牙齿
牙齿,英文名tooth,又称为牙体是人体最坚硬的部分。人的牙齿萌出时间和形态分为乳牙(20个)和恒牙(28~32个)两幅牙;一副美白而又整齐的牙齿不仅能我们享受美食,而且美观,能辅助我们发音。牙齿每天需要清洁和护理。牙齿是至今没发现肿瘤的部位,牙齿可引起牙周炎,也可以有龋齿。
牙的命名[编辑 | 编辑源代码]
乳牙的命名如下图Ⅰ,Ⅱ、Ⅲ、Ⅳ,Ⅴ分别为乳中切牙、乳侧切牙、乳尖牙、第一乳磨牙、第二乳磨牙。
恒牙的命名如下图1、2、3、4、5、6、7、8分别为中切牙、侧切牙、尖牙、第一前磨牙(又称前磨牙)、第二前磨牙、第一磨牙、第二磨牙、第三磨牙(俗称智齿)
组织结构[编辑 | 编辑源代码]
结构[编辑 | 编辑源代码]
组织[编辑 | 编辑源代码]
牙体组织由牙釉质、牙本质、牙骨质三种钙化的硬组织和牙髓腔内的软组织牙髓组成。如图
硬组织
- 牙釉质位于牙冠表面,呈乳白色,有光泽。它是一种半透明的的钙化组织,无机盐含量大96﹪,水和有机成分占4﹪,是人体最硬的部分。
- 牙本质构成牙的主体,色淡黄而有光泽,牙本质有神经末梢,是痛觉感受器。
- 牙骨质覆盖于牙根表面的一层钙化结缔组织,色淡黄,含无机盐55%,构成和硬度和骨相似,但无哈弗管。牙骨质借牙周膜固定于牙槽窝内;牙骨质可新生修复功能。
软组织
发育[编辑 | 编辑源代码]
牙齿的发育和骨骼有一定关系,但不完全平行。
乳牙的发育[编辑 | 编辑源代码]
出生的时候,乳牙已经骨化,乳牙芽孢隐藏在颌骨中,被牙龈覆盖。生后4~10个月乳牙开始萌出,若12月后乳牙还未萌出就称为乳牙萌出延迟,乳牙也有可能过早萌出而没有牙根,常较松动,为防止脱落赌塞呼吸道,建议拔除。新生儿儿口内牙槽嵴粘膜上有乳白色米粒状物,俗称板牙或马牙,它并不是实际意义的牙,本质为一种角化物,一般可自行脱落。乳牙萌出的时间有一定的顺序,下颌先于上颌,自前向后,一般约2.5岁乳牙出齐。出牙时,个别婴儿可有低热、唾液增多、发生流涎、睡眠不安、烦躁等症状。乳牙的萌出时间如下图
恒牙的发育[编辑 | 编辑源代码]
一般从六岁开始,萌出第一恒磨牙,乳牙开始脱落,恒牙开始萌出,乳牙逐个被同位恒牙替换。约18岁后开始长出第三磨牙,也有人终生不萌出第三磨牙。如下图恒牙萌出的时间。
牙的健康生长与蛋白质、钙、磷、维生素A、C、D等营养素和甲状腺激素有关。
护理[编辑 | 编辑源代码]
良好的口腔环境在于控制菌斑、消除软垢和食物残渣。常用的护理方法有以下方面;
漱口[编辑 | 编辑源代码]
重在饭后进行,常用的漱口水有氟水(方便、价格低廉、安全,5岁以下小孩不推荐)、氯已定(副作用多、适用于局部用药)、甲硝唑(对防止口臭、牙周炎有用)
刷牙[编辑 | 编辑源代码]
最好的刷牙次数和时间:最好在餐后和睡觉前各刷一次,若做不到,至少早晚各刷一次,饭后漱口,特别强调睡前刷牙刷牙,因为睡后唾液分泌减少、口腔的自洁作用减弱;
清洁牙间隙[编辑 | 编辑源代码]
牙签、牙线
牙龈按摩[编辑 | 编辑源代码]
龈上洁治术[编辑 | 编辑源代码]
手用器械洁治法、超声波洁治法(俗称的洗牙)
中医之护理牙齿[编辑 | 编辑源代码]
年纪大了,很多老人家都出现了肾虚的现象。中医认为“肾主骨生髓”,肾精不足就会引起髓亏骨枯,而“齿为骨之余”,骨质流失最先会表现为牙齿松动,不牢固。因此,只有肾精充盈,牙齿才会坚固如常。有一个坚固牙齿的方子,拿出来和大家一起分享。选补骨脂30克,怀牛膝15克,枸杞15克,每天早晚熬水喝,加入200毫升水,熬至100毫升左右即可。如果您每天早、中、晚再配着吃上一个核桃,效果会更好。
每天早上起床后或者是晚上睡觉前,您将上下牙齿相互叩击30次左右,并将产生的津液吞下去,这样就能刺激牙周组织,改善局部的血液循环,让您的牙齿更加坚固。
每天早晚刷过牙后,做15次闭口、鼓腮、漱口的动作,然后把舌头左右转动。这样就会使唾液分泌增多,冲洗和刺激牙面、牙缝和口腔黏膜,达到清洁口腔、保护牙齿的目的。
每天三餐过后,含上两口茶水漱漱口,可以增强牙齿的抗酸防腐能力,这样,您吃酸味食物时也不用怕酸到牙齿了。
现在大部分老人家刷牙的次数和幅度不够。一般来说,老人家最好早、中、晚各刷一次牙,每次刷足3分钟。刷牙的时候不要只刷牙齿,还要刷刷牙龈。这样可以起到按摩牙龈的作用,防止牙龈炎的产生,可以说是一举多得。
牙齿疾病[编辑 | 编辑源代码]
龋病[编辑 | 编辑源代码]
牙周病[编辑 | 编辑源代码]
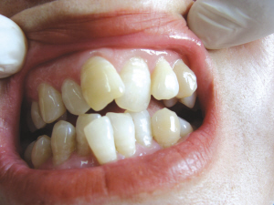
牙齿畸形及矫正方法[编辑 | 编辑源代码]
世界卫生组织(WHO)把错颌畸形列为口腔三大疾病之一世界卫生组织(WHO)把错颌畸形列为口腔三大疾病之一(另外两种是龋病和牙周病)。错颌畸形在我国的发病率高达49%左右。由于环境的变迁,错颌畸形在遗传过程中出现变结果。由于环境的变迁,错颌畸形在遗传过程中出现变异,结果使错颌畸形的种类逐渐增多,表现形式多样化。许多人对这方面使错颌畸形的种类逐渐增多,表现形式多样化。
畸形的种类[编辑 | 编辑源代码]
牙齿不齐又称错牙畸形.是指儿童在生长发育过程中,由先天的遗传因素或后天的环境因素,如疾病、口腔不良习惯.替牙异常等导致的牙齿、颌骨、颅面的畸形,主要有:牙齿排列不齐、上下牙弓问的牙合关系异常、颌骨大小形态位置异常等,如下图
畸形的原因[编辑 | 编辑源代码]
- 先天环境因素孕妇营养不良,妊娠初期患病,胎儿在体内或分娩时损伤也可引起婴儿牙齿畸形;先天梅毒;胎儿发育障碍还能出现多生牙、先天性缺牙,牙齿形态异常、唇系带异常等。遗因素主要为种族演化和退化,遗传因素大约占30%。
- 后天因素
如儿童患病或营养不良、缺乏足够的咀嚼功能训练、哺乳期人工喂养姿势不正确、呼吸异常造成儿童习惯用嘴呼吸等。主要又分为以下几点:
1.乳牙疾病 ,很多家长认为“乳牙早晚要脱落更换,乳牙有病不必治疗”,这是极错误的看法。乳牙是恒牙的先导,当乳牙自然脱落时。恒牙就会沿着乳牙脱落的位置萌出,如果乳牙过早缺失。会导致邻牙移位,恒牙萌出错位,牙齿排列不齐。
2.不良习惯 咬拇指可造成上颌前突;咬上唇可造成下颌前伸,咬下唇可造成上牙前突,吐舌习惯可造成上下牙咬不拢;吸吮手指习惯导致开牙合畸形以及牙弓狭窄、腭盖高拱,上前牙前突、开唇露齿及远中错牙合等畸形,手指上也可出现胼胝及指弯曲。
3· 乳牙滞留个别牙逾期不脱落为乳牙滞留,可导致继替恒牙萌出被阻丽呈埋伏,或错位萌出。
4乳尖牙磨耗不足 因为儿童吃的食物过软,所以有的乳尖牙不如其他牙齿磨耗多.因而高出牙弓牙面,产生早接触,造成前方或侧方移动,形成反牙。
畸形治疗[编辑 | 编辑源代码]
正畸治疗如Damon-矫正治疗。





