肾积水
尿液从肾盂排出受阻,蓄积后肾内压力增高,肾盂肾盏扩张,肾实质萎缩,功能减退,称为肾积水(hydronephrosis )。肾积水容量超过1000ml或小儿超过24小时尿液总量时,称为巨大肾积水。肾积水的治疗包括病因治疗及对症治疗,晚期若发生肾衰竭,则治疗较为困难。
病因[编辑 | 编辑源代码]
先天性肾盂输尿管连接处狭窄、肾下极异位血管或纤维束压迫输尿管等引起原发性肾积水;泌尿系统各部位的结石、肿瘤、炎症或结核引起的继发性肾积水。
临床表现[编辑 | 编辑源代码]
泌尿系统梗阻由于原发病因、梗阻部位、程度和时间长短不同,肾积水的临床表现也不一样或全无症状。有些较为轻微的病人,可毫无症状,仅在体检的时候发现肾积水。症状不明显或仅有腰部隐痛不适,当肾积水达严重程度时,腹部可出现包块。
部分病人肾积水呈间歇性发作,称为间歇性肾积水。发作时患侧腰腹部剧烈绞痛,伴恶心、呕吐,尿量减少,患侧腰腹部可能们及包块。经过若干时间后,排出大量尿液,疼痛缓解,腰腹部包块明显缩小或消失。泌尿系统各部位的结石、肿瘤、炎症或结核引起的继发性肾积水,多数表现为原发病变的症状和体征,很少显现出肾积水的病象。
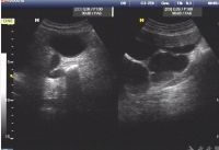
上尿路梗阻如结石等致急性梗阻时,可出现肾绞痛、恶心、呕吐、血尿及肾区压痛等。亦有的仅出现腰腹部包块或无任何临床症状,常为B超检查发现。
下尿路梗阻时,主要表现为排尿困难和膀肤不能排空,甚至出现尿储留,而引起肾积水出现的症状常较晚,临床多表现为不同程度的肾功能损害,严重者出现贫血、乏力、衰弱、食欲不振、恶心、呕吐等尿毒症症状。肾积水如并发感染,则表现为急性肾盂肾炎症状,出现寒战、高热、腰痛及膀胧刺激征等。如梗阻不解除,感染的肾积水很难治愈,或可发展成为脓肾,腹部有可能扣及包块,病人常有低热及消瘦等。尿路梗阻引起肾积水,如梗阻长时间得不到解决,最终导致肾功能减退甚至肾衰竭。双侧肾或孤立肾完全梗阻时可出现无尿。
诊断[编辑 | 编辑源代码]
诊断肾积水的诊断一般不困难,B超是首选检查,必要时可行CT或MRI检查以便更加明确相关问题。除确定肾积水存在及程度,还应弄清楚引起积水的病因、梗阻部位、有无感染及肾功能损害情况。
影像学检查[编辑 | 编辑源代码]
对肾积水的诊断非常重要,包括B超、泌尿系统平片、尿路造影、MRI 及CT 检查等。 1.B超可以明确判定增大的肾是实性肿块还是肾积水,并可确定肾积水的程度和肾皮质萎缩情况,简便易行无创伤,应作为首选的检查方法。但对肾外壶腹型肾孟和多发性肾囊肿,有时不易与肾积水鉴别。
2.X线检查对肾积水的诊断有重要价值。如肾积水系结石所致,泌尿系统平片可见到尿路结石影及积水增大的肾轮廓。肾积水一般须经静脉尿路造影确诊。早期可见肾盏、肾孟扩张,肾盏杯口消失或呈囊状显影;当肾功能减退时,肾实质显影时间延长,显影不清楚,此时,采用大剂量延缓造影或可获得较好的显影效果。
3.静脉尿路造影患肾显影不清晰时,可行逆行肾盂造影。经膀胧镜将输尿管导管插至肾盂,可见尿液似连线状滴出.逆行肾孟造影常可获得较清晰的肾积水影像。但对肾积水采用此方法检查有引起严重感染的危险,逆行插管时必须严格无菌操作及应用抗生素。双侧肾积水时,切勿两侧同时作逆行肾孟造影。如逆行插管失败,可改为B超引导下经皮肾穿刺造影。
4.MRI水成像对肾积水的诊断有独到之处,可以代替逆行肾盂造影和肾穿刺造影。CT 能清楚地显示肾积水程度和肾实质萎缩情况,对输尿管行三维成像可以确定梗阻的部位及病因。
5.放射性核素肾显像可以区别肾囊肿和肾积水,并可了解肾实质损害程度及分侧肾功能测定。
6.肾图检查,尤其是利尿肾图,对判定上尿路有无梗阻及梗阻的程度有一定帮助。
治疗[编辑 | 编辑源代码]
肾积水的治疗应根据梗阻的病因、发病缓急、梗阻的严重程度、有无合并症以及肾功能损害情况等综合考虑。肾积水系尿路梗阻所致,故最根本的治疗措施是除去病因,比如炎症、肿瘤、结核等,若不去掉病因,终究不能治愈肾积水,尤其是肾结核的病人。
肾功能损害较轻者常可恢复。治疗方法取决于梗阻病变的性质,如为先天性肾盂输尿管狭窄,应将狭窄段切除并作肾盂成形一肾孟输尿管吻合术。‘肾、输尿管结石可行体外冲击波碎石(ESWL ) 、经皮肾镜或输尿管镜碎(取)石术。
如果病人病情较危重,不允许作较大手术或梗阻暂时不能除去时,可在B超引导下经皮肾穿刺造瘘,将尿液直接引流出来,以利于感染的控制和肾功能的改善;待病人身体条件许可时,再治疗梗阻的病因。如梗阻病因不能除去,肾造痰则作为永久性的治疗措施。对于输尿管难以修复的炎性狭窄、晚期肿瘤压迫或侵及等梗阻引起的肾积水,经膀胧镜如能放置双J形输尿管导管长期内引流肾孟尿液,既可保护肾功能,又可显著改善病人的生活质量。重度肾积水肾实质显著破坏、萎缩、引起肾性高血压或合并严重感染,肾功能严重丧失,而对侧肾功能正常时,可切除患肾。
参看[编辑 | 编辑源代码]
参考文献[编辑 | 编辑源代码]
- 《外科学》人民卫生出版社第七版医学教材.吴在德、吴肇汉主编