佝偻病
佝偻病(Rickets)俗称缺钙,在婴儿期较为常见,是由于维生素D缺乏引起体内钙、磷代谢紊乱,而使骨骼钙化不良的一种疾病。佝偻病发病缓慢,不容易引起重视。佝偻病使小儿抵抗力降低,容易合并肺炎及腹泻等疾病,影响小儿生长发育。因此,必须积极防治。
婴幼儿佝偻病的防治
1、佝偻病病症[编辑 | 编辑源代码]
佝偻病就是我们常说的婴幼儿“缺钙”了,(老年人缺钙容易引起骨质疏松)
即使是现在的生活水平提高了很多
但是现在佝偻病的发病率还是很高的。
据报道,在南方,1岁以下婴幼儿,发生的佝偻病的比率为20~30%,
在北方就更高了,(20~45%,与日照时间有密切关系)
但是,有一点值得高兴,绝大多数都是轻中度的缺钙,重度缺钙的现在已经很少见了
只是偶尔从一些乡下来的孩子可以看到类似鸡胸、O型腿等
2、佝偻病的检查[编辑 | 编辑源代码]
血清骨碱性磷酸酶是目前检查和诊断佝偻病的常用指标,具有灵敏特异简便快速的优点,目前已经代替了传统的“佝偻病三项”(血钙,血磷和血碱性磷酸酶),成为早期诊断佝偻
病主要辅助检查。虽然,骨碱性磷酸酶没有血清25-(OH)D3和1,25-(OH)2 D3灵敏和特异,但基本可以满足临床诊断佝偻病的要求,目前很多医院都开展了该项检查(省妇幼保健院就有开展这项检查),价格不是很昂贵,30~40元左右。
检查方法:非常简便,扎手指验血,一般半小时就有结果。
正常值范围:小于或等于200U/L。
分度:骨碱性磷酸酶越高,说明“缺钙”越严重。
分度 骨碱性磷酸酶(U/L) 预防或治疗的方法
正常 小于或等于200 每天一粒鱼肝油预防
轻度 200~250(不包括250) 每天一粒鱼肝油治疗
中度 250~300(不包括300) 用大剂量的维生素D3治疗
重度 大于或等于300 用大剂量的维生素D3治疗
3、佝偻病治疗[编辑 | 编辑源代码]
一、如果宝宝被诊断为佝偻病,那么应该如何治疗?
如果宝宝被诊断为佝偻病,那么应该如何治疗?
首先,要明白,治疗佝偻病的关键是补充维生素D,而不是补钙(当然了,补钙也是必须的,不可少的)
其次,要明白佝偻病也是分程度的,要按照不同的程度,采用不同的治疗方案。正常和轻度佝偻病只是用伊可新就可以了,中度以上,才会考虑用大剂量的维生素D3治疗。
目前,预防以及治疗中度以上佝偻病的维生素D3首选英康利(胆维丁乳)。
英康利就是维生素D3乳剂,含维生素D3 30万IU,含量与传统的维生素D3针剂一样。
【用法用量】将胆维丁乳倒入适量(3-5倍)的温开水、牛奶或豆浆中服用。
(跟牛奶一起喝哦,不用打针,不用天天喂药片,不必听到宝宝哇哇哭喊声了^-^)
1.预防用药:1次用15mg,间隔3个月后可酌情再服。一年总量不超过30mg(含维生素D3 60万单位)。(使用很简单喔,一年支就可以啦,2支46元左右)
2.治疗用药:1次mg,视病情轻重间隔1个月可再服一次,1年总量不超过60mg(4支)。
(这是病情较重的佝偻病和骨质疏松症以及促进骨折愈合成年人缺Vd的用法哦,)
【规格】胆维丁乳:8ml:15mg
【生产厂家】上海信谊金朱药业有限公司(上药集团老牌国企啦……)
英康利口服后经过胃肠道的破坏,吸收率有所下降,治疗效果比针剂稍差些,治疗效果也还算明显,而且非常安全,按照说明书或医生的医嘱服用,一般不会出现中毒。英康利用于临床治疗佝偻病已经有5年了,经过大量的临床试验,证明英康利是治疗佝偻病安全而且有效的药物,目前是治疗佝偻病的首选药物。北京儿童医院,北医三院以及各省医院都有。
使用英康利要注意以下几个问题:
1. 处方药,如果有需要用到英康利治疗,只能是在医生的指导下用药。不能私自用药。
2. 英康利不能与鱼肝油同时服用,吃一支英康利,要停服1个月的鱼肝油
3. 英康利也最好不要与含有维生素D3的钙片同时服用。
再次强调,为了宝贝的身体健康要去正规医院做综合检查分析!用药要听医生的话啊……(请遵医嘱!)
另外,如何补充钙呢?
虽然,钙剂是次要的因素,但也是必不可少的。也是家长最关心的问题。
选择钙片也要综合考虑,包括钙的成分、含量、吸收率、剂型、口味、是否含
维生素D、安全和质量问题等。
成分:常见的钙有葡萄糖酸钙、乳酸钙、磷酸钙、碳酸钙、鳌合钙、L-乳酸钙等
含量无需太多,要根据宝宝的需要量来选择,不是越多越好的。钙元素含量在100毫克左右的最合适
吸收率:溶解度高的钙,自然吸收率就高。还有两种特殊的钙,鳌合钙和L-乳酸钙吸收率特别高,可以突破普通钙30~40%的吸收率。
口味也相当重要。因为钙是每天都要吃的,如果每天像灌药一样给宝宝吃钙,那就太痛苦了。选择宝宝喜欢吃的钙,这一点很实际。
是否含维生素D:根据不同的需要,含或不含维生素D钙各有好处,要看具体情况。
安全和质量问题:所有食品和保健的安全、卫生和质量问题,是越来越受关注的。
几个相
关的问题
如何选择最合适的吃钙时间
最好是在吃奶后30分钟左右。不要选择吃完植物性的食物后补钙,这样会降低钙的吸收率的
如何解释微量元素中的血钙正常,但是医生仍然说宝宝缺钙。
血钙不能代表身体的钙储备。血钙维持在正常范围内,这是生命的基本要素之一,一旦血钙低于正常值,会产生抽搐等危及生命的严重危害的。所以无论如何机体会动员所有的钙储备来保证血钙的正常值,这是就会动用到骨钙。所以,骨钙才能反映身体钙的实际情况。骨碱性磷酸酶就能反映钙。
如何看待钙锌同补
不主张,同时补充,会互相拮抗的,互相影响吸收率的。最好分开补充,相隔4小时以上
为什么有些宝宝不用怎么补钙,却不缺钙,而有些宝宝补了很多钙,却还是缺钙?
三个原因:
第一.补钙方法正确与否。这一点没什么好补充的
第二.跟胎儿期从母亲那里获得的钙量有关。
如果孕妇的体质好,身体钙的储备很充足,那么,她所生的宝宝就不容易缺钙。如果孕妇体质差,身体钙的储备少,她所生的宝宝就容易缺钙。
就像出生在有钱人家的孩子,一出生父母亲就已经给他准备了一份丰富的财产,自己只要稍加努力,就可以保持很富有;而出生在穷苦家庭的孩子,要靠自己一辈子的努力,也不一定能变富。这个道理显而易见。
第三.跟人体所含的维生素D的受体的数量和活性有关。维生素D的受体的数量越多,活性越高,对维生素D的吸收越容易,就不易缺钙。相反,就也容易缺钙。这一点跟遗传有关的。
药物防治常规方法
4、究竟哪些婴幼儿容易发生佝偻病呢?[编辑 | 编辑源代码]
1. 早产儿和出生体重较低(低于3公斤)的宝宝
2. 孕期缺钙的妈妈所生的宝宝
3. 哺乳期缺钙的妈妈所哺育的宝宝
4. 少晒太阳的宝宝,是维生素D缺乏的主要原因。
5. 生长发育太快的宝宝
6. 吃奶少的宝宝
这六类宝宝很容易缺钙,是预防的重点对象。
大家对照自己的宝宝,看看有没有属于以上6种情况的
现在具体讨论一下
早产儿是指孕周不足37周就出生的宝宝
妇女在孕期和哺乳期缺钙表现为小腿抽筋、多汗、腰酸、手脚发麻。其实,大多数的孕妇和乳母都存在不同程度的缺钙。孕妇和乳母除了喝牛奶和补钙,也同样需要多晒太阳。
宝宝奶量的标准:
4个月以内:全部吃奶
4~6个月:每天1~2次辅食,其他吃奶
6~8个月:600~800毫升
9~12个月:800毫升以上
1岁以上:600毫升左右
2岁以上:500毫升左右
另外要注意:冬天的宝宝,最容易缺钙了,因为太阳晒得不够,或者晒太阳的方法不正确。
三 宝宝缺钙主要表现
多汗、夜惊、烦躁、枕突和各种骨骼的改变
以下我详细解释各种表现
先说多汗
缺钙引起的多汗是有特指的,不是所有的多汗都是缺钙,夜间睡觉是的多汗,特别是睡熟以后多汗,就是典型的缺钙。缺钙的多汗也叫“盗汗”、“夜汗”。白天吃奶时或活动时出汗多是正常的,不是缺钙。
夜惊,就是晚上睡觉是突然惊醒、哭闹、甚至尖叫。如果白天或清醒状态下出现的烦躁,就不是缺钙引起的。轻微缺钙或缺钙早期,可能不表现惊醒,只是出现半夜睡不熟,哼哼唧唧、翻来覆去的。这段时间有很多家长向我反映了这种情况。主要是真正有效接触阳光的时间太短,接触的皮肤面积太小了。
枕突,就是宝宝的后脑勺,有一圈光突突的不毛之地。这种情况也是很常见的。特别是这段时间。
肋骨外翻,就是宝宝的肋骨下缘翘起来。这个需要有经验的医生才能作出准确的判断。很多宝宝也存在不同程度肋骨外翻的。
还有一种情况需要引起注意的,就是有些家长习惯把宝宝的裤子提得很高,裤头的橡皮筋刚好压到肋骨,这样也会造成肋骨外翻的。所以穿裤子的时候,要注意,一是橡皮筋不要太紧,二是要摸着肋骨,橡皮筋不要高于肋骨。
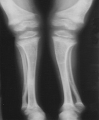
其他的骨骼变形有鸡胸、漏斗胸、X型腿、O型腿、肋串珠、手镯和脚镯,这些是比较严重的佝偻病才会出现的。现在已经很少见了。
所以这些我就不讲了。大家也不要瞎猜,这些骨骼变形一定要找有经验和有医德的医生,才能作出准确的判断。
5、佝偻病临床分期及理化检查[编辑 | 编辑源代码]
佝偻病临床分为四期:初期、激期、恢复期、后遗症期。
1、初期:
(1)临床表现:
神经兴奋性增高(烦躁,睡眠不安,易惊,夜啼,多汗等症,并可致枕部脱发而见枕秃)
(2)理化检查:
血生化改变轻微,骨骼X线摄片可无异常
2、激期:
(1)临床表现:
骨骼——
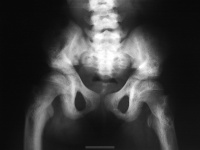
①头部:乒乓球感;方颅,臀形颅;囟门较大且闭合延迟;乳牙萌出迟。
③四肢:“手镯”及“脚镯”;开始行走后,(“O”型)或(“X”型)腿,长骨可发生青枝骨折。
神经系统——发育落后;
(2)理化检查:
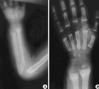
①X线:钙化带模糊,干骺端增宽,边缘呈毛刷状或杯口状改变。
②血生化检查:
Ⅰ、血钙,磷明显降低;钙磷乘积<30
Ⅱ、碱性磷酸酶明显增高。
3、恢复期:
(2)理化检查:X线临时钙化带重现;生化恢复正常。
4、后遗症期:
(1)重症患儿遗留骨骼畸形。
(2)理化检查正常。
6、佝偻病预防[编辑 | 编辑源代码]
介于佝偻病所形成的骨骼变形,一旦形成就可能会留下后遗症,所以,佝偻病重在预防,一定要有先知先觉,避免发生骨骼变形。
所以,如何预防佝偻病是今天讲课的重点
预防佝偻病要从胎儿期就开始,1岁以内的婴儿是预防的重点对象。这是《方案》的第一句话。
具体的常规预防如下:
胎儿期:
1. 孕妇要多晒太阳和多户外活动
2. 孕妇要多喝牛奶
3. 孕妇在孕期的5个月以后,开始每天补充适量的钙(500毫克左右,相当于金箍棒成人钙片6粒左右)
4. 于妊娠中、晚期补充维生素D;每天400~800IU(相当于贝特令或伊可新一粒)。但是很多妇产科医生认为维生素D对胎儿的安全性还不是很确定,所以很少给孕妇开维生素D。
虽然这些内容对各位妈妈已经没有价值了,但是,你可以向你身边的朋友宣传。
婴儿期(一岁以内)
这个时期是重点
1. 宝宝要多晒太阳和户外活动,这一点作为第一点,也是最最重要的,也最经济、最有效。
2. 从满月开始,每天补充适量的维生素D,《方案》的建议每天400~800IU(相当于贝特令或伊可新一粒)。鱼肝油要每天吃,一直坚持到1岁半左右。
3. 提倡母乳喂养,哺乳期间妈妈要补充适量的钙剂、鱼肝油和多晒太阳,
每天喝奶粉。
4. 6个月以后要每天补充适量的钙剂。
5. 多喝奶。
晒太阳和户外活动是有一定区别的。户外活动不一定等于晒太阳。
晒太阳是指人皮肤直接接受阳光的照射。而且,每天照射的时间0.5~1小时。
冬天可以接受阳光照射的部位为脸、小手和小脚、屁股等。家长要根据具体情况自行把握照射的时间和方式。
鱼肝油务必保证每天一粒,如果今天忘了,第二天就要吃两粒了,这样才能确保每天一粒。
鱼肝油和晒太阳要互相结合和互补。例如如果很长时间阴天,晒不到太阳,那么,每周可以吃9粒鱼肝油。
大家一点要相信一点,按照以上这个剂量来补充维生素D,是绝对不会出现中毒的,这一点大家完全不用担心。
注意,我强调的是绝对不会。
补钙的量
6~12个月:每天100毫克
12~24个月:每天150~200毫克
2岁以后:每天250毫克
建议的奶量
4个月以内:全部吃奶
4~6个月:每天1~2次辅食,其他吃奶
6~8个月:600~800毫升
9~12个月:800毫升以上
1岁以上:600毫升左右
2岁以上:500毫升左右
幼儿期(1~3岁)
1. 宝宝要多晒太阳和户外活动,这一点作为第一点,也是最最重要的,也最经济、最有效。
2. 每天补充适量的维生素D,1岁~1岁半,每天一粒鱼肝油,《方案》的建议每天400~800IU(相当于贝特令或伊可新一粒)。1岁半以后,如果经常晒不到太阳,也要经常补充鱼肝油,可以每周3~5粒鱼肝油。
3. 要每天补充适量的钙剂。
4. 多喝奶。(每天500~600毫升)
如何科学专业的诊断宝宝是否患有佝偻病?
这一点也是很对家长感兴趣的东西。
首先我要强调的是,诊断佝偻病不能单凭某一方面,一定要综合分析
这就包括是否有缺钙的易感因素、是否有缺钙表现、是否有骨骼的变形、还要结合生化检查的结果。 一. 预防
胎儿期
孕妇和胎儿对维生素D、钙、磷的需要日益增加,孕妇应该经常到户外活动,多晒太阳,食用营养丰富的物质,患有低钙血症及骨软化症者应该积极治疗。
对孕妇缺少日光照射者、食欲低下者、体弱多病者或妊娠后期在冬季者,应补充维生素D和钙剂以预防先天性佝偻病。于妊娠中、晚期补充维生素D;每天400~800IU,或者每月~10万IU,一次或分次口服;或者只投一次,15~20万IU,同时口服钙剂。
婴儿期
既然维生素D缺乏性佝偻病对小儿发育有很大影响,而该病又源于各种因素所致的维生素D缺乏而导致的一系列病变,所以佝偻病可以预防。
人体皮肤中有7一脱氢胆固醇,经日光中紫外线的照射,变成胆骨化醇即内源性维生素D3,也是人类维生素D的主要来源。所以佝偻病的预防就可以从两方面进行,即日光浴、补充维生素D。婴儿应尽早接触阳光,只要户外气温在18度以上,风不太大时就抱婴儿到户外晒太阳,但要避免眼睛直晒,春、夏、秋、冬都应坚持户外活动,每次时间可由短时间逐步延长到20~30分钟。不要久居室内。另外母乳中维生素的含量约4~6IU/dl,与牛乳中的含量相差不大,所以不管母乳喂养还是人工喂养都应在小儿出生后1个月左右开始给予维生素D预防,400Iu/日(即每日国际单位)。早产儿应提早2周给予维生素D,量也需在前3个月加倍即每日国际单位。3个月后改为每日国际单位,一般在2岁以后生长速度减慢,户外活动增多,不易发生佝偻病,也无须再补充维生素D进行预防。
幼儿期:
小儿1岁后可采用“夏季晒太阳,冬季服维生素D”的预防方法。一般在冬季投给20~30万IU一次,其他时间应多晒太阳,增加营养。在高发地区可间隔2~3个月再投给维生素D20~30万IU一次。其他时间应多晒太阳,增加营养。
儿童期
5岁以后至青春期儿童可出项晚发性佝偻病,对于经常易疲劳、乏力、两腿酸软、腿痛、关节痛而无其他原因可解释者应进一步检查并给予防治。维生素D预防方法、剂量与幼儿期相同。
在应用维生素D预防时,母乳喂养小儿可不加钙剂,但对6个月后断母乳的婴儿、人工喂养、食欲低下、生长过快、青春期儿童或有急慢性疾病者可补充适当钙剂。
二. 治疗
活动期佝偻病应依据临床表现给予积极治疗,目的在于控制病情活动和防止畸形。
活动期轻度:维生素D20~30万IU,1次口服或肌注,间隔1个月,可再给1~2次,同时给钙剂,每次~1克,每天2~3次,连服1~2个月
活动期中、重度:维生素D20~30万IU,1次口服或肌注,间隔1个月,可再给2~3次,同时给予钙剂,每次~1克,每日~3次,连续2~3个月。
恢复期:一般可不用维生素D,多晒太阳,改善营养即可。但在冬春季节为防止复发可投给维生素D20~30万IU,一次口服或肌注
给上述维生素D治疗量,可维持作用2~3个月,因此不必再给维持剂量口服,以防止维生素D中毒,多晒太阳即可
许多少年儿童的生长发育的过程中容易出现偏食、厌食的现象,从而导致机体缺乏一些人体必须的营养元素(锌元素、钙元素),抑制了生长素的分泌,是孩子长高出现了一定程度的障碍。锌元素是促进生长素生成的重要元素之一,因此对缺锌者补充适量的锌元素显得尤为重要了。新稀宝片是第三代补锌产品,其成分从天然海产品中提取出来,对人体没有任何副作用,在补锌的同时也能促进人体对钙离子的吸收,经过10多年的临床实践表明新稀宝片在促进孩子增高方面,效果比较明显。
以上是药物防治常规方法
现在的具体的药物主要有维生素D类的片剂、胶丸、针剂(最怕打针了)、乳剂,另外维生素D3要比维生素D2吸收快 作用效果好,就介绍到这里了,愿宝宝们健康快乐!!!!
佝偻病可以并发哪些疾病?[编辑 | 编辑源代码]
本病主要是引起婴儿抬头、坐、站、行走都较晚。关节松弛而有过伸现象,大脑皮层功能异常条件反射形成缓慢,语言发育落后,贫血等症状。 在一些比较严重的佝偻病的患儿中,还会出现其他的骨骼变形,如鸡胸、漏斗胸、X型腿、O型腿、肋串珠、手镯和脚镯等。
佝偻病临床分期与分度[编辑 | 编辑源代码]
1961年在黑龙江召开的全国儿科学术会议制订了佝偻病的诊断标准,以后在1977年和1980年两次全国佝偻病防治科研协作组会议作了修订。为便于开展防治工作,现再修订如下。
(一)临床分度:佝偻病的主要病理是骨样组织增生、骨基质钙化不良等骨骼变化。依据骨骼改变体征的程度可分为:
1、轻度:可见颅骨软化、囟门增大、轻度的方颅、串珠、肋软骨沟等改变。
2、中度:可见典型的串珠、手镯、肋软骨沟、轻度或中度的鸡胸、漏斗胸、O或X型腿,也可有囱门晚闭、出牙迟缓等明显的改变。
3、重度:可见明显的肋软骨沟、鸡胸、漏斗胸、脊柱畸型、O或X型腿、病理性骨折等严重改变。
(二)临床分期 本病的发生发展是一个连续过程。依据年龄、病史、症状、体征、X线及血生化等项综合资料可分为活动期(初期、激期)、恢复期和后遗症。无条件作X线及血生化检查者,可只根据临床资料进行分析。
1、初期:多自3个月左右开始发病。早期常有非特异的神经精神症状如夜惊、多汗、烦躁不安等。枕秃也较常见。同时可有轻度的骨骼改变体征。X线片可无异常或见临时钙化带模糊变薄、干骺端稍增宽。血生化改变轻微,血钙、血磷正常或稍低,硷性磷酸酶正常或稍高。
2、激期:常见于3个月至2岁的小儿。有明显的夜惊、多汗、烦躁不安等症状。同时可有中度的骨骺改变体征。X线片可见临时钙化带模糊消失,干骺端增宽,边缘不整呈云絮状,毛刷状或杯口状,骨骺软骨加宽。血钙、血磷均降低,硷性磷酸酶增高。
3、恢复期:活动期经晒太阳或维生素D治疗后,症状消失,体征逐渐减轻、恢复。X线片可见临时钙化带重现、增宽、密度加厚。血钙、血磷、硷性磷酸酶恢复正常。
4、后遗症:多见于3岁以后的小儿。经治疗或自然恢复,症状消失,骨骼改变不再进展。X线及血生化检查正常,仅留有不同程度的骨骼畸形。
治愈标准:症状已消失1-3个月,体征减轻或恢复正常,观察3-6个月无变化。轻、中度者一般不留后遗症。重度者可留有不同程度的骨骼畸形。X线及血生化检查正常,或仅表现有临时钙化带增宽、密度加厚。
维生素D缺乏性佝偻病[编辑 | 编辑源代码]
维生素D 缺乏性佝偻病简称佝偻病,是维生素D 缺乏引起钙磷代谢紊乱而造成的代谢性骨骼疾病。我国<3 岁儿童佝偻病发病率约20%~30%,部分地区已高达80%以上,因此是婴幼儿期常见的营养缺乏症之一,卫生部将其列为儿童保健四种疾病之一。临床以多汗、夜惊、烦躁不安和骨骼改变为特征。常与摄入不足,少见阳光,吸收不良,需要量增加,代谢障碍如肝肾疾病或长期使用抗癫痫药物等有关。