牙冠

来自医学百科
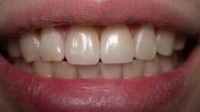
Bkfw1.jpg

牙冠人造牙冠)也叫牙套,是用于修复牙齿的一种方法,当牙齿损坏后且难于通过补牙的方式修复时,可用不同的材料制成人造牙冠,套在改小了的天然牙冠上。

跟据制作材料,牙冠可以分为以下几种:

贵金属牙冠

瓷牙

烤瓷(搪瓷)牙冠

不锈钢牙冠

临时牙冠

贵金属牙冠、瓷牙冠、烤瓷(搪瓷)牙冠都是由牙医设计,然后在工厂定制的。由于制作要好几天时间,在磨小了牙齿后,要套上现做的临时牙冠。

不锈钢牙冠是系列批量生产的,挑相近的型号套上。

中国大陆,镶一个定制的牙冠的费用通常在300至4000人民币之间,在美国,约为600至3100美元。

附图:两颗门牙用全瓷牙冠重做,并如真牙般分开,差别也是可以很大,连牙医都看不出门牙是假的。