慢性肾盂肾炎
慢性肾盂肾炎是细菌感染肾脏引起的慢性炎症,病变主要侵犯肾间质和肾盂、肾盏组织。由于炎症的持续进行或反复发生导致肾间质、肾盂、肾盏的损害,形成疤痕,以至肾发生萎缩和出现功能障碍。平时病人可能仅有腰酸和(或)低热,可没有明显的尿路感染的尿痛,尿频和尿急症状,其主要表现是夜尿增多及尿中有少量白细胞和蛋白等。病人有长期或反复发作的尿路感染病史,在晚期可出现尿毒症。
疾病名称[编辑 | 编辑源代码]
慢性肾盂肾炎
疾病概述[编辑 | 编辑源代码]
注意事项:
1.慢性肾盂肾炎急性发作期应卧床休息,恢复期可逐步增加活动。
2.及时排尿。尤其在性生活后,女病人应及时排尿,以冲去进入尿道与膀胱内的细菌。
3.多饮水。
4.注意性生活卫生。
5.遵医嘱坚持服药是治疗慢性肾盂肾炎至关重要的事。
疾病分类[编辑 | 编辑源代码]
肾脏内科
症状体征[编辑 | 编辑源代码]
③膀胱刺激症状:尿频、尿急、尿痛及排尿困难。且泌尿道感染病史超过半年以上,抗菌治疗效果不佳。
疾病病因[编辑 | 编辑源代码]
部分病人有易感因素存在,如尿路梗阻、畸形、肾下垂及膀胱-输尿管反流等。
病理生理[编辑 | 编辑源代码]
1.肉眼可见肾脏萎缩,萎缩程度决定于病变的严重程度和均匀性。肾脏表面瘢痕形成区凹凸不平,肾被膜
苍白且难以剥离,在肾脏纵横切面,这些都是慢性肾盂肾炎病因,病变轻微者大部分区域仍保留正常的皮质和髓质,而病情严重者,炎症与纤维化广泛地破坏肾脏正常结构,肾盂粘膜苍白和纤维化。
2.显微镜检查可见肾实质内有大量浆细胞及淋巴细胞浸润,肾小管呈不同程度的退行性变,部分肾小管扩张,其内含蛋白质分泌物,受累的肾小球发生纤维变性和明显的透明样变,常有动脉和小动脉壁增厚,除瘢痕形成区和慢性炎症区外,还可见斑块状急性炎症病灶,这样就使扩张肾盏之上的肾实质瘢痕变得不太典型。
因为慢性的细菌性肾盂肾炎及其他许多非感染性间质性肾炎的病理改变十分相似,因此组织学检查不能确定慢性肾盂肾炎病因。常规尸检中发现,有慢性肾盂肾炎病理改变的发生率为10%~15%。毫无疑问,真正慢性肾盂肾炎病因的发病率要大大低于这一数字。
诊断检查[编辑 | 编辑源代码]
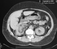
静脉肾盂造影示肾盂、肾盏变形、缩窄,双肾形态学检查(B超、CT等)显示肾影不规则,甚至缩小;肾小管功能有持续性损害,如尿渗透压降低,尿视黄醇结合蛋白及尿β2微球蛋白升高。
治疗方案[编辑 | 编辑源代码]
护理:
1.按肾脏病护理常规护理,有高热者按高热护理常规护理。
2.尿常规、尿沉渣找细菌、真菌培养等均应留晨尿。对女性和包皮过长男性者,应先清洁外阴部尿道口。清洁中段尿采集按第三篇第八章执行。各种尿标本收集后,均应立即送检。
治疗: ①药物选择:尽可能按药敏试验结果结合临床疗效来选用敏感的抗菌药物。②疗程:急性发作期治疗同急性肾盂肾炎,女性患者在临床治愈后于每月月经来潮前1天或来潮时,立即使用抗菌药物7~10d;如发作与性交有关,可于性交后排空小便,服用有效抗菌药物1~3d,男性患者固定每月上旬用药,共3~6个月,或于急性发作期后每晚1次用原药量的1/2~1/3,继续治疗3~6个月。③有慢性感染病灶,如妇科疾病、慢性结肠炎、齿龈脓肿、慢性扁桃体炎、中耳炎、鼻窦炎等,或有尿路先天畸形及梗阻者应予治疗。有糖尿病、尿酸肾病者应积极控制血糖、血尿酸,因卵巢静脉曲张压迫右侧输尿管者,应结扎曲张静脉。
中医中药:急性期可清热解毒,慢性期以扶正祛邪为主,养肾阴益肾气。选择治疗下焦湿热症的中药如银花泌炎灵片的等药物进行治疗,同时坚持治用含有桑寄生的中药进行巩固治疗,能提高慢性肾盂肾炎的反复发作几率。
治愈标准:
1.临床治愈 症状消失,停药72h后,每隔2~3d作尿常规及细菌培养,连续3次阴性。
2.痊愈 临床治愈后,尿常规及细菌培养每月复查1~2次,连续半年均阴性。
药物治疗:
(1)治疗原则:
1)选用细菌敏感而毒性较小,且在肾实质和尿内都具有较高浓度的抗生素。
2)采用较长疗程(4周或6周),以期达到彻底清除细菌的目的。
3)如不能清除细菌而尿路感染反复急性发作,采用低剂量长疗程的抑菌疗法,至少用药1年以上。
4)发生尿毒症时,既要注意保护肾功能,避免药物蓄积中毒,又能很好地抑制细菌生长。
(2)药物的选择:轻者可用复方新诺明、喹诺酮类或加β内酰胺酶抑制剂的半合成广谱青霉素口服,重者需联合用药和静脉用药,如哌拉西林加三唑巴坦(tazobactam)或亚胺培南加西拉司丁钠(imipenem/cilastatinsodium)(用法同第二十七章、急性肾盂肾炎的治疗)。
用药安全[编辑 | 编辑源代码]
避免肾脏功能损害的药物,比如:链霉素、庆大霉素、离子型造影剂等。
饮食上无特殊要求。
慢性肾盂肾炎发展成肾功能衰竭,则按照肾功能衰竭处理。
慢性肾盂肾炎临床表现[编辑 | 编辑源代码]
慢性肾盂肾炎临床表现-慢性肾盂肾炎专题
过去认为,大多数慢性肾盂肾炎由急性肾盂肾炎治疗不彻底反复发作而致。近年来,对于二者之间的关系有了新认识,认为两者之间关系并不象以前所说的那样重要,对于慢性肾盂肾炎的诊断标准已有所修正。
据文献报告,本病占全部肾盂肾炎的7%~20%,仅半数病人有急性肾盂肾炎的发作史。本病临床表现复杂,症状多端。其主要表现是真性细菌尿,尿中仅有少量白细胞和蛋白,细菌尿可为持续或间歇性。患者多有反复发作的尿路刺激症状。慢性肾盂肾炎临床表现:
症状:小儿(偶尔成人)患者可出现慢性细菌性肾盂肾炎的急性发作。发热仅见于急性发作期,无急性发作的患者可能无症状。当慢性肾盂肾炎进入晚期且累及双侧肾脏时,可出现高血压、贫血和氮质血症的相关症状。
实验室检查:在无急性感染发作或氮质血症的情况下,血液检查通常正常。尿液分析结果取决于是否有活动性感染和肾损害的严重程度,仅在部分病例中可发现脓尿和菌尿。
明显的蛋白尿则意味着病情严重,病变累及到肾小球。如果有菌尿症,则尿培养阳性,根据病情的不同阶段,血清肌酐和血尿素氮可以正常或升高。
X线检查:腹部平片可见一侧或双侧肾脏缩小,且不规则。有时可见尿路结石。尿路造影可发现慢性肾盂肾炎的特征性表现,如肾盂扩张,以及其表面肾实质瘢痕形成或萎缩,肾实质变形,造影剂显影不良和显影延迟。
在单侧萎缩性肾盂肾炎,其对侧肾脏代偿性扩大。如有膀胱输尿管返流,则出现输尿管扩张。逆行尿路造影亦可见相似的表现,逆行膀胱尿道造影可发现膀胱输尿管返流,尤其是儿童患者更为常见。
慢性肾盂肾炎食疗
碳酸泉矿泉水
主治 慢性期肾盂肾炎。
处方 碳酸泉矿泉水500毫升
服法 代茶,每日少量多次饮用共500毫升上述矿泉水。
三汁饮
主治 小便短少,涩痛有热感。
服法 西瓜连皮绞计,葡萄、鲜藕亦绞汁,三汁匀混饮用。
芯须汤
主治 小便涩痛不畅。
服法 三物合煎去渣,饮计。
常见的慢性肾盂肾炎的预防措施:
1.注意外阴及尿道口的清洁卫生。要勤换内衣,特别是在妇女月经期、妊娠期或机体抵抗力下降时,如不注意外阴的清洁卫生,细菌可以通过尿道进入膀胱,并由膀胱、输尿管逆流的动力入肾盂,然后再侵及实质,形成泌尿系统的感染。
2.在饮食方面需高热量、高维生素、半流质或容易消化的普通饮食。要多饮水,每日入量不得少于3000毫升,以增加尿量,有利于冲洗泌尿道,促进细菌、毒素和炎症分泌物的排出。
3.锻炼身体增强体质提高机体对疾病的抵抗能力。注意休息,避免劳累和便秘。
4.女性患者急性期治愈后,一年以内应注意避孕。
5.女性患者禁止盆浴,以免浴水逆流入膀胱,引起感染。 常备的药物: 呋喃坦丁0.1克,口服,每日至4次,对泌尿系感染效果较好。
吡哌酸0.5-0.75克,口服每日至4次。 维生素C1克,口服,每日3次,可增强呋喃坦丁的作用。(维生素C 可使尿液酸化,呋喃坦丁在酸性尿中抗菌作用增强)。
并发症[编辑 | 编辑源代码]
慢性肾盂肾炎患者易发生菌血症高血压和肾结石尤其是合并感染的结石某些促使幼儿期细菌性肾盂肾炎发
①治疗不彻底的再发性或持续性感染;
②肾脏发育不全或畸形;
③出现进行性免疫性损害;
④高血压肾损害;
⑤严重膀胱输尿管返流对肾脏的损害;
⑥出现合并感染的肾结石特别是感染由产脲酶细菌引起者
参看[编辑 | 编辑源代码]
| |||||||||||||||||||||||||||||||||||||||||||
