链球菌
链球菌(Streptococcus)是化脓性球菌的另一类常见的细菌,广泛存在于自然界和人及动物粪便和健康人鼻咽部,引起各种化脓性炎症,猩红热,丹毒,新生儿败血症,脑膜炎,产褥热以及链球菌变态反应性疾病等。
细胞沿一个面分裂,常排列成链状的细菌。革兰氏染色阳性,但在陈旧培养基或脓液标本中常呈阴性。广泛分布于自然界。分为致病性和非致病性两大类。根据在血琼脂培养基上的溶血特征可分为三种不同类型:甲型(α)溶血性链球菌又称草绿色链球菌,菌落周围出现草绿色溶血环,通常寄居在人的口咽腔、呼吸道及肠道中,致病力弱。乙型(β)溶血性链球菌产生强烈的溶血毒素,在血琼脂培养基上,可使菌落周围出现宽2~4毫米、界限分明、无色透明的溶血环,致病力强,能引起人类多种疾病、根据抗原构造不同,又分成A、B、C、D等18个群,在每一群中,因表面抗原的不同,又分成若干亚群,对人类有致病性的绝大多数属于A群。丙型(γ)链球菌不溶血,对人类无致病作用。链球菌所致疾病具有复杂而多样的特点,一方面,由于细菌类型多,且既有侵袭力也有毒素;另一方面,人体各组织器官均高度易感,且有变态反应机制参与发病。链球菌产生的侵袭性酶有:透明质酸酶、链球菌激酶和链道酶(streptodornase)等;产生的毒素有:链球菌溶血素、红斑毒素(一种耐热的外毒素,又叫猩红热毒素,由A群链球菌中的部分菌株所产生)。变态反应性疾病如风湿热、急性肾小球性肾炎等,均可由A群链球菌感染引发。
生物学性状[编辑 | 编辑源代码]
(一)形态染色
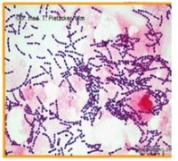
球形或卵圆形,直径0.6~1.0um,呈链状排列,短者4~8个细菌组成,长者有20~30个细菌组成。幼龄培养物大多可见到透明质酸形成的荚膜。无芽胞,无鞭毛,革兰氏染色阳性。
(二)培养特性
需氧或兼性厌氧,有些为厌氧菌。营养要求较高。普通培养基中需加有血液、血清、葡萄糖等才能生长。最适温度37℃,最适PH7.4~7.6,血琼脂平板上形成灰白、光滑、圆形突起小菌落,不同菌株有不同溶血现象。
(三)生化反应
能发酵简单的糖类,产酸不产气。一般不分解菊糖,不被胆汁或1%去氧胆酸钠所溶解。这两种特性用来鉴定甲型溶血型链球菌和肺炎球菌。
(四)抗原结构
主要有三种:
1.核蛋白抗原或称P抗原,无特异性,各种链球菌均同,与葡萄球菌有交叉。
2.多糖抗原或称C抗原系统族特异性抗原,是细菌壁的组成成份。对人致病的90%属于A族,其次为B族,其它族少见。
3.蛋白质抗原或称表面抗M、R、T、S等四种不同性制质的抗原组份,具有型特异性。是链球菌细胞壁的蛋白质抗原,位于C抗原外层,同族链球菌可根据表面抗原不同进行分型,如A族链状菌可据此分为60多型。
(五)分类
1.根据对红细胞的溶血能力
(1)甲型溶血性链球菌(α-Hemolytic streptococcus),菌落周围有1~2mm宽的草绿溶血环,称甲型溶血或α溶血。这类链球菌亦称草绿色链球菌(Streptococcus viridans)。此类链球菌为条件致病菌。
(2)乙型溶血性链球菌(β-Hemolytic streptococcus)菌落周围形成一个~4mm宽,界限分明、完全透明的溶血环,完全溶血,称乙型溶血或β溶血。这类细菌又称溶血性链球菌(Streptoccus hemolyticus),致病力强,引起多种疾病。
(3)丙型链球菌(γ-Streptococcus),不产生溶血素,菌落周围无溶血环,故又称不溶血性链球菌(Streptococcus non-hemolytics),一般不致病。
2.根据抗原结构分类
按C抗原不同可分类A、B、C、D、E、F、G、H、K、L、M、N、O、P、Q、R、S、T等18个族。对人致病的大多属于A族。A族又称为化脓性链球菌 (Pyogenic streptococcus)。
3.根据对氧需求分类 又可分为需氧、兼性厌氧和厌氧三大类链球菌。
(六)抵抗力
抵抗力,55℃可杀死大部分链球菌,对一般消毒剂敏感,在干燥尘埃中可存活数日,对青霉素、红霉素、氯霉素、四环素等均敏感,耐药性低。
致疾性与免疫性[编辑 | 编辑源代码]
(一)致病物质
A族链球菌有较强的侵袭力,可产生多种酶和外毒素。
1.M蛋白 是链球菌细胞壁中的蛋白质组份,具有抗吞噬和抗吞噬细胞内的杀菌作用。纯化的M蛋白能使纤维蛋白原沉淀,凝集血小板,白细胞,溶解多形核细胞,并抑制毛细血管中的细胞的移动。M蛋白有抗原性,刺激机体产生型特异性抗体,并与变态反应疾病有关。
2.脂磷壁酸(LTA) 与细菌粘附于宿主细胞表面有关,大多数LAT位于细胞膜和肽聚糖之间,通过肽聚糖孔伸展至细菌细胞表面,人类口腔粘膜和皮肤上皮细胞、血细胞等细胞膜上均有LAT的结合位点。
3.透明质酸酶(Hyaluronidaes),能分解细胞间质的透明质酸,使病菌易于在组织中扩散。又称为扩散因子。
4.链激酶(Streptokinase , SK),又称链球菌溶纤维蛋白酶(Streptococcal fibrinolysin)是一种激酶,能激活血液中的血浆蛋白酶原,成为血浆蛋白酶,即可溶解血块或阻止血浆凝固,有利于细菌在组织中的扩散。耐热,100℃50分钟加热仍保持活性。链激酶抗体能中和该酶的活性。
5.链道酶(Streptodonase)又名脱氧核糖核酸酶(Streptococcal deoxyribonuclease)。主要由A、C、G族链球菌产生。此酶能分解粘稠脓液中具有高度粘性的DNA,使脓汁稀薄易于扩散。产生的相应抗体有中和该酶的活性。用链激酶、链道酶制剂进行皮肤试验作为测定机体细胞免疫的一种方法。
6.链球菌溶血素(Streptolysin)有溶解红细胞,杀死白细胞及毒害心脏的作用,主要有“O”和“S”两种。
链球菌溶血素O(Streptolysin O;SLO) 为含-SH基的蛋白质,对氧敏感,遇氧时一SH基即被氧化为-SS-基,暂时失去溶血能力。若加入0.5%亚硫酶钠和半胱氨酸等还原剂,又可恢复溶血能力。溶血素O能破坏白细胞和血小板。动物试验又证实对心脏有急性毒害作用,使心脏骤停。抗原性强,感染后2~3周,85%以上病上产生抗“O”抗体,病愈后可持续数月甚至数年,可作为新近链球菌感染,或可能风湿活动的辅助诊断。
溶血素“S”(Streptolysin S,SLS) 是一种小分子的糖肽,无抗原性。对氧稳定,对热和酸敏感。血平板所见透明溶血是由“S”所引起,能破坏白细胞和血小板,给动物静注可迅速致死。注射小鼠腹腔,引起肾小管坏死。
7.致热外毒素(Pyrogenic extoxin)曾称红疹毒素(Erythrotoxin)或猩红热毒素(Scarletfever toxin)是人类猩红热的主要致病物质,为外毒素,使病人产生红疹。该毒素是蛋白质,对热稳定,具有抗原性,则产生的毒素能中和该毒素的活性。但可分为A、B、C三种不同抗原性的毒素。无交叉保护作用。该毒素还有内毒素样的致热作用,对细胞或组织有损害作用。
(二)所致疾病链球菌引起人类多种疾患,A族占90%以上,在致分为化脓性、中毒性和变态反应三类。
1.化脓性炎症 由皮肤伤口侵入,引起皮肤及皮下组织化脓性炎症,如疖痈,蜂窝组织炎、丹毒等。沿淋巴管扩张,引起淋巴管炎,淋巴腺炎,败血症等,经呼吸道侵入,常有急性扁桃腺炎、咽峡炎,并蔓延周围引起脓肿、中耳炎、乳突炎、气管炎、肺炎等。不卫生接生,经产道感染,造成“产褥热”。
2.猩红热 由产生致热外毒素的A族链球菌所致的急性呼吸道传染病,临床特征为发热、咽峡炎、全身弥漫性皮疹和疹退后的明显脱屑。
3.链球菌感染后疾病 主要是病原菌引起的变态反应疾病
风湿热 由A族链球菌的多种型别引起,临床表现以关节炎、以肌炎为主。致病机理认为两种:一是第Ⅱ型变态反应,链球菌细壁多糖抗原和心肌瓣膜,关节组织糖蛋白有共同抗原性,胞壁蛋白抗原和心肌有共同抗原性。二是第Ⅲ型变态反应,可能是M蛋白的免疫复合物沉积于心瓣膜和关节滑液膜上造成。
急性肾小球肾炎 多见于儿童和少年,大多数由A族12型链球菌引起。临床表现为蛋白尿、浮肿和高血压。也是一种变态反应性疾病。链球菌的某些抗原与肾小球基底膜有共同抗原,机体针对链球菌所产生的抗体与肾小球基底膜发生反应,属第Ⅱ型变态反应。由链球菌的M蛋白所产生的相应抗体形成的免疫复物沉积于肾小球基底膜,造成基底膜损伤,属于第Ⅲ型变态反应。
4.其他疾病
B族链球菌又称无乳链球菌(Streptococus agalactiae)当机体免疫功能低下时,可引起皮肤感染、心内膜炎、产后感染、新生儿败血症和新生儿脑膜炎。
甲型(草绿色)链球菌 人类口腔和上呼吸道的正常菌群,若心脏瓣膜已有缺陷或损伤,本菌可在损伤部位繁殖,引起亚急性细菌性心内膜炎。在拔牙或摘除扁桃体时,寄居在口腔、龈缝中的草绿色链球菌可侵入血流引起菌血症。
(三)免疫性
A族链球菌感染后,可产生特异免疫,主要是M蛋白的抗体(lgG)。由于型别多,无交叉免疫性。猩红热病后可产生对同型红疹毒素的抗体,建立同型抗毒素免疫。检测易感人群对猩红热有无感受性的试验称为狄克氏试验(Dick test),即用一定量红疹毒素作皮肤试验。
微生物学检查法[编辑 | 编辑源代码]
根据链球菌所致疾病不同,可采取脓汁、咽拭、血液等标本送检。
取脓汁涂片,革兰氏染色,镜检,发现革兰氏阳性呈链状排列的球菌,就可以初步诊断。
(二)分离培养
脓汁或棉拭直接划线接种在血琼脂平板上,孵育后观察有无链球菌菌落。根据溶血性不同,可区分为甲型、乙型或丙型链球菌。有β溶血的菌落,应与葡萄球菌区别;α溶血的菌落,要和肺炎球菌鉴别。疑有败血症的血标本,应先在葡萄糖肉汤中增菌后再在血平板上分离鉴定。心内膜炎病例,培养草绿色链球菌宜孵育3个星期以上。
(三)血清学试验
抗链球菌溶血素O试验(Anti-streptolysin O test,ASO test)简称抗O试验。常用于风湿热的辅助诊断。患者血清中的抗O大多在250单位左右,活动者一般超过400单位。 Dick试验 猩红热病人早期阳性,病后转阴。
防治原则[编辑 | 编辑源代码]
链球菌感染的防治原则与葡萄球菌相同。链球菌主要通过飞沫传染,应对病人和带菌者及时治疗,以减少传染源。空气、器械、敷料等注意消毒。对急性咽峡炎和扁桃体炎患者,尤其是儿童,须治疗彻底,防止变态反应疾病的发生。所有溶血性A链球菌对磺胺、青霉素及红霉素等都敏感。其他族细菌对抗生素的敏感不同,临床应用最好作药物敏感试验。
