医学影像学/胸膜病变

来自医学百科

1.胸腔积液 多种疾病可累及胸膜产生胸腔积液(pleural effusion),病因不同,液体的性质也不同。胸膜炎可产生渗出液化脓性炎症则为脓液;心肾疾病、充血性心力衰竭血浆蛋白过低,可产生漏出液胸部外伤胸膜恶性肿瘤可为血性积液;颈胸部手术伤及淋巴引流通道、恶性肿瘤侵及胸导管左锁骨下静脉,均可产生乳糜性积液。X线检查能明确积液的存在,但难以区别液体的性质。胸腔积液因液量的多少和所在部位的不同,而有不同的X线表现。

(1)游离性胸腔积液:依积液量而表现不同:

少量积液:液体首先聚积于后肋膈角,故站立后前位检查难以发现,需使患者向一侧倾斜达60°或取患侧在下的水平投照,才能发现液体沿胸壁内缘形成窄带状均匀致密影。液体量在300ml以上时,侧肋膈角变平、变钝。透视下液体可随呼吸体位改变而移动,借以同轻微的胸膜肥厚、粘连鉴别。

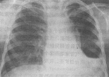
中量积液:液体量较多时,由于液体的重力作用而积聚于胸腔下部的肺四周,表现为下肺野均匀致密,肋膈角完全消失。膈影不清(图3-1-14)。由液体形成的致密影的上缘呈外高内低的斜形弧线。此弧线的形成是由于胸腔内的负压状态、液体的重力、肺组织的弹性、液体的表面张力等作用所致。实际上液体的上缘是等高,但液体的厚度是上薄下厚,液体包绕肺的周围,当摄影时,胸腔外侧处于切线位,该部液体厚度最大,因而形成外侧和下部密度高,内侧和上部密度低。

大量积液:患侧肺野均匀致密,有时仅肺尖部透明。纵隔常向健侧移位,肋间隙增宽

右侧胸腔中量积液


图3-1-14 右侧胸腔中量积液

右下肺野均匀致密,肋膈角与膈影不能分辨,

上缘模糊不清,心脏左移

(2)局限性胸腔积液:包裹性积液:胸膜炎时,脏、壁层胸膜发生粘连,使积液局限于胸腔的某一部位,为包裹性积液(encapsulated effusion)。好发在侧后胸壁,偶发于前胸壁及肺尖,也可发生于纵隔旁,发生于侧后胸壁者,切线位片表现为自胸壁向肺野突出的半圆形或梭形致密影,密度均匀,边缘光滑锐利,其上、下缘与胸壁的夹角常为钝角(图3-1-15)。发生于纵隔旁,积液可局限于上或下部。少量呈位于纵隔旁的三角形致密影,基底在下。液体量较多时,外缘呈弧形突出,侧位表现纵隔密度增高,但无清楚边界。

包裹性积液


图3-1-15 包裹性积液

叶间积液:叶间积液(interlobar effusion)发生在水平裂斜裂。后者可局限于斜裂的上部或下部。后前位上X线诊断较难,侧位则易于识别。少量叶间积液侧位表现为叶间裂部位的梭形致密影,密度均匀,梭形影的两尖端与叶间裂相连。液体量多时,可呈球形。游离性积液进入斜裂时,常在斜裂下部,表现为尖端向上的三角形致密影。

肺下积液:聚积在肺底与膈之间的积液为肺下积液(infrapulmonary effusion)。多为单侧,以右侧多见。因液体将肺下缘向上推移,故X线表现为肺下野密度增高,膈影不见。而上缘呈上突的圆顶状,易误为膈升高。但肺下积液有以下特点:“膈圆顶”最高点偏外侧1/3,肋膈角变深、变锐;透视下见肝下界位置正常;向患倾斜600时,可见游离积液的征象;仰卧位透视,由于淮体流至胸腔背部,表现为侧肺野密度均匀增高,同时可见患侧膈项位置正常,并未升高。少数肺底胸膜粘连,而液体不能流动。可作USG以确定诊断。

2.气胸液气胸

(1)气胸;空气进入胸腔则形成气胸(pneumothorax)。进入胸腔的气体改变了胸腔的负压状态,肺可部分或完全被压缩。

空气进入胸腔的途径有二:①壁层胸膜破裂:主要由胸壁穿通伤、胸部手术及胸腔穿剌引起。为治疗或诊断目的,将气体注入胸腔形成的气胸称人工气胸。②脏层胸膜破裂:肺部病变引起脏层胸膜破裂并没有肺或支气管病史,由于突然用力,剧烈咳嗽使胸内压突然升高,而致胸膜破裂使空气进入胸腔形成气胸。这样的气胸称自发性气胸。常见于严重的肺气肿、胸膜下肺大泡、表浅的结核性空洞及肺脓肿等。如胸膜裂口呈活瓣作用,气体只进不出或进多出少,则形成张力性气胸,使纵隔明显移向健侧。

气胸的X线表现是由于胸腔内气体将肺压缩,使被压缩肺与胸壁间出现透明的含气区,其中不见肺纹理(图3-1-16)。肺被压缩的程度与胸腔内气体多少成正比。气体首先自外围将肺向肺门方向压缩,被压缩肺的边缘,呈纤细的线状致密影,呼吸时清楚。大量气胸可将肺完全压缩,肺门区出现密度均匀的软组织影。纵隔可向健侧移位,患侧膈下降,肋间隙增宽。张力性气胸时,可发生纵隔疝。健侧肺可有代偿性肺气肿。发生胸膜粘连,可见条状粘连带影。多处粘连,可将气胸分隔为多房局限性气胸。

右侧气胸伴右下胸膜粘连


图3-1-16 右侧气胸伴右下胸膜粘连

右肺萎陷,向肺门收缩,密度高,压缩肺与胸壁间

透明,其中未见肺纹理,肺底有粘连带与膈相连

(2)液气胸:胸腔内液体与气体并存,为液气胸(hydropneumothorax)。可因胸腔积液并发支气管胸膜瘘外伤、手术后以及胸腔穿剌时漏进气体而引起,也可先有气胸而后出现液体或气体与液体同时出现,明显的液气胸立位检查时可表现为横贯胸腔的液面,液面上方为空气及压缩的肺(图3-1-17)。气体较少时,则只见液面而不易看到气体。如有胸膜粘连,可形成多房性液气胸。

液气胸


图3-1-17 液气胸

左肺萎陷,靠近纵隔,肺外有透明区,其中未见肺纹

理,下部致密,其上缘平直

3.胸膜肥厚、粘连、钙化 由于胸膜发生炎症引起纤维素沉着、肉芽组织增生或外伤出血机化,均可导致胸膜肥厚、粘连和钙化(pleural thickening,adhesion andcalcification)。胸膜肥厚与粘连常同时存在。轻度胸膜肥厚、粘连多见于肋膈角处,X线表现为肋膈角变浅、变平,呼吸时膈运动受限,膈顶变平直而不呈圆顶状。膈胸膜的粘连有时表现为膈上缘的幕状突起。广泛胸膜肥厚时,可显示为肺野密度增高,沿胸廓内缘出现带状致密影,肋间隙变窄,甚至引起纵隔向患侧移位。正常叶间胸膜有时可显影,呈发丝状,但如厚度超过1mm,则应考虑有胸膜肥厚。

胸膜钙化多见于结核性胸膜炎脓胸及出血机化。也见于尘肺。X线表现为片状、不规则点状或条状高密度影。有时包绕于肺表面呈壳状,与骨性胸壁间有一透明隙相隔。

广泛的壁层胸膜肥厚可使肋间隙变窄、胸廓塌陷并影响呼吸功能。