放射性肺炎
放射性肺炎 (radiation pneumonitis)系由于肺癌 、乳腺癌 、食管癌 、恶性淋巴瘤或胸部其他恶性肿瘤经放射治疗后,在放射野内的正常肺组织受到损伤而引起的炎症反应。轻者无症状,炎症可自行消散;重者肺脏发生广泛纤维化,导致呼吸功能损害,甚致呼吸衰竭 。
病因[编辑 | 编辑源代码]
放射性肺炎的发生、严重程度与放射方法、放射量、放射面积、放射速度均有密切关系。有认为放射量阈在3周内为2500~3000rad。据上海医科大学中山医院临床统计,剂量在6周内小于2000rad,一般极少发生肺炎,剂量超过4000rad则肺炎明显增多,放射量超过6000rad者,必有放射性肺炎。放射野越大发生率越高;大面积放射的肺组织损伤较局部放射为严重,照射速度越快,越易产生肺损伤。其他影响因素如个体对放射线的耐受性差,肺部原有病变如肺炎、气管炎、慢性支气管炎、慢性阻塞性肺部疾病以及再次放射治疗等均易促进放射性肺炎的发生。某些化疗药物亦可能加重肺部的放射治疗反应。老年和儿童对放射治疗的耐受性差。
病理改变[编辑 | 编辑源代码]
急性期的病理改变多发生于放射治疗后1~2月,亦有迟至治疗结束后半年始发现。表现为肺血管特别是毛细血管损伤产生充血、水肿和细胞浸泣,肺泡Ⅱ型细胞再生低下,淋巴管扩张和透明膜形成。急性变化有可能自行消散,但常引起肺结缔组织增生,纤维化和玻璃样变。慢性期往往发生于放射治疗9个月以后,病理为广泛肺泡纤维化,肺脏收缩、毛细血管内膜增厚、硬化、管腔狭窄或阻塞而导致肺循环阻力增高和肺动脉高压。胸膜也可因炎变和纤维化而增厚。细支气管粘膜上皮间变,肺中继发性感染,可促进放射性纤维化。
临床表现[编辑 | 编辑源代码]
轻者无症状,多于放射治疗后2~3周出现症状,常有刺激性、干性咳嗽、伴气急、心悸和胸痛,不发热或低热、偶有高热。气急随肺纤维化加重呈进行性加剧、容易产生呼吸道感染而加重呼吸道症状。并发放射性食管炎时出现吞咽困难。若放射损伤肋骨,产生肋骨骨折,局部有明显压痛。体检见放射部位皮肤萎缩、变硬,肺部可闻及干、湿罗音和磨擦音。肺部广泛、严重纤维化,最后导致肺功能高压及肺源性心脏病 ,出现相应征象。
辅助检查[编辑 | 编辑源代码]
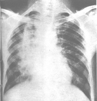
肺功能改变:肺放射性肺炎和纤维化都引起限制性通气功能障碍,肺顺应性减低,伴通气/血流比例降低和弥散功能减低,导致缺氧。有时胸片尚未发现异常,而肺功能检查已显示变化。 X线表现:多数于停止放疗一月后,肺部出阴影。急性期在照射的肺野上出现弥温性片状模糊阴影,其间隐约可见网状影,酷似支气管肺炎或肺水肿。病变的范围与胸廓表面照射野一致。慢性发生肺纤维化,呈条索状或团块状收缩或局限性肺不张。纵隔胸膜和心包有大量粘连,纵隔向患侧移位,同侧横膈升高和胸廓塌陷。
诊断[编辑 | 编辑源代码]
根据放射治疗史,干性呛咳,进行性气急和胸部X线有炎症或纤维化改变可作出诊断,但应与肺部肿瘤恶化和转移性肿瘤相鉴别,以免误诊断续放射治疗;可造成死亡。支气管粘膜上皮经照射后常引起细胞间变,应与癌肿细胞慎加区别。
“放射性肺炎”的诊断一般并不复杂,可根据如下依据进行诊断:有放射性治疗史;病人有干性呛咳、进行性气急及肺部的Velcro罗音具有特征性;胸部X线检查可见肺部炎症或纤维化表现。多于停止放射治疗一个月后出现。急性期表现为在照射肺野出现片状或溶合成大片、致密的模糊阴影,其间隐约可见网状阴影,与支气管肺炎或肺水肿极为相似。慢性期表现为肺纤维化,呈网状,条索状或团块状收缩阴影,主要分布于肺门或纵隔两侧及其他放射肺野。由于肺纤维收缩,气管、心脏向患侧移位,同侧横膈抬高,正常肺组织产生代偿性肺气肿。发生肺动脉高压时,表现为肺动脉段突出或右心肥大。常有胸腔积液特征。特别注意的是需与肺转移性癌相鉴别,如果将放射性肺部损伤误作为肺转移性肿瘤,继续放疗,可造成死亡。放射性肺损伤的部位一般与照射野相符,经过一段时间观察肺纤维化后病灶会回缩,而转移癌会继续增大。为了预防放射性肺损伤的发生,应严格掌握放射野、时间和剂量,以尽量避免肺部的损伤。
预防[编辑 | 编辑源代码]
放射性肺炎的防治关键在于“防”“防”的关键在于以下三点:(1)严格掌握放射剂量:一般在5周内放射量为2500rad的常规剂量较为安全。(2)控制放射野放射野越大发生率越高。(3)选择适当的照射速度以每周剂量800-1000rad为宜,一旦发现本病应尽早开始治疗阻断病程的进展,如已发生广泛肺纤维化则预后不良。
治疗措施[编辑 | 编辑源代码]
为预防放射性肺炎的发生,应严格掌握放射总剂量及其单次剂量分配、照射野大小。乳腺癌作放射治疗,最好作切线投射,尽量避免肺部的损伤。在放射治疗过程中,应严密观察患者有无呼吸道症状及体温升高。X线检查发现肺炎,应立即停止放射治疗。 治疗方法主要是对症治疗,肺部继发感染给予抗生素。早期应用糖皮质激素有效。一般采用泼尼松40mg/d,4次分服,以后逐渐减量,3~6周为一疗程。抗凝疗法治疗小血管栓塞无效。给予氧气吸入能改善低氧血症。
辨证治疗[编辑 | 编辑源代码]
放射性肺炎的病因病机时指出'肺是对放射线较敏感的脏器之一'正常的肺组织在胸部的放射治疗时也会受到
损伤。放射线直接损伤肺泡上皮和毛细血管内皮细胞'使毛细血管充血水肿'发生肺水肿'继之小血管和支气管坏死'逐渐出现肺纤维化和肺硬化。中医认为放射线是一种毒热性杀伤因素'属热毒之邪'热能化火'灼伤肺脏'耗伤阴液。癌症病人正气不足'痰瘀内结。放射治疗使热邪伤阴'正不胜邪'热毒之邪与痰瘀互结'耗伤肺阴'灼伤肺络'影响肺的宣发与肃降'产生咳喘气促、呼吸困难'甚至紫绀等呼吸道症状。本病属本虚标实'阴伤、气虚、血瘀、热毒是其基本病机'治疗时根据不同阶段采取滋阴、益气、化瘀、解毒等治法。
辨证施治一般常分为以下三型:
阴伤肺燥[编辑 | 编辑源代码]
多见于放疗后1~3个月'主要表现有刺激性干咳'无痰或少痰'咽痛'口干喜冷饮'胸闷心烦'或伴低热'纳食不香'舌红少苔缺津'脉细数。治以滋阴清热'润肺生津'用沙参麦冬汤、清燥救肺汤加减'常用药有麦冬、人参、半夏、阿胶、胡麻仁、石膏、枇杷叶、竹茹、竹叶、天花粉、知母、川贝、沙参、玉竹、银柴胡、百合、白薇等。
肺脾气虚兼血瘀[编辑 | 编辑源代码]
病人素体脾虚'加之放疗损伤'病程迁延'咳嗽反复发作'痰粘腻或稠厚成块'色白或带灰色'早晨咳痰较多'常伴胃脘痞满'纳差呕恶'乏力懒动'大便稀溏'小便数'舌质紫黯'苔白腻或黄腻'脉濡滑或滑细。治以补肺健脾'祛湿化瘀'以生姜甘草汤合二陈汤加味'常用药可选人参、黄芪、茯苓、陈皮、法半夏、白术、苍术、川朴、八月扎、红花、苏木、鼠妇、露蜂房等。
热毒炽盛痰热郁肺[编辑 | 编辑源代码]
放疗后血管渗透性增强'肺泡间质水肿'易合并肺部感染'而使热毒和痰火内郁。多表现为恶寒发热'咳嗽痰多'痰粘厚或稠黄'咯吐不爽'咳甚胸痛或咳血'口干欲饮'舌红'苔薄黄或黄腻'脉滑数。治以清热解毒'清肺化痰'以清金化痰汤、千金苇茎汤加减'用药常选桑白皮、黄芩、山栀子、知母、鱼腥草、二花、连翘、红藤、薏苡仁、冬瓜子、贝母、栝楼、桔梗、芦根、石斛等。
家庭护理[编辑 | 编辑源代码]
如果得了“放射性肺炎”,患者一般可选用口服强的松或地塞米松。重症者可静滴地塞米松。合并肺部感染时,加用抗生素。患者一定不能焦急,家人更要做好家庭护理。 (一)积极给予心理疏导,使患者能够保持良好的精神状态,树立战胜疾病的信心。家人需多陪伴病人,给予生活上的照顾。
(二)要注意观察病人的呼吸次数及深浅情况,如病人出现口唇紫绀,呼吸困难时应取半卧位,给予氧气吸入,有条件可静滴强的松或地塞米松等,以缓解症状。
(三)每天要观察体温变化,轻度发热可予以30%酒精或温水擦浴。推拿涌泉穴,合谷穴,曲池穴等,重者可用激素、抗生素静滴。中药降温可用柴胡注射液、清开灵注射液等。
(四)注意病人咳嗽的变化和伴随症状,对有痰不易咳出者,可轻拍背部,由下往上帮助排痰。口服甘草合剂。如病人干咳不能入睡时,可口服可待因0.3克。
(五)保持室内清洁,空气新鲜,室内温度一般在18~20℃为宜,湿度以60%~65%为佳。
(六)注意定时更换衣服、床单、被褥。保持口腔清洁,增加病人抗病能力,预防交叉感染。吸烟者一定要戒烟。
| |||||||||||||||||||||||||||||||||||||||||||