强直性脊柱炎

来自医学百科

强直性脊柱炎属于风湿病范畴,是血清阴性脊柱关节病中的一种。研究表明,该病原因尚不很明确,以脊柱为主要病变的慢性疾病,病变主要累及骶髂关节,引起脊柱强直纤维化,造成弯腰、行走活动受限,并可有不同程度的眼、肺、肌肉骨骼的病变,也有自身免疫功能的紊乱,所以又属自身免疫性疾病

基本简介[编辑 | 编辑源代码]

强直性脊柱炎又名Marie-strümpell病、Von Bechterew病、类风湿脊柱炎畸形性脊柱炎、类风湿中心型等,现都称AS。AS的特点为腰、颈、胸段脊柱关节韧带以及骶髂关节的炎症骨化髋关节常常受累,其它

周围关节也可出现炎症。该病一般类风湿因子呈阴性,故与Reiter综合征牛皮癣关节炎肠病关节炎等统属血清阴性脊柱病。

强直性脊柱炎实际是一种很古老的疾病,早在几千年前从古埃及人的骨骼就发现有强直性脊柱炎的证据。距今2000年以前,希腊名医希波克拉底描述了一种疾病,患病者有骶骨、脊椎、颈椎部的疼痛。  

临床表现[编辑 | 编辑源代码]

AS常见于16~30岁青年人,男性多见,40岁以后首次发病者少见,约占3.3%。本病起病隐袭,进展缓慢,全身症状较轻。早期常有下背痛和晨起僵硬,活动后减轻,并可伴有低热、乏力食欲减退消瘦等症状。开始时疼痛为间歇性,数月数年后发展为持续性,以后炎性疼痛消失,脊柱由下而上部分或全部强直,出现驼背畸形。女性病人周围关节受侵犯较常见,进展较缓慢,脊柱畸形较轻。

Bk9lt.jpg

  

1.关节病变表现[编辑 | 编辑源代码]

AS病人多有关节病变,且绝大多数首先侵犯骶髂关节,以后上行发展至颈椎。少数病人先由颈椎或几个脊柱段同时受侵犯,也可侵犯周围关节,早期病变处关节有炎性疼痛,伴有关节周围肌肉痉挛,有僵硬感,晨起明显;也可表现为夜间疼,经活动或服止痛剂缓解。随着病情发展,关节疼痛减轻,而各脊柱段及关节活动受限和畸形,晚期整个脊柱和下肢变成强硬的弓形,向前屈曲。

骶髂关节炎:约90%AS病人最先表现为骶髂关节炎。以后上行发展至颈椎,表现为反复发作的腰痛,腰骶部僵硬感,间歇性或两侧交替出现腰痛和两侧臀部疼痛,可放射至大腿,无阳性体征,伸直抬腿试验阴性。但直接按压或伸展骶髂关节可引起疼痛,所以不象坐骨神经痛。有些病人无骶髂关节炎症状,仅X线检查发现有异常改变。约3%AS颈椎最早受累,以后下行发展至腰骶部,7%AS为几具脊柱段同时受累。

腰椎病腰椎脊柱受累时,多数表现为下背前和腰部活动受限。腰部前屈、扣挻、侧弯和转动均可受限。体检可发现腰椎脊突压痛,腰椎旁肌肉痉挛;后期可有腰肌萎缩

胸椎病变:胸椎受累时,表现为背痛、前胸和侧胸痛,最常见为驼背畸形。如肋椎关节胸骨柄体关节、胸锁关节[19、20]及肋软骨间关节受累时,则呈束带状胸痛,胸廓扩张受限,吸气咳嗽打喷嚏时胸痛加重。严重者胸廓保持在呼所状态,胸廓扩张度较正常人降低50%以上,因此只能靠腹式呼吸辅助。由于胸腹腔容量缩小,造成心肺功能消化功能障碍

颈椎病:少数病人首先表现为颈椎炎,先有颈椎部疼痛,沿颈部头部臂部放射。颈部肌肉开始时痉挛,以后萎缩,病变进展可发展至颈胸椎后凸畸形。头部活动明显受限,常固定于前屈位,不能上仰、侧弯或转动。严重者仅能看到自己足尖前方的小块地面,不能抬头平视。

⑸周围关节病变:约半数AS病人有短暂的急性周围关节炎,约25%有永久性周围关节损害。一般多发生于大关节,下肢多于上肢。有人统计,周围关节受累率,髋和肩为40%,膝15、5,踝10%,足和腕各5%,极少累及手。报道80例AS,髋关节受累率为征候(100%);活动受限(64%)、屈曲挛缩(38%)、肌肉萎缩(25%)、发生关节强直(37%),是AS病人的主要致残原因;髋部症状出现在发病后5年内者占94%,提示AS发病头5年如未累及髋关节,则以后受累的可能性不大。

肩关节受累时,关节活动受限疼痛更为明显,梳头、抬手等活动均受限。侵犯膝关节时则关节呈代偿性弯曲,使行走、坐立等日常生活更为困难。极少侵犯肘、腕和足部关节,侵犯于部分节者更为罕见。

此外,耻骨联合亦可受累,骨盆上缘、坐骨结节股骨大粗隆及足跟 部可有骨炎症状,早期表现为局部软组织肿、痛,晚期有骨性粗大。一般周围关节炎可发生在脊柱炎之前或以后,局部症状与类风湿性关节炎不易区别,但遗留畸形者较少。

Bk9lu.jpg

  

2.关节外表现[编辑 | 编辑源代码]

AS的关节外病变,大多出现在脊柱炎后,偶有骨骼肌肉症状之前数月或数年发生关节外症状。AS可侵犯全身多个系统,并伴发多种疾病。

心脏病:以主动脉瓣病变较为常见,据尸检发同约25%AS病例有主动脉根部病变,心脏受累在临床上可无症状,亦可有明显表现。临床有不同程度主动脉瓣关闭不全者约1%;约8%发生心脏传导阻滞,可与主动脉瓣关闭不全同时存在单独发生,严重者因完全性房室传导阻滞而发生阿一斯综合征。当病变累及冠状动脉口时可发生心绞前。少数发生主动脉肌瘤心包炎心肌炎。合并心脏病的AS病人,一般年龄较大,病史较长,脊柱炎及外周关节病变较多,全身症状较明显。Gould[24]等检查21例AS病人心功能,发现AS病人的心功能明显低于对照组。

⑵眼部病变:长期随房,25%AS病人有结膜炎虹膜炎、眼色素层炎或葡萄膜炎,后者偶可并发自发性眼前房出血。虹膜炎易复发,病情越长发生率愈高,但与脊柱炎的严重程度无关,有周围关节病者常见,少数可先于脊柱炎发生。眼部疾病常为自限性,有时需用皮质激素治疗,有的未经恰当治疗可致青光眼失明

⑶耳部病变:Gamilleri等报道42例AS病人中1/2例(29%)发生慢性中耳炎,为正常对照的4倍,而且,在发生慢性中耳炎的AS病人中,其关节外明显多于无慢性中耳炎的AS病人。

⑷肺部病变:少数AS病人后期可并发上肺叶斑点状不规则的纤维化病变,表现为咳痰气喘、甚至咯血,并可能伴有反复发作的肺炎胸膜炎。X线检查显示双侧肺上叶弥漫性纤维化,可有囊肿形成与实质破坏,类似结核,需加以鉴别。

神经系统病变:由于脊柱强直及骨质疏松,易使颈椎脱位和发生脊柱骨折,而引起脊髓压迫症;如发生椎间盘炎则引起剧烈疼痛;AS后期可侵犯马尾,发生马尾综合征,而导致下肢或臀部神经根性疼痛;骶神经分布区感染丧失,跟腱反射减弱膀胱直肠等运动功能障碍。

淀粉样变:为AS少见的并发症。有报道35例AS中,常规直肠粘膜活检发现3例有淀粉样蛋白的沉积,大多没有特殊临床表现。

⑺肾及前列腺病:与RA相比,AS极少发生肾功能损害,但有发生IgAD肾病的报告。AS并发慢性前列腺炎较对照组增高,其意义不明。  

病理病因[编辑 | 编辑源代码]

病因研究[编辑 | 编辑源代码]

强直性脊柱炎是不是遗传病还没有定论,但是90%强直性脊柱炎患者是有遗传因素的。所以强直性脊柱炎是一种与遗传有密切关系的疾病。研究表明强直性脊柱炎与HLA-B27 的关系及为密切,强直性脊柱炎的发病与HLA-B27有直接关系,即强直性脊柱炎与人类白细胞抗原相关

Bk9lv.jpg

性最强,HLA-B27阳性者中80%并不发生强直性脊柱炎,而强直性脊柱炎患者中有10%为HLA-B27阴性。故HLA-B27阳性不一定发生强直性脊柱炎,HLA-B27阴性也不一定不发生强直性脊柱炎,更不能认为HLA-B27阳性就是强直性脊柱炎。

可以肯定地说强直性脊柱炎家族人群只有个别人会成为强直性脊柱炎患者,大部分人终身不发病。强直性脊柱炎地家族遗传性早已受到医学界的重视,1964年Kell-gren在对强直性脊柱炎家族的普查时发现,该病患者家属中的平均患病率为4%,而全国人口平均患病率仅为0.1%,两者之间发病率竟相差40倍,说明家族遗传性确与强直性脊柱炎的发病有关。Brewerton 等1973年在强直性脊柱炎病人的组织分型中获得明显基因因素的证据,他们在75例典型病人中,发现72例HLA-B27阳性,占96%,在其60名级亲属中31名(占51%)中HLA-B27为阳性,而在75名对照组中,HLA-B27仅3例阳性,占4%,说明HLA-B27阳性者与强直性脊柱炎发病关系密切。由于HLA系统与血型抗原一样,是由遗传决定的,因此遗传是强直性脊柱炎发病的重要原因之一。在HLA-B27阳性人群中,该病的发病率大约占20%,其余80%不患此病,说明除遗传因素外尚存在其他致病因素。

临床研究发现强直性脊柱炎的发病与人体自身的免疫失调有密切关系,强直性脊柱炎病人在免疫学检查中发现,免疫球蛋白、Cf反应蛋白、C 、C 均有不同程度的改变,这说明强直性脊柱炎与自身免疫功能有关,同时强直性脊柱炎还与全身炎症有关,强直性脊柱炎与全身各个脏腑关系密切,强直性脊柱炎与内科有关系。强直性脊柱炎最后累及全身骨骼关节,强直性脊柱炎与骨科有关系。所以强直性脊柱炎,为多学科疾病,是一种具有遗传性的免疫性的骨内科疾病,在治疗上要从自身免疫调节入手,结合消炎止痛,吸收死骨,早期控制病情,降低强直性脊柱炎的致残率。

  

病理改变[编辑 | 编辑源代码]

AS病理的特征性改变是韧带附着端病(enthesopathy),病变原发部位是韧带和关节囊的附着部,即肌腱端的炎症,导致韧带骨赘(syndesmophyte)形成、椎体方形变、椎骨终板破坏、跟腱炎和其他改变。因为肌腱端至少在生长期代谢活跃部位,是幼年发生AS的一个理要区域,至于为何好发于肌腱端,仍不明了。

病变最初从骶髂关节逐渐发展到骨突关节炎及肋椎关节炎,脊柱的其它关节由上而下相继受累。AS周围关节的滑膜改变为以肉芽肿为特征的滑膜火。滑膜小血管周围有巨噬细胞淋巴细胞浆细胞浸润、滑膜增厚,经数月或数年后,受累滑膜有肉芽组织形成。关节周围软组织有明显的钙化和骨化,韧带附着处均可形成韧带骨赘,不断向纵向延伸,成为两个直接直邻椎体的骨桥,椎旁韧带同椎前韧带钙化,使脊椎呈“竹节状”。

随着病变的进展,关节和关节附近有较显著的骨化倾向。早期韧带、纤维环、椎间盘、骨膜骨小梁血管性和纤维性组织侵犯,被肉芽组织取代,导致整个关节破坏和附近骨质硬化;经过修复后,最终发生关节纤维性强直和骨性强直,椎骨骨质疏松,肌萎缩和胸椎后凸畸形。椎骨软骨终板和椎间盘边缘的炎症,最终引起局部骨化。

心脏病变特征是侵犯主动脉瓣,使主动脉前膜增厚,因纤维化而缩短,但不融合,主动瓣环扩大,有时纤维化可达主动脉基底部下方。偶见心包心肌纤维化组织学可见心外膜血管有慢性炎性细胞浸润和动脉内膜炎;主动脉壁中层弹力组织破坏,代之纤维组织,纤维化组织如侵犯房室束,则引起房室传导阻滞

肺部病变特征是肺组织事斑片状炎症伴圆细胞和成纤维细胞浸润,进而发展至肺泡间纤维化伴玻璃样变。  

检查相关[编辑 | 编辑源代码]

白细胞计数正常或升高,淋巴细胞比例稍加,少数病人有轻度贫血(正细胞低色素性),血沉可增快,但与疾病活动性相关性不大,而C反应蛋白则较有意义。血清白蛋白减少,α1和γ球蛋白增加血清免疫球蛋白IgG、IgA和IgM可增加,血清补体C3和C4常增加。约50%病人碱性磷酸酶升高,血清肌酸磷酸激酶也常升高。血清类风湿因子阴性。虽然90%~95%以上AS病人LHA-B27阳性,但一般不依靠LHA-B27来诊断AS,LHA-B27不作常规检查。诊断主要依靠临床表现和放射线证据。

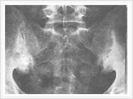
X线检查对AS的诊断有极为重要的意义,约98%~100%病例早期即有骶髂关节的X线改变,是本病诊断的重要依据。

早期X线表现为骶髂关节炎,病变一般在骶髂关节的中下部开始,为两侧性。开始多侵犯髂骨侧,进而侵犯骶骨侧。可见斑点状或块状骨侧明显。继而可侵犯整个关节,边缘呈锯齿状,软骨下有骨硬化骨质增生,关节间隙变窄。最后关节间隙消失,发生骨性强直。骶髂关节炎X线下易用按钮约诊断标准分类5级:0级为正常骶髂关节,Ⅰ级为可疑骶髂关节两侧炎;Ⅱ级为骶髂关节边缘模糊,略有硬化和微小侵蚀病变,关节腔轻度变窄;Ⅲ级为骶髂关节两侧硬化,关节边缘模糊不清,有侵蚀病变伴关节腔消失;Ⅳ级为关节完全融合或强直伴或不伴残存的硬化。

脊柱病变的X线表现,早期为普遍性骨质疏松,椎小关节及椎体骨小梁模糊(脱钙),由于椎间盘纤维环附带部椎骨上角和下的破坏性侵蚀,椎体呈“方形椎”,腰椎的正常前弧度消失而变直,可引起一个或多个椎体压缩性骨折。病变发展至胸椎和颈椎椎间小关节,间盘间隙发生钙化,纤维环和前纵行韧带钙化、骨化、韧带骨赘形成,使相邻椎体连合,形成椎体间骨桥,呈最有特征的“竹节样脊柱”。

原发性AS和继发于炎性肠病、Reiter综合征、牛皮癣关节炎等伴发的脊柱炎,X线表现类似,但后者为非对称性强直。在韧带、肌腱、滑囊附着处可出现骨为和骨膜炎,最多见于跟骨、坐骨结节、髂骨嵴等。其它周围关节亦可发生类似的X线变化。

早期X线检阴性时,可行放射线核素扫描,计算机断层和核磁共振检查,以发现早期对称性骶髂关节病变。但必须指出,一般简便的后前位X线片足可诊断本病。 AS的诊断标准现仍沿用1966年纽约标准,或1984年修订的纽约标准,条件如下:  

纽约标准(1966年)[编辑 | 编辑源代码]

有X片证实的双侧或单侧骶髂关节炎(按前述0-Ⅳ级分级),并分别附加以下临床表现的1条或2条,即,①腰椎在前屈、侧屈和后伸的3个向运动均受限;②腰背痛史或现有症状;③胸廓扩展范围小于2.5cm。根据以上几点,诊断肯定的 AS要求有: X线片证实的Ⅲ-Ⅳ级双侧骶髂关节炎,并附加上述临床表现中的至少1条;或者X线证实的Ⅲ-Ⅳ级单侧骶髂关节炎或Ⅱ级双侧骶髂关节炎,并分别附加上述临床表现的1条或2条。  

修订的纽约标准(1984年)[编辑 | 编辑源代码]

①下腰背痛的病程至少持续3个月,疼痛随活动改善,但休息不减轻;②腰椎在前后和侧屈方向活动受限;③胸廓扩展范围小于同年龄和性别的正常值;④双侧骶髂关节炎Ⅱ-Ⅳ级,或单侧骶髂关节炎Ⅲ-Ⅳ级。如果患者具备④并分别附加①-③条中的任何1条可确诊为AS。从上述2种标准可见,它们均缺乏对早期患者诊断的敏感性。为此,对一些暂时不符合AS诊断标准的患者,如其表现符合欧洲脊柱关节病研究组制订的脊柱关节病初步诊断标准,也可列入此类进行诊断和治疗,以免延误病情。该诊断标准为:炎性脊柱痛或非对称性以下肢关节为主的滑膜炎,并附加以下项目中的任何一项,即:①阳性家族史;②银屑病;③炎性肠病;④关节炎前1个月内的尿道炎宫颈炎急性腹泻;⑤双侧臀部交替疼痛;⑥肌腱末端病;⑦骶髂关节炎。强直性脊柱炎预防保健 特别补充:2009年后HL-B27已经纳入血清阴性脊柱关节病(含强直性脊柱炎)的诊断标准之一。 1.注意防范风寒、潮湿:本病的成因,与风寒湿等外邪入侵有密切的关系,因此平时注意预防范风寒、潮湿等尤为重要,特别是在身体虚弱的时候。当季节变化,气候剧变的时候,要及时增减衣服;夏日酷暑或炎夏分娩,不可挡风而卧;居处潮湿或梅雨季节,晴天宜经常暴晒,以祛潮气,天晴时更宜打开窗户,以通风去湿等等。在日常生活中注意避风、防寒、去湿,截其来路,是预防调养之良策。 2.坚持经常锻炼:坚持经常锻炼可以增强体质,提高御邪能力。因“痹者,闭也”,风寒湿邪内留滞,痹阻气血而成。通过活动肢体,使全身气血流畅,调节体内阴阳平衡,日久可达到增强体质,减少疾病的目的。但锻炼时要注意根据自己的身体状况选择适当的活动方式,切勿一次运动量过大,用力过猛,必须循序渐进,贵在坚持,必要时可请医生或有关人员指导。此外,寒冷季节晨练不宜太早,免受风寒,对疾病不利。 3.保持精神愉快:疾病的发生于人的精神状态有密切的关系,因此,七情内伤可直接致病,亦可以,由七情内伤引起人体阴阳失调、气血亏损、抵抗力减弱,而易为外邪入侵。因此,避免情志过激或闷闷不乐、忧郁寡欢,保持精神愉快带来身体健康,正气内存,病安从来。  

治疗措施[编辑 | 编辑源代码]

1.控制[编辑 | 编辑源代码]

AS的治疗由于病因不明了,尚缺乏要治的方法,亦无阻止本病进展的有效疗法。所幸许多病人骶髂关节炎发展至Ⅱ或Ⅲ级后并不再继续发展,仅少数人可进展至完全性关节强直。

AS治疗的目的的在于控制炎症,减轻或缓解症状,维持正常姿势和最佳功能位置,防止畸形。要达到上述目的,关键在于早期诊断早期治疗,采取综合措施进行治疗,包括教育病人和家属、体疗、理疗、药物和外科治疗等。

⑴该病治疗从教育病人和家属着手,使其了解疾病的性质、大致病程、可能采用的措施以及将来的预后,以增强抗病的信心和耐心,取得他们的理解和密切配合。

⑵注意日常生活中要维持正常姿势和活动能力,如行走、坐位和站立时应挻胸收腹睡觉时不用枕或用薄枕,睡硬木板床,取仰卧位或俯卧位,每天早晚各俯卧半小时;参与所能及的劳动和体育活动;工作时注意姿势,防止脊柱弯曲畸形等。

⑶保持乐观情绪,消除紧张、焦虑抑郁和恐惧的心理;戒烟酒;按时作息,参加医疗体育锻炼。

⑷了解药物作用副作用,学会自行调整药物剂量及处理药物副作用,以利配合治疗,取得更好的效果。   

2.体疗[编辑 | 编辑源代码]

体育疗法对各种慢性疾病均有好处,对AS更为重要。可保持脊柱的生理弯曲,防止畸形;保持胸廓活动度,维持正常的呼吸功能;保持骨密度和强度,防止骨质疏松和肢体废用性肌肉萎缩等,具体可作以下运动。

深呼吸:每天早晨、工作休息时间及睡前均应常规作深呼吸运动。深呼吸可以维持胸廓最大的活动度,保持良好呼吸功能。

⑵颈椎运动:头颈部可作向前、向后、向左、向右转动,以及头部旋转运动,以保持颈椎的正常活动度。

⑶腰椎运动:每天作腰部运动、前屈、后仰、侧弯和左右旋转躯体,使腰部脊柱保持正常的活动度。

⑷肢体运动:可作俯卧撑、斜撑,下肢前屈后伸,扩胸运动及游泳等。游泳既有利于四肢运动,又有助于增加肺功能和使脊柱保持生理曲度,是AS最适合的全身运动。

病人可根据个人情况采取适当的运动方式和运动量,开始运动时可能出现肌肉关节酸痛或不适,但运动后经短时间休息即可恢复。如新的疼痛持续2h以上不能恢复,则表明运动过度,应适当减少运动量或调整运动方式。   

3.物理治疗[编辑 | 编辑源代码]

理疗一般可用热疗,如热水浴、水盆浴或淋浴,矿泉温泉浴等,以增加局部血液循环,使肌肉放松,减轻疼痛,有利于关节活动,保持正常功能,防止畸形。  

4.药物治疗[编辑 | 编辑源代码]

据Gram和Husby 1992年报道[28]治疗AS的药物可分为三类:①控制病情活动,影响病程进展的药物如柳氮磺胺吡啶,甲氨蝶呤,现在最新的还有疗效显著的“生物制剂”(如2007年11月上市的益赛谱——肿瘤坏死因子抗体融合蛋白)。适用于病情活动的AS,伴外周关节炎的AS和新近发现的AS。②非甾体抗炎药 适用于夜间严重疼痛及僵硬病人,可在睡前服用。③镇痛药与肌松药镇痛新、强痛啶肌舒平,常用于长期应用非甾体类抗炎药无效者。

临床常用药物如下:

(1)非甾体类抗炎药(NSAIDs) 有消化止痛、减轻僵硬和肌肉痉挛作用。①保泰松0.1g每日3次口服,过去常用此药,后发现该药浮肿、血尿等副作用,故目前一般不主张使用。②吲哚美辛消炎痛)25~50mg每日~4次口服,为目前常用的首选药物。③其它尚有萘普生0.25g,一日2次口服;布洛芬0.1g,每日3次口服;炎痛喜康20mg每日一次口服等均可选用。④Oxaprozin[29]成人600~1200mg,每日一次,口服,小儿每日每公斤体重10~20mg口服。副作用为胃肠反应、肾脏损害、处长出血时间等。妊娠哺乳期妇女,一般首选布洛芬[22]。

(2)柳氮磺胺吡啶(sulfasalzine,SSZ) SSZ是5-氨基水杨酸(5-ASA)和磺胺吡啶(SP)的偶氮复合物,80年代开始用于治疗AS,剂量由0.25g每日3次开始,每周增加0.25g,至1.0g每日3次维持。药效随服药时间的处长而增加,服药有效率半年为71%,1年为85%,2年为90%。病人症状改善、实验室指标及放射线征象进步或稳定。副作用主要为消化道症状、皮疹、血象及肝功改变等,但均少见。用药期间宜定期检查血象。

(3)甲氨喋呤(methotrexate,MTX) 据报道疗效与SSZ相似,小剂量冲击疗法与每周1次,第一周0.5~5mg,以后每周增加2.5mg,至每周10~15mg维持。口服和静脉用药疗效相似。副作用有胃肠反应、骨髓抑制口腔炎脱发等,用药期间定期查肝功和血象,忌饮酒。

(4)肾上腺皮质激素(CS) 一般情况下不用肾上腺激素治疗AS,但在急性虹膜炎或外周关节炎用NSAIDs治疗无效时,可用CS局部注射或口服。Peters[30]等分别应用甲基泼尼松龙一日mg/次和375mg/次静滴治疗其它药物治疗无效的急性期活性动性AS各17和59例,连用3天,获得较长时间的缓解,高剂量组疗效略好,对控制疼痛改善脊柱活动有明显效果,但两组间无统计学意义。

(5)雷公藤多甙(Trirptrygium wilfordii hook,代号T2) 国内最初用雷公藤酊治疗AS,有消炎止痛作用,每日用12%雷公藤酊15~30ml,分3次饭后服用。病情控制后(约3~6月),改用维持量,每日或隔日服5~10ml。以后用雷公藤的半提纯品多甙片(T2)20mg,每日3次口服,疗效较酊剂好,服用方便。副作用有胃肠反应、白细胞减少月经紊乱精子活力降低等,停药后可恢复。

(6)风湿胶囊 风湿康由洋金花制马钱子西洋参、淫洋藿等中药组成,每粒胶囊含药0.25g,一般每日粒,服用3~6月。近期控制病情10.8%,显效40%,好转44.2%,无效5%,总有效率为95%。减痛效果最明显,有效率96.7%;其次改善脊柱前屈、后伸、侧弯运动,经指地试验、扩胸试验和20m步行时间测定,功能障碍改善率为84.2%;在临床症状好转的同时,血沉、C反应蛋白、贫血均有好转,体重亦有不同程度的增加,但脊柱畸形及X线表现治疗前后改变不明显。副作用有口干、眼花、头晕等。副作用随着服药时间的延长和对药物的适应可逐渐消失,不需处理。

(7)青藤碱商品名正清风痛宁。是毛青藤中提取的一种生物碱,具有镇痛、抗炎和免疫作用。正清风痛宁化学结构类似吗啡,但无成瘾性。可抑制肉芽增生,以利关节功能恢复,且有明显的细胞免疫兴奋和减弱体液免疫反应的作用,这种免疫调节作用与皮质类固醇的作用相同。本品可用于治疗类风湿关炎,也可试用于强直性脊柱炎,对有周围关节肿痛的强直性脊柱炎患者效果较佳。具有缓解症状,改善关节功能的作用。

用法与用量:剂量为20mg/次,一日三次,三天后无不良反应,则可增至40mg/次,一日三次,最大剂量不宜超过60mg/次,一日三次。

副作用:该药的不良反应主要为过敏反应,如皮肤搔痒、皮疹等,并可出现白细胞血小板减少,用药期间宜定期检查血常规血小板。本品应在医生指导下用药;既往有药物过敏史者、过敏性哮喘低血压患者慎用;孕妇或哺乳期妇女慎用。

(8) 帕夫林白芍总苷胶囊。有效成份为芍药苷芍药内酯苷、羟基芍药苷、苯甲酰芍药苷。白芍是我国传统中药,具有扶正袪邪作用。帕夫林能通过抗炎、调节免疫功能治疗类风湿性关节炎、系统性红斑狼疮等自身免疫性疾病,也可试用于强直性脊柱炎。每粒胶囊含白芍总苷300mg。

用法与用量:口服,一次mg(2粒),一日~3次,或尊医嘱。

不良反应:帕夫林口服给药非常安全,对心、肝、肾、脑等重要脏器均无明显毒性作用,可长期服用,亦无致畸、致突变和致癌作用。偶有软便,不需特殊处理,可自行消失。

(9)火把花根片有效成分为生物碱、萜类、内酯、酚酸类等。有祛风除湿、舒筋活络清热解毒等功效。具有明显抑制病理性免疫反应和有抗炎镇痛作用,且承受剂量加大,作用增强。毒性试验表明火把花根片属于低毒药物,对血象、肝肾功能及肝、心、脾、肾、胸腺等脏器无明显影响,长期应用不会导致免疫系统损伤。可适用于类风湿性及风湿性关节炎、系统性红斑狼疮、脉管炎硬皮病等自身免疫性疾病。也可试用于强直性脊柱炎。

用法与用量:口服,成人每次~5片(每片0.18g),每日3次。饭后服用。1~2月为了疗程。可连续服用2~3疗程。或遵医嘱。

不良反应:少数患者服药后有胃脘不适,恶心感,饭后服药可减轻。伴中、重度肾功能不全或拟生育的青年男女慎用,儿童慎用。

风湿康胶囊治疗AS的机制,尚不明确,从治疗后病人血清IgA明显下降看,推测此药对体液免疫有抑制作用。  

5.手术治疗[编辑 | 编辑源代码]

严重脊柱驼背畸形待病情稳定后可作矫正手术,腰椎畸形者可行脊椎截骨术矫正驼背;对颈7胸1截骨术可矫正颈椎严重畸形。Rowed[31]报道21例AS病人因堕落使颈椎损伤,半数经保守治疗预后良好;另一半因颈椎复发性移位或脊椎压迫神经使症状恶化而行减压术和内固定术,亦获得良好效果。髋关节严重屈曲畸形,可行全髋关节转换术或髋关节成形术,但效果不够理想,术后易再强直。

另外,深度X线和224镭放射治疗对早期AS病人减轻症状,改善功能有一定效果,近期缓解率可达80%~96%,但不能阻止病情的进展,且有诱发再生障碍性贫血白血病横断脊髓炎的危险,现已不用。抗疟药、金制剂、青霉胺硫唑嘌呤等对AS无效,现已不用。

对肺部病变主要是对症治疗,积极预防和治疗继发感染,心脏病变加主动脉瓣关闭不全严重,可行主动脉瓣手术,对严重传导阻滞者可安装人工心脏起搏器。  

6.代替医疗[编辑 | 编辑源代码]

80年代之后,利用纯天然锯峰齿鲛,即大青鲨软骨粉来再生人体软骨,从内部恢复关节,彻底治疗强制性脊柱炎,已成为各先进国家的全新尝试。在欧洲,鲨鱼软骨粉的萃取物已经被认定为药品,美国OAM(替代医疗事务局)也把鲨鱼软骨粉当作代替医疗的一环进行研究和普及,而日本则采用锯峰齿鲛软骨粉作为代替医疗的一环运用于强制性脊柱炎的临床,并归纳出最佳服用量为7.5g/天的统计数据,为人类彻底解决强制性脊柱炎带来了新的希望。  

调理保健[编辑 | 编辑源代码]

饮食调理[编辑 | 编辑源代码]

强直性脊柱炎的内因是肾脉督脉两虚,外因为风寒,可用食疗。

(1) 辛热食品:能抗风湿寒邪,如辣椒、葱、花椒、大料、茴香大蒜有杀菌、抗病毒等作用,可预防肠道感染病毒感染。冬季适当服姜汤以湿胃散寒。须视病情而定。

(2) 豆类:大豆黑豆、黄豆等,含有丰富的植物蛋白和微量元素,有促进肌肉、骨骼、关节、肌腱的代谢,帮助修复病损的作用。可以治疗以湿重为主的风湿骨痛,对身体沉重、关节不利、筋脉拘挛或麻木不仁、关节肿痛而重着不适的风湿病,效果较好。黑豆可治疗风湿疼痛,用黑豆炒至半焦加入黄酒,治疗关节酸痛有效,有胃炎者慎用。

(3) 果实食品:栗子有补肾强筋健骨的作用,对筋骨、经络、风湿痹痛、腰膝无力极为有益。强直性脊柱炎是由于肾虚引起的筋骨、肌肉关节的病损。可生食、熟食,久服必强筋、健骨、补肾。将板栗捣烂敷患处可治筋骨肿痛;新鲜栗叶捣烂外敷,也能减轻肌肉、关节、皮肤的炎症。

(4)鲜河虾500克,黄酒500克。

做法:将河虾洗净后浸于黄酒15分钟,捞起,隔水炖服,分次食用,黄酒与河虾可同食。

功效:具有湿肾壮阳舒筋止痛的功效。

青梅有生津止渴、涩肠止痢的作用,对腹泻患者有益,凡风湿骨痛、腰痛、关节痛均可用青梅擦患处,可止痛活血

乌梅是梅的干燥或未成熟的果实,对风湿痛有卓效,乌梅酸干可剑阴,酸归肝经,肝得滋养,对关节、筋骨疼痛、拘挛有缓解作用。

桑椹滋阴补血樱桃也可治风湿病。

以上均无足够临床验证资料,仅供参考。  

康复锻炼[编辑 | 编辑源代码]

强直性脊柱炎是一种原因未明,以中轴关节的慢性炎症为主的全身性疾病,主要累及骶骼关节、髋关节、柱间关节、肋椎关节,以骶骼磁节病变最为常见,另有约1/3患者可见周围关节症状。

其治疗方法主要是,药物治疗、物理疗法、手术疗法等,病情有所好转后应注意康复期的锻炼:

1.日常姿势训练

1)站立:头保持中位,下凳微收,肓下耸不垂自然放松;腹略内收、双脚与肓等宽,踝、膝、髋等关节保持自然位,重心居中不要偏移;

2)坐位:昼坐直角硬木椅,腰背挺直,劳累时可将臀部后靠,腰背紧巾在椅背上休息;

3)卧位:昼睡硬板床,宜仰卧,侧卧轮流交替,避免长时间保持一种姿势,枕头不宜过高或不秀枕,另外每月晨起或睡前可俯卧5分钟。

2.功法锻炼

1)功法1:仰卧双脚并扰,脚尖向上,双手自然放在身体两侧,调抱着呼吸约3分钟,然后先吸气,用意念将气送入下丹田,同时腰部、臀部向上拱起,将劲力集中在腰和肩背部呼气时腰、臀部落下,如此反复数息10次;

2)功法2:双腿并步站立(脚尖脚跟内侧并齐),双手叉腰,以腰为运动点向左、向后、向右,向前转动50次,再反向转动50次;

3)功法3:双手叉腰,向后退走10分钟

以上功法,动作比较和缓,活动度不大。加大活动量的功法可选择易盘经、五禽戏、鹤翔桩或太极拳等。

  

姿态护理[编辑 | 编辑源代码]

强直性脊柱炎患者的姿态护理直接决定着病人的关节功能是否能得到良好的恢复。除了急性期和严重期出现剧烈疼痛外,强直性脊柱炎患者应坚持进行姿态的矫正和关节功能的锻炼。患者在行走和站立时,均应尽力保持正常的姿态,病人应做到坐姿要正,站立要直,切不可为了避免腰背疼痛或疲劳而随弯就弯,怎样舒服怎样做,这样长期下去就可加速脊柱的畸形。

为了保持脊柱及关节的活动功能,病人应经常进行颈部、胸、腰椎各个方向的前屈、后仰、左右转动等活动,为了保持胸廓的活动度,患者应经常进行深呼吸和扩胸运动,为了保持髋关节、膝关节的活动度,防止髋、膝关节的挛缩畸形,应经常进行下蹲等活动。对强直性脊柱炎进行的姿态护理可以有效地预防脊柱的僵直,筋腱挛缩,肌肉萎缩,关节功能丧失等症状的发生。  

其他相关[编辑 | 编辑源代码]

运动疗法[编辑 | 编辑源代码]

注意做矫形体操 在病情许可的情况下,有针对性的矫形体操是预防和矫正脊柱畸形的主要措施。简单易行的是深呼吸运动和扩胸运动。两者都有扩展胸廓,预防肋椎关节强直,增加肺活量的作用,由于胸廓的扩张,还间接起到预防驼背畸形的作用。

(1)深呼吸:每天早晨、工作休息时间及睡前均应常规作深呼吸运动。深呼吸可以维持胸廓最大的活动度,保持良好呼吸功能。

(2)颈椎运动:头颈部可作向前、向后、向左、向右转动,以及头部旋转运动,以保持颈椎的正常活动度。

(3)腰椎运动:每天作腰部运动、前屈、后仰、侧弯和左右旋转躯体,使腰部脊柱保持正常的活动度。

(4)肢体运动:可作俯卧撑、斜撑,下肢前屈后伸,扩胸运动及游泳等。游泳既有利于四肢运动,又有助于增加肺功能和使脊柱保持生理曲度,是最适合的全身运动。但本病患者严禁跳水,以免造成颈椎和颈脊髓损伤

(5)髋膝关节:运动同类风湿性关节炎一样。

(6)两脚分开与肩宽,两手叉腰,抬头挺胸,目视前方,做胸式呼吸

(7)体位同前,吸气时两手变拳。经体侧上举与肩平,同时挺胸,肩部向脊柱收拢,头后仰,足尖踮起,呼气时还原。

(8)体位向前,吸气时两上肢伸直经体侧上举;呼气时双腿伸直,上体前屈,手触地面。

(9)距墙角一米处,两手分别撑在两侧墙上,与肩平齐,吸气时身体前倾,腰部前挺,脚跟不要抬起,呼气时还原。

(10)距墙一臂之远站立,双臂伸直,撑墙,略比肩宽,吸气时屈肘,前臂触墙,胸部前挺;呼气时还原。

(11)双手高举抓单杠悬吊,用自身重量进行牵引,也可以行引体向上,吸气时上,呼气时还原。

(12)其他锻炼方法可以参考骨质疏松的运动方法三。

除此以外,太极拳的大云手有助于增加脊柱的旋转活动;背伸肌锻炼有助于预防驼背畸形。

以上的锻炼方法,病人可以从中选择几节,一般一天锻炼1-2次,每个动作重复8-10次。

(13)生物反馈疗法在强直性脊柱炎的应用:强直性脊柱炎容易造成颈椎、腰椎和髋关节的强直,所以要加强这些部位的锻炼。以下三个部位可以一个月测量一次,病人可以亲自看到自己身体功能在综合治疗后正在逐步改善,从而增加他们与疾病斗争的信心。

1)颈椎 测量颈椎的活动度,包括前屈、后伸、侧屈、旋转。

2) 腰椎较为方便的是测量指地距,较为精确的是改良Schober实验。①指地距,指的是立位,双膝关节伸直位,双足并拢,身体尽量做屈曲(弯腰)的动作,测量指尖到地面的距离;②改良Schober实验,在双髂后上棘连线的中点与其上10cm处一点相连作一垂直线(即在皮带与脊柱的交点作一点,从此点沿脊柱向上 10cm处作一点),测量前屈时两点的延伸距离,正常人可达16-22cm,而重型强直性脊柱炎仅增加1-2cm。

3)髋关节 虽然髋关节有多种运动方式,但对于病人来说屈曲功能最为重要。保持了髋关节的屈曲功能,对于强直性脊柱炎的病人来说就是保持了生活自理能力。简单的方法是测量臀地距,指的是病人作下蹲动作,肛门到地面的垂直距离。

4) 劳逸适度过度劳累,促使骨关节破坏,易形成残废;过度强调休息,易使骨关节丧失活动能力,也将造成残废。根据临床经验,在疼痛能够忍受的情况下,注意关节的功能活动,这样既有利于疾病的恢复,又有利于保持关节功能,防止或减少残废的发生。患者一般不要全休,应坚持做一些一般性的工作。同时,避免风寒湿邪的侵袭、避免感冒外伤,避免长期从事弯腰的工作,适当理疗、休养。  

中医解说[编辑 | 编辑源代码]

强直性脊柱炎属于中医的"肾痹"、“痿痹”“骨痹”、“督脉病”。病因以“肾虚督空”“感受外邪”“淤血阻滞经络之----督脉”为主。 骨痹一名始见于《黄帝内经》,属于“五体痹”之一。《素问-气穴论》曰:“积寒留舍,荣卫不居,卷肉缩筋,肋肘不得伸,内为骨痹,外为不仁,命曰不足------”。简单说来是由于寒湿外袭,湿热浸淫,跌打损伤瘀血阻络,气血运行不畅,或先天禀赋不足,肾精亏虚,骨脉失养所致。

导致病因归结如下:

(1)风湿寒邪外袭:由于久居湿冷之地,或冒雨涉水,劳汗当风,衣着湿冷,或气候剧变,冷热交错而致风湿寒之邪侵袭人体,注于经络,留于关节,气血痹阻而致本病。

(2)湿热浸淫:岁气湿热行令,或长夏之际,湿热交蒸或寒湿蕴积日久,郁而化热,湿热之邪浸淫经脉,痹阻气血,筋骨失养而致本病。

(3)瘀血阻络:跌仆挫伤,损及腰背,瘀血内停,阻滞经脉,气血运行不畅,筋骨失养而致。

(4)肾精亏虚:先天禀赋不足,加之劳累太过,或久病体虚,或年老体衰,或房室不节以致肾精亏损,筋骨失养而发本病。

此病一年四季均可发病,发于中枢关节者以男性青年较多,发于周围关节者以女性青年较多。 根据古书对骨痹的记载和现代临床综合分析,骨痹的病变位置在足少阴、足太阳、督脉等经络循行。分上至项背,下达髋膝。病症特点为隐秘发病,病程长,时有急性发作。腰、尻、臀、髋僵硬,仰卧不便,酸疼、钝痛、刺痛。急性发作时疼痛剧烈。可谓“腰痛如折”;腰尻疼痛上连颈项、肩背,下引臀、股、膝、跟腱等。急性活动有发热外寒内热,舌干咽燥,膝关节红舯热痛。甚至积液。肩背、腰尻、双足畏风怕凉,疼痛热敷或者运动后缓解等症状。  

婚育注意事项[编辑 | 编辑源代码]

多种病因所致的疾病,遗传只是其中的一个病因,并不是影响本病的惟一因素。也就是说如果您是强直性脊柱炎病人,您的孩子患本病的可能性只有20%~30%。一些强直性脊柱炎病人,即使HLA—B2,抗原阳性者,其子女也并不都是阳性,即使其子女是阳性也不一定患病,因为正常人中约有5%HLA—B2,抗原可为阳性。

有报道,治疗强直性脊柱炎药物中的柳氮磺胺吡啶、甲氨蝶呤、雷公藤对性腺有一定影响,但均是可逆的。还有报道,甲氨蝶呤有致胎儿畸形的副作用,但多是用量较大后出现,而在治疗强直性脊柱炎时,全疗程的总量最多也不超过1000毫克。但从优生优育出发,在准备生育时应提前半年或更长时间停药,一般不影响生育质量。非甾体抗炎镇痛药如服用量过大、时间过久,因其可抑制前列腺素合成,故对性功能有时有些不良影响,但是可逆的,调整或停药后可恢复正常。

患病后不能每天只是思考疾病会不会发展,会不会致畸形,以后怎么办,这种情绪十分不利于疾病的康复,应该正确地安排生活、学习、治疗、锻炼的时间,并以良好的情绪对待疾病。

再者,抑郁的心情也可导致全身各器官循环减慢,抵抗力下降,容易引起其他疾病。通过排解心理障碍,对自身疾病的正确评价,病人的态度由消极变为积极,病人的情绪由悲观变为乐观,配合治疗上由被动变为主动,使强直性脊柱炎病人有一个健康的心态,配合外部治疗使病理上的躯体也走向健康。  

强直性脊柱炎的护理[编辑 | 编辑源代码]

心理护理:本病是隐袭性慢性进行性的关节病。教育病人认识本病,了解防治方法,按要求进行治疗与锻炼,掌握自我护理的方法。这对于减少关节功能障碍、延缓病程直至参加正常的工作和学习尤为重要。

活动基本原则:早期进行适当活动,可减少脊柱及关节畸形的程度。每日进行脊柱及髋关节的屈曲与伸展锻炼2次,每次活动量以不引起第二天关节症状加重为限。活动前应先按摩松解椎旁肌肉,可减轻疼痛,防止肌肉损伤。同时,水疗、超短波等物理治疗方法,可起到解除肌肉痉挛、改善血液循环及消炎止痛的作用。

延缓思想感畸形的护理:维持直立姿势和正常身高。睡低枕以减少颈椎前弯。睡硬板床。平时注意减少脊椎的负重,避免长期弯腰活动。过于肥胖的病人,应减轻体重,从而减轻关节的负担。

预防感染:由于胸廓受累,易发生肺部感染,应鼓励病人每日进行扩胸运动及深呼吸。对生活不能自理病人,给予翻身拍背,鼓励咳嗽。同时,注意补充营养,增强机体抵抗力。并发眼色素膜炎时,定时冲洗眼滞留的分泌物,保持结膜囊清洁,眼部不宜遮盖,以免发生感染。  

参看[编辑 | 编辑源代码]