重复肾

来自医学百科
单侧肾四肾盂输尿管


概念[编辑 | 编辑源代码]

本病是较常见的肾、输尿管先天畸形发病率约1500:1,单侧畸形比双侧畸形多6倍。重复肾多数融合为一体,多数不能分开,表面有一浅沟,但肾盂、输尿管上端及血管分开,亦有各自的肾盂、输尿管和血管。重复肾可为单侧,亦可双侧。重复肾、重复输尿管多同时存在,重复输尿管可为完全型,亦可为不完全型,可开口于膀胱内,亦可异位开口于尿道前庭阴道。  

病因[编辑 | 编辑源代码]

在人胚胎第六周时,中肾管末端通入泄殖腔处,向背侧突出一小的盲管,称为输尿管芽。输尿管芽迅速成长,其顶端为原始的生肾组织所包围,状如蚕豆。输尿管芽发育成肾盂,分支形成肾盏、再分支形成小盏、集合管。如分支过早,则形成重复的输尿管畸形。分支的高低及多少,可决定形成完全或不完全,双重或多支输尿管畸形。重复输尿管常伴发重复肾脏。重复肾多数结合成为一体,有一共同被膜,表面有一浅沟,但肾盂输尿管及血管都各自分开。重复肾脏完全分开者,甚为少见 。  

病理改变[编辑 | 编辑源代码]

重复肾常结合为一体,较正常肾脏为大,两肾常上下排列,少有左右或前后排列者,亦少有完全分开者。上下两肾,亦常上肾较小仅有一个肾盏,而下肾较大,常具有两个肾盏。如其与这相接连之输尿管为完全型的双重输尿管,则与下段肾相连之输尿管,常在输尿管口之正常位置入于膀胱;而上段肾则在较正常输尿管入膀胱位置之下方膀胱三角区内入于膀胱,或在男性于后尿道、精阜精囊处开口;在女性则可于尿道、前庭、阴道等处开口。说明与上段肾相连之输尿管要走行更长的距离。看来似乎是下段的肾脏是属于正常的肾脏,而上段的肾脏是属于异常或多余的肾脏。似乎尚有更多的理由说明这一情况者,如上段的肾脏形态常不正常,且常有积水、结石、结核合并症,据统计约有50%有合并症,且功能亦常不正常;而下段的肾脏不论在形态及功能方面,都符合一只正常肾脏的条件。  

临床表现[编辑 | 编辑源代码]

1.不完全的重复输尿管畸形,或完全型的重复输尿管畸形,输尿管均开口于膀胱内,且没有合并症。这类病例完全没有临床症状,只有在进行泌尿系全面检查时才被发现。此类病人约占60%。

2.重复肾伴有合并症,出现肾盂炎肾结石、结核、肿瘤、积水等症状表现而进行泌尿系全面检查时为所发现。

3.为完全型的双重输尿管畸形,输尿管开口于外阴前庭、阴道……等处。致患者自幼年就有遗尿史,夜晚尿湿床铺,白天也经常短裤不干;但患者又有正常的排尿活动。如有此种病史,仔细检查外阴,常能察见异常输尿管开口。即使找不到异常输尿管开口,静脉肾盂造影亦常能证实此种先天畸形问题。  

诊断[编辑 | 编辑源代码]

1.如无异位开口及并发症,常无症状,不易发现。

2.如女性患者有正常排尿,兼有尿失禁,应考虑输尿管异位开口而作进一步检查。

3.膀胱镜检查在完全型者常可看到患侧多一个输尿管口,位于外上方的常是低位肾盂来的输尿管。

4.静脉尿路造影,如重复肾有功能,造影时可显示两个肾盂肾盏;如无功能,则仅显示一低位肾。逆行尿路造影时如插管成功,显影较清晰,更有助于诊断。

5.女性尿失禁患者,应仔细观察前庭及阴道内有无小孔喷尿。静注靛胭脂后如喷出蓝色尿液更有助于观察。如能经此孔插管造影,即可显示异位的输尿管及肾盂。

6.如输尿管异位开口于尿道,则须行尿道镜检查

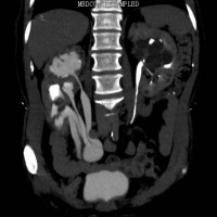
影像学诊断】

静脉泌尿造影可清楚显示功能良好的重复肾及双输尿管畸形,对功能不良的重复肾则容易误诊

B超可显示功能良好的重复肾畸形,但对双输尿管及合并积水的重复肾则显示欠佳且 超声难以发现重复输尿管的异位开口位置,且需与肾上极囊肿及双肾盂畸形鉴别

CT检查可清晰显示重复肾畸形及合并积水的双输尿管, 能更清楚的显示重复肾的内容,同时CT连续层面观察可确定输尿管的异位开口,但对无扩张的重复输尿管显示不够清晰,直观。  

治疗[编辑 | 编辑源代码]

治疗选择主要依据重复肾、输尿管病变情况及并发症而采取不同法:

1. 无症状,可终身不被发观,仅尿路感染,而无解剖上异常(肾积水输尿管口异位) 时宜用药物控制感染,无需手术;

2. 有输尿管异位开口者,一般采取输尿管膀胱再植术;当伴重度肾积水和反复发作的泌尿系感染等症状时,可行重复肾及输尿管切除术;若双侧均异位开口可分期行手术治疗;

3. 对无输尿管异位开口者一般采取保守治疗或行输尿管膀胱再植术,若血尿腰痛、尿路感染反复发作且重肾重度积水,肾皮质菲薄者可行重肾及输尿管切除术

手术指征:

①不完全性重复输尿管,上段肾功能存在而伴有输尿管一输尿管返流的;

②完全重复性输尿管,上段肾功能存在而伴膀胱输尿管返流的;

③合并尿路感染无法控制,或有点滴性尿失禁

④合并较大结石、严重积水的

腹腔镜治疗:

自从Clayman等1991年首次经腹腔途径的腹腔镜手术成功切除肾脏,Gaur1992年率先经腹膜后途径(也称后腹膜腔镜)完成肾切除术,而兴起了经腹腔镜进行肾脏手术的新技术

它具有创伤小术后恢复快等优点,已经为广大医生和患者亲属接受,且迅速开展,已逐渐成为肾脏外科的常规手术。随着腹腔镜技术的不断完善,手术数量及难度上均有较大的提高“一些病情相对复杂的病例,如重复肾输尿管畸形,因其表现形式多样,复杂,经腹腔镜手术时仍有一些困难"

腹膜后腹腔镜部分肾切除更加安全和适宜操作尤其是对儿童患者它的手术时间与开放手术几乎相等腹腔镜途径的手术最大的优点就是相对开放手术它可以显著的减少住院天数