肾脓肿

来自医学百科
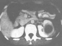
Bk724.jpg


疾病名称[编辑 | 编辑源代码]

肾脓肿(renal abscess)  

疾病概述[编辑 | 编辑源代码]

肾脓肿是指肾脏实质因炎症化脓而被破坏,形成一脓性包囊,肾功能完全丧失,常见于上尿路梗阻的患者。

临床症状: 高烧、寒战全身乏力呕吐虚脱、病人有不同程度的贫血,为 全身表现,腰痛,慢性病人患侧腰部明显压痛叩击痛,腰部可扪及肿块。

诊断要点:1.发热、腰痛、肾区包块。2.尿液中大量脓细胞。3.血中白细胞明显增高。4.X线平片肾影增大,造影患肾不显影。

治疗:肾脓肿治疗不及时,脓液可穿透肾包膜形成肾周围脓肿或尿源性败血症,同时应用足量抗菌素,如果肾尚能保留,首先要解除病因:如取出梗阻的结石,或整复输尿管畸形术,行肾造口,引流脓液,保留肾功能,缓解症状,肾脏破坏严重,功能严重丧失,需行肾切除术。  

疾病分类[编辑 | 编辑源代码]

泌尿外科  

疾病描述[编辑 | 编辑源代码]

急性肾盂肾炎肾盂肾实质的急性细菌性炎症。  

症状体征[编辑 | 编辑源代码]

1.发热 突然发生寒颤高热体温上升至39℃以上,伴有头痛、全身痛以及恶心、呕吐等。热型类似脓毒症,大汗淋漓后体温下降,以后又可上升,持续1周左右。

2.腰痛 单侧或双侧腰痛.有明显的肾区压痛、肋脊角叩痛

3.膀胱刺激症状 由上行感染所致的急性肾盂肾炎起病时即出现尿频尿急尿痛血尿,以后出现全身症状。血行感染者常由高热开始,而膀胱刺激症状随后出现.有时不明显。  

疾病病因[编辑 | 编辑源代码]

致病菌主要为大肠杆菌和其他肠杆菌及革兰阳性细菌.如副大肠杆菌、变形杆菌、粪链球菌葡萄球菌、产碱杆菌绿脓杆菌等。极少数为真菌、病毒原虫等致病菌。多由尿道进入膀胱,上行感染经输尿管达肾,或由血行感染播散到肾。女性的发病率高于男性数倍。女性在儿童期、新婚期、妊娠期和老年时更易发生。尿路梗阻、膀胱输尿管反流尿潴留等情况可以造成继发性肾盂肾炎。  

病理生理[编辑 | 编辑源代码]

致病菌主要为大肠杆菌和其他肠杆菌及革兰阳性细菌.如副大肠杆菌、变形杆菌、粪链球菌、葡萄球菌、产碱杆菌、绿脓杆菌等。极少数为真菌、病毒、原虫等致病菌。多由尿道进入膀胱,上行感染经输尿管达肾,或由血行感染播散到肾。女性的发病率高于男性数倍。女性在儿童期、新婚期、妊娠期和老年时更易发生。尿路梗阻、膀胱输尿管反流及尿潴留等情况可以造成继发性肾盂肾炎。  

诊断检查[编辑 | 编辑源代码]

诊断:有典型的临床表现,尿液检查有白细胞、红细胞蛋白、管型和细菌,尿细菌培养每毫升尿有菌落100000以上,血白细胞计数升高.中性粒细胞增多明显,确定诊断不困难。 临床上急性肾盂肾炎常伴膀胱炎,而下尿路感染又可上行感染累及肾,有时不易区别。然而,下尿路感染以膀胱刺激症状为主要临床表现.并常有下腹部不适、酸胀,很少有寒颤、发热等全身症状。在急性期症状控制后,应对患者作进一步检查,查明有无泌尿系梗阻、膀胱输尿管反流等解剖异常,以便进一步治疗。  

治疗方案[编辑 | 编辑源代码]

治疗:

1.全身治疗 卧床休息,输液、多饮水,维持每日尿量达1.5 L以上,有利于炎症产物排出。注意饮食易消化、富含热量和维生素。

2.抗菌药物治疗 可选用药物有:

①SMZ-TMP对除绿脓杆菌外的革兰阳性及阴性菌有效。

喹诺酮类药物抗菌谱广、作用强、毒性少,除不宜用于儿童及孕妇外,临床已广泛应用。

青霉素类药物。

④第一、二代头孢菌素可用于产酶葡萄球菌感染第二、三代头孢菌素对严重革兰阴性杆菌感染作用显著,与氨基糖苷类合用有协同作用。哌拉西林头孢哌酮头孢他定阿米卡星妥布霉素等对绿脓杆菌及其他假单孢菌等感染有效。

去甲万古霉素适用于耐甲氧西林的葡萄球菌、多重耐药的肠球菌感染及时青霉素过敏患者的革兰阳性球菌感染。亚胺培南-西拉司丁钠(泰能)抗菌谱广,对革兰阴性杆菌杀菌活性好。这两种尤适用于难治性院内感染及免疫缺陷者的肾盂肾炎。 以上的治疗宜个体化,疗程7~14日,静脉用药者可在体温正常,临床症状改善,尿细菌培养转阴后改口服维持。

3.对症治疗 应用碱性药物如碳酸氢钠枸橼酸钾,降低酸性尿液对膀胱的刺激。以缓解膀胱刺激症状。Ca离子通道拮抗剂维拉帕米(异搏定)或盐酸黄酮哌酯(泌尿灵)可解除膀胱痉挛和缓解刺激症状。  

疾病预防[编辑 | 编辑源代码]

感染的预防。