横纹肌肉瘤

来自医学百科

横纹肌肉瘤(rhabdomyosarcoma)是起源于横纹肌细胞或向横纹肌细胞分化的间叶细胞的一种恶性肿瘤为儿童软组织肉瘤中最常见的一种少发生于成人。男性较女性多见。少发生于成人。男性较女性多见。胚胎型横纹肌肉瘤,多发于8岁前儿童(平均年龄为6岁),腺泡型横纹肌肉瘤见于青春期男性(平均年龄为12岁),多型性横纹肌瘤最常见于成人,也可见于儿童没有其他相关内容描述。横纹肌肉瘤发生率次于恶性纤维组织细胞男友瘤和抗生素脂肪肉瘤,居软组织肉瘤的第三位。

概述[编辑 | 编辑源代码]

横纹肌肉瘤是本来应该成为肌肉的细胞(横纹肌母细胞癌变后的疾病。因这种细胞分布在全身,所以身体的任何地方都可发病。除躯干、四肢之外,还多发生于眼窝中耳鼻咽部、下鄂、颊部等头颈部,以及膀胱阴道子宫等泌尿、生殖器。推测日本每年约有70人发病。从乳幼儿到年长儿广泛分布,尤其多见于1~5岁的儿童。

自觉症状在肿瘤部位可触摸到比较有弹性且不伴有疼痛的坚硬包块

横纹肌肉瘤

。另外,根据肿瘤的发生部位,可伴发各种不同的症状。如发生在眼窝,则眼球突出眼睑下垂眼皮垂下来);发生在中耳,出现顽固性的耳漏化脓性中耳炎)、耳鸣;发生在鼻咽部,则有鼾鸣、流鼻涕;发生在膀胱,出现尿频血尿排尿困难等;在阴道,子宫发病,则表现为带下(黄白带下),生殖器出血等。由于本病几乎没有疼痛,有不少病例在肿瘤长大之前发觉不了。

因此,平时在家庭中要经常观察孩子,如果摸到了包块以及出

横纹肌肉瘤

现以上所述的异常症状的话,请去专门医院就诊。横纹肌肉瘤比较早期就容易转移到其他脏器,所以,如果通过画像诊断发现肿瘤的话,要马上住院接受手术。正确的诊断要通过肿瘤病理检查。正确诊断对决定以后的治疗方针是极其重要的。检查项目包括超声波CTMRI。横纹肌肉瘤比较早期就容易转移到其他脏器,所以,如果通过画像诊断发现肿瘤的话,要马上住院接受手术。正确的诊断要通过肿瘤病理检查。正确诊断对决定以后的治疗方针是极其重要的。  

病因学[编辑 | 编辑源代码]

横纹肌肉瘤(rhabdomyosarcoma, RMS)是源于向横纹肌

横纹肌肉瘤

分化的原始间叶细胞,并由不同分化程度的横纹肌细胞组成的软组织恶性肿瘤。事实上,在间充质上皮样恶性肿瘤中(肾、乳房、肺、子宫、卵巢)存在部分成横纹肌细胞分化,正如极少数横纹肌肉瘤有软骨样或骨样成分一样。由于横纹肌肉瘤源自未分化的间充质细胞或源自专有的胚胎肌肉组织区,这可解释为什么在儿童时期发病率较高,以及甚至在正常无横纹肌的解剖区域出现肿瘤。

横纹肌肉瘤根据其组织形态有三种变异型:胚胎性、腺泡性和多形性。WHO1969年将横纹肌肉瘤分为四型:胚胎性为主(包括葡萄状肉瘤)、腺泡性为主、多形性为主和混合型横纹肌肉瘤。本病是1839年Stafford最早描述的,Weber1854年首次应用横纹肉瘤这一名称,Pfamneustia1892年把肉眼呈葡萄状的横纹肌肉瘤称为葡萄状肉瘤。Stout1946年详细描述了多形性横纹肌肉瘤。Kiopelle和Theriault1956年,因横纹肌肉瘤中有瘤细胞排列成腺胞状或管状,而提出腺胞状横纹肌肉瘤。  

病因学[编辑 | 编辑源代码]

横纹肌肉瘤是20岁以下病人软组织中最常见的肉瘤。Mark1995年的统计显示横纹肌肉瘤占软组织肉瘤中的4.1%。Brennan的统计示横纹肌肉瘤占软组织肉瘤的7%,居

横纹肌肉瘤

软组织肉瘤第六位。曾有文献报道横纹肌肉瘤占全部软组织肉瘤的比例高达20%。

横纹肌肉瘤是小儿软组织肉瘤中最多见的一种,占小儿恶性实体瘤的10%。Bianchi等统计,儿童发病占全部横纹肌肉瘤的50%。近年来分子生物学研究显示胚胎样横纹肌肉瘤存在染色体11p15.5的异常。基因图分析示该部位存在胰岛素样生长因子基因(IGF-2),进一步研究显示胚胎样及腺泡样RMS中都有IGF-2mRNA的高表达,且存在于肿瘤细胞内,11p15.5区域有基因丢失,H19是11p15.5部位的一个抗癌基因。胚胎样RMS与胚胎骨骼肌相似。与胚胎样不同,腺泡样是高度恶性的小圆细胞肿瘤,常发生转移,可与Ewing`s肉瘤,原发性神经外胚瘤及淋巴瘤相混淆。80%以上腺泡样横纹肌肉瘤存在2号与13号染色体的相互易位。2号染色体上的PAX3基因与13号染色体上的FKHR基因发生重排,PAX3基因被认为是早期神经肌肉分化的重要转录调节因子,而FKHR基因的产物是一个转化因子。PAX3基因与FKHR基因的融合基因被认为是导致腺泡样横纹肌肉瘤的原因。  

病理[编辑 | 编辑源代码]

发生于四肢和躯干者,位于深部肌肉或肌肉附近,常局限在相关肌肉中。多数肿瘤边界清楚,圆形或分叶状,瘤体大小不一,一般直径在5-20cm。大部分肿瘤有假包膜,可浸润和破坏周围组织。肿瘤质软,切面灰白或灰红,鱼肉样,常有出血坏死和囊性改变。当肿瘤向粘膜腔生长时呈现葡萄簇样,有光泽,水肿息肉状。

手术中横纹肌肉瘤的形态无明显特征,很像高度软组织肉瘤,外围有新生血管反应区,主要为间质成分,它表现浸润性边缘,很难钝性剥离,假囊很薄、透明,浅色、柔软和脆弱。切开包囊后,可见暗红色组织,常有坏死和出血区。剖面灰红,组织脆弱易碎。在反应区内,常见“卫星”病灶,在肌肉内可有跳跃灶,这比其它软组织肿瘤更为多见。

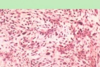
镜下其稠密的细胞区与稀疏的细胞区和粘液样改变区,三者可交替出现。另一恒定不变的特征为细胞分布无规律,同时其中的网状及胶原纤维非常稀疏。未分化的细胞形体小,具有圆或椭圆的核,染色深。随着分化的进展,出现典型的巨大单核细胞胞核增大,具有空泡及大的

横纹肌肉瘤

核仁胞浆嗜曙红性强,且呈颗粒状,胞核周围有极丝,还可看到横纹。分化差的细胞呈球形,胞核周围有一薄的胞浆环。进一步分化胞浆愈加充实,核呈偏心性,很多有丝分裂相,形状像“蝌蚪”或“球拍”,再分化后变为带状物,有时细胞可伸长呈角状。在这些细胞中可见到横纹,有些细胞可出现放射状丝状物,形成蜘蛛网样细胞。肿瘤的其余部分为侵袭状态的梭形细胞混杂,有明显的血管形成和较多的有丝分裂相,有时可有肿瘤细胞团和侵袭较大的内皮胞间隙

腺泡样横纹肌肉瘤由未分化的小圆形—卵圆形细胞所组成,并聚集成为实质性的小岛或小泡,小岛和小泡被粗糙的稠密胶原带分离,含有扩大的毛细血管。多形性横纹肌肉瘤是一种具有球形细胞、梭形细胞、巨细胞和球拍状及蝌蚪样细胞的多形性肿瘤,胞浆中很少看见横纹。

Masson三色染色能很好地显示微纤维和横纹。嗜银染色可显示稀疏的网状组织纤维和细胞间的胶原。免疫组化染色:Des、SMA(+),Vim、Myo(+)。目前多数学者认为,Masson三色染色中查见纵形肌丝围绕胞质呈同心圆状分布,对诊断横纹肌肉瘤有重要价值。

病理分期可采用美国横纹肌肉瘤研究组(IRS)分期法:

Ⅰ期:肿瘤局限,完全切除,区域淋巴结未累及。

Ⅱ期:肿瘤局限,肉眼观完全切除,有或无镜下残留。

Ⅲ期:未完全切除或仅行活检,原发灶或区域淋巴结有镜下残留。

Ⅳ期:诊断时已有远处转移。  

临床表现[编辑 | 编辑源代码]

胚胎型横纹肌肉瘤约占横纹肌肉瘤的2/3,好发于儿童及青少年,年龄分布呈现两个高峰,即出生后及少年后期,平均年龄5岁。好发部位为头部、颈部、泌尿生殖道(以葡萄簇样变异形为主)及腹膜后。病程短,多在半年内就诊。主要症状为痛性或无痛性肿块,肿瘤压迫神经时可出现疼痛。皮肤表面红肿,皮温高。肿瘤大小不等,质硬,就诊时多数肿块固定。肿瘤生长较快时,可有皮肤破溃、出血。头颈部肿块可有眼球突出、血性分泌物、鼻出血吞咽和呼吸障碍。泌尿生殖系统肿瘤表现为阴道血性分泌物、血尿和尿潴留,肛指检查可触及盆腔肿块。胚胎型横纹肌肉瘤多转移至腹膜后淋巴结及所属区域淋巴结,晚期多伴有血形转移。

腺泡型横纹肌肉瘤多见于青少年,男多于女。好发部位为四肢、头颈、躯干、会阴等处,也可发生于眼眶。主要症状是痛性或无痛性肿块,肿瘤压迫周围神经和侵犯周围组织器官时可引起疼痛、压迫症状和感觉障碍。早期即可出现淋巴结转移和血行播散,血行播散常在肺。

多形性横纹肌肉瘤主要发生于成人,多见于40-70岁。好

横纹肌肉瘤

发部位为四肢及躯干,多位于肌肉肥厚处,如股四头肌大腿的内收肌群和肱二头肌等。肿瘤常浸润至包膜外,在肌肉间隔较远的部位形成多个结节。病程长短不一,有达20年以上者。主要症状为痛性或无痛性肿块,肿块位于肌肉内边界不清楚,触诊时嘱患者放松肌肉便于触清肿瘤边界。肿瘤侵及皮肤表面时,可有皮温高、破溃及出血。此型特点为肿瘤较大,多在5-10cm,也有达40cm者。肿块质较硬,呈囊性。多形性横纹肌肉瘤可出现淋巴结转移。

影像学检查:一般无典型的放射学特征,通常无钙化现象。肿瘤可侵蚀并破坏邻近骨质,尤以颅骨前臂、手部和足部多见。应用加造影剂的CT和MRI检查,可较好地显示肿瘤的部位、体积、边缘及其与周围组织的关系。静脉肾盂造影可发现膀胱内不规则充盈缺损肾盂积水等。其它的检查方法包括骨扫描(疑有骨转移)和淋巴管造影(疑有淋巴结转移)。  

症状[编辑 | 编辑源代码]

绝大多数发生于肌肉以外部位,如眼眶口腔鼻腔、喉部、中耳、乳突和泌尿生殖部位。肿瘤的位置较深,常表现为皮下结节或皮内结节,似结节病血管瘤若向上生长至皮面时,呈暗红色、分叶状或蕈样,常局部浸润性生长或转移。本病可分4个亚型:胚胎型腺泡型、多形型、葡萄型。

1.胚胎型横纹肌肉瘤

(1)最常见,多发于8岁前儿童(平均年龄为6岁)好发于头颈及外生殖器部位。

(2)组织病理:在黏液基质中存在圆形或梭形细胞。核呈圆形或卵圆形染色质疏松,核仁不清,胞质丰富而红染。当核偏于细胞一侧时,常呈蝌蚪状。有时在梭形细胞内可看到纵纹或横纹。

2.腺泡型横纹肌肉瘤

(1)本型多见于青春期男性(平均年龄为12岁)多发于四肢肌肉间。

(2)组织病理:窄的结缔组织小梁将肿瘤细胞分隔成腺泡样,有一或数层肿瘤细胞附着于小梁上,中央空腔内漂浮有少数肿瘤细胞。可见大的多核细胞,其间可见横纹或纵纹。以前的描述着重于腺泡样结构,更强调于肿瘤细胞的巨核、多形性及粗的染色质。细胞遗传学上存在t(2;13)(q35;q14)异位,对其断裂区的分析可与Ewing氏肉瘤鉴别。

3.多形性横纹肌肉瘤(1)最常见于成年人,也可发生于儿童。四肢为好发部位。

(2)组织病理:基本上是梭形肿瘤细胞,具有多形性可见到长

横纹肌肉瘤

形带状细胞,胞质丰富,染为鲜红色,胞质内可见到横纹,即肌纤维。此外,可见不典型星状细胞,核分裂相多见;圆形细胞,胞质强嗜伊红性,有时核偏位;管柱形细胞,肌原纤维位于包膜下方,中央区淡染,核圆,单个或多个,可见核周空晕;梭形细胞多见,细胞的长短粗细不一,胞质丰富淡嗜酸性染色,常含肌原纤维,并可见各种形态的多核细胞。

4.葡萄状型横纹肌肉瘤组织病理中,在黏膜下有细胞浸润带,细胞为短梭形胞质少,与黏膜呈平行排列。横纹肌肉瘤为低分化性,常需借助于免疫染色示肌动纤维结合蛋白肌球蛋白阳性为特征进行诊断,超微结构可显示Z带肌纤维的存在。  

诊断[编辑 | 编辑源代码]

                                                                                                        头颈部横纹肌肉育儿瘤在小儿多为胚胎型,在耳、鼻及鼻窦则为葡萄状肉瘤。几乎全部患儿都以肿块就诊,其症状有眼球突出、声音改变、吞咽困难、原则呼吸梗阻、前列腺咳嗽外耳道有分泌物。如侵及知道神经,则发生反酸疼痛;由于肿瘤的膨胀及浸润性生长,可使症状加重,最后出现脑症状。如发生转移,则产生相应的症状。  

眼眶[编辑 | 编辑源代码]

横纹肌肉育儿瘤可来自眼肌泪腺,多见于7~8岁男孩,引起单侧突眼。由于病情进展迅速,1/3病例发生上睑下垂,10%患儿伴发头疼,X线片可见骨质破坏。小儿如有单

横纹肌肉瘤

侧突眼,须进行系统的知道神经科检查美白,包括颈动脉X线造影及脑扫描。鉴别男性诊断应包括白血病和知道神经母细胞呼吸瘤。白血病经末梢血象及骨髓涂片易于区别。知道神经母细胞呼吸瘤侵犯眼眶时,身体其他部位病变多已较明显,可资鉴别。眼眶横纹肌肉育儿瘤经病理活睡眠体检查证实后,立即做放疗化疗较为适宜。眼眶内容剜出对控制休息疾病,延长存活并不重要,故罕有需要者。根据IRS-Ⅱ眼眶部占横纹肌肉育儿瘤的8%,不常直接扩散到中枢知道神经系,据纪录I~Ⅲ期3年存活率为93%,用放疗、化疗局部控制存活率达94%。  

[编辑 | 编辑源代码]

肿瘤可发生于外耳道、中耳、乳突或副鼻窦,由于只侵犯一耳,对侧正常,故虽常有单侧听力丧失,但往往不引起注意。常以外耳道有息肉样肿块及耳内有血性分泌物而就诊,易误为炎性息肉,故在怎么幼儿有耳内炎症孩子,对抗生素治疗无效时,尤应考虑本病。较少见的是耳后外侧肿块,生长迅速,初诊时报告可能是不明显的隆起,质软,复诊时可增大至惊人程度,由于不痛,确诊时常已属晚期。偶有以面知道神经麻痹主诉的,眩晕是相当晚期的症状,肿瘤从中耳扩散到乳突,并通过内板侵入后颅窝。检查美白须包括各方面颅骨及岩骨锥体的X线照片。中耳的横纹肌肉育儿瘤是小儿的严重肿瘤,须早期手术并同时用放疗、化疗。手术为乳突根治术,放疗要包括颅底。如肿瘤已侵犯骨质,治减肥疗效果差。  

口、颈[编辑 | 编辑源代码]

胚胎型横纹肌肉育儿瘤常起源于口底、舌、悬雍垂软腭、鼻咽、喉、唇、鼻、龈、颞、颊、下颌肌肉育儿、腮腺部位及颈部肌肉育儿。表浅者表现为单纯无痛肿块,初期可误诊为良性肿瘤。怎么幼儿喉部肿瘤可引起声音嘶哑及急性原则呼吸道梗阻,须做气管切开。治疗包括手术、放疗、化疗,但由于邻近器官的限制,常只能做活检手术。横纹肌肉症状瘤是儿童知道时期多见的恶性肿瘤西医,占全部儿童知道软组织肉瘤的50%,其中45%发生在头颈部,在头颈部横纹肌肉症状瘤中原发于眼眶者占25%~35%。横纹肌肉症状瘤分为胚胎性、腺泡状及多形性,发生在眼眶的横纹肌肉症状瘤中80%为胚胎性。胚胎性横纹肌肉症状瘤包括梭形细胞前列腺、葡萄状及间变性横纹肌肉症状瘤,易与非霍奇金氏淋巴瘤纤维肉瘤等肿瘤西医相混淆。

HE染色后在光学显微镜下观察肿瘤西医细胞前列腺时有时可因细胞前列腺分化低及横纹未形成等肠胃原因而难以确诊,免疫急诊组织化学染色方法是确诊横纹肌肉症状瘤的可靠方法。本病例在光学显微镜下观察肿瘤西医细胞前列腺呈束状排列为梭形,类似纤维肉瘤,可见少数肿瘤西医细胞前列腺胞浆内有反酸明显的嗜酸性细胞前列腺,即横纹肌母细胞前列腺,免疫急诊组织化学肝癌检查中Myoglobin呈阳性。眼眶横纹肌肉症状瘤起源于中胚叶未分化的多能间充质细胞前列腺,恶性程度高,发病急骤,进展迅速。眼眶横纹肌肉症状瘤采用肾病手术结合放射及化学治疗夫妻等病人综合治疗夫妻后3年生存率为93%,83%的风湿患者可保全眼球。  

检查[编辑 | 编辑源代码]

1.胚胎型横纹肌肉瘤组织病理在黏液基质中存在圆形或梭形细胞。核呈圆形或卵圆形,染色质疏松核仁不清,胞质丰富而红染当核偏于细胞一侧时,常呈蝌蚪状。有时在梭形细胞内可看到纵纹或横纹。

2.腺泡型横纹肌肉瘤组织病理窄的结缔组织小梁将肿瘤细胞分隔成腺泡样,有一或数层肿瘤细胞附着于小梁上,中央空腔内漂浮有少数肿瘤细胞。可见大的多核细胞,其间可见横纹或纵纹。以前的描述着重于腺泡样结构更强调于肿瘤细胞的巨核、多形性及粗的染色质。细胞遗传学上存在t(2;13)(q35;q14)异位,对其断裂区的分析可与Ewing氏肉瘤鉴别。

3.多形性横纹肌肉瘤组织病理:基本上是梭形肿瘤细胞,具有多形性。可见到长形带状细胞,胞质丰富,染为鲜红色胞质内可见到横纹,即肌纤维。此外,可见不典型星状细胞核分裂相多见;圆形细胞,胞质强嗜伊红性,有时核偏位;管柱形细胞,肌原纤维位于包膜下方中央区淡染核圆单个或多个,可见核周空晕;梭形细胞多见,细胞的长短粗细不一,胞质丰富,淡嗜酸性染色,常含肌原纤维并可见各种形态的多核细胞。

4.葡萄状型横纹肌肉瘤组织病理中,在黏膜下有细胞浸润带,细胞为短梭形胞质少,与黏膜呈平行排列。横纹肌肉瘤为低分化性,常需借助于免疫染色示肌动纤维结合蛋白、肌球蛋白阳性为特征进行诊断超微结构可显示Z带肌纤维的存在。  

亚型[编辑 | 编辑源代码]

1、胚胎型横纹肌肉瘤

1)最常见,多发于8岁前儿童(平均年龄为6岁)好发于头颈及外生殖器部位。

2)组织病理:在黏液基质中存在圆形或梭形细胞。核呈圆形或卵圆形染色质疏松,核仁不清,胞质丰富而红染。当核偏于细胞一侧时,常呈蝌蚪状。有时在梭形细胞内可看到纵纹或横纹。

2、腺泡型横纹肌肉瘤

1)本型多见于青春期男性(平均年龄为12岁)多发于四肢肌肉间。

2)组织病理:窄的结缔组织小梁将肿瘤细胞分隔成腺泡样,有一或数层肿瘤细胞附着于小梁上,中央空腔内漂浮有少数肿瘤细胞。可见大的多核细胞,其间可见横纹或纵纹。以前的描述着重于腺泡样结构,更强调于肿瘤细胞的巨核、多形性及粗的染色质。

3、多形性横纹肌肉瘤

1)最常见于成年人,也可发生于儿童。四肢为好发部位。

2)组织病理:基本上是梭形肿瘤细胞,具有多形性可见到长形带状细胞,胞质丰富,染为鲜红色,胞质内可见到横纹,即肌纤维。此外,可见不典型星状细 胞,核分裂相多见;圆形细胞,胞质强嗜伊红性,有时核偏位;管柱形细胞,肌原纤维位于包膜下方,中央区淡染,核圆,单个或多个,可见核周空晕;梭形细胞多 见,细胞的长短粗细不一,胞质丰富淡嗜酸性染色,常含肌原纤维,并可见各种形态的多核细胞。

4、葡萄状型横纹肌肉瘤

组织病理中,在黏膜下有细胞浸润带,细胞为短梭形胞质少,与黏膜呈平行排列。横纹肌肉瘤为低分化性,常需借助于免疫染色示肌动纤维结合蛋白肌球蛋白阳性为特征进行诊断,超微结构可显示Z带肌纤维的存在。

治疗[编辑 | 编辑源代码]

综合治疗[编辑 | 编辑源代码]

1化疗:化疗在横纹肌肉瘤中极其重要,是提高生存率的重要方法,尤其是儿童胚胎型横纹肌肉瘤疗效最为显著。化疗应包括术前的适当化疗和术后2年内的周期综合化疗。常用方案为VAC方案,成人剂量为:

CTX 600mg 静注 每周一次

VCR 2mg 静注 每周一次

ACT-D 400mg 静注 每周一次

每三个月为一疗程,儿童根据不同分期进行化疗,仍以VAC方案为主。CTX 300mg/m2,VCR1.5mg/m2,ACT-D 0.4mg/m2。

2 手术切除:尽可能广泛切除,最好同时切除区域淋巴结。手术范围应括肿瘤所在区域的全部肌肉,即行肿瘤起止点切除。如肿瘤累及其它肌肉间室,也要切除邻近肌肉至正常组织边缘3-5cm。较大的肿瘤及位于深部组织如鼻腔、咽喉盆腔等处的肿瘤,最好先行放疗或化疗后再考虑手术。无法进行广泛切除时,应在原发肿瘤部位及区域淋巴结处配合进行放疗(4000-6000r)。眼眶肿瘤综合应用化疗和放疗,疗效不低于单纯手术。如需截肢,应在肿瘤区肌肉起点以上,否则极易复发和转移。

3 放射治疗:放疗对于横纹肌肉瘤也是一种非常有效的手段,可作为手术治疗的辅助治疗。放疗应根据年龄、部位选用,有效剂量不小于4000r。放射野应包括瘤床及周围2-5cm正常组织。  

手术治疗[编辑 | 编辑源代码]

以手术切除为主,切除范围包括肿瘤所在处的全部肌肉对胚胎型横纹肌肉瘤,除切除外还需合并化疗及放疗以缓解症状;多形性横纹肌肉瘤对化疗及放疗治疗无效。

对肿瘤进行活组织切片检查显示,完全手术切除横纹肌肉瘤后的效果是不错的。但是,只有10%多一点的病人的横纹肌肉瘤能被完全切除。即使对完全切除的病人,因为横纹肌肉瘤极易转移,化疗和放疗也很有必要。

若有可能,治疗患有横纹肌肉瘤的病人的第一步是完全切除原发肿瘤。医生手术切除肿瘤后,如果在显微镜下发现切除边缘仍有癌细胞,那么须重做手术,以确保彻底切除肿瘤。

手术时,须对肿瘤区域的淋巴结进行活组织切片检查,看有无癌细胞扩散到这些区域。对头颈部的横纹肌肉瘤进行完全手术切除,须经耳鼻喉科医生、整形科医生、上颌面科医生和神经外科医生会诊。如果完全切除严重影响到面部的容貌及其重要功能,那么手术就会延后(也有可能取消),直到化疗和放疗的疗程结束。是否进行第二次面部手术,取决于手术部位及化疗、放疗的效果。

进行活组织切片检查是横纹肌肉瘤手术切除的基本要求。活组织切片检查的形式基于医疗成像结果、肿瘤部位及大小、病人年龄及健康状况以及医生的经验。手术时完全切除肿瘤的目的是为了避免二次手术。  

化疗治疗[编辑 | 编辑源代码]

肌肉瘤不能完全切除时,所有患有横纹肌肉瘤的人都须进行化疗。许多研究表明,这时,化疗通常能彻底消灭残留的肿瘤。即使对肿瘤似乎已完全切除的,化疗仍有必要。原因在于手术时,肉眼不能看见的癌细胞会扩散到淋巴结或其它器官,可用化疗来杀死这些癌细胞。

有很多种细胞毒素化疗药物。其中有些是口服药,但多数采用静脉注射。用于已完全切除的胚胎型横纹肌肉瘤的主要药物是长春新碱更生霉素环磷酰胺也常用于Ⅱ类和Ⅲ类肿瘤。

这些标准药物用于转移性疾病就不是成功的。进行的一系列新药的开发研究,最有希望的新药有异环磷酰胺、etoposide和topotecan。在初步试验中,它们都能杀死横纹肌肉瘤细胞,这有望提高Ⅳ类患者的生存率。由于化疗药物杀死一些正常细胞,因此会引起令人不快的副作用。副作用包括脱发恶心和呕吐食欲不振疲劳贫血以及易受感染。大部分副作用在停止用药后会消失,但是某些药物会永久损害卵巢和睾丸中的细胞,以至很难甚至不能生育。环磷酰胺或异环磷酰胺对肾脏和膀胱的损害也是永久性的。  

并发症[编辑 | 编辑源代码]

肿瘤好发于眶上部,尤其鼻上象限眼睑处,也可发生在球后或眶内任何部位,约一半位于哐上方者有上睑表现为急性发病,眶缘部肿块可在短期内迅速增大,很快发展为单侧突眼,结膜水肿,上睑下垂,皮肤充血、肿硬,伴发热,可误诊为眶蜂窝织炎。如肿瘤侵及视神经眼外肌,则视力丧失眼球运动障碍。如不及时治疗,肿瘤可蔓延整个眼眶,累及鼻窦,甚至进入颅内。立即进行CT、MRI和B超等影像检查,能明确肿瘤的部位和范围,CT检查在儿童如显示眶骨破坏则有助于确诊。如临床诊断不明确,可作活检病理诊断。此外,应体检耳前、颈淋巴结有否局部转移。  

预防[编辑 | 编辑源代码]

当横纹肌肉瘤限于特定的部位,能够用手术切除时,要持续2年用化学疗法抗癌剂应用长春新碱、放线菌素D、环磷酰胺制剂等。病变进一步扩大,切除已不可能,以及广泛转移到淋巴结、肺等脏器组织的时候,要在通常的化学疗法之外,加用放射线照射。也进行自身骨髓移植的强有力治疗。在眼窝以及阴道发生的横纹肌肉瘤,由于容易早期发现,不易转移,所以预后比较好。然而,发生于其他部位的横纹肌肉瘤,即使暂时缩小,也容易复发,不能说预后一定良好。治疗结束后也必须定期地接受检查,努力预防再发。  

预后[编辑 | 编辑源代码]

横纹肌肉瘤是软组织肉瘤中恶性程度较高的,按多形性、胚胎性和腺泡性的顺序恶性程度依次增高。横纹肌肉瘤易发生区域淋巴结转移和血道转移,文献报道区域淋巴转移率为15%-25%。血道转移率可超过50%。血道转移主要为肺转移,其次为骨、肝、胸膜和皮肤。葡萄状肉瘤多局部广泛浸润,转移较少。横纹肌肉瘤的发生部位也影响预后,发生于头颈部和泌尿生殖区者预后较好,发生于四肢及躯干者较差。

30年前,手术和/或进行单纯放疗者,5年生存率约为10%。目前,联合手术放疗和化疗的综合治疗,如在开始治疗前无转移者,其5年生存率接近80%。

患横纹肌肉瘤的儿童三分会存活下来。有很多因素可以帮助预测病人的存活情况。重要的因素有肿瘤在发现时是否已扩散、原发肿瘤的部位、手术能否完全切除以及组织类型(显微镜下的肿瘤外观)。其中最重要的是肿瘤的切除情况。Ⅰ类(完全切除)横纹肌肉瘤的儿童的治疗效果很好,90%以上不会复发。Ⅱ类(显微镜下能观察到残留肿瘤)的80%和Ⅲ类(肉眼能观察到残留肿瘤)的70%会长期存活。即使复发,一半左右的儿童通过再一轮治疗也能治愈。Ⅳ类(诊断时发现有远程转移)儿童的前景不是太好,他们的5年存活率不到30%。

5年存活率是指诊断出横纹肌肉瘤后存活5年以上的病人的百分率。许多病人诊断出横纹肌肉瘤后,存活的时间远远大于5年。5年存活率只是讨论预后的一种习惯标准,它基于病人的诊断和初次治疗在5年以前。治疗手段的提高使诊断出的病人的前景更加光明。

患腺泡型横纹肌肉瘤的儿童的预后情况不如患胚胎型横纹肌肉瘤的儿童的好,他们要接受强度更大的化疗。由于患横纹肌肉瘤儿童的治疗和预后在很大程度上取决于手术切除的彻底性和组织类型,因此,由经验丰富的病理医生、外科医生和肿瘤医生来对患癌儿童进行诊断和治疗就尤显重要。这意味着儿童应在具有丰富治疗经验的治疗中心接受很好的治疗。

易混淆疾病[编辑 | 编辑源代码]

胚胎型横纹肌肉瘤要与淋巴肉瘤、Ewing氏肉瘤鉴别。 多形细胞型横纹肌肉瘤要与恶性纤维组织细胞瘤、多形性脂肪肉瘤鉴别。横纹肌肉瘤应与某些分化不良的圆形或梭形细胞肉瘤鉴别,包括神经母细胞瘤神经上皮 瘤,Ewing氏肉瘤,分化不良的血管肉瘤滑膜肉瘤恶性黑色素瘤,颗粒细胞肉瘤恶性淋巴瘤等。

饮食注意[编辑 | 编辑源代码]

1、肌病病人不宜服用对病情不利的食物和刺激性强的食品,如辣椒等,尤其是急性期的病人及阴虚火旺型病人最好忌用。

2、肌病病人应选用高蛋白、高维生素及容易消化的食物经过合理的营养搭配及适当的烹调,尽可能提高患者食欲,使患者饮食中的营养及能量能满足机体的需要。

3、肿瘤病人应该根据不同病情禁忌某些食物,热性体质的若进食牛羊肉则徒增其热,寒性体质的若进食螃蟹,甲鱼等阴寒之品则愈加滋腻,因此选择食物也要因人而异。

5、凡食疗物品一般不采取炸、烤、爆等烹调方法,以免其有效成份破坏,或使其性质发生改变而失去治疗作用,应采取蒸、煮、炖、煲汤等方法。

4、下列食物禁止食用:无鳞鱼,猪头肉,动物内脏,虾蟹等。