胆总管结石
胆总管结石多位于胆总管的中下段。但随着结石增多、增大和胆总管扩张、结石堆积或上下移动,常累及肝总管。胆总管结石的含义实际上应包括肝总管在内的整个肝外胆管结石。胆总管结石的来源分为原发性和继发性。原发性胆总管结石为原发性胆管结石的组成部分,它可在胆总管中形成,或原发于肝内胆管的结石下降落入胆总管。继发性胆总管结石是指原发于胆囊内的结石通过胆囊管下降到胆总管。
定义[编辑 | 编辑源代码]
胆总管结石是指位于胆总管内的结石,根据其来源可分为原发性胆总管结石和来自胆囊的继发性胆总管结
石。胆总管结石的临床表现及病情的轻、重、危,完全取决于结石阻塞时的程度和有无胆道感染。发作时阵发性上腹部绞痛,寒战发热和黄疸三者并存(夏科三联征),是结石阻塞继发胆道感染的典型表现。由于胆汁滞留,胆总管扩张,加之胆囊的收缩,胆总管的蠕动,可使结石移位或排除。一旦梗阻解除,胆汁不流通症状得以缓解。但如胆道感染严重,并发急性梗阻性化脓性胆管炎时,病情发展迅速,近半数病人很快出现烦躁、谵语或嗜睡、昏迷以及血压下降和酸中毒等感染性休克表现,如不及时治疗,常在1-2日内甚至数小时内因循环衰竭而死亡。
诊断[编辑 | 编辑源代码]
1.病史中具有反复发作性剑突下或右上腹绞痛,伴恶心呕吐、发冷发热和黄疸等症状,呈波动状态。
2.有程度不同的皮肤、巩膜黄染,多有剑突下或右上腹压痛、肌紧张,可有胆囊肿大、肝肿大并有触痛。
3.血白细胞及中性粒细胞计数增高、核左移。可有梗阻性黄疸的检验表现,血胆红素定量(尤其是直接反应胆红素)增高且常有波动;肝、肾功能有不同程度损害。病程长者有贫血、低蛋白血症等。尿三胆中尿胆红素升高。
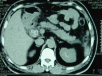
4.静脉胆道造影、PTC(经皮肝穿刺胆道造影术)、ERCP、CT等检查,显示胆管扩张,有结石影。可有胆总管下段部分梗阻、排空迟缓征象。
5.B超检查提示胆总管扩张、胆管内有结石。
临床表现[编辑 | 编辑源代码]
胆总管结石的临床表现及病情的轻、重、危,完全取决于结石阻塞时的程度和有无胆道感染。发作时
阵发性上腹部绞痛,寒战发热和黄疸三者并存(夏科三联征),是结石阻塞继发胆道感染的典型表现。
由于c,胆总管扩张,加之胆囊的收缩,胆总管的蠕动,可使结石移位或排除。一旦梗阻解除,胆汁不流通症状得以缓解。但如胆道感染严重,并发急性梗阻性化脓性胆管炎时,病情发展迅速,近半数病人很快出现烦躁、谵语或嗜睡、昏迷以及血压下降和酸中毒等感染性休克表现,如不及时治疗,常在1-2日内甚至数小时内因循环衰竭而死亡。
症状体征[编辑 | 编辑源代码]
决定于胆管之梗阻程度和有无感染,多数患者曾有一次或多次急、慢性胆囊炎发作史或胆道蛔虫病史,然
后在一次剧烈的胆绞痛后出现黄疸,表示结石已进入胆总管,或在胆总管内形成后已发生嵌顿和阻塞。胆石所致的胆道阻塞通常是不完全和非持续性的,完全性阻塞毕竟属少见,故约20%患者可以不感右上腹绞痛,40%的患者虽有绞痛但无黄疸,其余患者则多数在腹痛发生后数小时至1~2天开始有黄疸,且持续数天后即可逐渐消退。如胆总管内结石不能排出至十二指肠,则腹痛势必再发,并可再度出现黄疸,且复发的次数往往愈趋频繁,程度亦多愈加严重;但也有病例在一次发作后相隔10余年不再复发,至下次发作时胆总管内之结石已大至l~2cm直径以上,或者发作时仅有轻微腹痛而不复出现黄疸者。少数病例于某次发作后可致胆道完全阻塞,黄疸持续不见消退,颜色甚深呈黄绿色,皮肤瘙痒显著,粪便呈陶土色,且有明显消瘦现象,与胰头癌很难鉴别。此类患者胆道探查时往往可见巨大的结石嵌顿在壶腹部;或有多量之泥沙样结石壅塞在胆总管或肝管内。少数情况术中胆总管内见不到结石,其结石大多系胆管内压力过大而自行排入肠内或由于麻醉后括约肌松弛而有利于结石排出。然而,在结石移动的过程中,患者多有反复的胆绞痛发作史,发作时除阻塞外常并有胆道感染症状,胆囊不肿大,一般仍可与胰头部癌区别。患者发作时多无腹肌强直,但上腹部或右上腹可有轻度触痛。肝脏肿大,质地坚实,稍有触痛,但一般胆囊则多不可扪及。脾脏有时也可肿大,多数患者黄疸明显,病容憔悴,神情抑郁,时有消瘦现象。有并发症时则有相应的体征如黄疸和休克征等。
疾病病因[编辑 | 编辑源代码]
1.继发性胆总管结石形状、大小、性状基本上与同存的胆囊结石相同或相似。数量多少不一,可为单发或
多发,若胆囊内多发结石的直径较小、并有胆囊管明显扩张者,结石可以大量进入胆总管、肝总管或左右肝管。 2.原发性胆总管结石是发生在胆总管的原发性胆管结石,病因和形成机制尚未完全明了。研究结果认为这种结石的生成与胆道感染、胆汁淤滞、胆道寄生虫病有密切关系。结石外观多呈棕黑色、质软、易碎、形状各异、大小及数目不一。有的状如细沙或不成形的泥样,故有“泥沙样结石”之称。这种结石的组成是以胆红素钙为主的色素性结石。经分析其主要成分为胆红素、胆绿素和少量胆固醇以及钙、钠、钾、磷、镁等矿物质和多种微量元素。在矿物质中以钙离子的含量最高并易与胆红素结合成胆红素钙。此外尚有多种蛋白质及黏蛋白构成网状支架。有的在显微镜下可见寄生虫的壳皮、虫卵和细菌聚集等。
病理生理[编辑 | 编辑源代码]
本症可能引起的病理变化基本上决定于两个因素:①梗阻是否完全:视结石的大小和部位而有不同,亦与
胆总管括约肌的功能状态有关;②有无续发感染:常视结石的成因和性质而异,其炎症的范围和严重性亦有甚大差别。由结石而引起的胆总管阻塞通常是不完全或间歇性的,因结石在胆道内可以移动或滑动;但有时也可造成完全性的急性梗阻。自胆囊进入胆总管的继发性结石虽然体积较小,但所引起的梗阻常呈急性,特别是当结石嵌顿在壶腹部时,可能造成一时性的完全梗阻。相反,如为胆总管原发性结石,因系逐渐长大,后期虽可至巨大的程度,但因胆总管可有相应的代偿性扩张,一般不致引起完全梗阻,有时甚至可以完全没有梗阻症状,这与结石所处的部位有关,若位于胆总管中段的结石一般仅有不完全梗阻,但嵌顿在壶腹部或阻塞在肝管内的结石有时可引起完全性梗阻。结石阻塞胆总管后,胆汁的排出首先将受到障碍,于是已经通过肝细胞泌入的胆红素将重新回入血液中,形成阻塞性黄疸。如阻塞是属完全性或长期性,则由于胆道内的压力增高,不仅胆总管有增厚扩大,并将进一步影响胆汁分泌,造成肝细胞之损害。长时期的胆道阻塞也可以使肝内的毛细胆管
发生扩张,肝细胞发生坏死,胆管周围有纤维组织增生,形成胆汁性肝硬化。有阻塞性黄疸时由于肠内缺乏胆汁,影响维生素K的吸收,且因肝细胞之损害致凝血酶原的制造减少,结果造成凝血酶原时间延长容易发生出血现象。胆汁之分泌作用停止后,滞留在胆管内的胆汁和胆色素也会被吸收而代之以胆管黏膜之透明黏液性分泌,称为“白胆汁”。此外,胆总管阻塞后由于胆汁滞留,在阻塞部位以上的胆总管内极易发生继发性感染。当然感染的来源不仅是胆汁,与结石的成分和性质亦有关。例如继胆道寄生虫病而形成的结石多数含有细菌,它本身就有感染的因素。感染的范围和严重性亦有甚大差别,它可以仅限于胆总管,形成一般的急性胆管炎;也可以上升而累及肝内毛细胆管和肝组织,形成毛细胆管炎、肝炎甚至肝脓肿;或者如结石嵌顿在壶腹部者,由于共同通路的阻塞而激发急性胰腺炎。感染的程度取决于病程的长短和胆道有否梗阻及程度。一般早期感染较轻,而当胆石的阻塞与胆管黏膜的炎症水肿相互作用,导致胆总管之急性完全性阻塞时,阻塞部位以上的胆管中的脓液和细菌毒素将被迅速吸收入血液循环(所谓胆血反流),导致所谓的急性梗阻性化脓性胆管炎,患者可因严重的中毒性休克而死亡。偶尔,胆总管结石并发感染后还可以导致胆管穿孔发生胆汁性腹膜炎。
诊断检查[编辑 | 编辑源代码]
诊断:胆总管结石急性梗阻、炎症发作期,根据病史和典型表现,一般的临床诊断并不困难。但由于胆总
管结石的病因、病理和治疗与整个胆道系统密不可分。因此对其诊断除了明确胆总管的结石和病理状况以外,还必须全面了解包括胆囊和肝脏在内的整个胆道系统的病理状况。是否存在胆囊和肝内胆管结石及其数量分布、有无肝胆管的狭窄、扩张和解剖变异、并发肝脓肿、肝硬化、肝组织萎缩等改变,以便选择合理的治疗方法,争取最佳效果。为此必须依靠现代影像学诊断。 实验室检查:在急性梗阻性胆管炎时主要为白细胞增多和中性粒细胞增加等急性炎症的血液像,血胆红素增高和转氨酶增高等梗阻性黄疸和肝功受损的表现。若较长时间的胆管梗阻、黄疸或短期内反复发作胆管炎肝功明显受损,可出现低蛋白血症和贫血征象。
其他辅助检查:
1.X线平片胆总管的原发结石和继发结石,分别是以胆色素和胆固醇为主的混合结石。X线平片不能显示。
2.口服或静脉胆道造影胆管的影像浅淡,难以作出准确诊断。
3.B型超声波检查虽然价廉无创,对胆囊结石的准确率达98%,但因受十二指肠等空腔脏器的影响,对胆总管结石的准确率仅为50%左右,特别对十二指肠后段胆管难以显示。假阳性及假阴性率均较高。
4.CT断层扫描CT对胆总管结石的诊断优于B超,准确率可达80%左右。但难以显示胆管系统病理改变和结石数量、大小、分布等状况。
5.ERCP和PTC检查均可清晰显示胆管系统的全貌,能比较准确提供肝内外胆管和胆囊结石的大小、数量、位置以及肝内外胆管扩张、狭窄等病理改变状况,是获得术前准确诊断最重要的检查方法。ERCP基本无创、并发症较少,PTC为有创、并发症稍多,可根据病人和病变的具体情况选择。一般情况下多选择ERCP检查。
6.磁共振胆胰管造影(MRCP)无创、不需造影剂,可以良好显示胆、胰管的管道系统。能显示胆总管内结石,但不如ERCP或PTC的影像清晰。
鉴别诊断[编辑 | 编辑源代码]
下列疾患,凡可出现右上腹疼痛和黄疸者,鉴别诊断时均应加以考虑:①先天性疾患:如胆总管囊肿、溶血性黄疸。②炎性疾患:如传染性肝炎、慢性胰腺炎、急性胆囊炎。③外伤性病变:如手术后胆总管的狭
窄。④寄生虫病:如胆道蛔虫病、中华分支睾吸虫病。⑤癌肿:如肝癌、胰头癌、胃癌等。上述疾患,以传染性肝炎、胆道蛔虫病、胰头癌等比较常见,其鉴别要点略述如下。 1.传染性肝炎患者有传染的接触史。在出现腹痛和黄疸以前常有明显的先驱症状如全身乏力、食欲不振等。其腹痛为肝区的钝痛,多不放散。黄疸出现迅速而消退比较缓慢,程度深浅不定,范登白试验呈双相反应。本症患者起病初期即有体温升高,但白细胞之增减不定,而淋巴细胞常有增加。肝功能试验在病变初期即有明显减退,颇为突出。
2.胆道蛔虫病患者年龄一般较轻。多在30岁以下。发病突然,绞痛剧烈,有阵发性加剧且有特殊钻顶感。发作时常伴有恶心呕吐,常可吐出蛔虫。黄疸一般多不明显,除非至病程之晚期,通常亦无寒战发热。腹肌强直和腹壁压痛也多不显著。
3.胰头癌患者年龄一般较大,多在50岁以上。发病隐晦,往往先出现黄疸而后方伴有腹痛(以往无相似的腹痛黄疸史)。黄疸属进行性,可发展至甚深程度而无波动表现。其粪便因缺乏胆汁呈灰白色后,将始终为陶土状;尿中尿胆素原也常为阴性,因阻塞往往是完全性。腹痛不常有,有腹痛者多为上腹部的持续性隐痛,往往向后背牵涉。即使病程已久,通常也多无感染的症状,体温和白细胞将始终正常;但其病变为进行性,至病程晚期常有消瘦和恶病质表现。范登白试验为直接强阳性反应,其他肝功能试验也符合阻塞性黄疸而无肝细胞之损害现象。总之,对一个黄疸患者,应首先确定黄疸的类型性质,然后再根据各方面的检查确定其病变部位及原因。一般而论,在病变初期结合病史和化验检查确定黄疸的类型应无困难。如已确定为阻塞性黄疸,则病变在胆管内者最常见的是结石或寄生虫,有时可为血块或黏液;病变在胆管壁者多是手术后的瘢痕狭窄,有时可为胆胰管括约肌之痉挛,或为硬化性胆管炎;病变在胆管外者主要是胰头癌,有时可为慢性胰腺炎或因胃癌、肝癌之转移性淋巴结压迫所致。此类不同病变均可引起阻塞性黄疸,通常均有手术指征,确实的病因往往在剖腹探查时即可明确,术前鉴别并不太重要。
需要特别指出,胆道长期阻塞后可引起肝细胞损害,而肝细胞有病变时也可引起肝内毛细胆管阻塞,因此范登白试验二者均可呈双相反应,其他肝功能试验也都表现有一定损害,致使肝细胞性黄疸与阻塞性黄疸之鉴别为难。上述两种不同原因的黄疸,因治疗原则根本不同,前者需要严格的内科治疗,后者必须及时手术,其鉴别诊断尤为重要。临床上必须根据各方面资料全盘考虑,反复推敲,才能得出正确的结论。
并发症状[编辑 | 编辑源代码]
1.急性化脓性胆管炎是原发性胆管结石最常见的并发症,又称胆道感染。原发性胆管结石的临床表现大多与它有关。主要表现为右上腹痛、寒战高热和黄疸,引起胆道感染的常见细菌为革兰阴性杆菌或是厌氧菌,以大肠埃希杆菌为多见,更常是混合性感染。当结石嵌顿于胆管下端即出现急性化脓性胆管炎,经过消炎解痉治疗,局部炎症水肿消退,结石浮动,嵌顿解除,上述症状和体征消退,因而表现为波动性黄疸。B超可发现肝内外胆管扩张或胆管结石;可有白细胞增多等实验室发现。一般认为急性化脓性胆管炎应先进行消炎解痉利胆补液治疗,症状缓解后再行择期手术。但在非手术治疗过程中要严密观察,一旦出现急性梗阻性化脓性胆管炎,应考虑手术。 2.胆源性肝脓肿由于肝胆管结石并发感染未能及时手术引流或肝内小肝管结石嵌顿所致化脓性小胆管炎,炎症波及周围组织而形成。以多发性小脓肿多见。可有右上腹痛也可能没有腹痛,表现为寒战高热,为弛张热型,黄疸可有可无,病程一般较长。本病经过短期非手术治疗未能奏效,应手术引流胆道,若为弥漫性小脓肿,引流胆道即可。若为单个大脓肿或多发性脓肿外尚有较大的脓肿时,除作胆道引流外,同时要行脓肿引流。
3.胆道出血是原发性胆管结石的较严重的并发症。
4.胆源性肝硬化是原发性胆管结石的晚期并发症,属于晚期胆道病。严重时伴有门静脉高压、脾大及脾功能亢进。除有肝胆管结石的症状外,还有肝硬化和门静脉高压的表现。如果病人无门静脉高压症,则应尽早行胆道探查术,将肝内结石尽量取净,一部分病人肝功能可望恢复。若伴有门静脉高压症则处理较复杂困难,病人情况允许可一期行胆道探查取石和脾切除手术,然后再行彻底的肝胆管结石手术来处理复杂的肝内病变。否则应行分期手术,首先作胆道探查取石,再次行门静脉高压手术,最后处理复杂的肝胆管手术。这类病人病情重,处理困难,病死率高,有时不管怎样做手术都预后极差。因而对于肝胆管结石最好在没有出现症状或才出现症状时即行手术,以减少肝功能损害。
5.胆管癌大多数学者认为胆管癌的发生与原发性胆管结石有关。特别是肝内胆管结石并感染者发生肝内胆管癌较多,又称胆管细胞型肝癌。往往被原发性胆管结石的症状所掩盖,术前容易漏诊。原发性胆管结石病人近来出现上腹痛发作频繁并加剧,且局限于某一个部位。腹部查体右上腹或剑突下明显压痛,尚可扪及有压痛的包块,应怀疑此病。进一步作B超和CT检查可同时发现肝内结石及肝内局限性或弥漫性占位性病变,基本可明确诊断。这类病人一般AFP为阴性。由于为肝胆管结石反复炎症纤维化增生所致,胆管细胞型肝癌多为硬癌,内有较多的纤维结缔组织。主要为局部浸润性生长,肝内跳跃性转移及远处转移较少。湖南医科大学附属第二医院肝胆外科近年手术发现17例胆管细胞型肝癌,均伴有肝胆管结石,其中13例位于左半肝和左肝外叶,4例在右前叶或右后叶。行胆道探查和肝叶或半肝切除术,其中10例已存活达3年以上,2例已存活2年,3例在1年左右。2例死亡于术后6个月及14个月。若肿块巨大已累及周围组织及邻近器官,行肿块大部切除,即减体积手术,也有较好疗效。
6.胆源性胰腺炎原发性胆管结石合并急性胰腺炎大大少于继发性胆管结石,可能与原发性胆管结石病人大多存在Oddi括约肌呈松弛状态有关。
流行病学[编辑 | 编辑源代码]
继发性胆总管结石的发生率,各家报道有较大的差异。国内报道胆囊及胆总管同时存在结石者占胆石病例的5%~29%,平均18%。1983~1985年和1992年的两次调查,胆囊及胆总管均有结石者分别占胆石病的11%和9.2%,分别占胆囊结石病例的20.9%和11.5%。国外报告胆囊结石病人的胆总管含石率为10%~15%,并随胆囊结石病程延长,继发性胆总管结石相对增多。原发性胆总管结石,西方国家很少见,东方各国多发。20世纪50年代原发性胆管结石约占胆石病的50%左右。1983~1985年全国ll307例胆石症手术病例调查结果,胆囊结石相对构成比平均为52.8%。胆囊与胆管均有结石为10.9%。肝外胆管结石占20.1%,肝内胆管结石16.2%,实际的原发性胆管结石应为36.3%。1992年第2次调查结果相对构成比有明显变化:胆囊结石平均为79.9%,胆囊、胆管结石9.2%,肝外胆管结石6.1%,肝内胆管结石4.7%,原发性胆管结石平均为10.8%。这与生活水平提高、饮食结构改变和卫生条件改善密切相关。调查资料主要来自各省、市级的大医院,对于农村和基层医院的资料尚觉不足。幅员辽阔、人口众多,地理环境、饮食结构和卫生条件的差异很大,其发病构成比亦有较大差别。总的状况为南方地区和农村的原发性胆管结石发病率要比西北地区和城市的发病率高。如广西地区1991~1999年胆石病调查的构成比:肝外胆管结石和肝内胆管结石仍分别占23.6%和35.8%,农民占36.7%和53.1%。因此原发性胆管结石仍然是肝胆外科的重要课题。原发性胆总管结石,可在胆总管内形成或原发于肝内胆管的结石下降至胆总管。全国4197例肝内胆管结石病例同时存在肝外胆管结石者占78.3%。在诊治胆总管结石过程中要高度重视查明肝内胆管的状况。
治疗方案[编辑 | 编辑源代码]
胆总管结石病人多因出现疼痛、发热或黄疸等急性胆管炎发作时就诊。急性炎症期手术,难以明确结石位置、数量和胆道系统的病理改变,不宜进行复杂的手术处理,需要再手术的机会较多。但若梗阻和炎症严重,保守治疗常难以奏效。因此急诊情况下恰当掌握手术与非手术治疗的关系,具有重要性。 一般情况下,应尽量避免急诊手术。采用非手术措施,控制急性炎症期,待症状缓解后,择期手术为宜。经强有力的抗炎、抗休克、静脉输液保持水、电解质和酸碱平衡、营养支持和对症治疗,PTCD或经内镜乳头切开取石,放置鼻胆管引流减压,多能奏效。经非手术保守治疗12~24h,不见好转或继续加重,如持续典型的Charcot’s三联征或出现休克,神志障碍等严重急性梗阻性化脓性重症胆管炎表现者,应及时行胆道探查减压。胆总管结石外科治疗原则和目的主要是取净结石、解除梗阻,胆流通畅,防止感染。
1.经内镜Oddi括约肌切开术或经内镜乳头切开术经内镜Oddi括约肌切开术(endoscopicsphincterotomy,EST)或经内镜乳头切开术(endoscopicpapillectomy,EPT)适于数量较少和直径较小的胆总管下段结石。特别是继发性结石,多因结石小、数量少,容易嵌顿于胆总管下段、壶腹或乳头部。直径1cm以内的结石可经EPT或EST取出。此法创伤小,见效快,更适于年老、体弱或已做过胆道手术的病人。经纤维内镜用胆道子母镜取石,需先行EST,然后放入子母镜,用取石网篮取石。若结石较大,应先行碎石才能取出。此法可以取出较高位的胆管结石,但操作比较复杂。
2.开腹胆总管探查取石仍然是治疗胆总管结石的主要手段。采用右上腹经腹直肌切口或右肋缘下斜切口都能满意显露胆总管。开腹后应常规触扪探查肝、胆、胰、胃和十二指肠等相关脏器。对于择期手术,有条件者在切开胆总管之前最好先行术中胆道造影或术中B超检查,进一步明确结石和胆道系统的病理状况。尤其原发性胆总管结石,多数伴有肝内胆管结石或胆管狭窄等改变,需要在术中同时解决。切开胆总管取出结石后,最好常规用纤维胆道镜放入肝内外胆管检查和取石。直视下观察肝胆管系统有无遗留结石、狭窄等病变并尽可能取净结石。然后用F10~12号导尿管,若能顺利通过乳头进入十二指肠并从导尿管注入10ml左右的生理盐水试验无误,表明乳头无明显狭窄。如果F10导尿管不能进入十二指肠,可用直径2~3mm的Bakes胆道扩张器试探。正常Oddi乳头可通过直径3~4mm以上的扩张器,使用金属胆道扩张器应从直径2~3mm的小号开始,能顺利通过后逐渐增大一号的扩张器。随胆总管的弯度轻柔缓慢放入,不可猛力强行插入,以免穿破胆总管下端形成假道,发生严重后果。胆总管明显扩张者可将手指伸入胆总管探查。有时质软、泥样的结石可以黏附在扩张胆管一侧的管壁或壶腹部,不阻碍胆道探子和导尿管通过,此时手感更为准确。还应再次强调,无论采用导尿管、Bakes扩张器,或手指伸入探查,都不能准确了解有无胆管残留结石或狭窄,特别是肝内胆管的状况。而术中胆道镜观察和取石,可以弥补这一不足,有效减少或避免残留结石。北京大学第三医院手术治疗1589例原发性肝胆管结石病例,单纯外科手术未使用胆道镜检查取石的683例中,残留结石达42.8%(292/683)。术中术后联合使用胆道镜检查碎石取石的906例中,残留结石2.1%(19/906)。因此择期胆道探查手术,常规进行胆道镜检查取石具有重要意义。胆总管切开探查后,是否放置胆管引流意见不一致。认为不放置胆管引流,仅适于单纯性胆总管内结石(主要是继发结石),胆管系统基本正常。确切证明无残留结石、无胆管狭窄(特别是无胆总管下段或乳头狭窄)、无明显胆管炎等少数情况,可以缩短住院时间,避免胆管引流的相关并发症。严格掌握适应证的情况下以即期缝合胆总管。在缝合技术上最好使用无创伤的带针细线,准确精细严密缝合胆总管切口,预防胆汁溢出。但应放置肝下腹腔引流,以便了解和引出可能发生的胆汁溢出。
胆总管结石手术
胆总管探查取石放置“T”形管引流,是多年来传统的方法。可以有效防止胆汁外渗,避免术后胆汁性腹膜炎和局部淤胆感染,安全可靠,并可在术后通过“T”管了解和处理胆道残留结石等复杂问题。特别是我国原发性胆管结石发病率高,并存肝内胆管结石和肝内外胆管扩张狭窄等复杂病变者较多,很难保证胆总管探查术中都能完善处理。因此大多数情况下仍应放置“T”形管引流为妥。“T”形管材料应选择乳胶管,容易引起组织反应,一般在2~3周可因周围粘连形成窦道。用硅胶管或聚乙烯材料的T形管,组织反应轻,不易形成窦道,拔管后发生胆汁性腹膜炎的机会较多,不宜采用。“T”形管的粗细,应与胆总管内腔相适应。经修剪后放入胆总管的短臂直径不宜超过胆管内径,以免缝合胆管时有张力。因为张力过大、过紧,有导致胆管壁血供不足或裂开、胆汁溢出和日后发生胆管狭窄。若有一定程度胆总管扩张者,最好选用22~24F的“T”管,以便术后用纤维胆道镜经窦道取石。缝合胆总管切口,以2-0或3-0号的可吸收线为好。因为丝线等不吸收线的线结有可能进入胆总管内成为结石再发的核心。胆总管缝合完成后,可经T管长臂,轻轻缓慢注入适量生理盐水试验是否缝合严密,若有漏水应加针严密缝合,以免术后发生胆汁渗漏。关腹前将“T”管长臂和肝下腹腔引流管另戳孔引出体外,以免影响腹壁切口一期愈合。 3.腹腔镜胆总管探查取石主要适于单纯性胆总管结石,并经术前或术中胆道造影证明确无胆管系统狭窄和肝内胆管多发结石者。因此这一方法多数为继发性胆总管结石行腹腔镜胆囊切除术时探查胆总管。切开胆总管后多数需要经腹壁戳孔放入纤维胆道镜用取石网篮套取结石,难度较大,需要有熟练的腹腔镜手术基础。取出结石后可根据具体情况决定直接缝合胆总管切口或放置“T”形管引流。
4.胆总管下段狭窄、梗阻的处理无论原发性或继发性胆总管结石并胆总管明显扩张者,常有并存胆总管下端狭窄梗阻的可能。术中探查证实胆总管下端明显狭窄、梗阻者,应同时行胆肠内引流术,建立通畅的胆肠通道。
(1)胆总管十二指肠吻合术:手术比较简单、方便、易行,早期效果较好,过去常被采用。但因这一术式不可避免发生胆道反流或反流性胆管炎,反复炎症容易导致吻合口狭窄,复发结石,远期效果欠佳。特别是吻合口上端胆管存在狭窄或肝内胆管残留结石未取净者,往往反复发生严重胆管炎或胆源性肝脓肿。因此,胆总管十二指肠吻合术今已少用。多主张仅用于年老、体弱、难以耐受较复杂的手术并已明确吻合口以上胆管无残留结石、无狭窄梗阻者。吻合口径应在2~3cm以上,防止日后回缩狭窄。
(2)胆总管十二指肠间置空肠吻合术:将一段长20~30cm带血管的游离空肠两端分别与胆总管和十二指肠吻合,形成胆总管与十二指肠间用空肠架桥式的吻合通道。虽然在与十二指肠吻合处做成人工乳头或延长空肠段达50~60cm,仍难以有效防止胆道反流并易引起胆汁在间置空肠段内滞留、增加感染因素。手术过程也比较复杂,远期效果和手术操作并不优于胆总管空肠吻合术。
(3)胆总管空肠Roux-en-Y吻合术:利用空肠与胆总管吻合,容易实现3~5cm以上的宽大吻合口,有利于防止吻合口狭窄。空肠的游离度大、操作方便、灵活,尤其并存肝总管、肝门以上肝胆管狭窄或肝内胆管结石者,可以连续切开狭窄的肝门及左右肝管乃至Ⅲ级肝胆管,解除狭窄,取出肝内结石,建立宽畅的大口吻合。适应范围广、引流效果好。辅以各种形式的防反流措施,防止胆道反流和反流性胆管炎,是最常用的胆肠内引流术式。
(4)Oddi括约肌切开成形术:早年较多用于胆总管末端和乳头狭窄病人,切开十二指肠行Oddi括约肌切开、成形。实际上如同低位胆总管十二指肠吻合,而且操作较十二指肠吻合复杂、较易发生再狭窄,远期效果并不优于胆总管十二指肠吻合术。特别是近年来EST成功用于临床和逐渐普及,不开腹、创伤小、受欢迎。适于Oddi括约肌切开的病例,均可采用EST代替,并能获得同样效果,因此开腹Oddi括约肌切开成形术已极少采用。
(5)中西医结合非手术治疗:一般性胆管炎发作在有力的抗炎、保守治疗过程中使用一些中药方剂舒肝、利胆、解痉、止痛作为辅助治疗,有一定效果。中西医结合排石法,对于结石小、数量少、不伴胆管狭窄、Oddi括约肌功能正常者,曾有排石成功的报道。但较大的结石,不能排出,多发结石难以排净,并易再发。特别是明显胆管梗阻并发重症胆管炎、不明结石数量和大小、是否存在胆管狭窄等情况下,经非手术治疗不能在短时间内缓解、好转者,仍应及时进行胆总管手术探查引流,以免发展成严重的胆源性感染性休克等严重后果
