牙周病

来自医学百科

牙周疾病是常见的口腔疾病

牙周病

是引起成年人牙齿丧失的主要原因之一,也是危害人类牙齿和全身健康的主要口腔疾病。但以往人们错误的认为只有到老年才会受到牙周病的困扰,其实从5岁开始,牙周病就开始“腐蚀”我们的健康了。牙周病的早期症状不易引起重视,造成牙周组织长期慢性感染炎症反复发作,到患者就诊时病情已相当严重,不仅损害口腔咀嚼系统的功能,还会严重影响全身健康。  

牙周病的定义[编辑 | 编辑源代码]

牙周病(periodontal disease)是指发生在牙支持组织(牙周组织)的疾病,包括仅累及牙龈组织的牙龈病(gingival disease)和波及深层牙周组织(牙周膜牙槽骨牙骨质)的牙周炎(periodontitis)两大类。  

牙周病的临床表现(症状)[编辑 | 编辑源代码]

临床表现

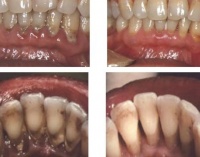
物理刺激牙龈易出血;患病区牙龈充血水肿牙周炎者可探及牙周袋牙齿呈不同程度松动;X光照片可见牙周炎者的牙槽骨不同程度吸收而龈炎无牙槽骨吸收现象;

龈炎主要表现为牙龈和龈乳头变圆纯光亮点彩消失龈质粉软脆弱缺乏弹性龈探诊易出血局部有牙垢牙结石存在;牙周炎除龈炎的表现外还有牙周袋形成牙周袋内可有脓液溢出牙齿不同程度松动X光照片可见牙槽骨呈不同程度吸收

牙周病的并发症

可有疼痛,溢脓口臭等并发症状 。

最主要还是局部的并发症:包括牙周脓肿牙齿松动,等等全身影响。一般较小有学者认为可能与某些风湿疾病有一定关联,并不确切。  

牙周病的诊断[编辑 | 编辑源代码]

1.物理刺激牙龈易出血

2.患病区牙龈充血水肿牙周炎者可探及牙周袋牙齿呈不同程度松动

3.X光照片可见牙周炎者的牙槽骨不同程度吸收而龈炎无牙槽骨吸收现象  

牙周病的防治与护理[编辑 | 编辑源代码]

龋齿的护理一样,关键是控制和消除牙菌斑,目前最有效的方法是每天坚持正确刷牙,按摩牙龈,促进牙龈血液循环,增强牙龈组织的抗病能力。注意锻炼身体,增强机体免疫力。

除去局部刺激因素、清洁牙齿和刮除牙周的牙石、牙垢、矫正不良修复体及矫治食物嵌塞,基本可治愈。

补充含有丰富维生素C的食品,可调节牙周组织的营养,有利于牙周炎的康复

牙周病发病后应积极治疗,初期疗效尚好,病变很易阻止,晚期疗效较差,以致可丧失牙齿。

牙周病的检查

1.血液常规检查

2.X光摄片检查

牙周病

3.分泌物及组织培养+药敏  

牙周病的病因[编辑 | 编辑源代码]

牙周病是多因素疾病,其病因传统分为局部因素和全身因素。局部因素中牙菌斑(dental plaque)细菌及其产物是牙周病最主要的病因,是引发牙周病不可少的始动因子。主要是口腔卫生不良,微生物的作用,牙结石刺激,特别是齿龈下牙石危害性最大。全身因素与营养代谢障碍、内分泌紊乱、植物神经功能紊乱等有关。此外,创伤、不良修复体的刺激.也是病因之一。

牙周病的病因比较复杂,总的分为局部和全身两方面的因素。局部因素具有相当重要的作用,全身因素可影响牙周组织对局部刺激的反应,两者之间有密切关系。

局部因素:

1.菌斑是指粘附于牙齿表面的微生物群,不能用漱口、水冲洗等去除。现已公认,菌斑是牙周病的始动因子,是引起牙周病的主要致病因素。

2.牙石是沉积在牙面上的矿化的菌斑。牙石又根据其沉积部位和性质分为龈上牙石龈下牙石两种。龈上牙石位于龈缘以上的牙面上,肉眼可直接看到。在牙颈部沉积较多,特别在大涎腺导管开口相对处如上颌磨牙的颊侧和下颌前牙的舌侧沉积更多。龈下牙石位于龈缘以下、龈袋或牙周袋内的根面上,肉眼不能直视,必须用探针探查,方能知其沉积部位和沉积量。龈下牙石在任何牙上都可形成,但以邻面和舌面较多。

龈上牙石中无机盐的主要来源是唾液中的钙、磷等矿物盐。龈下牙石主要是龈沟液和渗出物提供矿物盐。

牙石对牙周组织的危害,主要是它构成了菌斑附着和细菌滋生的良好环境。牙石本身妨碍了口腔卫生的维护,从而更加速了菌斑的形成,对牙龈组织形成刺激。

3.创伤性咬合在咬合时,若咬合力过大或方向异常,超越了牙周组织所能承受的合力,致使牙周组织发生损伤的咬合,称为创伤性咬合。创伤性咬合包括咬合时时的早接触、牙合干扰、夜间磨牙等。

4.其他包括食物嵌塞、不良修复物、口呼吸等因素也促使牙周组织的炎症过程。

全身因素:

牙周病的发生,局部因素是主要的。全身因素在牙周病的发展中属于促进因子,全身因素可以降低或改变牙周组织对外来刺激的抵抗力,使之易于患病,并可促进龈炎和牙周炎的发展。

全身因素包括有:内分泌失调、如性激素肾上腺皮质激素甲状腺素等的分泌量异常。饮食和营养方面可有维生素C的缺乏、维生素D和钙、磷的缺乏或不平衡、营养不良等。血液病与牙周组织的关系极为密切,白血病患者常出现牙龈肿胀溃疡、出血等。血友病可发生牙龈自发性出血等。某些药物的长期服用如苯妥英钠可使牙龈发生纤维性增生;某些类型的牙周病如青少年牙周炎患者往往有家族史,因而考虑有遗传因素。总之,牙周病的病因比较复杂,在治疗时不仅要注意局部因素的消除,也要考虑到全身的状态,以便获得较好的治疗效果。  

牙周病的预防与治疗[编辑 | 编辑源代码]

  

牙周病的治疗需要很久吗[编辑 | 编辑源代码]

治疗牙周病,必需先对牙周组织的状况及破坏程度先作一番了解与评估,通常是藉由全口牙根尖X光片及牙周囊袋深度测量来达成,评估完后才能拟定治疗计划,通常牙周病的治疗分三期:

治疗初期:

将口腔内所有脏东西尽量去除,包括病人本身口腔卫生清洁的完全配合,包括牙刷及牙线等,清洁工具的正确使用。而后以全口超音波洗牙,牙周囊袋深部结石的刮除及牙根整平术,去除不良膺复物、咬合干扰等。洁治术后用康复新液8~lOml,3次/天,含漱3至5min,其中以夜间睡前含漱为重点。1个月为1个疗程,中间歇半个月后继续重复上述治疗,连续3个疗程后达到牙龈乳头健康,无红肿,牙龈无萎缩现象,无刷牙出血,无食物嵌塞现象。

手术期:

比较严重的患部,尤其牙周囊袋较深之处,需做牙周翻瓣术,方能彻底将结石及病变组织清除。牙周手术是一种局部而又安全的手术,在牙科门诊即可施行。局部麻醉下,将牙龈稍微翻开,牙周深部的结石、肉牙组织彻底清除,若有骨损失,可配合放置「牙周再生膜」及「人工骨粉」使破坏的骨组织再生,达到积极重建牙周组织的目的。

维持期:

再经历上述的治疗后,通常花了三个月至半年的时间,投注了这么多的时间与心力于其上,维持成果是极其重要的。除了要永久不间断地做口腔清洁外,应依医师指示,定期回诊检查,以充分掌握牙周及口腔情况。  

牙周病的中医治疗[编辑 | 编辑源代码]

牙周病是口腔中最常见的疾病,成年人中患病率高达90%,牙周病给人造成极大的痛苦,损害健康,影响生命质量。现代医学证明,患牙周病后,轻者牙龈发炎、出血,疼痛,口臭,重者牙周组织被破坏,使牙齿与牙龈分离,导致牙齿松动移位,牙齿酸软,咀嚼无力,甚至脱落,而且,还可以诱发许多疾病,如风湿、抑郁症心脏病、血液病等。因此,牙周病的防治值得重视乙、祖国医学认为,按脏腑辨证,牙齿属于肾的范畴。《素问阴阳应象大论》说:“肾生骨髓……在体为骨,在脏为肾”,“齿为骨之余”。《素问六节脏象论》说:‘肾者主势,封藏之本,精之处也,”“肾藏精”是肾的主要生理功能。《素问:上古天真论》说:“肾者主水,受五脏六腑之精而藏之’’。肾藏精,精化为气,通过三焦,布散全身。故肾气的主要生理功能是促进机体的生长、发育和生殖,以及调节人体的代谢免疫和生理功能活动。

牙周病

生物吸收治疗法:牙周病目前已经有一种生物产品可以起到明显的效果,名称为牙齿黄金(生物科技产品)此产品的特点就是以一种口含时令口腔直接吸收的形式,让牙龈能直接吸收到营养,而不是通过消化系统吸收,,来吸收掉各种牙痛和炎症,可让萎缩的牙龈再生膨胀重新包紧松动的牙齿。这个产品属于野生植物提练萃取的天然产品,纯属中药产品,无色异味,也是目前所知唯一有效让牙龈吸收营养的植物产品。还有消炎止痛等治疗效果.但由于其产品原料均来自天然植物,所以注定属于稀缺资源和产量有限的产品。目前市场上也比较难买到。

机体的齿、骨、发的生长状态是观察肾中精气的外在表现,是判断机体生长发育状况、衰老程度和疾病的客观标志。牙周病迁延难愈、牙齿松动的根源在于肾虚髓亏、长期积累以致牙周免疫防线失效,牙龈萎缩骨质流失。因此,牙齿与肾的关系非常密切。牙齿的健康与病态反映了肾的健康与病态。故,按中医辨证,牙周病当从肾论治

牙龈发炎、出血、红肿、热、痛及口臭;均为肾阴虚,火热毒邪外侵所致或二者兼而有之,”不荣则痛,不通则痛,故治疗当以补肾阴为主,兼以野菊花牡丹皮清热解毒之品,合鸡血藤丹参活血补血。牙齿松动移位,牙齿酸软,咀嚼无力,齿龈分离甚至脱落均属肾精不足之象。肾藏精,主骨生髓,齿为骨之余,肾精充盛,则骨健齿坚;肾精亏虚,则骨枯齿松,故可见牙齿松动、酸软、无力甚至脱落。治疗当以补肾添精为主,药用熟地黄紫河车骨碎补枸杞子之类。通过补肾益髓、活血解毒之法可以疏通牙周微循环、增强机体免疫力,增加骨质密度(促进牙齿钙化),恢复牙周组织和牙槽骨生理机能,最终达到固齿保龈的目的。

综上所述,牙周病中医辨证属肾虚范畴,以补肾固齿、活血解毒论治。

  

牙周病的饮食营养预防与治疗[编辑 | 编辑源代码]

牙周病多为不注意口腔卫生和饮食卫生造成的。

牙周病是发生在牙龈、牙周韧带、牙骨质和牙床部位的慢性破坏性疾病,是口腔内科常见病多发病。牙龈发生炎症和水肿,牙周袋(牙齿与牙分离似一只袋)形成,牙齿松动,咀嚼功能下降,最终造成牙齿脱落,就是牙周病。

营养影响

1、矿物质。钙、磷缺乏,或钙磷比例不平衡,增多可引起牙槽骨质疏松,或使正在矿化的骨质停止矿化。

2、维生素。维生素D缺乏,可引起牙槽骨骨质疏松,牙周韧带纤维松弛,甚至消失,有牙齿松动、牙龈出血等症状。

3、蛋白质。营养不良可使牙周疾病严重,如供给含高蛋白质饮食后,可使临床症状减轻,使得龈沟变浅,炎症消退,牙齿松动程度变轻。

4、此病还与患者的饮食习惯有关,比如过多食用软性食物,使牙齿和牙龈缺乏磨练机会,使牙龈充血,骨质软且易出血,也可出现疼痛。酗酒过度常会引起此病,吸烟者易发生牙周炎和牙齿脱落,还有吃粗纤维及肉类食物时常嵌塞,或常用一侧咀嚼也易造成牙齿损伤。

营养预防

牙周病应早防早治,预防方面就是要注意口腔卫生,合理调节营养,养成良好的饮食习惯。要加强营养,增强人体机能的抗病能力。平时可经常食用粗纤维食品,充分咀嚼,刺激血液分泌,冲刷污物,发挥按摩作用,强健牙周组织。食物不宜过于精细松软,要养成双侧咀嚼习惯。另外,要积极治疗某些原发病,像糖尿病易引起牙周病。

营养治疗

1、高蛋白饮食。补充丰富的高蛋白饮食,可以增强机体抵抗力及抗炎能力,提供损伤组织修复所必需的原料。

2、足量维生素。供给多种维生素,尤其是B族维生素、维生素C、维生素D、维生素E叶酸等。B 族维生素有助于消化,能保护口腔组织;维生素C可促进牙龈出血复原。

3、补充矿物质。要特别注意矿物质的摄入,尤其是钙、磷、锌的摄入量及其比例关系。锌可以抗感染,增强愈合。

4、具体饮食。少食油炸煎熬油腻食品以及糟货、海货、大蒜韭菜、烟酒等刺激性食品,多食含有丰富蛋白质的食品,如豆制品、鸡蛋、牛奶、绿豆、麦片、米仁和新鲜蔬菜和瓜果等,时常吃些肉食和全谷物,少吃糖和精制糖,因为糖类导致菌斑形成并阻止白细胞消灭细菌。

营养食谱

石膏粳米

[ 用料 ] 生石膏 60 克,粳米 60 克,水 3 大碗。

[ 制作 ] 将生石膏、粳米入锅中加 3 大碗水煮至米熟烂,煮至汁剩约 2 碗时即可趁热食用。

[ 功效 ] 清热泻火消炎。  

牙周病的五字保健法[编辑 | 编辑源代码]

牙周病患者可采取五字保健法,效果较好。

1、赶。

每次就餐后,刷牙之前,把洗净的食指伸进口腔,顺牙的方向把积存在牙周围的残留物“赶”出来,还起到按摩牙床的作用。

2、提。

经过推赶后,再用牙刷顺牙齿方向从牙缝中刷去剩余的残渣。

3、漱。

将留在口中及牙齿上的残留物漱掉,可用2~5%食盐水

4、按。

经过上面几步骤后,在用食、拇指轻轻按摩牙龈10~15次,从上到下逐个按摩,以改善病变组织的血液循环,有利于炎症的迅速消除。

5、嗑。

上下嗑叩牙齿10~15次,以运动牙根部,起到固齿作用。长期坚持,能使牙周病得到控制,未患病的牙齿得到保护。  

牙周炎的体育疗法[编辑 | 编辑源代码]

冷、热、酸、甜吃了都疼,牙周炎给许多人带来痛苦。其实,牙周炎也有体育疗法,绝大多数人长期坚持练习都会有效。

国家体育总局运动医学研究所伊木清博士说,

人随着年龄增大,牙龈日趋萎缩,由此导致牙齿松动、间隙增大、食渣存留,这很易于细菌滋生。而随着口腔内生物和化学刺激的不断增加,会使牙周疼痛甚至感染化脓,并会使牙齿进一步松动、脱落。牙齿的缺损,影响食物咀嚼,给肠胃功能退化的中老年人增加了肠胃负担。

牙周炎的体育疗法适用于没有化脓性口腔炎症者,患者应在长期从事健身运动的同时,有意进行牙的运动。体育运动的目的是促进牙周组织血液循环,改善牙周组织营养,延缓和阻止牙龈萎缩,尽可能地保全牙齿功能。体育康复的具体方法是:1.用力咬合或相互撞击上下牙齿,连续数十次;2.用两手掌在两侧面颊和口唇上,按摩齿龈,直至局部有发热感为止。上述练习每日3次,每次~10分钟,练习时应注意用力不要过猛,特别是有龋齿者和牙齿松动明显者,练习时注意用力要平稳。  

牙周手术治疗[编辑 | 编辑源代码]

为了预防疾病,减缓或终止疾病进展,重建受损的牙周膜,维持已取得的疗效。临床上使用多种治疗方法,如龈下刮治、切龈术、改良Widman翻瓣术等治疗牙周疾病。对手术治疗进行比较的纵向研究,毫无疑问是牙周病学临床研究的重要部分。它们与临床密切相关,可指导医生的日常工作。本文回顾了一些研究组的纵向临床研究结果,讨论了各种方法的优缺点。尽管对于什么是最好的手术方法仍有争议,但这些研究结果不仅为将来更复杂的研究提供了依据,也为未来的牙周手术的发展指出了方向。

21世纪的牙周手术

牙周治疗的目的是预防疾病,减缓或终止疾病进展,重建受损的牙周膜,维持已取得的疗效。它包括多种治疗方法,如龈下刮治、切龈术、改良Widman翻瓣术以及伴有或不伴有骨修整的全厚瓣断层瓣术。尽管一些纵向临床研究讨论了各种方法的优缺点,但最好的手术方法是什么仍有争议。

牙周病

第一篇关于牙周治疗方法比较的报道出现于30年前。在那之前,治疗方法的选择基于经验与推理。Ramfjord试图在前瞻性长期研究的结果上建立科学的牙周治疗原则[10,27,28,50,51,54]。他以先锋的姿态挑战了过去长期被人们认同的一些教条,将新的概念引入了牙周病的临床研究。

Ramfjord建议以附着水平的改变作为评价比较牙周治疗的主要指标[10,27,28,50,51,54]。附着丧失被认为是衡量疾病进展的最好指标,这一点将在本章的后面详细谈到。

对手术治疗进行比较的纵向研究毫无疑问是牙周病学临床研究的重要部分。它们与临床密切相关,可指导医生的日常工作。从事此类研究的中心有7个:密执根、歌德堡、明尼苏达、华盛顿、奥尔胡斯、图森和内不拉斯加。每一个研究组都作出了特有的贡献,为我们现有的知识奠定了基础,并为将来更复杂的研究提供了依据。

密执根最早比较了洁治和袋消除术[54]。袋消除术是指切龈术和伴有或不伴有骨修整的翻瓣术。后来改良Widman翻瓣术,刮治和根面平整也纳入了比较。最初进行的是组间比较,后来发展成了自身对照,这有利控制许多会影响治疗结果的变量。

密执根研究的另一特点是按照初查时的探诊深度进行数据分层:1~3mm、4~6mm、mm以上。结果按照牙齿类型进行比较:上颌磨牙、下颌磨牙、上颌前磨牙、下颌前磨牙、上颌前牙和下颌前牙。最后对全口或分层后的数据进行分析。不同治疗方法、不同初查探诊深度、不同牙齿类型间只有很细微的差别。尽管这种差异没有临床意义,但此研究揭示了确实存在某种差异。

虽然袋消除术最大程度减少了探诊深度,但洁刮治、根面平整和改良Widman翻瓣术能更好的改善附着水平。尽管磨牙的疗效稍差,不同牙齿对治疗还是显示了相似的反应。初查时探诊深度较浅的牙齿由于治疗会丧失少量附着,而初查时探诊深度较深的牙齿则有最大程度的附着获得和探诊深度减少。

歌德堡的研究设计更多样化,因此与密执根得出了稍有不同的结论[29-35,42-44,55,59]。Lindhe和Nyman认为只要取得理想的菌斑控制,晚期牙周炎也是能被治愈的[29]。因此研究没有包括不能保证牙列菌斑控制的患者,并为患者提供了2周一次的专业清洁牙齿。研究早期分组比较了:切龈术,伴有或不伴有骨修整的改良Widman翻瓣术和伴有或不伴有骨修整的根向复位瓣术。所有这些方法均能终止附着丧失,但只有在避免骨切除,软组织缝合后完全覆盖牙槽骨时才能获得最大附着[29,43,44,55]。至今没有证据直接显示菌斑是牙周炎的原因,但这些研究确实表明没有菌斑就没有疾病的进展。

此后,歌德堡又自身对照比较了刮治、根面平整和改良Widman术[33-35]。研究关于附着改变和探诊深度减少的发现与Ramfjord相似。(表1)研究确定了洁刮治、根面平整和改良Widman术的临界探诊深度,深度小于它归为附着获得,大于它归为附着丧失。洁刮治,根面平整的临界探诊深度为2.9mm,改良Widman术的临界探诊深度为4.2mm。这一研究完善了治疗反应与初诊探诊深度有关的理论,显示出:

牙冠延长术/Crown lengthening

牙冠延长术/Crown lengthening

单个牙侧向转位瓣术

这种手术可覆盖暴露的牙根,防止牙根敏感和根面龋。它用于:

(1)孤立的龈退缩;

(2)临近供牙有足够角化牙龈;

(3)前庭沟深度足够。

多个牙有牙龈退缩的区域和供区存在系带附着时不适合采用这种手术。

组织学证明上述翻瓣术以长结合上皮形式愈合,不能形成新的结缔组织附着。但长结合上皮已被证实能维持稳定的疗效[6,7,57,61]。

牙周手术的原则

牙周手术的目的是去除软组织袋壁,感染骨组织,消除牙周袋。目前,手术目标为:

(1)当非手术治疗无效时,为根面预备提供进路;

(2)建立合适的牙龈外形;

(3)便于口腔清洁;

(4)延长牙冠便于修复;

(5)通过再生术恢复受损牙周膜。

为确保组织愈合,手术原则应包括:

①充分的麻醉;②表面消毒;③器械锐利;④组织创伤最小化;⑤缩短手术时间;⑥防止不必要的污染;⑦必要时恰当的缝合和塞治。

 术后并发症

手术风险包括疼痛、肿胀、出血、药物反应和感染。此外还有牙根敏感、瓣坏死、牙根吸收或固连、牙槽嵴吸收、瓣穿孔脓肿形成、牙龈外形不规则。Pack & Haber认为并发症的发生率很低(1%)。884例没有使用抗生素的手术只有8例感染,使用抗生素的43例手术只有1例感染。Curtis比较了翻瓣术、骨手术和膜龈手术后出现并发症与疼痛的概率和程度[9]。304例病例中仅5.5%有中到重度疼痛。骨手术引起出血、感染、肿胀或其他不良反应的可能是膜龈手术的3倍。膜龈手术引起疼痛的可能是骨手术的3.5倍,软组织手术的6倍。如果发生术后并发症,应当及时和恰当处理,包括止血、充分镇痛或使用抗生素。

 牙周手术的未来走向

过去牙周治疗仅包括洁刮治、根面平整或切龈术,到今天,它已发展囊括了各种成形和再生术。借助诱导组织再生术,骨和根分叉缺陷已可再生,但还不能完全保证。随着生长因子用于治疗,再生术前景更为广阔,而切除术作为一种牙周治疗方法可能会消失。20年前尚不可能的牙根覆盖现今成为常规手术。新材料的发展消除了使用腭部组织的必要,减少了老年人的牙龈退缩。因此,不久的将来,牙周手术可能会成为牙周治疗的一大特色,其目标是实现组织完全再生。

纵向研究最初选用平均附着水平作为比较疗效的指标。三十年来,这一指标已经发生改变。今后的研究将包括能显示个别位点病损情况的频率数据,每年或累计复发率将用于比较不同治疗方法,个别位点的疾病进展也将用于进一步分析治疗结果。高精度的测量工具将为牙周探诊提供更好的技术。人们还需要改进能确定疾病进展位点的技术。

尽管已有较多关于牙周治疗的长期研究,但仍有许多东西要研究。研究的最终目的是提供可以终止疾病进程并能长期维持疗效的治疗方法。三十年来的研究已推动了这一目标的实现,但还需要更多研究明确每种治疗方法的特点。在现有数据基础上可较好地对患者作出个体化的诊疗。

 牙周手术的适应症

牙周炎时,非手术治疗应先于手术治疗进行。只有当非手术治疗失败时才采用手术治疗。一般来说,洁刮治、根面平整后应评价非手术治疗的效果,然后才考虑使用抗菌药物或抗生素,因为这类药物减轻炎症,可掩盖那些洁刮治、根面平整未能起效的位点。那些对非手术治疗有反应并在维持期保持稳定的位点并不需要完全消除牙周袋。但在进行手术治疗时,则应减少探诊深度以方便维持期治疗和减少疾病复发[1,15-25]。

牙周手术的术前准备包括彻底的检查,诊断和全面评估危险因素。患者至少应有80%的牙面清除了菌斑,并且洁刮治和根面平整后应有足够时间供组织愈合。讨论了手术的风险与好处后,患者应签署知情同意书。必要时可用药抑制焦虑和预防心内膜炎

术后应向患者说明:

(1)可能出现的不适和并发症;

(2)使用的药物,尤其是麻醉药与抗生素;

(3)避免热烫或刺激性的食物与饮料;

(4)减少吸烟,尤其在组织愈合阶段;

(5)家庭卫生指导;

(6)若出现不良反应或其他问题如何就诊。

一般牙科医生的角色

一般牙科医生在牙周诊断和治疗中起重要作用。大多数牙周炎都是在普通牙科诊所确诊的。病人是否就诊取决于很多因素,包括病人的愿望和医生提供意见及治疗的倾向。一般牙医通常进行洁刮治和根面平整,外科手术限于探诊深度小于5mm的水平型骨吸收。垂直型骨吸收、Ⅱ度根分叉病变等更严重的病损需要求助于牙周病医生,因为其治疗方法多样并且较困难。第二磨牙远中的楔形瓣术也由于同样原因多由牙周病医生完成。

手术方法

下面将介绍一般牙科医生适合采用的手术方法:

切龈术

该术式用于附着龈足够的情况下去除骨上袋,减轻牙龈增生,或在特定情况下加长牙冠有利美观。一般来说,它不用于:

(1)存在骨内袋时;

(2)需要牙槽骨手术时;

(3)没有足够附着龈时;

(4)系带或肌肉附着造成干扰时;

(5)牙冠太长不利美观时。

切龈术/Gingivectomy

改良Widman翻瓣术

Ramforjord & Nissle介绍的这一术式用于去除炎症袋壁,便于根面的清洁并能最大程度保存牙周组织[53]。它尤其适用于需要考虑美观的上颌前牙。其不足之处在于不能消除牙周袋,以长结合上皮形式愈合。

图2.改良Widman翻瓣术/Modified Widman flap

(点击图片可放大)

翻瓣洁治

该术式可在直视下清洁根面,减少袋深,并且瓣复位后能最大程度覆盖用于再生的装置。它使用龈沟内切口替代内斜切口。

不进行骨修整的根向复位瓣术

此术式通过根向复位黏膜瓣减少袋深,它为根面预备提供进路,保持或减少附着龈宽度。它使用的是内斜切口。

牙冠延长术

手术延长牙冠:

(1)方便龋坏去除;

(2)为修复提供更多固定位;

(3)建立生物学宽度;

(4)改善美观。

只有当余留牙根有健康牙周膜支持并且术后冠根比恰当时才选用此术式。

(1)反应具有治疗特异性;

(2)可准确预计附着获得的水平。这比那种认为特定分层可出现附着获得或丧失的观点更精确。

明尼苏达的研究主要比较了洁刮治、根面平整和改良Widman术[47-49]。6.5年中没有发现治疗组之间的差异。磨牙和非磨牙的附着水平与牙齿丧失差异也很小。奥尔胡斯比较了根向复位瓣术、改良Widman翻瓣术、刮治和根面平整[11-13],也没有发现差异。上述两地的研究设计良好,证实了密执根和歌德堡的研究结果。

华盛顿研究组严格定义了牙槽骨手术是指恢复正常圆弧形骨外形的手术[45,46]。伴有骨修整的根向复位瓣术较单纯根向复位瓣术减少袋深更明显,但可能有轻微附着丧失。作者认为骨修整术能更有效的减少袋深,控制炎症。

图森的研究不同于以往之处在于它是在私人诊所而非医科院校进行的[4,5,26]。Berker比较了洁刮治、根面平整、改良Widman术和严格定义的牙槽骨手术。在研究期间内,各治疗组之间只有很小差异。这证实了医科院校的发现,并表明私人诊所也能取得相似的疗效。

内不拉斯加的研究是最近进行的,具有许多设计特点[1,15-25]。

第一,它包括了牙冠洁治组,由于这不是治疗牙周炎的恰当方法,故该组中许多牙齿不得不被排除。

第二,它使用水平向附着水平分析治疗反应。由于治疗方法不同,解释这些数据显得较复杂,但可看出,骨手术的位点复发率最低。

牙周病

第三,位点按照术后而非初查探诊深度分层。因此疗效的评价实际上是基于维持期的探诊深度,结果发现复发率随探诊深度增加而增加。

第四,计算了复发位点的年复发率。刮治、根面平整组最高,改良Widman翻瓣术组与其接近,骨手术组最低。

最后,研究还评价了吸烟对疗效的影响,吸烟者对治疗仍有反应,不过相对较弱,并且吸烟者较非吸烟者复发率更高。

对纵向研究的解释

Wang发现牙周治疗后的患者疾病进展速度为每年mm,Westfelt则报道为0.04mm,Loe报道为0.06mm[36-4,58,60]。以0.06mm为标准,疾病将在5年内发展0.3mm,10年内发展0.6mm。另一方面,未经治疗的患者疾病进展更快。Craft报道为每年mm,Axelsson、Lindhe和Loe都报道为每年mm[2,3,8,36-40]。若以0.2mm为标准,5年后疾病进展为1mm,10年后为2mm。治疗组与未治疗组间的差距5年达到0.7mm,10年达到1.4mm。现有器械是很难可靠检测出治疗组和非治疗组间的细微差别的。比较两种治疗方法的效果时,由于疾病年平均进展只有百分几个毫米,同样也难以发现。多数纵向研究为期不到5年,更没有超过10年,所以很难发现不同治疗组间客观可能存在的差别。

Jeffcoat&Reddy认为探诊器械的刻度对了解疾病进展有明显影响[14]。使用刻度为0.1mm的阿拉巴马牙釉骨质界探针发现疾病呈持续进展状态,而使用1mm刻度的手用探针则显示疾病是周期爆发式进展的。所以比较治疗方法疗效的不同需要高精度器械。

分析全口平均指标可以很好显示一种治疗方法在该患者身上的疗效。但它掩盖了某些个别的重要位点的变化。表示频率的数据、复发率、疾病进展速度则可以反映个别位点的特殊情况。因此以患者为单位和以位点为单位得到的数据是不同的,需要对它们都进行分析才能阐明治疗效果。而许多纵向研究忽略了这一点,遗留了很多问题。 

Machtei通过9个月的观察发现深袋若未经治疗进展比浅袋迅速[41]。研究包括了12名患者,记录了他们的袋深、牙齿类型和颊舌侧探诊位点。对这些数据进行复杂的分析可深入了解个别位点的疾病进展情况。

使用全口平均指标初步纵向研究显示在手术及非手术洁刮治、根面平整间没有疗效差别。但随着设计的改进和数据分析方法的发展,有可能逐渐显现出治疗方法之间的差别。由于浅袋病损复发少,减少袋深将受到重视。

牙周病是卒中的危险因素

正在北曼哈顿进行卒中研究的研究人员已经证实牙周病与颈动脉斑块增厚之间的相关性。牙周病是位于牙齿下面牙槽骨的一种常见慢性轻度感染,这种病的发生率很高,在60-64岁的成年人中有20%的人患此病。

以前的研究已表明,牙周病与卒中和心肌梗死的发生有关。现在他们的报道显示牙周病与颈动脉斑块增厚之间具有相关性。颈动脉斑块增厚是动脉粥样硬化的一个测定指标,表明两种疾病之间的相关性机制实际上是一种对动脉粥样硬化的影响。

研究发现,吸烟对进一步证实牙周病与颈动脉斑块增厚之间的联系是一个重要的混淆因素。但研究者认为,牙周病对颈动脉粥样硬化和缺血性卒中来说可能是一种可缓和的危险因素。上述研究结果是很初步的,还不足以提出切实可行的建议。  

牙周病患者注意事项[编辑 | 编辑源代码]

一、预防或减少全身性疾病,加强营养,提高整体健康素质,从而增强牙周组织的抗病能力;努力保持口腔清洁卫生;坚决戒除对牙周组织有害的不良习惯(如吸烟、饮酒、单侧咀嚼等)。

二、蛋白质是口腔组织生长发育的基础,蛋白质缺乏可加重牙周病的发展。因此,我们应该多食用高蛋白食物,如蛋、肉类、牛乳、乳酪、谷物、豆荚类、干果类等。

三、不要长期食用大颗粒、粗纤维的食物,因其可对己患病的牙周组织造成机械性压迫刺激,使局部的血液循环发生障碍,造成牙周组织的营养不良、牙龈萎缩、牙槽骨吸收加重。然而,也不可长期进食过于精细的食物。

四、搞好个人口腔卫生,认真刷牙、漱口。刷牙要采用正确的方法,即从牙龈开始,沿牙齿纵轴上下刷洗,动作要轻柔,时间应达到3分钟,在刷洗牙齿的同时,牙龈也得到足够的按摩。不正确的刷牙方式如用力过度、横向拉刷、斜向交叉刷牙等,都可能对牙周组织造成机械的损伤,使局部牙龈溃破,出现溃疡、出血,牙周进一步萎缩等。消除或减少食物嵌塞也是非常重要的。因为食物残渣长期堆积在牙缝中,压迫刺激牙龈,使之发生慢性炎症,从而更加重了牙龈的萎缩。 

假牙镶配者的牙周病护理

大量的临床案例表明,假牙清洁方法不当、不彻底,很容易产生异味、牙石、菌斑,从而引发牙周病,如果再加上假牙松动,则会导致咀嚼疼痛,直接影响饮食、降低肠胃功能,甚至可能导致口腔以及内脏疾病,后果非常严重。

假牙镶配者的牙周病护理和普通的牙周病患者的护理有不同,最新的一项调查报告统计发现:即使假牙制作再精良,也难做到100%贴合口腔;中老年人唾液少、黏度低,牙槽骨的逐年变形都会导致假牙松动、戴不牢;戴假牙吃饭时,食物残渣塞入假牙与牙床间,不敢咀嚼,直接影响进食;如果牙槽骨严重吸收低平,假牙更加无法戴牢。因此,基于这些客观存在的不利因素,医学界一致认为假牙镶配者所患的牙周病很大一部分是由于镶配假牙且护理不当引起的,所以尤其需要有针对性和专业性的护理。

由于目前假牙护理常识在国内还不是很普及,导致我国中老年消费者的假牙很少能得到科学、有效的护理,除了极少数人可以从国外购买此类产品外,大多数人都是用简易的“土办法”,如清洁方面就是拿水泡、拿牙膏牙刷等,而假牙固位方面就更加没有办法。于是假牙不清洁和不稳固引起的中老年人牙周病病例便逐年增多。市场上目前出现的安全、方便、有效的假牙护理产品还很少,国内只有雅克菱通过了欧盟CE认证,推出了假牙伴侣系列产品,并结合专家建议和国际通行护理办法,提出了“每日摘、泡、粘,科学护假牙”的假牙护理理念,对假牙配戴者的牙周病预防效果较为明显。

参看[编辑 | 编辑源代码]