肱骨内上髁骨折

来自医学百科

肱骨内上髁骨折是肘部损伤中最常见的一种,多见于青少年,约

Bka5p.jpg

肘关节骨折的10%,仅次于肱骨髁上骨折肱骨外髁骨折,占肘部损伤的第三位。  

病因诊断[编辑 | 编辑源代码]

X线照片,可明确诊断。

应注意有无合并其他损伤,如桡骨头、颈、尺骨鹰嘴骨折等。  

治疗措施[编辑 | 编辑源代码]

对Ⅰ°Ⅱ°骨折,在屈肘、屈腕、前臂旋前位,用手指向后上方推挤内上髁即可复位。用长臂石膏托或夹板制动3周。Ⅲ°骨折,应尽早复位。在伸肘背伸腕,伸直手指前臂旋后位,使肘极度外翻,利用屈肌群的紧张,将骨块由肘关节拉出,按Ⅱ°骨折处理。Ⅳ°骨折,应使屈肌群保持紧张的情况下,整复肘关节脱位。避免脱位整复后,将内上髁嵌于关节内。内上髁拉出关节后,即可按Ⅱ°骨折处理。

对手法复位失败,有尺神经症状,或同时合并其他骨折者,以及陈旧损伤,应作切开复位内固定手术。用两枚克氏针交叉固定,较为适宜。对尺神经有明显的扭曲、辗挫时,应同时将尺神经前移。  

发病机理[编辑 | 编辑源代码]

肘关节伸直位摔倒时手部撑地,上肢处于外展位,外翻应力使肘关节外翻,同时前臂屈肌群猛然收缩,将内上髁撕脱,内上髁是一个闭合比较晚的骨骺,在未闭合以前骺线本身就是潜在的弱点。故可使发生骨骺分离,牵拉向下向前,并旋转移位。同时肘关节内侧间隙暂时被拉开,或发生肘关节后外侧脱位,撕脱的内上髁(骨骺),被夹在关节内,根据损伤的严重程度,可分为4度。  

创伤机制[编辑 | 编辑源代码]

跌倒时前臂屈肌腱的猛烈收缩牵拉或肘部受外翻应力作用而引起肱骨内上踝骨折或骨骺分离骨折。

Ⅰ°损伤:仅有骨折或骨骺分离,移位甚微。

Ⅱ°损伤:骨块向下有移位,并向前旋转移位,可达关节水平。

Ⅲ°损伤:骨折块嵌夹在关节内,并有肘关节半脱位

Ⅳ°损伤:肘关节后脱位或后外侧脱位,骨块夹在关节内。  

临床表现[编辑 | 编辑源代码]

儿童比成年人多见。受伤后肘内侧和内上踝周围软组织肿胀,或有较大血肿形成。临床检查肘关节的等腰三角形关系存在。

疼痛,特别是肘内侧局部肿胀、压痛、正常内上髁的轮廓消失。肘关节活动受限,前臂旋前、屈腕、屈指无力。合并肘关节脱位者,肘关节外形明显改变,功能障碍也更为明显,常合并有尺神经损伤症状。  

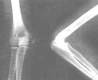
影像学表现[编辑 | 编辑源代码]

5岁-7岁以上的儿童肱骨内上髁骨骺已经骨化,肱骨内上髁骨骺分离X线表现为点状骨骺与肱骨远端分离较远,可并有向下移位,局部软组织肿胀。

成年人的肱骨内上髁骨折,损伤程度差异很大。可为整个肱骨内上髁骨折,亦可仅为少量撕脱骨片。  

鉴别诊断[编辑 | 编辑源代码]

肱骨内上髁骨骺,约在6~10岁时出现,18岁左右闭合,但有时可能有不闭合者,应注意与骨折鉴别。