营养性贫血

来自医学百科

营养性贫血是指因机体生血所必须的营养物质,如铁、叶酸、维生命素D等物质相对或绝对地减少,使血红蛋白的形成或红细胞的生成不足,以致造血功能低下的一种疾病。多发于6个月至2岁的婴幼儿、妊娠期哺乳期妇女以及胃肠道等疾病所致营养物质吸收较差的患者。

营养性贫血分类[编辑 | 编辑源代码]

现代医学把本病分为小细胞贫血大细胞性贫血两种。前者也叫缺铁性贫血,多发于6个月至1岁的婴儿。主要由于婴儿生长发育快,需铁量很多。而人乳和牛乳含铁量都很低不能满足婴儿的生长需要,此时若未及时添加含铁的辅食,就会发生缺铁性贫血。后者也叫巨幼红细胞性贫血,多发生于2岁以下的小儿,主要是由于小儿饮食中的维生素D2与叶酸的含量不足,或肠道细菌合成量不足,使红细胞成熟的因素缺乏而发病。中医学把本病归属“虚劳”、“血虚”等范畴。认为血液来源于脾,根本在肾并涉及心、肝两脏。如果脾胃虚弱,不能运化水谷精微,气血生化之源不足,产生贫血。血虚五脏失养,便可出现心血不足肝肾两亏等症。常见症状为本病起病比较缓慢,轻者表现为皮肤、粘膜苍白或苍黄,以口唇、牙床、眼睑指甲等部位更为明显。严重贫血可见头晕全身乏力烦躁不安食欲不振等,患儿往往伴有营养不良。有的还出现吃土块、煤渣、墙泥等。贫血过久,可导致生长发育障碍。  

病因[编辑 | 编辑源代码]

缺铁性贫血[编辑 | 编辑源代码]

巨幼红细胞性贫血

一、铁的需要量增加而摄入不足:

在生长快速的婴幼儿、儿童、月经过多、妊娠期或哺乳期的妇女,铁的需要量增多,如果饮食中缺少则易致铁性贫血。

二、铁的吸收不良:

因铁的吸收障碍而发生缺铁性贫血者比较少见。

三、失血:

失血,尤其是慢性失血,是缺铁性贫血最多见、最重要的原因。消化道出血溃疡病、钩虫病、食道静脉曲张出血痔出血、服用水杨酸盐后发生胃窦炎以及其他可引起慢性出血的疾病,妇女月经过多和溶血性贫血含铁血黄素尿或血红蛋白尿等均可引起缺铁性贫血。

缺铁性贫血的发生是一个较长时间内逐渐形成的。铁耗竭期,贮存铁耗尽,血清铁蛋白减低,此时并无贫血,若缺铁进一步加重。贮存铁耗尽,血清铁蛋白和血清铁下降,总铁结合力增高,出现缺铁性贫血。  

巨幼红细胞性贫血[编辑 | 编辑源代码]

(一)摄入不足维生素B12主要存在于动物食品中,肝、肾、肉类较多,奶类含量甚少。叶酸以新鲜绿叶蔬菜、肝、肾含量较多。维生素B12主要需要量成人为每日~3g、婴儿为每日~1g。叶酸的生理需要量成人为每日~75g。婴儿为每日~20g。如不及时添加辅食、或年长儿长期偏食,易发生维生素B12或叶酸的缺乏。

缺铁性贫血

(二)吸收和利用障碍

慢性腹泻小肠切除,局限性回肠炎肠结核等皆可影响维生素B12与叶酸的吸收,肝脏病、急性感染,胃酸减少或维生素C缺乏,皆可影响维生素B12与叶酸的代谢或利用。

(三)需要量增加

未成熟儿,新生儿婴儿期生长发育迅速。造血物质需要量相对增加,如摄入不足,则易缺乏。反复感染时,维生素B12吸叶酸消耗增加,从而需要量增多而易导致缺乏。

(四)先天贮存不足

胎儿可通过胎盘,获得维生素B12叶酸贮存在肝脏中,如孕妇患维生素B12或叶酸缺乏时则新生儿贮存少,易发生缺乏。  

临床表现[编辑 | 编辑源代码]

缺铁性贫血[编辑 | 编辑源代码]

一、上皮组织损害引起的症状:细胞内含铁酶减少,是上皮变化的主要原因。

(1)口角炎舌炎:约10-70%患者有口角炎、舌面光滑与舌乳头萎缩,尤其老年人明显。

(2)食道蹼。

巨幼红细胞性贫血

(3)萎缩性胃炎胃酸缺乏

(4)皮肤与指甲变化:皮肤干燥、角化和萎缩毛发易折与脱落;指甲不光整、扁平甲反甲灰甲

二、神经系统方面症状:

约15-30%患者表现神经痛(以头痛为主),感觉异常,严重者可有颅内压增高视乳头水肿。5-50%患者有精神、行为方面的异常,例如注意力不集中,易激动、精神迟滞和异食癖。原因是缺铁不仅影响脑组织的氧化代谢与神经传导,也能导致与行为有关的线粒体单胺氧化酶的活性降低。

三、脾肿大:其原因与红细胞寿命缩短有关。  

巨幼红细胞性贫血[编辑 | 编辑源代码]

(一)贫血表现

轻度或中度贫血占大多数,面色腊黄、疲乏无力。因贫血而引起骨髓外造血反应,且呈三系减少现象,故常伴有肝、脾、淋巴结肿大

巨幼红细胞性贫血

(二)精神神经症

表情呆滞、嗜睡、对外界反应迟钝、少哭或不哭、智力发育和动作发育落后、甚至倒退,如原来已会认人、会爬等,病后又都不会,此外尚有不协调和不自主的动作,肢体、头、舌甚至全身震颤、肌张力增强,腱反射亢进,踝阵挛阳性,浅反射消失,甚至抽搐

(三)消化系统症状

有食欲不振、舌炎、舌下溃疡、腹泻等。  

实验室检查[编辑 | 编辑源代码]

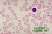
缺铁性贫血[编辑 | 编辑源代码]

一、血象:

早期或轻度缺铁可以没有贫血或仅极轻度贫血。晚期或严重缺铁有典型的小细胞低色素型贫血。红细胞压积和血红蛋白浓度降低的程度通过红细胞计数减少的程度。

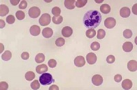
巨幼红细胞性贫血

二、骨髓象:

骨髓增生活跃,粒红比例降低,红细胞系增生明显活跃。中幼红细胞比例增多,体积比一般的中幼红细胞略小,边缘不整齐,胞浆少,染色偏兰,核固缩晚幼红细胞,表明胞浆`发育落后于核,粒系细胞巨核细胞数量和形态均正常。

三、骨髓铁染色

四、血清铁蛋白。

五、血清铁。  

巨幼红细胞性贫血[编辑 | 编辑源代码]

(一)血像

呈大细胞正色素性贫血,MCV>94μm3,MCN>32pg,MCNC为32-36%。红细胞较少,中央淡染区不明显、染色较深、轻度大小不均,偶见幼红细胞,可见嗜多色性及嗜硷性点彩红细胞,也可见豪一周氏小体及卡波氏环。

白细胞数稍低,粒细胞胞径增大,核分叶过多(核右移),分叶可超过5个以上,常出现在红细胞改变前,故对早期诊断有重要意义,血小板计数一般均减低,其形态较大。

药物治疗

(二)骨髓像

骨髓增生活跃,以红细胞增生为主,粒、红比例正常或倒置。红细胞系体积均大,核染色质疏松,胞核发育落后于胞浆,早幼红细胞可早期出现血红蛋白,显示浆老核幼。这种细胞增大、胞核大、染色质疏松的现象,称之为巨幼变。依其成熟程度分为巨原、巨早幼、巨中幼和巨晚幼四期,各期幼红细胞巨幼变总数可达30~50%。粒细胞系统中,晚幼粒和杆状核粒细胞亦可见巨幼变。

巨核细胞中出现核分叶过多,血小板大,颗粒松散。

(三)血生化检查

1.血清维生素B12含量测定,正常值为200-800pg/ml。如〈100pg/ml提示维生素B12缺乏。

2.血清叶酸含量测定,正常值为5-6ng/ml。<3ng/ml提示叶酸缺乏。  

治疗[编辑 | 编辑源代码]

缺铁性贫血[编辑 | 编辑源代码]

一、病因治疗:

病因治疗对纠正贫血的效果,速度及防止其复发均有重要意义。

二、铁剂治疗:

(一)口服铁剂:最常用的制剂为硫酸亚铁富马酸铁富血酸)。服药时忌茶,以免铁被鞣酸沉淀而不能被吸收。

贫血患儿

(二)注射铁剂:一般尽量用口服药治疗,仅在下列情况下才应用注射铁剂:①肠道对铁的吸收不良,例如胃切除或胃肠吻合术后、慢性腹泻、脂肪痢等;②胃肠道疾病可由于口服铁剂后症状加重,例如消化性溃疡溃疡性结肠炎、节段性结肠炎、胃切除后胃肠功能紊乱妊娠时持续呕吐等;③口服铁剂虽经减量而仍有严重胃肠道反应。

常用的铁注射剂有右旋糖酐铁山梨醇枸橼酸铁。

(三)辅助治疗:加强营养,增加含铁丰富的食品。  

巨幼红细胞性贫血[编辑 | 编辑源代码]

(一)一般治疗及改善饮食如系母乳喂养儿,应改善乳母的膳食营养,婴儿还须添加辅食,按时断奶,纠正偏食习惯。积极予防和治疗呼吸道消化道疾病。

(二)药物治疗

主要应用维生素B12100μg/次每周肌注2次,连续2-4周,直至网织红细胞正常、已能配合添加辅食为止。

对叶酸缺乏者。口服叶酸5mg每日3次,连用2周后,可改每日1次。维生素C能促进叶酸的利用,可同时口服,以提高疗效。

目前主张维生素B12和叶酸联合应用,再加服维生素C,可提高疗效。应用维生素B12和/或叶酸合治疗3-4天后,一般精神神经症状好转,网织细胞开始增加,6-7天达高峰(15-16%),2周后降至正常,2-6周红细胞和血红蛋白恢复正常,骨髓巨幼红细胞可于维生素B12治疗3-72小时后。叶酸治疗24-48小时后,转为正常。但巨幼粒和分叶过多的巨核细胞可能存在数天。神经系统恢复较慢,少量患者需经数月后才能完全有的消失。

(三)对症治疗

发生震颤者应给少量镇静剂。如震颤影响呼吸者应给氧气吸入。  

现在的儿童还会为什么营养性贫血[编辑 | 编辑源代码]

一.食物搭配不合理致使各种营养素的比例不合适

大家所说的生活好,无非是指经常鱼、肉、蛋不断而言,有的家长还经常买娃哈哈、速溶奶粉、牛

营养性贫血

奶、乐百奶等,认为这些东西都是“高级”营养品。他们哪里知道这些所谓“高级”营养品中,恰好缺乏铁,或含量极微。儿童每日需铁约6-12毫克,以供造血之需。这些营养吃得过多时,一方面可使食欲降低,以致从食物摄入的铁势必减少;另一方面,这些“高级”营养品本身又无铁可供,“巧妇难为无米之炊”,没有足够的铁作为造血原料,不贫血才怪呢!另外,有一部分孩子偏食、挑食造成了营养素摄入的不平衡。如常吃巧克力、奶油点心等一类高热量食品,会使孩子缺乏饥饿感,减少进食量而无法得到其它必需营养素,这类食品所含蛋白质和铁也很少。所以,常吃巧克力等高热量食品会导致贫血。再者,铁的吸收常需要一定的酸度。而维生素C系酸性的,它能促进机体对铁的吸收。而很多家庭,父母常不注意给孩子搭配一定量的绿叶蔬菜,即使有蔬菜上桌,也没有注意劝导孩子多吃点蔬菜,以致维生素C供应不足,从而影响了铁的吸收。维生素C缺乏时,体内叶酸常代替它参与核酸代谢,而叶酸和维生素B12是细胞核脱氧核糖核酸合成的必不可少的成分,若缺乏了,就会严重影响红细胞核的成熟,势必发生另一种贫血——营养性大细胞贫血。

二.摄入的营养素不能满足机体的需要

婴幼儿身体发育较快,对各种营养素的需求较迫切,尤其是已经超重、超高的孩子,对营养素的需求更加增多,如果不适当地予以补充,容易发生营养性贫血也就不言而喻了。

因此,要想使孩子不发生营养性贫血,必须注意合理的加工和烹调、饭菜多样化,如紫菜、海带等海产品,虾、芝麻、磨菇、木耳、豆制品及猪肝等都含有丰富的铁质,可以经常调换着吃。特别是要多多鼓励和劝导孩子多吃点绿叶蔬菜,纠正孩子的不良习惯,使各类营养物质得到平衡,孩子自然就不会发生营养性贫血了。  

营养性贫血日常注意事项[编辑 | 编辑源代码]

1、贫血病儿需改善营养,缺铁性贫血的婴儿应添加含铁多的辅食,如蛋黄,肝,

瘦肉,豆制品、菠菜等。大细胞性贫血的婴儿应多喂新鲜绿叶蔬菜,动物的肝,肾瘦 肉等。改善哺乳母亲营养,婴儿及时添加辅食,年长儿要防止偏食等可以预防营养不良性贫血。

2、营养不良性贫血导致的冠心病心绞痛心律失常并非少见,应引起人们的重

视。所以要注意营养平衡,切忌饮食单调,以免导致贫血性心脏病或其他营养不良性

疾病的发生。

3、对于营养不良性贫血的小儿,应适当控制活动量,同时因为贫血小儿抗病能力下 降,父母要注意居室温度,及时增减衣被,严防感冒,避免合并感染以加重病情。  

中医理论[编辑 | 编辑源代码]

中医学中没有“营养性巨幼细胞性贫血”的病名,根据此病的临床症状,可分属“血虚”、 “虚劳”、“舌痛”、“舌光”、“舌红”、“脾胃虚弱”、“不仁”及“痹症”范畴。

(1)饮食欠缺

人体各种营养全赖饮食摄入,或因摄入量不足营养缺乏,如因生活贫困,饮食低劣者所致:或因需要量增加而致营养相对缺乏,如孕妇和婴幼儿之病。中医认为:谷盛气盛,谷虚气虚,此其常。只有饮食充足,五脏之气才旺盛;食量不足则“谷虚气虚”。气之与血,异名同类,总由水谷精微所化。若饥不得食,渴不得饮,气血生化乏源必致血虚,气血两虚,内不能养五脏,外不能御邪固表,以致引起多种病症

(2)饮食偏颇

人体需要的各种营养,需从多种饮食中摄取,如偏食、素食、挑食,则不能从饮食中得到多种营养,久之必致疾病。所以中医强调以五谷为养,五果为助,五畜为益,五菜为充,以补精益气。故偏食、素食、挑食可造成饮食单一,皆会造成“谷虚气虚”,引起气血亏虚,致发本病。

(3)脾胃虚弱

脾胃是后天之本,脾主运化,是气血生化之源,又能统摄血液行于脉中。胃主受纳腐熟水谷,两者一脏一腑,相辅相成,共同完成饮食的消化吸收,是升清降浊的枢纽,两者把水谷精微输送至五脏六腑、四肢百骸,是人体赖以生存之根本。

脾胃虚弱则运化失司,受纳无权,故而发生多种疾病。脾不和则食不化,胃不和则不思食,脾胃不和则不思食且不化,脾病面色萎黄。生成血液的物质主要来源于脾胃化生之水谷精微,正所谓“中焦受气取汁,变化而赤是谓血”。脾胃虚弱,气血生化乏源,而致血虚。  

营养性贫血诊断要点[编辑 | 编辑源代码]

1.有营养不良、佝偻病及急、慢性感染等病史。

2.皮肤粘膜逐渐苍白或苍黄,头发细黄而稀疏,常伴厌食乏力,精神不振,表情呆滞,反应迟钝等症状。

3.血红细胞数降低,血红蛋白3 月内<100g/L,3 月~6 岁<110g/L,6~14 岁<120g/L为贫血。血清铁降低或血清维生素B12 或叶酸含量减少。

4.骨髓象有核细胞增生活跃,红细胞系增多。

5.铁剂和维生素B12 或叶酸治疗有效。  

儿童营养性贫血的治疗[编辑 | 编辑源代码]

缺铁性贫血是儿童及青少年时期最常见的贫血症状,如经诊断确定,则应给予补充口服铁剂,其中又以乳酸亚铁为主的成份最好,且必须要连续服用三、四个月来矫正贫血现象,以及补足体内铁质的储备量。

每天摄取含铁量丰富的食物也是十分必要的,像谷类、绿色蔬菜、蛋、肉及新鲜肝脏等,都是很好的含铁食品。人体对于动物性食物的铁质吸收率要比植物性食物好。

到底是什么原因造成孩子缺铁性贫血?通常会造成青少年缺铁性贫血的原因有偏食、肠道吸收不好等,若是女性则也有可能与月经过多有关。应找医生彻底检查。

用新稀宝+铁之缘治疗营养性贫血效果好。

参看[编辑 | 编辑源代码]