葡萄胎

来自医学百科

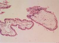
绒毛基质微血管消失,从而绒毛基质积液,形成大小不等泡,形似葡萄,故称为 葡萄胎 (hydatidiform mole)。有完全性怀部分性之分,大多数为完全性葡萄胎。临床诊断葡萄胎皆系指完全性葡萄胎而言;部分葡萄胎伴有胎盘组织或/及胎儿者,则冠以部分性葡萄胎。在自然流产的组织中发现40%病人有一定的水泡样变性,但不诊断为葡萄胎。

症状[编辑 | 编辑源代码]

葡萄胎

一、闭经 因葡萄系发生于孕卵的滋养层,故多有2~3个月或更长时间闭经。

二、阴道流血 为严重症状,是葡萄胎自然流产的表现。一般开始于闭经的2~3个月,多为断续性少量出血,但其间可有反复多次大流血,如仔细检查,有时可在出血中发现水泡状物。阴道流血显然来自子宫,除自阴道流出外,部分蓄积于子宫内;也可能一时完全蓄积于子宫内,从而闭经时间延长。

三、子宫增大 多数患者的子宫大于相应的停经月份的妊娠子宫,不少患者即因触及下腹包块(胀大子宫或黄素囊肿)而来就诊,但也有少数子宫和停经月份符合甚或小于停经月份者。可能有两种情况:①为绒毛水泡退变呈萎缩状,停止发展,形成稽留性葡萄胎;②部分水泡状胎块已排出,使子宫体缩小,形成葡萄胎不全流产

四、腹痛 由于子宫迅速增大而胀痛,或宫内出血,刺激子宫收缩而疼痛,可轻可重。

五、妊娠 中毒 症状 约半数患者在停经后可出现严重呕吐,较晚时可出现高血压 、浮肿及蛋白尿

六、无胎儿可及 闭经8周前后,B超监测,未发现有胎囊、胎心及胎儿。孕周、甚至18周仍不感有胎动,听不到胎心。B超扫描显示雪片样影象而无胎儿影象。

七、卵巢黄素化囊肿 往往在部分患者出现卵巢黄素化囊肿,可经双合诊发现或更易经B超检查发现。

八、咯血部分患者可能有咯血或痰带血丝, 医生 应主动询问有无此症状。

九、贫血感染 反复出血而未及时治疗,必然导致贫血髣其相关症状,个别甚至可因出血而死亡。反复出血容易招致感染,如阴道操作不洁或在流血期间性交 ,更易促使感染发生。感染可局限于子宫及附件,可导致败血症。  

临床表现[编辑 | 编辑源代码]

葡萄胎的临床表现: 

1.停经后阴道流血一般在停经8~12周出现,部分患者在阴道流血之前可出现阵发性下腹痛。

2.子宫异常增大、变软约有1/3完全性葡萄胎患者子宫大于停经月份,并伴有血清HCG水平异常升高。

3.妊娠呕吐较正常妊娠发生早,症状重,持续时间长。

4.子痫前期子痫征象可在妊娠20周前出现高血压、水肿和蛋白尿,并且症状严重。

5.卵巢黄素化囊肿常为双侧,若发生扭转或破裂,可出现急性腹痛,葡萄胎清除后可自行消退。

6.腹痛葡萄胎生长迅速使子宫过度扩张所致,表现为下腹阵痛。若发生黄素囊肿扭转或破裂,可出现急性腹痛。

7.甲状腺功能亢进征象约7%的患者可出现轻度甲状腺功能亢进表现。  

病理[编辑 | 编辑源代码]

葡萄胎

葡萄胎的真正发病原因不明。病例对照研究发现葡萄胎的发生与营养状况、社会经济及年龄有关。病因学中年龄是一显著相关因素,年龄大于40岁者葡萄胎发生率比年轻妇女高10倍,年龄小于加岁也是发生完全性葡萄胎的高危因素,这两个年龄阶段妇女易有受精缺陷。部分性葡萄胎与孕妇年龄无关。

通过细胞遗传学结合病理学研究证明两类葡萄胎各有遗传学特点。完全性葡萄胎的染色体基因组是父系来源,即卵子在卵原核缺失或卵原核失活的情况下和精原核结合后发育形成。染色体核型二倍体,其中90%为46,XX,由一个空卵(无基因物质卵)与一个单倍体精子(23,X)受精,经自身复制恢复为二倍体 (46,XX),再生长发育而成,称为空卵受精。其少数核型为46,XY,这是两个性染色体不同的精子(23,X及23,Y)同时便空卵受精,称为双精子受精。部分性葡萄胎核型常是三倍体,80%为69,XXY,其余是69,XXX或69,XYY,来自一个正常卵子与双精子受精,由此带来一套多余的父方染色体成分;也可由于一个正常的单倍体卵子(或精子)与减数分裂失败的二倍体配子结合所致。  

发病因素[编辑 | 编辑源代码]

1、完全性葡萄:可能与地域、种族、营养、社会经济因素及妊娠年龄等因素有关。完全性葡萄胎的染色体核型90%为46XX,系由一个细胞核基因物质缺失或失活的空卵与一个单倍体精子受精,经自身复制为二倍体。另有10%核型为46XY,系一个空卵在受精时和两个单倍体精子(23X和23Y)结合而成。

2、部分性葡萄胎:可能与使用口服避孕药及月经失调有关。90%以上为三倍体,多余的一套染色体通常来自父方,系由一正常单倍体卵子和两个正常单倍体精子受精。或由一正常单倍体卵子(精子)和一个减数分裂失败的双倍体精子(卵子)受精而成。  

分类[编辑 | 编辑源代码]

葡萄胎分为两类:

葡萄胎

①完全性葡萄胎:胎盘绒毛全部受累,无胎儿及其附属物,宫腔内充满水泡;②部分性葡萄胎:仅部分胎盘绒毛发生水泡状变性,宫腔内尚有存活或已死的胚胎

以上分类,是过去数十年来的分类方法。过去,部分性葡萄胎又称为“过渡性水泡状胎块”。很多人都认为,部分性葡萄胎,是正常组织发展成为完全性葡萄胎的中间一个过程的体现。实际上,近年,利用科学,对组织进行了遗传学的评估和基因分析等技术后,发现两者之间其实并不存在“过渡”,而是两种不同的疾病

1.完全性葡萄胎:是一种有滋养细胞增生的发生异常的胎盘。并且一般不会出现胎儿或者胚胎。

2.部分性葡萄胎:是有大绒毛和小绒毛组成,这些绒毛具有扇贝形(又称海岸形)的特点,伴有滋养细胞包涵体,部分可有轻度的滋养细胞增生。并且可有有胎儿或者胚胎的出现。  

诊断区别[编辑 | 编辑源代码]

在这里就简单的说说区别,下面诊断区别里面,我就不另外进行修改了。

1,胚胎或者胎儿的出现,不是两者区别的重点,但是可以参考。

完全性葡萄胎一般没有胚胎或者胎儿出现。

部分性葡萄胎一般可以见到胚胎或胎儿。

2,滋养细胞的增生。(病理学上的诊断主要依据之一)

完全性葡萄胎里面,可以看到比较严重的滋养细胞增生。并且,这些增生面积比较大,多数都是围绕整个囊泡而增生。

部分性葡萄胎里面,看到的滋养细胞增生的相对少,就算有,也是比较轻微,而且面积不大,通常也就囊泡的一角,或者其中部分区域有增生现象。

3,外形。

过去诊断葡萄胎,我们都习惯看那些变性水肿过的绒毛(也就是囊泡)。其实诊断完全性葡萄胎和部分性葡萄胎,这种绒毛还是起到重要诊断作用的。

完全性葡萄胎的囊泡比较圆,外层多数围这滋养细胞的增生。

部分性葡萄胎的囊泡层扇贝形(有些人叫海岸形,波浪形,锯齿形,多角形。。。),外层一般没有,或者少有滋养细胞的增生。并且,多数这种囊泡和完全性的对比能发现,部分性的囊泡周边,有些类似仙人掌那样,上面有些小刺。

原来对完全性葡萄胎和部分性葡萄胎的分类其实是有错误的。  

并发症[编辑 | 编辑源代码]

一、大出血

葡萄胎

葡萄胎如未及时诊断、处理,可发生反复出血,宫腔积血,造成失血,也可在自然排出时有可能发生大流血。在已经贫血的基础上,可发生出血性休克,甚至死亡。故葡萄胎应做为急症处理,短期延误就有可能造成更多的失血,危害病人。

二、葡萄胎不全流产 自然流产或吸宫流产后,可能有残存水泡状胎块。葡萄胎病人入院前不长时间自然流产者,能承受清宫手术者,应立即清宫。排出时间长者,有感染征象者,应用抗生互控制数日后进行清宫。

三、葡萄胎栓塞 水泡状胎块可随血运转移或游走至身体其他部位,最常见的是肺和阴道,并可在局部形成出血灶。小量栓子或未经严密检查,有可能自行消退。于佩良等报告,1例因用催产素引产而引起葡萄胎广泛性肺转移,发生肺小动脉痊挛综合征,死于肺水肿心力衰竭。葡萄胎栓塞可以不同于恶性肿瘤转移,能被自身免疫抑制而消失。林巧稚、苏应宽皆有报道。目前发现后仍以实行化疗为好。

四、恶变 成为侵蚀性葡萄胎或绒。恶变率约为10%~20%。详后。

五、卵巢黄素化囊肿蒂扭转 多发生在葡萄胎排出后。发生蒂扭转时,应立即手术切除扭转的子宫附件。  

临床诊断[编辑 | 编辑源代码]

一般诊断[编辑 | 编辑源代码]

临床表现有闭经,

葡萄胎

多数在闭经二三个月时或个别更迟些时,出现阴道流血。血可多可少,呈间断性,多数情况下子宫大于停经月份也是可能的。子宫达四五个月妊娠大小时,不仅孕妇感觉不到胎动,触不到胎块,也听不到胎心。仔细检查阴道流血中,如发现有水泡状胎块,则可确诊。

B超腹部扫描可见子宫内可能有大小不等的暗区,系宫腔内积血所致。还能发现胎,即除有雪花光片外,还可能有胎儿及/或胎盘影像。B超仪诊断无任何创伤,确诊率高,实为确诊葡萄胎的有力措施。

hCG测定:hCG的准确定量试验为诊断及随访葡萄胎的重要检验。hCG在正常妊娠开始时量少,而在孕8~10周时达高峰,随后逐渐下降。孕周(100天)后,hCG明显下降。在双(多)胎妊娠时,hCG量也较单胎为高。在葡萄胎hCG量远较正常值为高,且持续为高水平。在正常非孕妇女血清hCG量<75mIU/ml,β-hCG<20mIU/ml。正常妊娠妇女血清高峰值中位数在10万mIU/ml以下,最高值达21万mIU/ml,而葡萄胎患者血清hCG值远高于20万mIU/ml。故给合临床和B超,单项hCG高值,可确定葡萄胎的诊断。如做阶段性随诊定量检查hCG,在孕14周后hCG值仍为高值,则诊断可更为明确。

葡萄排除8周以上,经仔细刮宫证实宫腔内无残余葡萄胎,无黄素化囊肿存在,血清hCG仍维持在1000mIU/ml以上或还上升,以后增色证实发生恶性变。hCG值在1000mIU/ml以下而又有黄素化囊肿存在时,尚需仔细检查有无转移病变存在,或有可能由于卵巢黄素化囊肿所致,仍应紧密随访。如黄素囊肿消退,伴随hCG下降,则按良性葡萄胎继续随访。

近年来对各种形式的hCG分子结构及其意义的认识有了很大发展。Cole等指出,在正常妊娠和滋养细胞病人血中,至少有7种具有hCG免疫活性分子。其为①天然hCG;②缺刻hCG(β44-45、β47-48或β48-49位的联结缺失);③酸性hCG;④β天然游离β亚基;⑤缺刻游离β亚基;⑥β核心片断和⑦血清β核心片断——蛋白复合物。已发现口中滋养细胞疾患者,hCG及其有关分子的量与质均有异常。Kardana等报告,由游离β亚基专一的免疫测定结果显示,在正常妊娠、葡萄胎和绒癌中,游离β亚基占总β亚基(hCG+游离β0之比例分别为1.3%,0.2%和25%。不同hCG的临床应用正在深入研究中。

免疫(羊红细胞凝集抑制试验等)测定法正常妊娠晨尿测hCG,最高浓度一般在16万IU/L以下,偶尔可达64万IU/L。诊断葡萄胎一般在50万~60万IU/L之间,且持续不下降。

目前很少用X线技术诊断葡萄胎。治疗

一、清宫 因葡萄胎随时有大出血可能,故诊断确定后,应及时清除子宫内容物,一般采用吸宫术。在内容物吸出的过程中,子宫体逐渐缩小,变硬。吸出物中虽含血量较多,但大部为宫腔原有积血,故患者脉搏、血压一般变动不大。不少人主张如子宫超过脐,应施行经腹剖宫取葡萄胎,认为这样可在直视下彻底清除,并能较好地止血。但在实践中,即使子宫胀大至七八个月妊娠大者,应用吸宫术亦能顺利清除。如需要切除子宫,可在吸宫后立即进行。剖宫取葡萄胎反致胡使葡萄胎种植、转移可能。无吸宫设备者,可在扩张宫颈后,钳夹葡萄胎。

第一次清宫不必过于追求完全,以致损伤较软的宫壁。可于1周左右,再做第二次刮宫术

往往患者经过清宫治疗,仍有子宫出血而就诊者,可根据当时情况处理。疑为葡萄胎不全流产(吸刮不全或有新的水泡状物产生),可慎重进行全面刮宫,如仍出血者,应考虑病变侵入宫壁,详见恶性葡萄胎及绒癌。

葡萄胎自然流产者亦应清宫。清宫时是否静脉滴注子宫收缩剂,有不同的看法。反对用者认为宫缩剂促使子宫强烈收缩可迫使葡萄胎绒毛大量进入血循环中,造成栓塞或葡萄绒毛大量进入血循环中,造成栓塞或转移。因此,在手术过程中,如子宫收缩良好,即不必常规应用宫缩剂,只有在出血较多而子宫收缩不良时应用。

二、子宫切除 年龄在40岁以上,或经产妇子宫长大较速者,应劝告切除子宫,年轻的可考虑保留卵巢。子宫大于5个月妊娠者在切除之先,应经阴道清除宫腔内大部分水泡状胎块,以利手术处理。

三、输血 贫血较重者应给予少量多次缓慢输血,并严密观察病人有无活动出血,待情况改善到一定程度后再施行清宫术。遇有活动出血时,应在清宫的同时,予以输血。

四、纠正电解质紊乱 长期流血、食欲不振者往往有脱水、电解质紊乱,应检查纠正。

五、控制感染 子宫长期出血,或经过反复不洁操作者,容易引起感染,表现为局部(子宫或附件)感染或败血症。应予足量抗炎药物;并积极纠正贫血和电解质紊乱。

六、化疗 对良性葡萄胎是否予以预防性化疗,目前尚无一致意见。据文献报道,葡萄胎做预防性化疗后其恶变率与对照组无大区别,或虽有些降低,但无足够病例经统计学处理证实有益。有不少学者试图从临床和病理检查找出一些恶变的高危因素,以便预测葡萄胎恶变。其为:①年龄有感于40;②子宫明显大于停经月份;③尿hCG免疫试验有感于107IU/L;④病人有咯血史;⑤病理组织检查增生程度已不列入易恶变的参数。故清宫组织DNA和RNA的FCM测定是预测恶变很好的客观指标。这样指导葡萄胎预防性用药针对性强。  

鉴别诊断[编辑 | 编辑源代码]

一、流产 葡萄胎患者虽亦常表现流产现象,但其子宫往往大于同期的妊娠;且妊娠试验阳性,滴定度较高,故不难鉴

葡萄胎

别。但葡萄胎患者的子宫亦有不特别增大者或当其早期,则往往易与先兆流产混淆。然阳性妊娠试验滴定度在葡萄胎终较高于先兆流产。B超检查即可分辨。

二、羊水过多症 多发生在妊娠晚季期,急性羊水过多症或可发生在妊娠中季期,可出现呼吸困难,无阴道流血。而葡萄胎鲜有呼吸困难,但有反复阴道流血。B超检查可各自查出自己的特征,不难鉴别。

三、子宫体肌瘤全并妊娠 子宫肌瘤在孕前查出者,不难鉴别。肌瘤合并妊娠一般无阴道流血。双合诊时有可能查到肌瘤存在宫体某部分。B超检查可以鉴别。

四、双胎妊娠 单卵双胎并有羊水过多及先兆流产时坏蛋葡萄胎鉴别最为困难。不但临床表现二者极相似,妊娠试验滴定度亦高于正常,常导致误诊。双胎妊娠一般无阴道流血,而葡萄胎常有,超声检查可确诊。  

治疗[编辑 | 编辑源代码]

清除方法[编辑 | 编辑源代码]

1、吸宫术:葡萄胎一经确诊应立即予以清除。目前采用的主要方式为吸宫术。吸宫时应选择大号吸管并与卵圆钳配合使用,无条件吸宫可行刮宫术。术前均应做好输血准备,同时静脉滴注催产素,以催产素5~10u加入葡萄糖500m1中。由于葡萄胎患者子宫大,宫壁薄而软,宫内容物多,所以,首次吸宫不强调吸净,以兔过度搔刮造成穿孔、大出血等。在第一次吸宫后一周左右,行第二次刮宫,第二次刮宫则应尽量刮净宫腔。二次刮宫后,阴道仍然出血不止,子宫复旧不良, hCG不下降或下降不明显者,若疑尚有残留,可行第三次刮宫。

2、子宫切除:病人年龄超过40岁,无需再生育者,可行子宫切除术。但大多数学者认为,葡萄胎患者一般不需要切除子宫。

3、天花粉肌肉注射引产:目前已较少使用。用药前须做皮试,按常规应用。对于肝、肾功能不全心脏病患者则禁止使用。  

辅助检查[编辑 | 编辑源代码]

B超腹部扫描可见子宫内可能有大小不等的暗区,系宫腔内积血所致。还能发现胎,即除有雪花光片外,还可能有胎儿及/或胎盘影象。B超仪诊断无任何创伤,确诊率高,实为确诊葡萄胎的有力措施。

hCG测定:hCG的准确定量试验为诊断及随访葡萄胎的重要检验。hCG在正常妊娠开始时量少,而在孕8~10周时达高峰,随后逐渐下降。孕周(100天)后,hCG明显下降。在双(多)胎妊娠时,hCG量也较单胎为高。在葡萄胎hCG量远较正常值为高,且持续为高水平。在正常非孕妇女血清hCG量<75mIU/ml,β-hCG<20mIU/ml。正常妊娠妇女血清高峰值中位数在10万mIU/ml以下,最高值达21万mIU/ml,而葡萄胎患者血清hCG值远高于20万mIU/ml。故给合临床和B超,单项hCG高值,可确定葡萄胎的诊断。如做阶段性随诊定量检查hCG,在孕14周后hCG值仍为高值,则诊断可更为明确。

葡萄排除8周以上,经仔细刮宫证实宫腔内无残余葡萄胎,无黄素化囊肿存在,血清hCG仍维持在1000mIU/ml以上或还上升,以后增色证实发生恶性变。hCG值在1000mIU/ml以下而又有黄素化囊肿存在时,尚需仔细检查有无转移病变存在,或有可能由于卵巢黄素化囊肿所致,仍应紧密随访。如黄素囊肿消退,伴随hCG下降,则按良性葡萄胎继续随访。  

复诊[编辑 | 编辑源代码]

所有葡萄胎患者,皆应嘱告定期随诊,最好长期与医院取得联系,更重要是在2内定期复查,目的在于早期发现恶变,但有时也可能有残存的水泡状胎块。应劝告患者至少在2年内采取有效避孕措施。最初半年应每月复查一次。如发生不规则阴道流血、咯血、头痛或其他不适时,应立即到医院检查。

复查时除询问月经是否正常外,还应注意有无上述症状。检查时应注意子宫是否复理良好,阴道、外阴有无紫蓝色结节胸透(最好胸部拍片)有阴影存在。

妊娠试验在随诊中非常重要。葡萄胎完全清除后,约60%以上患者30天内妊娠试验转阴性。超过40天仍为阳性者,应高度怀疑恶变或仍残存水泡状胎块。

妊娠试验已转阴,复诊中又转阳者,如非妊娠,应高度怀疑恶变。如原尿阳性,稀释试验已转阴性,复诊中稀释试验又转阳性,尤其是稀释度增高者,亦应高度怀疑恶变。  

预防[编辑 | 编辑源代码]

所有葡萄胎患者皆应嘱告定期随诊,最好长期与医院取得联系,更重要是在2内定期复查目的在于早期发现恶变,但有时也可能有残存的水泡状胎块。应劝告患者至少在2年内采取有效避孕措施最初半年应每月复查一次。如发生不规则阴道流血、咯血头痛或其他不适时,应立即到医院检查。 

复查时除询问月经是否正常外还应注意有无上述症状。检查时应注意子宫是否复理良好,阴道外阴有无紫蓝色结节,胸透(最好胸部拍片)有阴影存在。

妊娠试验在随诊中非常重要葡萄胎完全清除后,约60%以上患者30天内妊娠试验转阴性。超过40天仍为阳性者应高度怀疑恶变或仍残存水泡状胎块。 

妊娠试验已转阴复诊中又转阳者,如非妊娠,应高度怀疑恶变如原尿阳性,稀释试验已转阴性,复诊中稀释试验又转阳性尤其是稀释度增高者,亦应高度怀疑恶变。  

保健[编辑 | 编辑源代码]

术后须防恶变[编辑 | 编辑源代码]

葡萄胎恶性变的结果有两种:侵蚀性葡萄胎(又称恶性葡萄胎)与绒毛膜癌,两者的临床表现和治疗相似,只是绒毛膜癌的恶性程度更高,更容易发生远处转移,且转移的发生既早又广泛。葡萄胎患者刮宫术后半个月中,阴道出血多可停止。若刮宫术后数月又出现不规则阴道出血,量多少不定,或刮宫术后半个多月阴道仍有出血,持续不止,在排除葡萄胎残留后,应怀疑恶性变的可能。刮宫术后1~2个月,妇科检查发现子宫仍未恢复正常大小,或子宫旁边有包块,且伴有腹痛者,应及时作血绒毛膜促性腺激素(HCG)和B超检查,以明确有无发生恶性变。

葡萄胎恶变后容易转移,最常见的转移器官为肺,其次为阴道,脑转移又次之。肺转移者主要症状为咳嗽、血痰、咯血及胸痛等。胸部X线摄片是最简便易行的诊断方法,可在胸片上发现小结节状阴影;稍晚,症灶可呈棉絮状阴道转移者,阴道壁上可发现紫蓝色隆起的结节,转移结节一旦破溃可发生大出血。脑转移多继发于肺转移后,是致死的主要原因。早期瘤检阶段多表现为一过性的失误、失明等症状;以后进入脑瘤期,可出现头痛、呕吐、偏瘫昏迷等症状,若未能及时控制病情,颅内压持续升高,可引起脑疝而死亡。  

刮宫术后的随访要坚持2年[编辑 | 编辑源代码]

葡萄胎刮宫治疗后需随访的原因有:一是因葡萄胎术后发生恶性变的机会较大,二是一旦发生恶性变后,容易通过血液循环向远处转移,常常子宫病变的症状尚未出现,却已有远处器官的转移了。因此,葡萄胎刮宫术后定期随访,对早期发现恶变,及时接受治疗,争取较好的治疗效果,有着极为重要的意义。

葡萄胎刮宫术后,应每周作一次HCG定量测量,直到降到正常水平。开始3个月应每周复查一次,此后3个月中,每半个月一次,以后每月一次应持续半年,每二年起改为每半年一次,共随访二年。随访中,除监测HCG外,还须注意有无阴道异常出血、咳嗽、咯血及转移器官的相应症状,进行妇科检查、盆腔B超以及X线胸片检查等。在随访的二年内,应坚持采取安全套或阴道融膜避孕,宫内节育器会引起子宫异常出血,易与术后恶性变引起的阴道出血相混淆;含有雌激素的避孕有促进滋养细胞生长的作用,故都不能采用。

高危患者预防性化疗或减少恶变发生

由于葡萄胎是一种因妊娠引起的疾病,只要做好计划生育,落实避孕措施,减少妊娠次数就可免患葡萄胎,尤其是40岁以上妇女尽可能不再妊娠,因为高龄妊娠不仅葡萄胎的发生率高,而且容易发生恶性变。

发生葡萄胎后要提防术后恶变。葡萄胎刮宫术后严密观察HCG的变化是提防恶变的最主要的措施。刮宫术后12周以上,HCG持续高于正常水平,或曾一度降至正常水平后又迅速升高,在排除残余葡萄胎与再妊娠后,提示患者已处于恶性葡萄胎的早期阶段,应及时给予化疗。

预防葡萄胎术后恶性变,迄今尚无理想的办法,但对有恶变倾向的高危患者预防性化疗有可能减少恶变的发生。年龄大于40岁、子宫明显大于经月份达到或超过5个月大小、HCG值异常升高大于105IU/L及家庭偏远难以随访者,可采取预防性化疗。预防性化疗应于刮宫前2~3天开始。对刮宫术中发现葡萄胎以小水泡为主,或病理检查发现滋养细胞高度增生,或伴有不典型增生者,或刮宫术后HCG下降到一定高值后,不再继续下降者,可采取选择性化疗,也有减少恶变的作用。  

侵蚀性葡萄胎[编辑 | 编辑源代码]

概述[编辑 | 编辑源代码]

水泡样组织侵入子宫肌层或转移到邻近及远处器宫者称侵蚀性葡萄胎。多在葡萄胎清除后6个月内发生,可穿破子宫肌层或转移至肺、阴道、外阴等器官,造成局部破坏出血。 侵蚀性葡萄胎,具有恶性肿瘤特点,但治疗效果及预后均较绒癌为好,治疗主要是化疗或加手术治疗。  

临床表现[编辑 | 编辑源代码]

1.葡萄胎排出3-4周后阴道不规则出血。

2.妇检发现阴道转移结节、子宫增大、宫旁肿块、卵巢黄素囊肿持续存在。

3.子宫被瘤组织穿破,内出血征。

4.咯血、咳嗽、胸片可见转移结节,头痛、昏迷、偏瘫、抽搐。  

诊断依据[编辑 | 编辑源代码]

1.葡萄胎清宫后半年内有不规则阴道出血、咯血、咳嗽、头痛、呕吐、偏瘫等。

2.阴道壁可见紫兰色转移结节。

3.子宫增大、宫旁肿块、卵巢黄素囊肿。

4.血尿hcG水平由低转高,或一度阴性又转阳性。

5.胸部X线摄片可见多个棉团样阴影。

6.头颅断层或CT发现占位病变。

7.原发源或转移源病检可见滋养叶细胞增生活跃,组织大批坏死出血,但可见到绒毛结构。

8.临床分期:Ⅰ期病源局限于子宫,Ⅱ期病源近处转移,如宫旁、附件和阴道、Ⅲ期肺转移,Ⅳ期全身转移。  

治疗[编辑 | 编辑源代码]

1.化疗

2.手术治疗

3.对症治疗  

用药[编辑 | 编辑源代码]

1.一般情况可,化疗反应不重者用“A”。

2.一般情况差,化疗反应重者用“A”、“B”。

3.有脑转移、反复发作病源选“A”、“B”、“C”。  

辅助检查[编辑 | 编辑源代码]

1.有宫旁、阴道及肺转移者选“A”;

2.疑有脑、全身转移者选“A”、“B”。  

疗效[编辑 | 编辑源代码]

1.治愈:临床无症状,转移源完全消失,血hcG-B正常,尿浓缩试验阴性。随访同葡萄胎,2年后每年复查一次,5年无复发为治愈。

2.好转:症状消失,转移源明显缩小,尿浓缩妊娠试验阴性或弱阳性,血或尿hcG接近正常。

3.未愈:症状同前或加重,转移源没缩小或增大,尿浓缩妊娠试验阳性,血hcG高于正常。  

专家提示[编辑 | 编辑源代码]

恶性葡萄胎经过治疗,一般预后良好,但以后仍有复发及发展到绒癌的可能,因此应劝告避孕、随访至少2年。  

什么是恶性葡萄胎[编辑 | 编辑源代码]

概述[编辑 | 编辑源代码]

葡萄胎的水泡样组织超过子宫腔范围,侵入子宫肌层深部或在其他部位发生转移者,称为恶性葡萄胎。发生的机会为5%~20%的葡萄胎恶变成恶性葡萄胎或绒毛膜癌,多数在葡萄胎清除后6个月内发生,但亦有葡萄胎未排出之前就发生恶变者。

葡萄胎的绒毛脱落后随血循环转移至身体其他部位,破坏组织,形成大小不等的血肿,为恶性葡萄胎的另一特点。这种特征便于用为划分良、恶性葡萄胎的界限。因此,我们认为进入血循环而绒毛不造成所在部位破坏性病灶者属于良性,反之即为恶性。  

临床分期[编辑 | 编辑源代码]

Ⅰ期:病变局限于子宫。

Ⅱ期:病变自子宫向外扩散,但仍局限于生殖器官。

Ⅲ期:病变扩散至肺。

Ⅳ期:病变扩散至全身。  

恶性葡萄胎患者的饮食注意[编辑 | 编辑源代码]

为葡萄胎患者选配饮食,应符合以下几点要求:

①应选择新鲜、卫生的食物。

②菜肴的品种要丰富,最好一餐中“什么都有”,避免反复吃一种。

③主、副食的比例宜为1:1,主食中应米、面、杂粮交替选用,并有粗粮,副食中蔬菜、水果与含蛋白质食物的量比例应为5:1。

④在蛋白质食物中, 动物性蛋白质与植物性蛋白质量的比例各半,少用甜食和过成食物。

⑤脂肪量每天不宜超过509,少吃肉,多吃鱼及互制品,应尽量选择有利于抗癌、防癌的食物。

葡萄胎患者,在饮食上差别不大。疾病早期患者与健康人无差别,该吃什么就吃什么,毋须“忌口”。晚期患者常缺乏食欲或进食困难,所食食物应有足够的热量和蛋白质,丰富的维生素且低脂肪、低糖,并以易消化易吸收为原则。  

葡萄胎患者注意事项[编辑 | 编辑源代码]

1、随诊 葡萄胎患者有10%~20%恶变可能,因此患者要定期随访。尤其是随访尿或血内HCG的变化,可早期发现恶变倾向,对疾病预后尤为重要。葡萄胎清宫术后必须每周查尿1次,直到尿妊娠实验阴性,以后每月1次,半年以后每3个月1次,至少随访2年。随访期间坚持避孕,并注意观察自身症状,如出现不规则的阴道出血、咳血时应及时就诊1)据医嘱继续应用抗炎、止血等药物。

2、避孕 一个月内禁同房、洗盆浴。 葡萄胎后鼓励正常的性生活,同时要求认真做好避孕,坚持避孕2年,以免再次妊娠与恶变鉴别困难。避孕方法宜选用阴茎套及阴道隔膜

3、避免重体力劳动,可适当活动。患者出院后可根据自己的体质进行一些肢体活动,如散步、慢跑、打太极拳等,并做一些力所能及的家务活,以不觉劳累为宜,并保证充足的睡眠。

4、保持良好的心境与情绪,提高抗病能力。

参看[编辑 | 编辑源代码]