星形细胞瘤

来自医学百科

星形细胞瘤(astrocytoma),别名星细胞瘤(astrocytic glioma;astroma)。星形细胞肿瘤是指以星形胶质细胞所组成的肿瘤,是最常见的神经上皮性肿瘤。星形细胞瘤相当于Kernohan分级中除毛细胞型星形细胞瘤外的Ⅰ级与Ⅱ级,在ST Anne-Mayo分级中为1级与2级。星形细胞瘤为浸润性生长肿瘤,多数肿瘤切除后有复发可能,且复发后肿瘤可演变成间变性星形细胞瘤或多形性胶母细胞瘤。间变性星形细胞瘤又称为恶性星形细胞瘤, 肿瘤细胞间变程度在星形细胞瘤与多形性胶母细胞瘤之间。

简介[编辑 | 编辑源代码]

星形细胞瘤

星形细胞瘤

脑肿瘤胶质细胞瘤发病率最高,约占40.49%,综合发病年龄高峰在30-40岁,或10-20岁。大脑半球发生的胶质瘤约占全部胶质瘤的51.4%,以星形细胞瘤为最多,其次是胶质细胞瘤和少枝胶质细胞瘤,脑室系统也是胶质瘤较多的发生部位,占胶质瘤总数的23 .9%,主要为管膜瘤髓母细胞瘤,星形细胞瘤,小脑胶质瘤占胶质瘤总数的13%,主要为星形细胞瘤。  

流行病学[编辑 | 编辑源代码]

据文献报道星形细胞肿瘤占颅内肿瘤的13%~26% 占胶质瘤21.2%

星形细胞瘤

~51.6%,男性多于女性,男性约占60%,有报道男女之比为2∶1。

星形细胞瘤占脑肿瘤的10%~15% 多见于25~45岁的成人,平均年龄约37.5岁,无明显性别差异, 肿瘤主要位于大脑半球,以额叶多见(46%),其次为颞叶(31%)、顶叶(15%) 位于间脑枕叶者较少见。

间变性星形细胞瘤好发于中年,35~60岁见,以男性稍多见,男女比为1.22∶1。病灶多发生于大脑半球,额叶居多 占40%,其次为颞叶(35%) 顶叶(17%)。少数肿瘤可见于间脑、视神经脑干小脑脊髓, 位于小脑、间脑及视神经者均少见,发生于小脑者约占小脑星形细胞肿瘤的14.4%,占颅内神经上皮源性肿瘤的0.7%~1.2%。间脑者不到颅内胶质瘤的0.5%。视神经间变性星形细胞瘤罕见。

毛细胞型星形细胞瘤占脑神经胚叶来源肿瘤的2% 分前视路型、 下丘脑型、 小脑型、脑干型与大脑型,以位于第三脑室附近的前视路型与下丘脑型为最多见。前视路型肿瘤累及视神经和(或)视交叉,90%发生于 20 岁以下的青少年,占颅内胶质瘤的1.7% ,其中位于眶内的前视路型肿瘤占所有眼眶肿瘤的4%。 30%~40%的神经纤维瘤病1型患者伴发前视路型肿瘤。小脑型肿瘤约占小脑胶质瘤的80%,儿童多见。而大脑型肿瘤仅占大脑半球星形细胞瘤的3%,占毛细胞型星形细胞瘤10%左右。大脑型肿瘤好发于中青年,平均年龄在 22~26 岁,以颞顶叶多见。  

病因[编辑 | 编辑源代码]

按肿瘤的生物学特性星形细胞肿瘤可分两大类:一类边界清楚 较少向周围脑组织浸润,包括毛细胞型星形细胞瘤、室管膜巨细胞性星形细胞瘤与多形性黄色星形细胞瘤,其

星形细胞瘤

临床表现与病情发展均有各自典型特征,预后较好。另一类星形细胞肿瘤则无明显边界, 向周围脑组织广泛浸润,肿瘤细胞呈间变特性,包括星形细胞瘤、间变性星形细胞瘤及多形性胶母细胞瘤等。此类肿瘤病程为进展性,手术为主的综合治疗效果均较差。 发病机制:

星形细胞肿瘤可发生在中枢神经系统的任何部位,一般成年多见于大脑半球和丘脑 底节区,儿童多见于幕下。有报道幕上占3/4 幕下占1/4。发生在幕上者多见于额叶及颞叶,顶叶次之,枕叶较少见 肿瘤可累及两个以上脑叶。亦可见于视神经, 丘脑和第三脑室旁;幕下者则多位于小脑半球第四脑室,亦可见于小脑蚓部和脑干。

1.星形细胞瘤 肿瘤主要位于白质内,呈浸润性生长,实性者无明显边界,多数不限于一个脑叶,向外生长可侵及皮质 向内可破坏深部结构,亦可经过胼胝体越过中线侵犯对侧大脑半球 肉眼观察质地灰红色或灰白色,质地多较硬,半数左右的肿瘤呈部分囊性变,囊液淡黄透明, 蛋白质含量较高,静置易自凝,称为Froin征阳性。有囊性变的肿瘤可称为“囊在瘤内”。而位于小脑的星形细胞瘤常为一个大囊,囊壁上有肿瘤结节,囊壁为纤维结缔组织神经胶质纤维构成,因此只切除肿瘤结节即可达到根治肿瘤的目的, 此种肿瘤称之为“瘤在囊内” 少数小脑星形细胞瘤为实质性,呈浸润性生长,无明显边界,预后较囊性者差。

根据肿瘤的组织学特点,星形细胞瘤可分为纤维型, 原浆型和肥胖型三种亚型:

(1)纤维型:最为常见,可见于中枢神经的任何部位及各年龄组病人。在成人中多见于大脑半球;在儿童和青少年中较多见于小脑、脑干与丘脑。生长缓慢,质地较硬韧,有时如橡皮。弥漫型肿瘤切面呈白色,与四周脑组织不易区别。临近皮质可被肿瘤浸润,色泽深灰,与白质分界模糊。肿瘤中心可有囊肿形成,大小数目不定。

(2)原浆型:为最少见的一种类型, 质地软,主要见于大脑内,多位于颞叶,部位表浅 主要侵犯大脑皮质 使受累脑回增宽、柔软、变平为其特点, 瘤体较大,灰红色,切面呈半透明均匀胶冻样。深部侵入白质, 在脑内浸润性生长,边界不清。常有变性,形成囊肿。囊肿的大小、数目不定,周围为瘤组织。

(3)肥胖细胞型:较少见 好发于大脑半球内,亦可见在透明隔部位,占成人大脑半球神经上皮源性肿瘤的5%~10% 占星形细胞瘤的25%。肿瘤呈浸润性生长,生长较快,质地软,常可见小囊形成。光镜下见典型的肥胖细胞,体积肥大 呈球状或多角形,胞质均匀透明,突起短而粗。瘤细胞核小,偏于一侧。

2.间变性或恶性星形细胞瘤 主要见于大脑内,瘤体较大,有时侵犯几个脑叶或者越过中线侵犯对侧大脑半球。瘤组织色灰红,质地较软,在脑内呈浸润性生长,与周围脑组织有一定的边界。肿瘤细胞可向皮质浸润生长,形成围绕神经元周的“卫星现象”。有囊性变和小灶性出血坏死灶。

3.毛细胞型星形细胞瘤 毛细胞型星形细胞瘤生长缓慢,来源于神经上皮组织肿瘤。肿瘤好发于中线结构的脑白质部位和小脑半球,以发生在漏斗部位者最为典型,有时称漏斗瘤;发生于视神经称为视神经胶质瘤, 发生于前视路、下丘脑与脑干的肿瘤边界欠清 ,多呈实质性, 血供丰富。  

临床表现[编辑 | 编辑源代码]

星形细胞瘤生长缓慢,病程较长, 自出现症状至就诊时平均2年,有时可长达10年。临床症状包括一般症状和局部症状,前者主要取决于颅内压增高,后者则取决于病变的部位和肿瘤的病理类型及生物学特性。 1.一般症状 肿瘤的不断生长占据颅腔内空间,肿瘤阻塞脑脊液循环通路造成脑内积水和(或)脑水肿, 脑脊液的回吸收障碍等均可造成颅内压增高。正常颅腔容积比脑组织约大10% 当脑组织的体积增加8%~10%时尚可能无颅高压症状的出现,而当颅内占位病变占据150ml以上的容积时即可能产生相应的颅高压症状。

2.不同性质肿瘤的临床表现

(1)星形细胞瘤:生长缓慢,病程常长达数年,平均3.5年,多数患者呈缓慢进行性发展, 癫痫常为首发症状 50%患者以癫痫起病, 75%患者有头痛,50%有精神运动性肌无力,出现呕吐与明显意识障碍分别为33%与20%。神经系统检查多数患者有视盘水肿与脑神经障碍,均占60%。近半数患者出现肢体肌无力,而出现言语困难、感觉障碍视野改变者也分别为20%。

(2)间变性星形细胞瘤:病程较星形细胞瘤短 平均6~24个月。大脑半球病灶主要临床症状为头痛(71%)、精神症状(51%) 肢体无力(40%)、呕吐(29%)、言语困难(26%)、视力改变(23%)及嗜睡(22%) 癫痫发作少见。神经系统检查可发现偏瘫(59%)、视盘水肿(47%) 脑神经损害表现(46%)、偏盲(32%)、偏身感觉缺失(32%)。发病呈进行性加重,部分可出现突然恶化 间脑肿瘤早期即可有颅内压增高表现,有偏瘫、神经性无力、记忆力减退、意识混乱及癫痫与内分泌紊乱症状。

(3)毛细胞型星形细胞瘤:一般病程较长,前视路型肿瘤位于眶内者主要表现为视力受损伴有无痛性突眼,可有不同类型的偏盲, 斜视视神经萎缩, 肿瘤位于视交叉者则多以双侧视力受影响,有视盘水肿、 斜视、视神经萎缩及头痛。下丘脑型肿瘤多有内分泌紊乱、间脑综合征、Frölich综合征与早熟。直径2cm以上的肿瘤可引起脑积水。 

症状[编辑 | 编辑源代码]

 一、肿瘤的不断生长占据颅腔内空间,肿瘤阻塞脑脊液循环通路造成脑内积水和(或)脑水肿,脑脊液的回吸收障碍等均可造成颅内压增高。
 二、正常颅腔容积比脑组织约大10%,当脑组织的体积增加8%~10%时尚可能无颅高压症状的出现,而当颅内占位病变占据150ml以上的容积时即可能产生相应的颅高压症状。
 三、大脑半球的星形细胞瘤发病缓慢,病程较长,多数先出现由于肿瘤直接破坏所造成的定位体征和症状,随后又出现颅内压增高的症状。
 四、小脑星形细胞瘤由于较早的影响脑脊液循环通路,多先出现颅内压增高症状,脑干的星形细胞瘤进展较快,病程较短,早期出现脑神经损害和锥体束征,而颅内压增高的症状常见于晚期。
 五、颅内压增高的症状主要包括头疼、呕吐、视盘水肿,视力视野改变,癫痫、复视,头颅扩大(儿童期)和生命体征的改变等。


并发症[编辑 | 编辑源代码]

如进行手术治疗,可能发生以下并发症:

1.颅内出血血肿 与术中止血不仔细有关,随着手术技巧的提高,此并发症已较少发生。创面仔细止血,关颅前反复冲洗,即可减少或避免术后颅内出血。

2.脑水肿及术后高颅压 可用脱水药物降低颅内压糖皮质激素减轻脑水肿。

3.神经功能缺失 与术中损伤重要功能区及重要结构有关,术中尽可能避免损伤 出现后对症处理。  

诊断[编辑 | 编辑源代码]

根据患者的临床表现与影像学检查 一般可以做出诊断。

鉴别诊断:

星形细胞瘤与脑梗死急性期脱髓鞘性疾病的急性期难以鉴别,只有加强随访才能进行区别。急性脑梗死脱髓鞘疾病分别在5~10天及3~6周后,头颅CTMRI上会出现病变的典型变化,而星形细胞瘤短期内在影像学上将不会发生变化。下丘脑毛细胞型星形细胞瘤MRI检查由于肿瘤信号均匀,可明显增强, 常不易与实质性颅咽管瘤鞍上生殖细胞瘤等鉴别。

实验室检查

腰椎穿刺对已有明显颅内压增高患者应视为禁忌。一般星形细胞瘤多表现不同程度的颅内压增高,脑脊液检查白细胞多数正常而蛋白含量增高, 这在肿瘤接近脑室或蛛网膜下腔时尤为明显,但脑脊液蛋白含量正常也不能排除肿瘤的存在。

其它辅助检查:

1.神经电生理学检查 脑电图对以癫痫为首发症状者有一定的帮助,主要表现为局灶性低幅慢波, 部分表现为广泛的中度或重度异常,视觉诱发电位(VEP)检查对视神经胶质瘤, 颞枕叶肿瘤有帮助, 脑干听觉诱发电位(BAEP)则有助于脑干, 小脑等部位肿瘤的诊断

2.X线检查 多数患者头颅X线平片表现颅内压增高。部分可见到点状或圆弧状钙化,视神经肿瘤可见视神经孔的扩大并可导致前床突鞍结节变形而形成“梨形蝶鞍”。脑血管造影可见血管受压移位,少见肿瘤染色和病理血管 脑室造影幕上肿瘤可见脑室的移位和充盈缺损;小脑肿瘤表现为第三脑室以上的对称扩张,导水管下段前屈,第四脑室受压及向对侧移位。

3.CT检查 纤维型和原浆型星形细胞瘤,因组织含水量达81%~82%,CT多呈低密度,较均匀一致,占位效应不明显 瘤内无出血灶或坏死灶,瘤周无明显水肿影。除少数病例外,一般注射造影剂不增强或稍有增强。因肿瘤所在的部位和大小而异,表现相应的占位效应。小脑星形细胞瘤在CT上肿瘤的实质部分呈低(或)混杂密度病灶,造影剂增强后可有轻度增强,而囊腔部分则始终保持低密度影。囊壁部分可呈环形或弧线形增强。脑干部位的星形细胞瘤CT上可见脑干的增粗,左右不对称及出现低密度或混杂密度的肿瘤病灶影, CT显示脑干胶质瘤不如MRI理想。部分肿瘤CT上呈等密度,从而使肿瘤在CT上难以发现,此时MRI可明确显示肿瘤影(图1)。

间变性星形细胞瘤CT上呈低密度或不均一低密度与高密度混杂病灶(图2) 90%肿瘤占位效应明显,伴有瘤周水肿,20%有囊变,10%可见钙化。

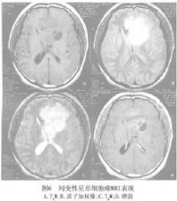
4.MRI检查 星形细胞瘤在MRI上T1W呈低信号 T2W呈高信号。MRI可清楚显示肿瘤浸润脑组织的程度。增强后星形细胞瘤一般不强化, 少数肿瘤有周边斑点状轻度强化影。良性星形细胞瘤由于肿瘤的生长,使肿瘤内外水分增多,造成T1和T2延长 表现T1加权像呈低信号,T2加权像呈高信号(图3),信号强度均匀,瘤周水肿轻微,注射Gd-DTPA增强不明显。随着肿瘤的生长,瘤内发生囊变使得MRI不均匀,瘤体和周围水肿在T1加权像上不如T2加权像上容易区分,肿瘤可有轻度的增强, 恶性星形细胞瘤在T1加权相上呈混杂信号 以低信号为主,间以更低信号或高信号,体现了肿瘤内坏死或出血。

间变性星形细胞瘤在MRI上,肿瘤T1W为低信号 T2W为高信号,较多形性胶母细胞瘤影像稍均匀, 无坏死或出血灶。增强后,80%~90%肿瘤有强化(图6)。肿瘤强化表现不一,可为环形 结节形、不规则形等,另有部分肿瘤强化均匀一致。  

治疗及预后[编辑 | 编辑源代码]

星形细胞瘤的治疗方案尚存在争论, 由于肿瘤生长缓慢, 在患者出现症状前后的影像学上可长期无明显改变,因此有作者认为对星形细胞瘤治疗的目的是以改善患者神经系统症状为主,对长期无症状的患者可对其进行间隔期为3个月的影像学检查随访。更有作者提出放疗或是手术可加重症状,并且有时非但不能减缓肿瘤恶变的发生,甚至有促使肿瘤恶变的可能。

当患者出现明显的神经系统症状或影像学检查发现肿瘤明显增大,应积极治疗。治疗以手术为主, 争取做到肿瘤全切除。肿瘤范围切除愈广,对放疗效果愈佳,且可减少易引起恶变的肿瘤细胞。肿瘤经常自皮质表面一直长向深部白质。在皮质处肿瘤常有清楚界限,而深部白质U纤维处肿瘤与正常组织界限不清。

毛细胞型星形细胞瘤生长速度极慢,部分作者认为肿瘤可长期静止,有的甚至可自然退缩,治疗以手术为主。手术切除的程度和预后直接相关, 对于毛细胞星形细胞瘤,应当争取手术全切除,这是提高疗效、减少复发的根本措施, 对于未能全切除者可给予一定剂量的放疗, 不主张化学治疗。对前视路型肿瘤,由于手术或放疗可直接或间接地影响视力,导致失明, 因此曾提出多种治疗方案 如:单纯放疗;病灶活检后行放疗;病灶活检后仅对视交叉后方生长的肿瘤行放疗;病灶活检后对单侧视神经肿瘤行切除;对单侧视神经肿瘤行切除,其余病灶放疗。

预后[编辑 | 编辑源代码]

星形细胞瘤经手术和(或)放疗后,预后尚佳, 认为肿瘤的病理类型、手术切除程度、发病年龄、病程、临床表现均可反应患者的预后。肥大细胞型星形细胞瘤患者预后较差,而病程长、年龄轻、肿瘤位于小脑、以癫痫为主要表现、无头痛及性格改变、肿瘤全切除者, 一般预后较佳。肿瘤全切者5年生存率可达80%,而部分切除肿瘤或行肿瘤活检者5年生存率仅为45%~50% 对40岁以上肿瘤次全切除的患者,放疗可获得满意效果。肿瘤复发预后不佳,约半数肿瘤复发后恶变,近1/3肿瘤复发后演变为胶母细胞瘤。复发后肿瘤的快速生长常为死亡原因。

小儿星形细胞瘤[编辑 | 编辑源代码]

症状

一、病情发展较慢,平均病程2年左右,有的可长达10年。症状因部位而异,多数先出现由肿瘤直接破坏造成的定位体征和症状,以后可出现颅内压增高的症状。
二、主要是颅内压增高及一侧小脑半球损害的症状。后者为患侧肢体动作笨拙,上肢下肢严重,表现为持物不稳,不能系纽扣及用勺进食等精细动作障碍,影响到小脑蚓部可出现平衡障碍。 
三、70%以上的患儿可见粗大的眼球水平震颤,小脑损害严重时还可有小脑性语言(构音不清或爆发式语言)。患儿可肌张力及腱反射低下,约1/7有强迫头位,晚期可出现“小脑危象”。
四、病程进展较为缓慢,在颅内压增高基础上出现一侧小脑损害征,应首先考虑小脑星形细胞瘤的可能性。

治疗
 
一、肿瘤对放、化疗不敏感,故应首选手术切除。如瘤在囊内型切除瘤结节即可获痊愈;如为实性肿瘤应尽可能多切除。
二、若肿瘤侵及脑干则允许残留少许以免损伤脑干,术后辅以放疗。
三、但对残余肿瘤是否进行常规放疗目前仍有争议,有人认为放疗能抑制肿瘤的生长,提高生存率。另有人认为放疗并不能减少残余肿瘤体积,却使肿瘤因低剂量照射向恶性转化,而且对年幼儿产生严重的放疗副作用,故主张即使有残余肿瘤也不做放疗。
四、我们的倾向是对于残余肿瘤仍应采用放射治疗,产生局灶性坏死,较普通放疗副作用小。
五、手术切除不彻底,颅内压高未能缓解的病例,可同时行减压手术,有些大脑深部肿瘤不能手术切除的病例;也可直接行减压手术。