肱骨髁上骨折

来自医学百科
Bkm3u.jpg

【概述】

肱骨髁上骨折以小儿最多见,占儿童肘部骨折的30%~40%,好发年龄为5~12岁。早期处理不当易发生缺血性挛缩晚期可出现肘内翻畸形

【诊断】

明显外伤史,患肢疼痛,活动受限。X 线片可确定诊断及骨折类上臂短缩、前臂正常上臂正常、前臂短缩型

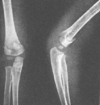
影像学表现]

伸直型肱骨髁上骨折的特点是:骨折线位于肱骨下段鹰嘴窝水平或其上方,骨折的方向为前下至后上,骨折向前成角,远折端向后移位。

屈曲型肱骨髁上骨折的骨折线可为横断,骨折向后成角,远折端向前移位或无明显移位。

【治疗措施】

1、青枝骨折

骨折端无移位,若前倾角消失,不需复位;前倾角增大,在臂丛麻醉或全麻下,轻柔手法复位,长臂石膏固定于功能位3~4周。

2、有移位的骨折

在臂丛或全麻下手法复位,长臂石膏固定4~6周。手法复位的要点为:先纵向牵引纠正重叠移位,再侧方挤压纠正侧方移位,最后纠正前后移位。桡侧侧方移位不必完全纠正,尺侧侧方移位应矫枉过正,以避免发生肘内翻畸形.屈曲型骨折,复位后固定于半伸直位;伸直型骨折,复位后固定于小于900屈曲位,以骨折稳定又不影响手部循环为度。若屈曲位影响循环,稍伸直后骨折又不稳定,可在电视Х线机透视下经皮克氏针交叉固定,外加石膏托适当屈曲位外固定;亦可牵引治疗,消肿后再石膏固定。

3、牵引治疗

适用于骨折超过24~48h,软组织严重肿胀,已有水泡形成,不能手法复位,或复位后骨折不稳定。

4、开放复位

适用于手法复位失败者;开放性骨折;骨折合并血管损伤者;骨不连;骨折畸形连接或肘内、外翻畸形严重者,可行截骨术矫正。

5、骨折合并神经损伤

先复位固定骨折,观察1~3个月,若无恢复则行神经探查松解或修复术。

6、缺血性挛缩

关键是早期诊断和预防。对出现5“P”征者,首先复位骨折、解除压迫因素。仍无改善者,即应早期探查、修复血管,必要时行筋膜间室切开减压。

肱骨髁上骨折的药物治疗

初期

【治法】 活血祛瘀,消肿止痛。

【方药】

1.主方肢伤一方(广东中医学院《外伤科学》)

处方:当归10克,赤芍10克,生地黄10克,桃仁6克,黄柏6克,防风6克,木通6克,乳香5克,甘草5克。水煎服,每日l剂。

若肿胀严重者,加丹参15克、茅根12克、三七粉3克(冲)。合并神经损伤者,加威灵仙10克、地龙6克。

2.中成药跌打万花油,用消毒纱块放入药油中浸泡片刻,即成为万花油纱,直接外敷骨折处,然后再上夹板固定。如有张力性水泡者,可在穿刺抽液后再外敷。

中期

【治法】 和营生新,接骨续损。

【方药】

主方生血补髓汤(钱秀昌《伤科补要》)

处方:生地黄12克,白芍9克,黄芪9克,杜仲9克,五加皮9克,牛膝9克,当归9克,续断9克,川芎6克,红花5克。水煎服,每日剂。

后期

【治法】 补肝肾,养气血,壮筋骨。

【方药】

1.主方肢伤三方(广东中医学院《外伤科学》)

处方:黄芪15克,熟地黄15克,当归12克,白芍12克,续断12克.骨碎补12克,威灵仙12克,木瓜12克,天花粉12克,自然铜10克,土鳖虫10克。水煎服,每日剂。

2.外用方①骨科外洗一方(广东中医学院《外伤科学》):处方:宽筋藤30克,钩藤30克,忍冬藤30克,王不留行30克,刘寄奴15克,防风15克,大黄15克,荆芥10克。煎水熏洗患肢,每日剂。②软坚舒筋汤(熊曼琪等《实用家庭中医百科全书》):处方:宽筋藤30克,络石藤30克,刘寄奴30克,威灵仙12克,防风12克,红花10克,苏木10克,乌梅10克,白醋30克(后下)。煎水熏洗合并损伤性骨化者之患肢,每日l剂。

肱骨髁上骨折的练功活动 骨折复位固定后,即可开始进行练功活动,可作握拳、屈伸腕关节等活动。解除夹板固定后,应积极主动锻炼肘关节屈伸活动,严禁暴力被动屈伸肘关节,以免发生损伤性骨化,影响肘关节活动功能。

病因学

1、伸直型

最多见,占90%以上。跌倒时肘关节处于半屈曲位或伸直位,手掌着地,暴力沿前臂传导肱骨下端,将肱骨髁推向后方,而重力将肱骨干推向前方,造成肱骨髁上骨折。骨折线由前下斜向后上方,骨折远端向后上移位,近端向前下移位,严重时可损伤正中神经肱动脉。按骨折的侧方移位情况,又可分为尺偏型和桡偏型。其中尺偏性骨折肘内翻发生率可高达74%。

2、屈曲型

较少见,约占5%。肘关节在屈曲位跌倒,暴力由后下方向前上方撞击尺骨鹰嘴,髁上骨折后远端向前移位,骨折线由后下斜向前上方。

并发症

缺血性挛缩

【鉴别诊断】

肱骨髁上骨折与肘关节脱位鉴别要点

1、肱骨髁上骨折(申直型)

肘关节可部分活动

肘后三角无变化

上臂短缩、前臂正常

2、肘关节脱位

肘关节弹性固定

肘后三角有变化

上臂正常、前臂短缩

参看[编辑 | 编辑源代码]