肺大疱
肺大疱有先天性和后天性两种。先天性多见于小儿,因先天性支气管发育异常,粘膜皱襞呈瓣膜状,软骨发育不良,引起活瓣作用所致。后天性多见于成人、老年患者,常伴慢性支气管炎和肺气肿。小儿多见于金黄色葡萄球菌肺炎,由于细支气管炎症、水肿、粘液堵塞,形成局部阻塞活瓣作用。
病理改变[编辑 | 编辑源代码]
肺大疱的壁甚薄,由肺泡的扁平上皮细胞组成,也可能仅为纤维性膜。可与多种肺气肿并存,常见于间隔旁侧或细叶旁肺气肿,可伴有碳末沉着,如煤矿工人尘肺,或不伴有碳末沉着,如瘢痕组织肺气肿。根据病理形态将肺大疱分为三种类型。
Ⅰ型:狭颈肺大疱。突出于肺表面,并有一狭带与肺相连。因为支气管瘢痕组织形成的活瓣性阻塞,肺大疱体积增大系由于肺泡侧支通气和气体滞留。Ⅰ型肺大疱壁薄,常由胸膜和结缔组织形成,多发生于中叶或舌叶,也常见于肺上叶,可能由于该部位胸腔负压大,常规胸片即可发现肺大疱的存在。
Ⅱ型:宽基底部表浅肺大疱。位于肺表层,在脏层胸膜与气肿性肺组织之间。肺大疱腔内可见结缔组织间隔,但它不构成肺大疱的壁,可见于肺的任何部位。
Ⅲ型:宽基底部深位肺大疱。结构与Ⅱ型相似,但部位较深,周围均为气肿性肺组织,肺大疱可伸展至肺门,可见于任何肺叶。
当肺大疱体积增大时,周围肺组织受压迫并引起肺脏移位。受压肺组织在X线胸片上,表现为肺大疱周围密度增高阴影。以上三型均见于慢性支气管炎。小叶中心型肺气肿不并发肺大疱。下叶肺大疱常见于有并发症的煤矿工人尘肺和融合性矽肺。
临床表现[编辑 | 编辑源代码]
小的肺大疱本身不引起症状,单纯肺大疱的患者也常没有症状,有些肺大疱可经多年无改变,部分肺大疱可逐渐增大。肺大疱的增大或在其他部位又出现新的肺大疱,可使肺功能发生障碍并逐渐出现症状。巨大肺大疱可使患者感到胸闷、气短。肺大疱突然增大破裂,可产生自发性气胸,而引起严重呼吸困难,也可出现类似心绞痛的胸痛。
肺大疱患者常合并有慢性支气管炎、支气管哮喘、肺气肿,临床症状也主要由这些疾病引起,只是在肺大疱形成后,临床症状进一步加重。肺大疱继发感染,可引起咳嗽、咳痰、寒战和发热,严重时出现发绀。如果引流支气管阻塞,肺大疱腔被炎性物质充满,可使空腔消失。临床上可能出现经治疗后感染症状消失,而胸片上肺大疱阴影持续数周或数月不消退的情况。
诊断[编辑 | 编辑源代码]
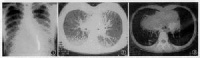
胸部X线检查是诊断肺大疱的最好方法。肺尖部肺大疱表现为位于肺野边缘甚细薄的透亮空腔,可为圆形、椭圆形或较扁的长方形,大小不一,较大的肺大疱中,有时可见到横贯的间隔。多个肺大疱靠拢在一起可
呈多面状。一般不与较大支气管直接相通,无液平,支气管造影剂也不能进入。肺底部的肺大疱,在正位胸片上常常不易见到,有的可以完全位于膈顶水平之下,有的则仅有部分位于膈顶之上,肺大疱壁如不显示为连贯的环状线条影,很易被误认为幕顶状胸膜粘连。巨大肺大疱一般具有张力,在其周围可有一层压迫性肺不张,使疱壁显得较厚,贴近胸壁的可不清楚。附近的肺被推压而引起部分肺不张,肺纹理聚拢,透亮度减低。肺大疱可以相互融合而形成占位很大的肺大疱,形似局限性气胸。肺大疱也可破裂而产生局限性气胸。
肺大疱与局限性气胸的鉴别要点是:肺大疱向四周膨胀,所以在肺尖区、肋隔角或心膈角区均可见到被压迫的肺组织;而局限性气胸则主要是将肺组织向肺内推压,通常可见被压迫的肺部边缘缩向肺门,肺大疱无这种现象。因此虽然在两者中都可见有条状间隔,仍可给予区别。
透视和呼气相胸片有助于发现肺大疱,因呼气时气体滞留使肺大疱体积显得相对增大,边缘更加清楚。断层对明确肺大疱轮廓和显示周围肺组织的压迫与移位也有帮助。并存小叶性肺气肿时,断层片也可显示肺血管形状的异常。
CT检查可发现胸膜下有普通胸片不易显示的直径在1cm以下的肺大疱。
肺血管造影可准确表现肺血管受损的程度,以及肺大疱周围血管被压挤的情况。
化验检验[编辑 | 编辑源代码]
X线表现
肺野透亮度增加,可见少许细网状结构,肺界限不清,大疱周围可见到受压致密的肺纹影。
并发症[编辑 | 编辑源代码]
自发性气胸是肺大疱最常见的并发症,其次是感染和自发性血气胸。
自发性气胸[编辑 | 编辑源代码]
肺大疱可以没有任何症状。在突然用力,如剧烈咳嗽、提重物或体育运动时压力突然增加,肺大疱破裂,
气体自肺内进入胸膜腔,形成自发性气胸时,可能出现呼吸困难,气急、心慌,脉搏加快等,气胸使胸膜腔负压消失,气体压缩肺组织使其向肺门部萎陷,萎陷的程度取决于进入胸腔的气体的多少,以及肺及胸膜原有病变的病理情况,进入胸腔的气体量大,肺组织原有病变轻,顺应性尚好的,肺萎陷较多,有时可达到一侧胸腔的90%,气体迅速进入胸腔,肺组织急速萎缩,则症状严重,甚至有发绀。如果患者除肺大疱以外,尚合并有肺气肿、肺纤维化、肺组织长期慢性感染等病变,肺大疱破裂时虽然有一部分气体进入胸腔,而肺组织萎陷程度可以较轻,但因为患者原有肺功能已减退,症状也较重。X线可见被压缩的肺形成的气胸线,如果有粘连存在,则气胸线不规则。肺大疱破裂后,其中一小部分裂口较小,肺组织萎缩后裂口自行闭合,漏气停止,胸腔积气逐渐吸收,胸腔负压恢复,肺复张痊愈。
张力性气胸[编辑 | 编辑源代码]
若肺大疱破裂后形成活瓣,吸气时胸腔负压增高,气体进入胸腔,呼气时活瓣关闭,气体不能排出,尤其是咳嗽时,声门关闭气道压力增高,气体进入胸腔,声门开放后,气道压力减低,裂口又闭合,每一次呼吸和咳嗽都使胸腔内气体量增加,就形成张力性气胸。张力性气胸时患侧肺组织完全萎缩,纵隔被推向健侧,在健侧肺组织亦被压缩的同时心脏大血管移位,大静脉扭曲变形,影响血液回流,造成呼吸循环严重障碍,患者可出现呼吸困难、脉快、血压下降,甚至窒息、休克。患侧胸廓隆起,多伴有患侧皮下气肿,气管明显向健侧移位,病情危重,常需要急诊处理。
自发性血胸[编辑 | 编辑源代码]
肺大疱引起的自发性血胸,多数由肺尖部的大疱或大疱周围的肺组织与胸顶粘连及粘连撕裂活动出血。粘连带中的小动脉直径可达0.2cm,血管起源于体循环,压力较高,同时胸腔内是负压,更增加了出血的倾向。另外,由于肺、心脏、膈肌运动的去纤维化作用,胸腔内的血液不凝固,因此出血很难自动停止。临床症状可因出血的快慢而不同,出血缓慢时,患者可表现为逐渐加重的胸闷,呼吸困难,X线可见膈角变钝,或胸腔积液的抛物线影像。出血迅速时,短期内可以有休克表现。
自发性血气胸[编辑 | 编辑源代码]
肺大疱及周围肺组织与胸壁的粘连被撕裂时,如果粘连带中有血管破裂,同时肺组织也被损伤,就形成自发性血气胸。
近年来,一些学者指出膈肌活动幅度可能在自发性血气胸的发生中起决定性的作用,在摒气、用力等剧烈活动时,膈肌活动幅度增大,对胸顶的粘连索带产生骤然直接或间接的拉力,由于肺组织较胸膜疏松,故易在肺侧撕裂造成既出血又漏气的血气胸。若撕脱在索带的壁侧或中央段,则仅出现血胸。瘦长型青年膈肌活动幅度较大,并因体瘦胸肌多不发达,更依赖腹式呼吸,但中年以后腹腔内脂肪积累逐渐增多,在不同程度上限制了膈肌活动,故即使存在上述病理改变,也很少发病。女性以胸式呼吸为主,发病率较低。右肺为三叶,其叶间隙对猛然的向下牵拉起一定的缓冲作用,且右肺下尚有肝脏,可能是右侧发病较少的原因。因此,自发性血气胸患者有年龄轻、男性多于女性、左侧多于右侧、多为瘦长体型等特点。双侧自发性气胸也时有发生,多是左侧先发,右侧后发,个别情况下是双侧同时发生,病情危急,甚至有生命危险。
肺大疱继发感染[编辑 | 编辑源代码]
多数情况下,肺大疱均发生在八级以上支气管远端,绝大多数是不感染的,但如果引流支气管堵塞,肺大疱支气管内充满炎性分泌物,患者可出现发热、咳嗽、咳痰等感染症状,有时经抗感染治疗后,临床症状好转,而胸片上感染的征象仍可持续较长一段时间。
治疗[编辑 | 编辑源代码]
小儿先天性肺大疱,临床有症状或反复发作者,可采用手术治疗。若为继发炎症的肺大疱,以药物控制炎症为主。成人的肺大疱,出现呼吸窘迫、感染、出血及反复并发气胸者,均为手术适应证。 手术原则以切除大疱,尽量保存健康肺组织。双侧性肺大疱,在必须手术时,应先切除较严重一侧,必要时6个月后再施行另一侧手术。
临床上对老年人、病程长、病变广泛严重而影响呼吸功能者,术前必须进行肺功能检查及动脉血气分析和放射性核素肺扫描,应用133氙(133Xe)或113m铟(113mIn)。测录肺扫描图,可了解肺区域性通气功能及肺血流灌注量。肺大疱在同位素扫描图中,示占位性病变,呈缺损区。此法为无创伤性检查,患者乐意接受,也可应用在术后复查。
测定肺大疱周围受压的肺可恢复的情况,即肺功能恢复的可能性,在决定手术指征时极为重要。
预防保[编辑 | 编辑源代码]
1.饮食虽无特殊要求,但应增加营养,多食优质蛋白、多食富含维生素的食物,少食刺激性食物、饮料,忌烟酒,避免感染。
2.患者及家属常常担心费用,手术疗效,甚至恐惧手术,故围手术期进行细致的心理护理可缓解患者紧张情绪,减少应激反应。
3.术前戒烟、深呼吸训练、有效咳嗽排痰等呼吸道准备可改善分泌物的清除能力,解除支气管痉挛,减少呼吸道分泌物。
预防并发症时,呼吸道的护理尤为重要:术后应给低流量持续吸氧,鼓励深呼吸,每2小时翻身拍背1次;做好心理护理,避免因疼痛或担心管子脱落而拒绝咳嗽咳痰;患者应学会正确的排痰方法,如:在深吸气后屏气,轻咳数次,将痰咳至咽部,同时按压胸部,最后用力咳嗽把痰咳出;若痰液粘稠者,应多饮水,以稀释痰液,便于痰液排出。
