颅咽管瘤

来自医学百科

颅咽管瘤(craniopharyngioma)起源于垂体胚胎发生过程中残存的扁平上皮细胞,是一种常见的先天性颅内良性肿瘤,大多位于蝶鞍之上,少数在鞍内。颅咽管瘤的异名很多,与起始部位和生长有关,如鞍上囊肿、颅颊囊肿瘤、垂体管肿瘤、造釉细胞瘤上皮囊肿、釉质瘤等。颅咽管瘤起病多在儿童及青少年。其主要临床特点有下丘脑-垂体功能紊乱颅内压增高视力视野障碍、尿崩症以及神经和精神症状。CT扫描可明确诊断。治疗主要为手术切除肿瘤。

颅咽管瘤是一种良性先天性肿瘤,从胚胎期颅咽管的残余组

颅咽管瘤症状

织发生。发病率颅咽管瘤约占颅内肿瘤的4%。但在儿童却是最常见的先天性肿瘤,占鞍区肿瘤的第一位。本病可以发生在任何年龄,但70%是发生在15岁以下的儿童和少年。颅咽管瘤亦称垂体管瘤,是胚胎期颅咽管的残余组织发生的良性先天性肿瘤,约占颅内肿瘤的4%,占鞍区肿瘤的第一位,发病高峰为15岁或13岁,女性稍多于男性。

预防:早发现,早诊断,早治疗。  

疾病病因[编辑 | 编辑源代码]

本病为先天性疾病,生长缓慢。正常胚胎发育时,Rathke囊与原始口腔相连

颅咽管瘤

接的细长管道即颅咽管,此管随胚胎发育而逐渐消失。Rathke囊前壁的残余部分,前叶结节部,退化的颅咽管的残存鳞状上皮细胞都可能成为发生颅咽管瘤的起源。因此颅咽管瘤可发生于咽部、蝶窦、鞍内、鞍上及第三脑室,有的可侵入颅后窝

大多数颅咽管瘤起源于颅颊管靠近漏斗部的残余鳞状上皮细胞,故肿瘤位于鞍上,形成所谓“鞍上型”颅咽管瘤;少数肿瘤起源于中间部的残余细胞,则肿瘤位于鞍内,形成所谓“鞍内型”颅咽管瘤。部分颅咽管瘤在鞍上和鞍内都有,则肿瘤呈哑铃形。  

疾病描述[编辑 | 编辑源代码]

为先天性肿瘤,约占颅内肿瘤的5%。多见于儿童及少年,男性多于女性。肿瘤大多位于鞍上区,可向第三脑室、下丘脑、脚间池、鞍旁、两侧颞叶额叶底及鞍内等

疾病发病原因

方向发展,压迫视神经视交叉,阻塞脑脊液循环而导致脑积水。症状体征

主要表现有视力障碍视野缺损尿崩肥胖、发育延迟等。成年男性有性功能障碍,女性有月经不调。晚期可有颅内压增高。  

症状体征[编辑 | 编辑源代码]

颅咽管瘤可见于任何年龄,但以6~14岁最多见。大多数颅咽管瘤呈间歇性

颅咽管瘤发病机理

生长,故总体上看肿瘤生长较慢,其症状发展也慢;少数颅咽管瘤生长快速,其病情进展亦较快。其临床表现包括以下几个方面:肿瘤占位效应及阻塞室间孔引起的高颅压表现;肿瘤压迫视交叉、视神经引起的视力障碍;肿瘤压迫下丘脑、垂体引起的下丘脑-垂体功能障碍;肿瘤侵及其他脑组织引起的神经、精神症状。主要有以下5方面:

1.颅内压增高表现颅咽管瘤的体积较大,作为颅内占位性病变,它可直接通过占位效应引起颅内压升高。颅咽管瘤还可压迫第三脑室,阻塞室间孔而使颅内压升高,这可能为其引起高颅压最主要的原因。颅内压增高症状在儿童多见,最常见的表现为头痛,可轻可重,多于清晨发生,伴有呕吐耳鸣眩晕畏光视盘水肿、展神经麻痹等,也可有发热颜面潮红、出汗等自主神经功能紊乱的表现。头痛多位于眶后,也可为弥漫性并向后颈、背部放射。在儿童骨缝未闭前可见骨缝分开、头围增大,叩击呈破罐声,头皮静脉怒张等。引起颅内高压者大多为较大的囊肿,肿瘤压迫第三脑室,阻塞室间孔还可引起阻塞性脑积水。由于囊肿内压力可自行改变,有时使颅内高压症状出现自动缓解。偶尔瘤内囊肿破裂,囊液溢出渗入蛛网膜下腔,可引起化学性脑膜炎蛛网膜炎,表现为突然出现的剧烈头痛、呕吐,伴脑膜刺激症状,如颈项抵抗、Kening征阳性,脑脊液中白细胞增多,有发热等。晚期颅内高压加重可致昏迷

2.视神经受压表现表现为视力、视野改变及眼底变化等。鞍上型肿瘤因其生长方向无一定规律致压迫部位不同,使视野缺损变异很大,可为象限性缺损、偏盲暗点等。肿瘤压迫视交叉可引起视野缺损,常见的为两颞侧偏盲,如见双颞侧下象限性偏盲,提示压迫由上向下,两侧受损程度可不一致。如肿瘤只压迫一侧视束,则产生同向偏盲。如果肿瘤严重压迫视交叉,可引起原发性视神经萎缩;如肿瘤侵入第三脑室,引起脑积水和颅内压增高,则可产生继发性视神经萎缩。眼运动神经可受累,产生复视等症状。鞍内型肿瘤由下向上压迫视交叉,产生视野缺损与垂体瘤相同,视力减退与视神经萎缩有关。有时可因视交叉处出血梗死、血循环障碍而致突然失明。有原发性视神经萎缩者一般很少再发生视盘水肿。肿瘤向一侧生长时可产生Foster-Kennedy综合征。儿童对早期视野缺损多不引起注意,直至视力严重障碍时才被发觉。

3.下丘脑症状颅咽管瘤压迫下丘脑及垂体还可引起多种内分泌代谢紊乱和下丘脑功能障碍:肿瘤破坏视上核神经垂体,可引起尿崩症,其发生率约20%;肿瘤侵及下丘脑口渴中枢可引起病人烦渴多饮口渴感丧失;肿瘤侵及饱食中枢,可引起多食或厌食;肿瘤侵及体温调节中枢,可出现发热;肿瘤损及垂体门脉系统或直接侵及腺垂体可引起腺垂体功能减退,肿瘤破坏下丘脑TRH、CRH、GnRH神经元可分别引起TSHACTH促性腺激素的不足;肿瘤损及下丘脑抑制性神经元,则可引起垂体功能亢进,常见的表现有性早熟肢端肥大症皮肤色素加深皮质醇增多症等;部分病人有肥胖、嗜睡精神失常血管舒缩功能紊乱等症状。

(1)肥胖性生殖无能综合征:下丘脑的结节部管理性功能生殖活动,并通过垂体前叶的促性腺素来完成;漏斗部及灰结节一带又与脂肪代谢有关。上述部位的受压和破坏,临床可产生肥胖、儿童性器官不发育、成人性欲消失、妇女停经泌乳障碍第二性征消失等。

(2)体温调节失常:下丘脑后部受损临床多表现为体温较低(35℃~36℃),少数病人可有寒战现象;下丘脑前部受影响可致中枢性高热(39℃~40℃)。

(3)尿崩症:表现为尿量增多,每天可达数千毫升甚至10000ml以上,因而大量饮水,儿童夜间易溺床。尿崩症原因为肿瘤损伤视上核、室旁核、下丘脑-垂体束或神经垂体引起抗利尿激素(ADH)分泌减少或缺乏,但多尿与ACTH的正常分泌有关,如垂体前叶同时受损,ACTH分泌减少,则也就不致产生尿崩。有时因下丘脑渴感中枢同时破坏,则可产生尿崩症伴渴感减退综合征,病人虽有尿崩、血浆高渗透状态,但无口渴感。在禁饮时尿渗透压不上升或上升轻微,血容量减少,高血钠症。病人可产生头痛、心动过速烦躁神志模糊谵妄甚至昏迷等,有时可产生发作性低血压

(4)嗜睡:见于晚期病例,轻者尚可唤醒,重者终日沉睡。

(5)精神症状:如健忘注意力不集中、虚构等,与下丘脑-边缘系统或下丘脑额叶联系损伤有关,成人较多见。

(6)贪食或拒食症:下丘脑腹内侧核的饱食中枢破坏可有贪食症(病人肥胖),腹外侧核中的嗜食中枢破坏可有厌食或拒食症(病人消瘦)。临床较少见到。

(7)高泌乳素(PRL)血症:少数病例肿瘤影响下丘脑或垂体柄,致泌乳素抑制因子(PIF)分泌减少,垂体前叶PRL细胞分泌增加,临床可产生溢乳-闭经综合征。

(8)促垂体激素分泌丧失:下丘脑受影响可导致GHRH、TRH、CRH分泌丧失,临床表现为影响生长及甲状腺肾上腺皮质功能障碍。

4.垂体功能障碍症状腺垂体功能减退较垂体功能亢进常见,尤以LH/FSHGH缺乏较多见。儿童患者约50%有生长延迟,约10%的患儿出现明显的矮小症伴性发育不全。成年患者GH缺乏的表现不突出,但有性功能减退的在30%以上。TSH不足引起的继发性甲状腺功能减退约见于1/4的病人,ACTH不足引起的继发性肾上腺皮质功能减退亦不少见。

儿童病人垂体功能不足的早期表现为体格发育迟缓、身体矮小、瘦弱、易乏力怠倦、活动减少、皮肤光滑苍白、面色发黄,并有皱纹,貌似老年。牙齿及骨骼停止发育骨骼不联合或推迟联合,性器官呈婴儿型,无第二性征,亦有表现为类无睾症者。少数可有怕冷、轻度黏液水肿血压偏低,甚至呈Simmond恶病质者。成人女性有月经失调或停经、不育早衰现象。男性出现性欲减退毛发脱落、血压偏低、新陈代谢低下(可达到35%)等。

5.邻近症状肿瘤可向四周生长,如向两侧生长,侵入颞叶,可引起颞叶癫痫。肿瘤向下扩展,侵及脑脚,可产生痉挛性偏瘫,甚至出现去大脑强直状态。部分病人可出现精神失常,表现为记忆力减退甚至丧失、情感淡漠,严重者神志模糊或痴呆。如向鞍旁生长者可产生海绵窦综合征,引起Ⅲ、Ⅳ、Ⅵ对脑神经障碍等;向蝶窦、筛窦生长者可致鼻出血脑脊液鼻漏等;向颅前窝生长者可产生精神症状,如记忆力减退、定向力差、大小便不能自理,以及癫痫嗅觉障碍等;向颅中窝生长者可产生颞叶癫痫和幻嗅、幻味等精神症状;少数病人,肿瘤可向后生长而产生脑干症状,甚至长到颅后窝引起小脑症状等。少数病人嗅神经面神经也可受累,表现为嗅觉丧失和面瘫

以上各种症状在儿童及青年病人与成人病人的发生频率略有不同,前者首发症状以颅内高压多见,后者以视神经压迫症状多见,所有病人均有可能产生内分泌改变,但成人发现较早。  

临床表现[编辑 | 编辑源代码]

1. 颅内压增高症状,一般是因肿瘤向鞍上发展累及第三脑室前半部。闭塞室间孔导致脑积水所致。

2. 视力视野障碍,肿瘤位于鞍上压迫视神经、视交叉、视束所致。

3. 垂体功能低下,肿瘤压迫垂体前叶导致生长激素及促性腺激素分泌不足所表现的生长发育障碍,成人可有性功能减退,闭经等。

4. 下丘脑损害的表现:肿瘤向鞍上发展下丘脑受压可表现为体温偏低、嗜睡、尿崩症及肥胖性生殖无能综合症。  

病理生理[编辑 | 编辑源代码]

1.发病机制有关颅咽管瘤的组织发生,目前有两种学说比较普遍被人们接受。

(1)先天性剩余学说:这是被人们比较广泛接受的组织发生学说。Erdheim最早观察到正常垂体的结节部有残存的鳞状上皮细胞,认为颅咽管瘤起源于这些残余的上皮细胞。在胚胎时期的第2周,原始的口腔顶向上突起形成一个深的盲袋,称为Rathke袋,随着进一步发育,Rathke袋的下方变窄而呈细管状,即称之为颅咽管或垂体管。在正常情况下,胚胎7~8周颅咽管即逐渐消失,在发育过程中常有上皮细胞小巢遗留,即成为颅咽管瘤的组织来源。

(2)鳞状上皮化生学说:1955年Luse和Kernohan观察了1364例尸检的垂体腺,结果发现仅24%有鳞状上皮细胞巢,其出现率随年龄的增长而增高,20岁以下者鳞状上皮细胞巢出现率很低,因此,他们认为鳞状上皮细胞巢是垂体细胞化生的产物,而不是胚胎残留。另外,还有人观察到垂体腺细胞和鳞状上皮细胞的混合,并且见到二者之间有过度,这一发现也支持化生学说。

2.病理改变颅咽管瘤体积一般较大,肿瘤形态常呈球形、不规则形,或结节状扩张生长,无明显包膜,界限清楚,范围大小差异明显,大多为囊性多房状或部分囊性,少数为实质性,只含少数小囊腔。瘤体灰红色,囊液可为黄色、棕色、褐色或无色。如囊肿破裂,囊液溢出,可引起脑膜炎和蛛网膜炎。囊性者多位于鞍上,囊性部分常处于实质部的上方,囊壁表面光滑,厚薄不等,薄者可如半透明状,上有多处灰白色或黄褐色钙化点或钙化斑,并可骨化呈蛋壳样,囊内容为退变液化的上皮细胞碎屑(角蛋白样物),囊液呈机油状或金黄色液体,内含闪烁漂浮的胆固醇结晶,一般10~30ml,多者可达100ml以上。肿瘤实质部常位于后下方,呈结节状,内含钙化灶,有时致密坚硬,常与颅内重要血管、垂体柄、视路及第三脑室前部等粘连较紧并压迫上述结构。肿瘤亦可引起脑组织的胶质反应带形成假包膜,有时可呈乳头状突入丘脑下部,手术牵拉肿瘤时可能造成丘脑下部损伤。实质性肿瘤多位于鞍内或第三脑室内,体积较囊性者为小。

肿瘤组织形态可分为牙釉质型和鳞形乳头型两种。牙釉质型多见,主要发生于儿童。此型最外层为柱状上皮细胞,向中心逐渐移行为外层呈栅栏状,内层细胞排列疏松的星状细胞。瘤组织常有退行性变、角化及小囊肿,囊内脱落细胞吸收钙后形成很多散在钙化灶为颅咽管瘤的显著特征,几乎所有颅咽管瘤在镜下都可见到钙化灶,大多数病例在放射检查时可发现钙化灶。颅咽管瘤常伸出乳头状突起进入邻近脑组织(特别是下丘脑),使得肿瘤与这些脑组织紧密相连,故手术时常不易完全剥去。鳞形乳头型由分化良好的扁平上皮细胞组成,其中隔有丰富的纤维血管基质,细胞被膜自然裂开或由于病变裂开而形成突出的假乳头状,一般无釉质型的角化珠、钙化、炎性反应及胆固醇沉积,此型多为实体性肿瘤。偶有报道颅咽管瘤生长迅速,呈侵袭性复发,但多数学者并不认为是恶性变,一些电镜下有间变表现的肿瘤,在组织培养中虽有成囊的倾向,但几乎无有丝分裂的活性。

颅咽管瘤的血供因发生部位不同而有差异,鞍上肿瘤的血供主要来自于Wi1lis环前循环的小动脉,也有认为有直接来自颈内动脉后交通动脉的供血。但颅咽管瘤不接受来自大脑后动脉(或基底动脉)的供血,除非肿瘤接近该血管供血的第三脑室底部。鞍内肿瘤的血供来自海绵窦内颈内动脉的小穿透动脉。肿瘤向四周生长可压迫视神经交叉脑垂体、第三脑室底部、丘脑下部、甚至阻塞一侧或两侧的室间孔而引起阻塞性脑积水。鞍内型肿瘤大多为实质性,体积较小,早期限于鞍内可直接压迫垂体,以后向上生长可影响视神经、视交叉及第三脑室。  

诊断检查[编辑 | 编辑源代码]

诊断[编辑 | 编辑源代码]

任何年龄的病人如出现高颅压、神经眼科症状及下丘脑-垂体功能紊

诊断检查

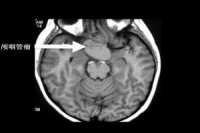
乱均应考虑颅咽管瘤的可能。根据好发部位、临床表现及辅助检查诊断颅咽管瘤并不困难。凡青少年儿童出现内分泌功能障碍,如发育矮小、多饮多尿、肥胖、生殖器发育不良等,均应首先考虑本病;若有鞍上或鞍内钙化斑,更有助于诊断。若成人出现性功能障碍或头痛、视力视野障碍,也应考虑本病。少数临床表现不典型者、临床症状轻微者诊断不易,关键是要提高对本病的警惕性。通过实验室检查、CT和MRI对诊断具有重要的意义,对疑似病例应及时做此种检查,以免延误诊断。

实验室检查:普通实验室检查无特殊。内分泌功能检查多数病人可出现糖耐量曲线低平或下降延迟,血T3、T4、FSH、LH、GH等各种激素下降。少数表现为腺垂体功能亢进,大多数表现为程度不等的腺垂体及相应靶腺功能减退。

1.生长激素(GH)测定和GH兴奋试验颅咽管瘤患儿血清GH值降低,且对胰岛素低血糖精氨酸左旋多巴等兴奋试验,无明显升高反应,占66.7%。

2.促性腺激素(GnH)尿促性素(FSH)、黄体生成素(LH)测定和GnH兴奋试验。颅咽管瘤患者血清FSH、LH水平降低,且对促性腺激素释放激素(常用的为

3.泌乳素(PRL)测定患者血清PRL水平可升高,此可能由于肿瘤阻断泌乳素释放抑制激素(PIH)进入垂体,使PRL分泌和释放增加,可致溢乳、闭经。占50%。

4.促腺上腺皮质激素ACTH、促甲状腺激素TSH测定当肿瘤严重压迫垂体组织而萎缩时,患者血清ACTH、TSH均降低。

5.抗利尿激素(ADH)测定颅咽管瘤患者血清ADH常降低。

6.腰椎穿刺有颅内压增高者,可出现腰穿测压升高,脑脊液化验多无明显变化。  

其他辅助检查[编辑 | 编辑源代码]

1.颅骨X线平片80%~90%的病人头颅X线平片有异常改变。儿童头颅平片有异常

鉴别相似疾病

改变的占94%,成人占60%。主要异常表现为以下三个面。

(1)肿瘤钙化:颅咽管瘤的钙化有各种形态,为颅咽管瘤的显著特征,鞍上型和鞍内型肿瘤均有钙化,而其他鞍部病变极少出现钙化(钙化发生率多在1%以下)。钙化在儿童中比成人中常见,儿童颅咽管瘤钙化发生率70%~85%,2岁以下者占20%,2岁以上儿童钙化者占80%,15岁以上者占50%,成人约35%左右。儿童鞍内钙化时,应高度考虑为颅咽管瘤。钙化灶可大可小,可分散,也可集中在一起,有时可呈弯曲细线状。钙化常出现在中线区,偶尔较大的病变可以只限于周围部分钙化。60%~81%的病人出现肿瘤钙化斑,呈单个或散在状,亦可融合成蛋壳状。

(2)蝶鞍改变:儿童患者因TSH和GH缺乏,骨X线片可显示骨龄减小。绝大多数颅咽管瘤位于蝶鞍的上部,可向下压迫蝶鞍,故在头颅平片上可发现蝶鞍变扁平,床突受损。少数颅咽管瘤位于鞍内,在头颅平片上可见蝶鞍扩大。实际上任何类型的蝶鞍改变都可以见于颅咽管瘤,可以是典型的鞍上肿瘤改变,也可以是鞍内肿瘤的改变。35%病人蝶鞍呈盆形或球形扩大或破坏,后床突鞍背可削尖、脱钙、消失。蝶鞍有明显的改变时,常提示有巨大的病变,反之则不一定。

(3)颅内压增高征象:60%病人在头颅X线平片上可见颅内压增高的征象,表现为鞍背脱钙,颅骨内板脑回压迹明显、颅底变平等表现,小儿可有颅骨骨缝分离等。

2.CT扫描颅脑CT扫描显示为鞍区肿瘤改变,非增强扫描者实质性肿瘤表现为高密度或等密度影像,钙化斑为高密度,囊性者因瘤内含胆固醇而呈低密度像,CT值为-40~10Hu,囊壁为等密度。病变边界清楚,呈圆形、卵圆形或分叶状,两侧侧脑室司扩大。强化扫描时约2/3的病例可有不同程度的增强,CT值增加12~14Hu,囊性颅咽管瘤呈环状强化或多环状强化而中心低密度区无强化,少数颅咽管瘤不强化。一般具有钙化、囊腔及强化后增强三项表现的鞍区肿瘤。  

鉴别诊断[编辑 | 编辑源代码]

以高颅压为主要表现的颅咽管瘤需与其他颅内占位性病变鉴别;以视力、视野改变的需与其他鞍部病变如垂体腺瘤视神经胶质瘤、鞍区脑膜瘤颈内动脉瘤及胚组织瘤等相鉴别,因

药物治疗

为这些鞍部病变亦可损及视交叉、视神经及视束而引起类似症状;以腺垂体功能减退为主要表现的需与其他引起腺垂体功能减退的疾病相鉴别。

1.垂体腺瘤颅咽管瘤应首先与垂体腺瘤相鉴别,因为两者均可出现内分泌及视力障碍,临床表现相似,有时实质性颅咽管瘤鞍内型在CT上也难以与垂体腺瘤相区别。垂体腺瘤占鞍区肿瘤的第一位,多见于20~50岁成人,以视力、视野障碍为主要表现,多为双颞侧偏盲,眼底几乎均为原发性视神经乳头萎缩。垂体前叶功能低下为主,而无生长发育迟缓,一般不产生颅内压增高。蝶鞍多呈球形扩大而无钙化。CT扫描表现为等密度或略高密度肿块,强化扫描可见均匀增强。

2.鞍结节脑膜瘤除了垂体腺瘤及颅咽管瘤,鞍区肿瘤即属鞍结节脑膜瘤常见,居第三位。25~50岁为高发年龄。早期一般无内分泌障碍,可有视力障碍及头痛。晚期可出现视野障碍及眼底原发性视神经乳头萎缩。蝶鞍改变不明显,有的可见鞍结节增生或破坏,钙化少见。CT扫描呈略高或等密度肿块,肿瘤呈均匀明显强化。

3.鞍区生殖细胞瘤即异位松果体瘤,占第四位,70%病人年龄分布在7~20岁。多有内分泌障碍,但以尿崩症为突出症状,可伴有性早熟,亦可有视力、视野改变。蝶鞍正常。

4.视交叉胶质瘤多发生在7~20岁,内分泌症状少见,多以视力改变为主,表现为单眼突出、视力障碍、头痛等。视神经孔多扩大,无钙化。CT扫描为低密度肿块,一般无强化或轻度强化。

5.鞍区表皮样囊肿很少见,绝大多数发病年龄在23~37岁间,以视力、视野障碍为主要表现,一般无内分泌障碍,颅内压增高症状也很少发生。蝶鞍正常、无钙化,CT扫描示鞍区低密度病灶,CT值多为负值,不强化。

6.脊索瘤多发生在35岁左右,以多条脑神经损伤为主要表现,常有钙化,蝶鞍部及斜坡部有明显骨质破坏。CT显示为不规则略高密度肿块,其中有钙化点,多数不发生强化,少数可有均匀轻度强化。

7.鞍区动脉瘤罕见,多见于中年人,以突然发病、头痛、动眼神经麻痹为特征,蝶鞍一般无改变,脑血管造影可确诊。术中穿刺为鲜血,肿物不塌陷。

8.第三脑室前部胶质瘤多发生在成年人,一般无内分泌症状,以颅内压增高为主要表现。蝶鞍一般无改变,肿瘤很少有钙化,CT扫描可以鉴别。

9.视交叉蛛网膜炎多见于成人,以视力、视野改变为主要表现,视野改变一般无规律,呈不规则变化,视野缩小,一般无内分泌障碍及颅内压增高。蝶鞍正常,CT扫描无鞍区占位性病变。

10.原发性空蝶鞍很少见,中年发病,以视力、视野障碍、头痛为主要表现,有时出现内分泌症状,临床上有时很难与颅咽管瘤相鉴别,CT扫描显示鞍内为空腔。

11.鞍区蛛网膜囊肿罕见,以小儿多见,亦可见于成人,主要症状为脑积水引起的颅内高压,可有视力、视野改变,少数病人有内分泌症状,蝶鞍扩大或双鞍底,CT扫描见脑脊液密度的圆形低密度区。颅咽管瘤与上述诸疾病的鉴别主要依靠以下2点:上述诸疾病除引起与颅咽管瘤类似的表现外,还有其他不符合颅咽管瘤的表现;上述诸疾病和颅咽管瘤在影像学上表现不同。一般来说,通过CT和MRI检查,结合临床表现,绝大多数病例可得明确诊断。极少数病例可能需要依赖手术标本病理检查始能确诊。  

治疗方法[编辑 | 编辑源代码]

方法[编辑 | 编辑源代码]

1.手术切除:可行全切或次全切,但肿瘤与颈内动脉、视神经等周围组织紧密相连且大的瘤体对周围组织的侵润,其效果往往不能令人满意,复发率高,且易产生下丘脑损伤引起尿崩症,体温失调,无菌性脑膜炎。手术后症状改善亦不理想。

2. 头部伽玛刀治疗:伽玛刀治疗颅咽管瘤目前技术很成熟,因为伽玛刀治疗的精确性,所以很少能伤害到肿瘤周边的正常组织。对于有囊性变的肿瘤,可以在伽玛刀治疗后对囊液进行穿刺。

3.中医治疗:抗瘤正脑系列的配伍应用,适用于未行手术或手术部分切除,术后复发,X-刀、γ-刀,放化疗后患者用药3个月左右可消除症状,使瘤体缩小或消失,手术用药可消除残瘤,预防复发,临床应用多年来疗效确切。  

方案[编辑 | 编辑源代码]

1.手术治疗外科手术为颅咽管瘤的首选治疗方法。手术治疗的目的是通过切除肿瘤达到解除肿瘤对视神经交叉及其他神经组织的压迫,解除颅内压增高,对下丘脑-垂体功能障碍则较难恢复。对于实质性肿瘤,手术可切除瘤体;对于囊性肿瘤,手术可放去囊液,从而缓解肿瘤的压迫症状。由于颅咽管瘤为良性肿瘤,除部分与视交叉、灰结节、垂体柄、下丘脑、第三脑室底等某处粘连外,大多数与周围组织结构有胶质反应边界或蛛网膜分界,因此原则上应力争做到肿瘤全切除,尤其对儿童患者,以防止复发。小的颅咽管瘤特别是鞍内型肿瘤一般采取经蝶术式,大瘤宜采取经颅术式。一般来说,成功的手术可有效缓解视交叉受压引起的视力、视野改变以及高颅压引起的头痛等症状,还能使腺垂体功能得到恢复。不过,很多鞍上型颅咽管瘤与周围脑组织(特别是下丘脑)紧密相连,增加了手术的难度,对这些病人并不强求完全切除肿瘤,可采取部分切除,部分切除的缺点是术后复发率很高。根据肿瘤生长部位、大小、形状、钙化程度、囊肿部分的位置,以及与周围组织的关系和容易接近脑脊液通路等因素,手术需选择不同的入路或方式,并各自有其优缺点。  

额底入路[编辑 | 编辑源代码]

可暴露的主要结构有视神经、视交叉、颈内动脉、大脑前动脉、垂体柄等。适用于视交叉后置型,鞍内向鞍上生长较大肿瘤,或鞍上视交叉前上生长的脑室外型肿瘤。该入路又可进一步分为几种不同的术式:如通过视交叉下术式,或若为视交叉前置,切除鞍结节及蝶骨平板到达视神经之间术式或打开终板术式,以及从颈内动脉与视神经或视束之间到达肿瘤术式。  

翼点入路[编辑 | 编辑源代码]

与颞底入路近似,但路径最短,可直达鞍上区。可暴露同侧颈内动脉、大脑前动脉、视神经及视束、视交叉下以及后方、垂体柄、第三脑室底、大脑脚间窝以及上斜坡等处,适用于鞍内向鞍上一侧生长或鞍上视交叉下及视交叉后脚间池的脑室外型肿瘤。该入路目前应用最为广泛,是手术切除颅咽管瘤的主要方法。  

终板入路[编辑 | 编辑源代码]

通过单侧额下入路、翼点入路和双额纵裂入路均可到达视交叉后并打开终板,暴露扩展至第三脑室外的肿瘤。故该入路适用于视交叉前置型,鞍上视交叉后生长的脑室内外型肿瘤。  

胼胝体或侧脑室入路[编辑 | 编辑源代码]

若肿瘤长入第三脑室,可经胼胝体入路(侧脑室扩大不显著者)或经侧脑室入路(室间孔阻塞引起脑积水者)。有下列几种方式进入第三脑室并暴露肿瘤:①分离单侧穹隆;②分离室间孔旁的一处静脉;③经脉络丛下进入;④分离大脑内静脉。  

经蝶入路[编辑 | 编辑源代码]

完全位于鞍内或鞍内向鞍上轻度生长或向蝶窦生长的肿瘤,可采用经蝶入路。  

其他入路及方式[编辑 | 编辑源代码]

为全部切除肿瘤,有时手术要分期进行,如先经颅切除鞍上部分肿瘤,再择期经蝶切除鞍内部分肿瘤,或为切除巨大肿瘤而采取两种以上入路的联合入路。一般说来,在手术入路选择中,中轴外入路或单侧入路比经中轴入路或双侧入路更可取。为达到肿瘤所在部位,应尽可能避免切除有功能的组织。手术应采用显微技术,注意区分和保护蛛网膜的层次及界面,这样有利于安全地切除肿瘤。暴露肿瘤后通常先行肿瘤穿刺抽取囊液,创造手术分离肿瘤的空间,并使包膜与蛛网膜分离,再行肿瘤包膜内切除,待瘤体缩小后依次电凝和分离肿瘤供应血管。术中注意保护供应视交叉及视束的位于正中隆起周围的吻合血管,肿瘤后部及向上长至第三脑室的肿瘤部分几乎没有大的动脉供血,粘连也不紧密,但在分离基底动脉及大脑后动脉处的肿瘤时要十分小心,因为这里的粘连通常较为紧密。钙化往往位于肿瘤底部,特别常在视交叉及视神经下方,需先行粉碎后再行切除。有时这部分肿瘤钙化与神经、血管、垂体柄等粘连紧密,切除困难。长向第三脑室底部的肿瘤常使局部形成胶质反应层,分离囊壁应在此层内进行,若第三脑室已变薄而呈一层胶质层(含神经核团的较厚部分已向上方推移),该层可以打开。术野内见到的肿瘤包膜均应尽可能分块切除,但粘连较紧者,不强求切除,以免损伤下丘脑等重要神经组织和血管。手术要求打通脑脊液循环,难以畅通者应行分流术。  

相关因素[编辑 | 编辑源代码]

手术能否做到全切除与下列因素有关:

①年龄大小,儿童病人的肿瘤与周围粘连较少,较易切除,一般年龄越小,越易作全切除,并发症亦越少。成人颅咽管瘤多与周围组织(垂体、下丘脑、颈内动脉、颅底动脉环、视神经交叉及视束等)粘连甚紧,肿瘤深埋于灰结节部,因而全切除常使术后并发症多,死亡率高。②初次手术与复发手术,第一次手术较复发病人再次手术容易,肿瘤全切除的机会较多,死亡率亦较低。③临床有明显垂体、下丘脑功能障碍者,只适于作部分切除。④肿瘤位置,鞍内型及视交叉前型较易作全切除,对视交叉后型及脑室型则应根据囊壁与灰结节、下丘脑等处粘连情况选作全切除或部分切除。有些病例手术虽作全切除,甚至术后CT扫描复查正常者,仍可能有残留较多瘤细胞而复发。15%~30%的患者在术前即有脑积水,若症状仅由此而引起,应先行分流术。若患者出现意识障碍、下丘脑症状严重、不能耐受开颅手术,可先行立体定向囊腔穿刺抽去囊液,以减轻肿瘤的局部压。  

手术前后护理工作[编辑 | 编辑源代码]

术前护理[编辑 | 编辑源代码]

1 心理护理 颅咽管瘤多发于儿童及青年,他们的心理承受能力差,一旦被确诊,心理负担很重,易产生恐惧、悲观心理。另外,开颅术具有一定的危险性,病人往往感到不安、害怕和烦躁,影响休息和睡眠,甚至拒绝手术。为此护士要耐心解答病人的各种疑问,解除病人的思想顾虑,并介绍成功病例,树立患者战胜疾病的信心。

2 视力视野的评估 颅咽管瘤因直接压迫视神经、视交叉及视束,有70~80%的病人出现视力、视野障碍。护士可通过粗测初步了解病人的视力、视野情况,具体方法:让病人平视前方,用手指在上、下、左、右四个位等距离活动,检查患者视野情况。在病人前方的不同距离(如1 m、2 m、3 m等处)用手指数评估视力,记录后与术后视力进行比较。

3 下丘脑损害的观察 颅咽管瘤向鞍上发展增大至第三脑室底部,下丘脑受压,其结果可出现尿崩症、高热、昏迷等症状,以尿崩症多见,记录病人术前3日尿量,为术后观察尿崩症提供数字依据。  

术后护理[编辑 | 编辑源代码]

1 下丘脑损害的观察 由于颅咽管瘤手术对下丘脑有不同程度的损伤,易造成尿崩症及水电解质紊乱。准确记录单位时间的尿量变化,观察尿液颜色,必要时测尿比重。遵医瞩定时抽取血标本,进行血生化的检查。当每小时尿量小于250ml时,可暂时不做处理,继续进行观察。当每小时尿量在350~450 m1,血电解质正常时,根据病人年龄及体重不同,使用垂体后叶素2~6 U。当每小时尿量为450~550ml时,根据血电解质情况,给予补液。若血钠大于145 mmol/L时,神志清楚的患者可口服白开水进行补液,以促进血钠的排出及防止水分的丢失;不能进食的患者经留置胃管注入白开水。患者血钠小于135 mmol/L时,给予口服补液盐生理盐水

2 神志的评估 术后颅内血肿、电解质紊乱引起昏迷、体内激素水平低下是颅咽管瘤意识改变的主要原因。意识变化突然,并伴有血压升高脉搏增快、瞳孔不等大时,首先考虑颅内压的改变,提醒医生行CT检查。意识障碍为进行性的,已有电解质的改变,立即留取血标本急查血生化。若血生化正常,病人有乏力等临床症状时,可能是激素补充不足或激素减量过快,造成激素水平低下。总之,当患者出现意识障碍时,护士应根据多方面的数据来评估其原因,并及时报告医生,积极配合抢救。

3 视力、视野的观察 术前已对病人的视力视野的情况有所记录,手术以后要对视力视野再进行评估,以掌握手术后的颅内变化,一般在病人术后精神状况好时检查,如果视力视野比术前有所下降,通常为手术损害所致;如果发生突然性的变化,考虑颅内是否出血,及时通知医生、做出处理。

4 瞳孔、生命体征的观察 瞳孔的变化往往早于生命体征的变化,所以术后一定要加强对双侧瞳孔大小、形态、对光反应的观察,如有异常及时报告医生处理。给予持续心电监护,每15~30 min记录一次,直至病情平稳。血压逐渐升高而形成高血压,常提示颅内高压;脉搏慢而有力,提示颅内压有增高趋势,快而无力表示有效血容量不足;呼吸频率不规则,深浅不一提示呼吸中枢受损;体温升高,提示有中枢性高热或感染性高热或体温调节中枢功能障碍,如体温低、四肢厥冷,说明有休克的可能。

5 体位及引流管的护理 病人意识清醒,血压平稳,采取头部抬高15~30度斜坡卧位,以利血液回流,降低颅内压,保持引流管畅通,病人头部做适当限制,在翻身、治疗等损伤操作时,动作轻柔、缓慢、角度小,不可牵拉引流管,防止引流管拔脱。随时检查引流管是否受压、扭曲或成角,发现问题及时处理。每日在无菌操作下更换引流瓶和手术部位敷料,注意观察引流液的量、颜色及性状。  

易误诊疾病[编辑 | 编辑源代码]

颅咽管瘤与垂体瘤相混淆,可生长在鞍内或鞍旁或鞍内外同时生长。典型的颅咽管瘤与垂体瘤不难鉴别,多在儿童或青春前期发病,垂体内分泌功能低下,发育停 止,呈侏儒型。蝶鞍可正常或扩大,有时后床突破坏,附近骨质侵蚀,鞍区常有钙化斑,肿瘤常呈囊性,有时囊壁呈蛋壳样钙化,肿瘤内囊液为绿色液体,有时稠如 机油,内含胆固醇结晶。垂体瘤成人多见,内分泌改变呈现特征性表现,多有视力视野改变,蝶鞍扩大,肿瘤呈实质性、钙化较少见。成人颅咽管瘤多为实质性,视 力视野缺损,内分泌功能减退,难与垂体瘤鉴别,需病理火箭方能确诊。

并发症[编辑 | 编辑源代码]

颅咽管瘤生长缓慢,病程较长,主要损害视丘下部及周围的结构,引起内分泌功能紊乱,视力、视野损害和颅内压增高。治疗以手术为主。常见术后并发症如下:

颅咽管瘤并发疾病

1.中枢性高热患者高热持续不退,呈昏迷状态,预后较差,通常予以对症处理。原因可能是:①颅咽管瘤切除时下丘脑功能受损,引起体温调节功能障碍而致高热;②囊性肿瘤内的囊液刺激脑膜及下丘脑产生无菌性脑膜炎;③手术所致血性脑脊液刺激引起发热。

术后严密观察热型及持续时间,区别中枢性高热与肺部、泌尿系感染所致高热。发热患者慎用冬眠药物,以防引起意识障碍。术后给予头枕冰袋、冰帽或全身冰毯,持续肛温监测,体温迅速控制在38.5℃以下。为手术时下丘脑损伤所致。

2.意识障碍主要是丘脑下部受损或颅内压增高引起。颅内压增高原因:①术后血块阻塞导水管致脑积水;②手术止血不彻底引起硬膜下血肿或硬膜外血肿;③手术刺激或电解质紊乱引起继发性脑水肿。护士应严密观察患者神志及瞳孔的变化,尤其术后72h内要观察患者有无恶心、呕吐及伤口张力增加、颈强直等症状,保持引流管畅通,注意观察引流液颜色及量。对有意识障碍者,采用Glasgow昏迷计分法评价意识程度。及时发现、及时正确处理。

3.尿崩症在肿瘤全切除或根治性次全切除的病人几乎不可避免地发生该并发症,为手术时损伤垂体柄所致。垂体柄受损后,ADH的释放是三时相的。最初,垂体柄受损后ADH释放减少致尿崩;之后神经垂体轴突末梢变性释放出超生理量的ADH,这一释放过程常见于垂体柄损伤后48~96h,如果此时给予患者长效(油剂)抗利尿制剂(通常给短效后叶加压素),就可能导致内源性的ADH释放而引起肾功能下降;当变性的神经末梢释放的激素耗竭后,将再次发生尿崩。一般尿崩症持续数天至2周可恢复,但亦有少数可为永久性尿崩症。处理如下:

(1)重点观察患者多饮、多尿、烦渴等表现及尿量、尿比重,记录24h出入量,根据出入液量补充液体。尿量<5000ml/d,可不用药物。神志清醒者嘱多饮水;神志恍惚者,术后2~3h给予留置胃管,补充水分及营养。尿量>5000ml/d,尿比重<1.005,用垂体后叶素5U皮下注射,1次/d,或尿崩停0.3ml,1次/d,肌注。尿崩轻者通常先给氢氯噻嗪(双氢克尿塞)、卡马西平口服治疗,严重者可应用短效后叶加压素,其间要注意控制入液量,以防止水中毒(此时病人可有水肿、抽搐等症发生)。

(2)定期测血清钠、钾、氯、二氧化碳结合率,及酸碱度血尿素氮等。术后3~5天每12小时测电解质1次。若电解质丢失,可按正常补充;若引起钠滞留(血钠升高及渗透压增高),应限制钠盐摄入;低钠低氯患者补充氯化钠以防脑水肿;为防止低血钾给予口服氯化钾,尿量1000ml补氯化钾1g。此外,须维持钾、钙、糖在正常水平。

4.循环衰竭术前病人有明显垂体功能减退者,术后易产生急性肾上腺皮质衰竭现象,病人呈休克状态。处理是术前应予补充激素,术后有衰竭现象者给予大剂量肾上腺皮质激素。这不仅可以减少危象,也可减少下丘脑反应及脑水肿,对中枢性高热的预防亦有积极作用。但为减少诸如感染消化道出血等并发症,应在术后4天逐渐减少用量,一般用维持量2周后逐步停止(垂体功能障碍明显者除外)。

5.癫痫因手术创伤和下丘脑牵拉受损,在麻醉清醒后发生癫痫。术前口服苯妥因钠0.1g,3次/d;术毕肌注安定10mg或苯巴比妥0.1g以预防。术后监测脑电图或观察患者有无口角抽动、眼睑震颤、手指抽动等迹象,发现异常在抽搐前即及时用药,癫痫发作时重复用药,同时保持呼吸道通畅,给予氧气吸入,防止脑组织缺氧

6.消化道出血因丘脑下部受损后反射性引起胃黏膜糜烂溃疡上消化道出血及大量应用皮质激素后。病人可有黑便呕血,甚至急性胃穿孔等。术后应用甲氰咪呱,严密观察血压、脉搏及大便颜色。留置胃管者,观察胃内食物的消化情况及胃液颜色。突发呕血、黑便、脉率快,经输血、冰盐水洗胃,胃内注入1000IU凝血酶,1次/4h,并应用奥美拉唑、甲氰咪呱等,给予输血,应用止血剂、H2受体阻断药等,并禁食、胃肠减压、停用激素等,必要时手术治疗,使出血得到及时控制。

7.无菌性脑膜炎系肿瘤囊内容物在术中溢出刺激脑膜所致。为此,术中应尽可能多地切除肿瘤,用生理盐水反复冲洗囊腔。术后可多次腰穿排放脑脊液,激素的应用对缓解发热等症状亦有帮助。

8.视力障碍术中损伤视路及其供应的血管可致视力障碍,尤其是视交叉前置型的肿瘤发生率较高,应予注意。

9.垂体功能低下尤其是术前有垂体功能减退者,一般较难恢复。患儿生长迟缓、身材矮小、性发育不全等。处理予以甲状腺激素等药物及加强锻炼,可望有某些程度的恢复,但把握不大。

10.其他颅咽管瘤瘤囊内放射性核素内照射治疗后并发症,各家报道可综合为:损伤视神经交叉、视束、下丘脑、放射性组织坏死、血管栓塞,以及放疗诱发肿瘤等。极少数肿瘤复发或死亡。  

预后及预防[编辑 | 编辑源代码]

预后[编辑 | 编辑源代码]

1.手术效果与预后过去该瘤的手术全切除率低,致死致残率及复发率高。近

防治措施

30余年来开展显微手术,对保护正常脑组织、争取肿瘤全切除、减少下丘脑及垂体损伤,降低致残率及死亡率创造了有利条件,大大地改善了病人的预后。颅咽管瘤的手术死亡率已降至2%,10年生存率达58%~66%,复发率为7%~26.5%。中国国内同济医科大学、解放军总院等单位进行的肿瘤全切除或积极手术切除,手术死亡率为4%~6%,肿瘤复发10%,取得较好疗效。

2.放疗效果与预后由放疗引起的神经后遗症很少。从神经、智力、精神以及内分泌功能来评价颅咽管瘤放疗长期效果在功能方面的变化不比手术治疗差。全切除与次全切除后辅以放疗的病人,两组结果相似。Richmond报告颅咽管瘤放疗后10年以上的生存率达44%~100%;Manaka对125例颅咽管瘤病人进行放疗效果评价,结果5年及10年生存率分别为88.9%和7.6%,对照两组仅分别为34.9%和27.1%,平均生存时间放疗组大于10年,而对照组为3.12年。Kramer报道6例15岁以下儿童经放疗后20年无症状,且无脑坏死现象;Pollack报告的放疗病例,经14~45个月随访,所有病例症状均有改善,肿瘤囊壁明显缩小。

3.瘤内/瘤腔内化疗效果与预后Takahashi报告7例采用瘤内注射博来霉素治疗颅咽管瘤,4例囊性者,平均随访5年,经CT扫描均无复发;3例实质性者,1例术后1.5个月死亡,2例暂时有好转,后因复发死亡。由于这一疗法开展不够,其治疗效果尚不能肯定。颅咽管瘤于术后及放射治疗后发生GH缺乏的比率很高,但有相当一部分病人仍能维持几近正常的生长,并不出现矮小症,这称为没有生长激素的生长综合征(growthwithoutgrowthhormonesyndrome),其机制尚未阐明,有人认为与血胰岛素及其他肽类生因子水平升高有关。  

预防[编辑 | 编辑源代码]

疾病预防

1.对高颅压者应立即给予脱水剂利尿剂,以降低颅内压,此类患者应尽快做术前准备,行手术治疗。

2.术前有腺垂体功能减退者,应注意补给足量的糖皮质激素,以免出现垂体危象。对其他腺垂体激素可暂不补给,因不少病人于术后腺垂体功能可得到恢复;如术后仍有腺垂体功能减退,应给予相应的治疗。

复发预防

1、如果有条件,最好中西医结合治疗 ,可以优势互补、相辅相成、标本同治、效果更。

2、手术治疗切除肿瘤。

3、注意饮食保健,可以多吃营养丰富、好吸收、好消化的食物,口味清淡、少食多餐、多吃新鲜蔬菜瓜果、蘑菇类食物,可吃猪肉、鸭肉、鸽子肉。不要吃牛羊肉狗肉鸡肉、鱼虾、辣椒等辛辣食物,不要吃生冷的、油腻的、油炸的、腌制的、烟熏的食物等。

4、注意生活规律、保持大便通畅、心理调节、家庭关爱、防感冒、防劳累、防生气等。