骨细胞,增殖的软骨细胞群位于软骨帽的深层。当肿瘤生长活跃时,软骨细胞显著增殖。而肿瘤生长停止时鶒,软骨细胞也停止增殖并发生退行性改变,在软骨细胞间质中可见钙化。多发性骨软骨瘤是一种染色体显性遗传疾病,发病年龄小,约1/3不足10岁。X线表现和病理改变与单发相似,但其恶变率高达5%~10%。  

临床表现[编辑 | 编辑源代码]

病人多为青少年,局部有生长缓慢的骨性包块,本身无症状,多因压迫周围组织如肌腱神经血管

骨软骨瘤

影响功能而就医,多发性骨软骨瘤可妨碍正常长骨生长发育,以致患肢有短缩弯曲畸形。

虽然任何由软骨化骨的骨骼均可生长骨软骨瘤,但长管状骨比扁骨短骨更多见。其中股骨远端、胫骨近端和肱骨近端最为多见。由于该肿瘤不产生疼痛,多因偶然摸到肿块,或X线检查发现肿瘤。局部多无压痛。有些因压迫血管、神经及内脏器官,产生相应的症状。常是意外中摸到肿物或在X线照片上偶然发现异常。多数没有症状。股骨下端或胫骨上端的内侧骨疣可有肌腱滑动感肿物遭到直接冲击或蒂部发生骨折以后才会有疼痛感觉。瘤体较大时可压迫神经腰椎的骨疣可发生马尾神经的压迫症状。足和踝部肿物会使走路和穿鞋困难健康搜索。有的可并发滑囊或滑囊炎。  

并发症[编辑 | 编辑源代码]

多发性骨软骨瘤可合并肢体弯曲和短缩畸形。偶可继发为软骨肉瘤。  

检查[编辑 | 编辑源代码]

病理改变[编辑 | 编辑源代码]

1.肉眼形态肿块1~10cm,表面光滑,灰蓝色软骨样,切面软骨帽厚度不超过1cm。

2.组织形态病变最表面为薄层纤维组织,下为软骨帽,软骨细胞小核深染,排列规则,再向下软骨细胞肥大,钙化和海绵状骨小梁形成,骨小梁之间是红骨髓脂肪性骨髓。

<b />  

其它辅助检查[编辑 | 编辑源代码]

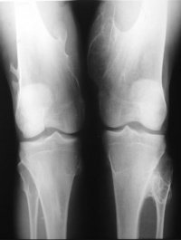
X线表现为骨性病损自干骺端突出,一般比临床所见的要小,因软骨帽和滑囊不显影,肿瘤的骨质影像与其所在部位干骺端的骨质结构完全相同。不易区别。位于长骨的肿瘤其生长方向与邻近肌肉牵引的方向一致,例如股骨远端的骨软骨瘤向股骨的生长,胫骨近端的肿瘤向胫骨远端生长。其形状不一,可有一个很长的蒂和狭窄的基底。或很短粗呈广阔的基底,较大的肿瘤其顶端膨大如菜花,悬垂状骨性骨块,其尖端朝向邻近关节相反方向。其基底直接或有一细蒂与骨皮质相连续。瘤体表面的软骨帽虽然在X线上不显影,但常有钙化和骨化位于前臂小腿的较大肿瘤可压迫邻近骨骼,产生压迫性骨缺损或畸形。多发性者往往合并骨骼畸形。  

诊断方法[编辑 | 编辑源代码]

1.X线表现:表现为附着于干骺端的向外骨性突起,生长方向与肌肉的牵引方向一致,与受累骨皮质和松质骨相连,软骨帽不显影,有长蒂型和广基型之分。

多发性骨软骨瘤表现为干骺端增粗,皮质变薄,肿瘤外形不一,常出现患骨关节畸形,当肿瘤恶变时,其表面的软骨部分迅速长大,当有大量钙化时,则X线表现明显。

2.放射性核素扫描:骨软骨瘤的骨性部分与软骨帽交界处放射性核素浓集,当有恶变时,病变处的放射性核素摄取量会突然增高。       

3.CT检查:能清晰的显示出肿瘤与受累骨皮质和松质骨相连,软骨帽部分呈软组织密度,有时可见不规则的钙化及骨化。

4.MRI检查:骨性部分的信号与相邻干骺端松质骨的信号相同,软骨帽在T1加权像上呈低信号,T2加权像上呈高信号。MRI检查可以明确软骨帽的厚度,如超过25mm者应考虑有恶变可能。

预防[编辑 | 编辑源代码]

参照一般肿瘤健康搜索的预防方法鶒,了解肿瘤的危险因素健康搜索,制定相应的防治策略可降低肿瘤的危

骨膜

险预防肿瘤的发生有2个基本线索,即使肿瘤在体内已经开始形成,它们也可帮助机体提高抵抗力这些策略如下所述:

1.避免有害物质侵袭(促癌因素)就是能够帮助我们避免或尽可能少接触有害物质。

肿瘤发生的一些相关因素在发病前进行预防。很多癌症在它们形成以前是能够预防的。1988年国的一份报告详细比较了国际上恶性肿瘤相关情况,提出许多已知的恶性肿瘤其外部因素原则上是可以预防的即大约80%的恶性肿瘤是可以通过简单的生活方式改变而预防。继续追溯1969年Higginson医生所作的研究总结出90%的恶性肿瘤是由环境因素造成的。“环境因素”、“生活方式”即是指我们呼吸的空气、喝的水、选择制作的食品活动的习惯和社会关系等

2.提高机体抵御肿瘤的免疫力能够帮助提高和加强机体免疫系统与肿瘤斗争

我们目前所面临的肿瘤防治工作重点应首先关注和改善那些与我们生活密切相关的因素,例如戒烟、合理饮食、有规律锻炼和减少体重。任何人只要遵守这些简单合理的生活方式常识就能减少患癌的机会。

提高免疫系统功能最重要的是:饮食、锻炼和控制烦恼,健康的生活方式选择可帮助我们远离癌症。保持良好的情绪状态和适宜的体育锻炼可以使身体的免疫系统处于最佳状态,对预防肿瘤和预防其他疾病的发生同样有好处另外有研究显示适当活动健康搜索不仅增强人体免疫系统,而且通过增加人体肠道系统蠕动而降低结肠癌发病率。在这里我们主要认识饮食在预防肿瘤发生方面的一些问题。

人类流行病学和动物实验研究显示维生素A对降低患癌的危险性起着重要的作用健康搜索,维生素A支持正常的黏膜视觉,它直接或间接参与身体大多数组织功能维生素A存在于动物组织中如肝脏、全蛋和全牛奶,植物中是以Β-胡萝卜素类胡萝卜素形式存在,在人体内能转化为维生素A。维生素A的过度摄入可以造成机体的不良反应而β-胡萝卜素和类胡萝卜素则无此现象鶒,血中低维生素A含量增加患恶性肿瘤的危险性,研究表明那些血中低水平维生素A摄入的人增加患肺癌的可能,而对于吸烟者血中低水平的维生素A摄入者有加倍患肺癌鶒的可能维生素A及其混合物可以帮助清除体内的自由基(自由基可以引起遗传物质的损害)鶒,其次能够刺激免疫系统和帮助体内分化细胞,发展成有序的组织(而肿瘤的特征是无序的)。一些理论认为维生素A能够帮助早期受到致癌物质侵袭发生变异的细胞逆转过来而成为正常生长的细胞

另外有一些研究建议单纯补充β-胡萝卜素药物并不能降低患癌症的风险,相反使肺癌的发病略有增加,然而,当β-胡萝卜素结合维生素C、E和其他抗毒素物质,它的保护作用就显示出来了。其原因是当它自己消耗时也可增加体内的自由基另外不同的维生素之间存在交互作用人和鼠的研究均显示应用β-胡萝卜素可以降低体内40%的维生素E水平,比较安全的策略是吃不同的食物保持维生素的平衡来抵御癌症的侵袭,因为有些保护因素至今我们还未发现。

维生素C、E是另外一种抗肿瘤物质,它们能够预防食物中致癌物质如亚硝胺的危害维生素C能保护精子不受基因学破坏而降低其后代患白血病肾癌脑瘤的危险。维生素E能降低皮肤癌的危险,维生素E与维生素C一样具有抗肿瘤作用它是抗毒素和清除自由基的清道夫。维生素A、C、E的联合应用产生的保护机体抵抗毒素的作用要比单独应用为好。  

治疗措施[编辑 | 编辑源代码]

一般不须治疗,若肿瘤过大,生长较快,或影响功能,应考虑作切除术,切除范围应较广,要包括肿瘤基底四周部分正常骨组织,以免遗漏,引起复发。

参看[编辑 | 编辑源代码]