肺脓肿
肺脓肿(lung abscess)是指微生物引起的肺实质坏死性病变,形成包含坏死物或液化坏死物的脓腔,常表现为气液平面。临床特征为高热、咳嗽、大量脓臭痰。胸部X线显示一个或多个含气液平面的空洞,若多个直径小于2cm的空洞则称为坏死性肺炎。本病男多于女,自抗菌药物广泛使用以来,发病率明显降低。
病因[编辑 | 编辑源代码]
急性肺脓肿的感染细菌,为一般上呼吸道、口腔的常存菌。常为混合感染,包括需氧和厌氧的革兰氏阳性与阴性球菌与杆菌。其中最常见的病原菌为葡萄球菌、链球菌、肺炎球菌、梭形菌和螺旋体等。厌氧菌对肺部化脓性感染的重要性,由于培养技术的改进,近年来才被重视。Gorbach和Bartlett等1974年报告,吸入性肺炎与肺脓肿的厌氧菌感染约占85%~90%;Bartlett等报告45例急性肺脓肿分离出114株厌氧菌的资料,纯属厌氧菌感染者占58%,需氧菌和厌氧菌混合感染者占42%。较重要的厌氧菌有胨链球菌、胨球菌、核粒梭形杆菌、类杆菌属、瓦容球菌、螺旋体等。除上述厌氧菌外,还有需氧或兼性厌氧菌存在。近年国外报道嗜肺军团杆菌所致肺炎,约有25%形成脓肿。
肺脓肿的发病原理与病因有密切关系,可分以下几种。
(一)吸入性肺脓肿病原体经口、鼻咽腔吸入,为肺脓肿发病的最主要原因。扁桃体炎、鼻窦炎、齿槽脓溢或龄齿等脓性分泌物;口腔、鼻、咽部手术后的血块;齿垢或呕吐物等,在神志昏迷,全身麻醉等情况下,经气管被吸入肺内,造成细支气管阻塞,病原菌即可繁殖致病。此外,有一些患者未能发现明显诱因,国内和国外报告的病例分别为29.3%和23%。可能由于受寒、极度疲劳等诱因的影响,全身免疫状态与呼吸道防御功能减低,在深睡时吸入口腔的污染分泌物而发病。本型常为单发型。其发生与解剖结构及体位有关。由于右总支气管较徒直,且管径较粗,吸入性分泌物易吸入右肺,故右肺发病多于左肺。在仰卧时,好发于上叶后段或下叶背段;在坐位时,好发于下叶后基底段。右侧位时,好发于右上叶前段和后段形成的腋亚段。
(二)血源性肺脓肿皮肤创伤、感染、疖痈、骨髓炎、产后盆腔感染、亚急性细菌性心内膜炎等所致的败血症和脓毒血症,病原菌(多数为金葡菌)、脓毒栓子,经小循环带至肺,引起小血管栓塞、肺组织发炎和坏死,形成脓肿。病变常为多发性,无一定分布,常发生于两肺的边缘部。
(三)继发性肺脓肿多继发于其他疾病,如金黄色葡萄球菌和肺炎杆菌性肺炎、空洞性肺结核、支气管扩张、支气管囊肿和支气管癌等继发感染,可引起肺脓肿。肺部邻近器官化脓性病变或外伤感染、膈下脓肿、肾周围脓肿、脊柱旁脓肿、食管穿孔等,穿破至肺亦可形成脓肿。
(四)阿米巴肺脓肿多继发于阿米巴肝脓肿。由于肝脓肿好发于肝右叶的顶部,易穿破膈肌至右肺下叶,形成阿米巴肺脓肿。
病理变化[编辑 | 编辑源代码]
早期细支气管阻塞,肺组织发炎,小血管栓塞,肺组织化脓、坏死,终至形成脓肿。病变可向周围扩展,甚至超越叶间裂侵犯邻接的肺段。菌栓使局部组织缺血,助长厌氧菌感染,加重组织坏死。液化的脓液,积聚在脓腔内引起张力增高,最后破溃到支气管内,咳出大量脓痰。若空气进入脓腔,脓肿内出现液平面。有时炎症向周围肺组织扩展,可形成一致数个脓腔。若脓肿靠近胸膜,可发生局限性纤维蛋白性胸膜炎,引起胸膜粘连。位于肺脏边缘部的张力性脓肿,若破溃到胸膜腔,则可形成脓气胸。若支气管引流下畅,坏死组织残留在脓腔内,炎症持续存在,则转为慢性肺脓肿。脓腔周围纤维组织增生,脓腔壁增厚,周围的细支气管受累,致变形或扩张。
临床表现[编辑 | 编辑源代码]
急性吸入性肺脓肿起病急骤,患者畏寒、发热,体温可高达39~40℃。伴咳嗽、咳粘液痰或粘液脓痰。炎症波及局部胸膜可引起胸痛。病变范围较大,可出现气急。此外,还有精神不振、乏力、胃纳差。约10~14天后,咳嗽加剧,脓肿破溃于支气管,咳出大量脓臭痰,每日可达300~500ml,体温旋即下降。由于病原菌多为厌氧菌,故痰带腥臭味。有时痰中带血或中等量咯血。
慢性肺脓肿患者有慢性咳嗽、咳脓痰、反复咯血、继发感染和不规则发热等,常呈贫血、消瘦慢性消耗病态。
血源性肺脓肿多先有原发病灶引起的畏寒、高热等全身脓毒血症的症状。经数日至两周才出现肺部症状,如咳嗽、咳痰等。通常痰量不多,极少咯血。
体征:与肺脓肿的大小和部位有关。病变较小或位于肺脏的深部,可无异常体征。病变较大,脓肿周围有大量炎症,叩诊呈浊音或实音,听诊呼吸音减低,有时可闻湿罗音。血源性肺脓肿体征大多阴性。慢性肺脓肿患者患侧胸廓略塌陷,叩诊浊音,呼吸音减低。可有杵状指(趾)。
辅助检查[编辑 | 编辑源代码]
1.血液检查 继发感染时可有白细胞计数增高。病程长或咯血严重者可有贫血、血沉增快等。
2.痰液检查 痰液涂片可发现革兰阳性及阴性细菌,培养可检出致病菌,痰培养有助于敏感抗生索的选择。
3.影像学检查 对支气管并张症患者具有重要意义c早期轻症患者胸片示一侧或双侧的下肺纹理增多、增粗;典型的x线表现为粗乱肺纹理中有多个不规则环状透光阴影或沿支气管分布的卷发状阴影,感染时阴影内可出现液平。支气管碘泊造影可确诊支气管扩张的存在,明确病变的部位、性质、范围,对决定手本切除及切除的范围有肯定意义。
4纤维支气管镜检查 可以明确出血、扩张或阻塞部位,还可抽取分泌物行细菌学和细胞学检查,并可通过纤维支气管镜选择支气管造影。
5.肺功能检查 主要表现为阻塞性通气障碍。晚期可有动脉血氧分压降低和动脉血氧饱和度下降。
诊断[编辑 | 编辑源代码]
依据口腔手术、昏迷呕吐、异物吸入,急性发作的畏寒、高热、咳嗽和咳大量脓臭痰等病史,结合白细胞总数和中性粒细胞显著增高,肺野大片浓密炎性阴影中有脓腔及液平面的X线征象,可作出诊断。血、痰培养,包括厌氧菌培养,分离细菌,有助于作出病原诊断。有皮肤创伤感染,疖、痈等化脓性病灶,发热不退并有咳嗽、咳痰等症状,胸部X线检查示有两肺多发性小脓肿,可诊断为血源性肺脓肿。
(一)周围血象血液白细胞计数及中性粒细胞均显著增加,总数可达2万~3万/mm3,中性粒细胞在80%~90%以上。慢性肺脓肿患者的白细胞无明显改变,但可有轻度贫血。
(二)痰和血的病原体检查痰液涂片革兰氏染色检查、痰液培养、包括厌氧菌培养和细菌药物敏感试验,有助于确定病原体和选择有效的抗生素治疗。血源性肺脓肿患者的血培养可发现致病菌。
X线检查[编辑 | 编辑源代码]
肺脓肿的X线表现根据类型、病期、支气管的引流是否通畅以及有无胸膜并发症而有所不同。
吸入性肺脓肿在早期化脓性炎症阶段,其典型的X线征象为大片浓密模糊炎性浸润阴影,边缘不清,分布在一个或数个肺段,与细菌性肺炎相似。脓肿形成后,大片浓密炎性阴影中出现圆形透亮区及液平面。在消散期,脓腔周围炎症逐渐吸收,脓腔缩小而至消失,最后残留少许纤维条索阴影。慢性肺脓肿脓腔壁增厚,内壁不规则,周围炎症略消散,但不完全,伴纤维组织显著增生,并有程度不等的肺叶收缩,胸膜增厚。纵隔向患侧移位,其他健肺发生代偿性肺气肿。
血源性肺脓肿在一肺或两肺边缘部有多发的散在小片状炎症阴影或边缘较整齐的球形病灶,其中可见脓腔及液平面。炎症吸收后可呈现局灶性纤维化或小气囊。
并发脓胸者,患侧胸部呈大片浓密阴影;若伴发气胸则可见液平面。
侧位X线检查,可明确脓肿在肺脏中的部位及其范围大小,有助于作体位引流或外科治疗。
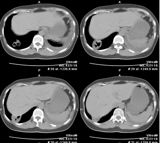
胸部CT扫描多呈类圆形的厚壁脓腔,脓腔内可有液平面出现,脓腔内壁常表现为不规则状,周围有模糊炎性影。
纤维支气管镜检查[编辑 | 编辑源代码]
有助发现病因,若为支气管肿瘤,可摘取作活检。如见到异物可摘出,使引流恢复通畅。亦可借助纤维支气管镜防污染毛刷采样细菌培养以及吸引脓液和病变部注入抗生素,促进支气管引流和脓腔的愈合。
鉴别诊断[编辑 | 编辑源代码]
(一)细菌性肺炎:早期肺脓肿与细菌性肺炎在症状及X线表现上很相似。细菌性肺炎中肺炎球菌肺炎最常见,常有口唇疱疹、铁锈色痰而无大量黄脓痰。胸部X线片示肺叶或段实变或呈片状淡薄炎性病变,边缘模糊不清,但无脓腔形成。其他有化脓性倾向的葡萄球菌、肺炎杆菌肺炎等。痰或血的细菌分离可作出鉴别。
(二)空洞性肺结核:发病缓慢,病程长,常伴有结核毒性症状,如午后低热、乏力、盗汗、长期咳嗽、咯血等。胸部X线片示空洞壁较厚,其周围可见结核浸润病灶,或伴有斑点、结节状病变,空洞内一般无液平面,有时伴有同侧或对侧的结核播散病灶。痰中可找到结核杆菌。继发感染时,亦可有多量黄脓痰,应结合过去史,在治疗继发感染的同时,反复查痰可确诊。
(三)支气管肺癌:肿瘤阻塞支气管引起远端肺部阻塞性炎症,呈肺叶、段分布。癌灶坏死液化形成癌性空洞。发病较慢,常无或仅有低度毒性症状。胸部X线片示空洞常呈偏心、壁较厚、内壁凹凸不平,一般无液平面,空洞周围无炎症反应。由于癌肿经常发生转移,故常见到肺门淋巴结大。通过X线体层摄片、胸部CT扫描、痰脱落细胞检查和纤维支气管镜检查可确诊。
(四)肺囊肿:继发感染肺囊肿呈圆形、腔壁薄而光滑,常伴有液平面,周围无炎性反应。患者常无明显的毒性症状或咳嗽。若有感染前的X线片相比较,则更易鉴别。
治疗[编辑 | 编辑源代码]
上呼吸道、口腔的感染灶必须加以根治。口腔手术时,应将分泌物尽量吸出。昏迷或全身麻醉患者,应加强护理,预防肺部感染。早期和彻底治疗是根治肺脓肿的关键。
治疗原则为抗炎和引流。
抗生素治疗[编辑 | 编辑源代码]
急性肺脓肿的感染细菌包括绝大多数的厌氧菌都对青霉素敏感,疗效较佳,故最常用。剂量根据病情,严重者静脉滴注240万~1000万u/d,一般可用160万~240万u,每日分~3次肌内注射。在有效抗生素治疗下,体温约3~10天可下降至正常。一般急性肺脓肿经青霉素治疗均可获痊愈。脆性类杆菌对青霉素不敏感,可用林可霉素0.5g,每日~4次口服;或0.6g每日~3次肌内注射;病情严重者可用1.8g加于5%葡萄糖溶液500ml内静脉滴注,每日一次。或氯林可霉素0.15~0.3g,每日4次口服。或甲硝唑0.4g,每日3次口服。嗜肺军团杆菌所致的肺脓肿,红霉素治疗有良效。抗生素疗程一般为8~12周左右,或直至临床症状完全消失,X线片显示脓腔及炎性病变完全消散,仅残留条索状纤维阴影为止。在全身用药的基础上,加用局部治疗,如环甲膜穿刺、鼻导管气管内或纤维支气管镜滴药,常用青霉素80万u(稀释2~5ml),滴药后按脓肿部位采取适当体位,静卧1小时。
血源性肺脓肿为脓毒血症的并发症,应按脓毒血症治疗。
痰液引流[编辑 | 编辑源代码]
祛痰药如氯化铵0.3g、沐舒痰30mg、化痰片500mg、祛痰药10ml,每日3次口服,可使痰液易咳出。痰浓稠者,可用气道湿化如蒸气吸入、超声雾化吸入等以利痰液的引流。患者一般情况较好,发热不高者,体位引流可助脓液的排出。使脓肿部位处于高位,在患部轻拍,2~3次/d,每次~15分钟。有明显痰液阻塞征象,可经纤维支气管镜冲洗并吸引。
外科治疗[编辑 | 编辑源代码]
支气管阻塞疑为支气管癌者;慢性肺脓肿经内科治疗3个月,脓腔仍不缩小,感染不能控制;或并发支气管扩张、脓胸、支气管胸膜瘘;大咯血有危及生命之虞时,需作外科治疗。
并发症[编辑 | 编辑源代码]
预防[编辑 | 编辑源代码]
肺脓肿,是由多种化脓菌混合感染引起的肺实质化脓性炎症。含病原菌的口、鼻、咽腔分泌物吸入肺内是发病的主要原因。因此,预防本病的关键在于积极去除和治疗口腔、鼻、咽腔的慢性感染源,如龋齿,扁桃体炎,鼻旁窦炎,齿槽溢脓等。避免过量使用镇静、催眠、麻醉药及酗酒。对上呼吸道手术及昏迷、全身麻醉者应加强护理,预防肺部感染。治疗应早期使用强有力的抗生素,痰液引流亦是提高疗效的重要措施。本病经积极有效治疗后可获痊愈。对慢性肺脓肿,尤其是抗生素治疗3个月后,仍有厚壁空洞或反复大咯血者,可考虑手术切除治疗。
肺脓肿
参看[编辑 | 编辑源代码]
- 《医学影像学》- 肺脓肿
- 《胸外科学》- 肺脓肿
- 《自我调养巧治病》- 肺脓肿
- 《老年百病防治》- 肺脓肿
- 《家庭医学百科·医疗康复篇》- 肺脓肿
- 《呼吸病学》- 肺脓肿
- 《默克家庭诊疗手册》- 肺脓肿
- 细菌性肺炎
- 肺结核
- 空洞型肺结核
- 肺囊肿
- 肺炎
参考文献[编辑 | 编辑源代码]
- 《内科学》人民卫生出版社第七版医学教材.陆再英、钟南山主编
- 《协和呼吸病学》第2版.蔡柏蔷、李龙芸主编

