恶性组织细胞病

来自医学百科

malignant histiocytosis

恶性组织细胞病(恶组)是单核一巨噬细胞系统中组织细胞的恶性增生性疾病临床表现发热、肝脾淋巴结肿大、全血细胞减少和进行性衰竭为特征。  

病理[编辑 | 编辑源代码]

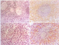
恶性组织细胞病骨髓

恶性组织细胞浸润是本病病理学的基本特点,脾及淋巴结等造血组织为常见,但全身大多数器官组织也可累及,如皮肤浆膜、肺、心、肾、胰腺、胃肠、内分泌乳房睾丸神经系统等。这些器官及组织不一定每个都被累及,而受累的器官或组织,病变分布亦极不均一。恶性细胞可以是分散的或成集结,但极少形成瘤样的肿块。被累及的组织中有许多畸形的、形态多样的异常组织细胞,间有多核巨细胞和吞噬性组织细胞,吞噬大量多种血细胞。其异常组织细胞是诊断本病的主要依据。  

临床表现[编辑 | 编辑源代码]

恶组多见于青壮年,以20~40岁者居多,男女发病为2-3:1。本病按病程可分为急性和慢性型。国内以急性型为多见。起病急骤,病势凶险。

发热是最为突出的表现。90%以上病人以发热为首发症状体温可高达40°C以上。热型以不规则热为多,也有间歇热弛张热和稽留热。少数病例用抗生素能暂时使体温下降,但更多病例发热与疾病本身有关,对抗生素治疗无反应。皮质激素虽有降温作用,但不持久,只有化疗有效时体温才能恢复正常。

贫血也是较常见症状之一。急性型早期即出现贫血,呈进行性加重。晚期病例,面色苍白全身衰竭非常显著。少数起病缓慢的病例,其最早出现的突出症状可为贫血和乏力

出血以皮肤瘀点瘀斑为多见。其次为鼻衄齿龈出血、粘膜血泡、尿血呕血便血也可发生。

此外,乏力、食欲减退消瘦、衰弱也随病情进展而显著。

肝、脾、淋巴结肿大不一定同时发生。脾大比肝大更为常见。晚期病例,脾肿大可超过脐水平而达下腹。肝肿大一般为轻度到中度,可有压痛,有时被误诊为肝脓肿。淋巴结肿大不如肝脾肿大常见,出现也较晚,以颈、腋下和腹股沟外淋巴结肿大为多见。也可有肠系膜腹膜后和纵隔等处深部淋巴结受累。

不典型病例(特殊类型恶组)可困身体某一组织或器官的病变特别突出,某些特殊的症状或体征成为主要的临床表现,而贫血、出血、脾大等典型表现则不明显。例如有些病例早期主要表现为皮肤结节或肿块;有的出现胸腔积液腹水腹痛腹泻、便血、黄疸肠梗阻肠穿孔;有的出现各种神经系统症状如肢体麻木瘫痪癫痫等。这些病例可分别称为皮肤型、多浆膜型、胃肠型、神经型恶组等。  

实验室检查[编辑 | 编辑源代码]

一、血象[编辑 | 编辑源代码]

全血细胞减少为本病突出表现之一。贫血出现更早,呈进行性。严重者血红蛋白可降至20~30g.L。白细胞早期可正常或增高。晚期常显著减少,有时可出现少数中、晚幼粒细胞血小板计数大多减少,晚期更甚。部分病人血涂片可找到恶组细胞。用浓缩血液涂片法可提高阳性率,对诊断有一定帮助。  

二、骨髓象[编辑 | 编辑源代码]

骨髓增生高低不一,晚期多数增生减低,三系细胞均减少。骨髓中出现异常组织细胞是诊断本病的重要依据,异常组织细胞形态特点可归纳为下列5种:①异常组织细胞(恶性组织细胞):

恶性组织细胞病骨髓象(集中视野)

胞体较大,为规则的圆形。胞浆较丰富,呈深蓝或浅蓝色,可有细小颗粒和多少不等的空泡。核形状不一,有时呈分枝状,偶有双核。核染色质细致或呈网状,核仁显隐不一,有时较大。这种细胞在涂片的末端或边缘处最为多见。②多核巨组织细胞:胞体大直径可达50微米以上,外形不规则。胞浆浅蓝,无颗粒或有少数细小颗粒,通常有3-6个胞核,核仁或隐或显。③淋巴样组织细胞:胞体大小及外形似淋巴细胞,可呈圆形,椭圆形,不规则或狭长弯曲尾状。胞浆浅蓝或灰蓝色,可含细小颗粒,核常偏于一侧或一端,核染色质较细致,偶可见核仁。④单核样组织细胞。形态颇似单核细胞,但核染色质较深而粗,颗粒较明显。⑤吞噬性组织细胞:胞体常很大,单核或双核,偏位,核染色质疏松,可有核仁。胞浆中含有被吞噬的红细胞血小板中性粒细胞或血细胞碎片等。以上5种细胞,目前认为以异常组织细胞和多核巨组织细胞诊断意义较大。但后者在标本中出现机率较低。单核样和淋巴样组织细胞在其他疾病中也可出现,在诊断上缺乏特异性意义。  

三、细胞化学免疫细胞化学[编辑 | 编辑源代码]

恶性组织细胞过氧化酶及硷性磷酸酶均属阴性;酸性磷酸酶阳性;苏丹黑糖原反应阴性或弱阳性;α萘醋酸脂酶阳性;ASD氯醋酸脂酶阴性;萘酚-AS-醋酸脂酶阳性而不被氟化钠抑制。中性粒细胞硷性磷酸酶阴性或积分低,对恶组的鉴别诊断有一定价值。

S-100蛋白在恶组细胞中为阳性,而反应性细胞为阴性。  

诊断及鉴别诊断[编辑 | 编辑源代码]

本病临床表现变化多端,缺乏特异性,易导致误诊,必须提高对本病的警惕。

间变性大细胞性淋巴瘤

诊断应以临床表现为线索,以细胞形态学为依据。对有高热、肝脾肿大、全血细胞减少,进行性衰竭等基本临床表现者,须进一步通过骨髓穿刺、淋巴结活检或其他可疑病变的组织活检,找到形态学依据。若发现有较多异常组织细胞,则可确诊。当临床表现不典型,而骨髓中发现少数异常组织细胞,诊断应慎重,需除外由于某些感染性疾病伤寒布氏杆菌病感染性心内膜炎病毒性肝炎败血症结核病等引起的反应性组织细胞增生症(也称噬血细胞综合征-鉴别见表(5-7-1)。此外,还应与结缔组织病急性白血病再生障碍性贫血粒细胞缺乏症恶性淋巴瘤等相鉴别。  

治疗[编辑 | 编辑源代码]

大部分患者可用治疗大细胞淋巴瘤的化疗方案达到一定的疗效。可以联合使用环磷酰胺阿霉素长春新碱泼尼松,以获得较高的缓解率。VP-16与阿糖胞苷的联合治疗也较有效。

本病如不予治疗,进展迅速,100%死亡。包括蒽环类抗生素在内的联合化疗的缓解率在50%以上,但缓解期短。大部分患者在一年内死亡,但少数可以生存数年。年轻患者可试用骨髓移植

参看[编辑 | 编辑源代码]