骨小梁

来自医学百科
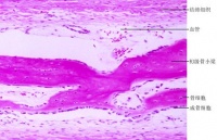
Bkiep.jpg

骨小梁骨皮质松质骨内的延伸部分,即骨小梁与骨皮质相连接,在骨髓腔中呈不规则立体网状结构,如丝瓜络样或海绵状,起支持造血组织的作用。正常情况下,骨小梁具有一定的长度,它们之间有一定距离。骨小梁形成后至20岁左右,骨小梁表面被覆一层骨原细胞(osteogenic cell)或成骨细胞(osteoblast),因为都在骨髓腔内表面,故通称骨内膜细胞(endosteal cell)。成骨细胞,排列在骨小梁表面,胞浆突起可与周围的成骨细胞胞浆相接,它是由紧贴骨内膜表面扁平的骨原细胞发育来的

骨小梁是骨内的一种结构,与骨的生成有关,以颅骨为例:

第一步:在将要形成骨的部位血管增生,随之间充质细胞分裂增生,形成膜状。

第二步:间充质细胞增殖分化为骨原细胞,进一步分化为成骨细胞

第三步:成骨细胞分泌纤维和有机基质(即类骨质),类骨质继而钙化骨基质。此最早出现骨组织的部位称为骨化中心(ossification center)。

第四步:在骨化中心的周围,骨化过程不断扩展,形成越来越多的骨小粱,进而形成骨松质,骨松质周围的间充质分化为骨膜

第五步:成骨细胞的活动使某些部位的骨小梁表面不断添加骨质,在此处形成骨密质

第六步:已形成的骨组织不断生长和改建,以适应所在部位功能上的需要。例如颅骨在生长时,其外表面以成骨为主,内表面以溶骨为主,结果使其曲度逐渐改变,以适应脑的发育。