慢性扁桃体炎

来自医学百科

慢性扁桃体炎是由于细菌及分泌物积存于扁桃体窝导致的。而这些积存的细菌不断分泌毒素,并经过腺窝周围的血管网传播到全身。因而扁桃体成为不少全身性疾病风湿热肾炎等的病灶,这也正是其危害所在。慢性扁桃体炎多由急性扁桃体炎反复发作转为慢性。患急性传染病(如猩红热麻疹流感白喉等)后,可引起慢性扁桃体炎,鼻腔有鼻窦感染也可伴发本病。病源菌以链球菌葡萄球菌等最常见。临床表现为经常咽部不适,异物感,发干、痒,刺激性咳嗽口臭症状

病因病理[编辑 | 编辑源代码]

慢性扁桃体炎(chronic tonsillitis)

慢性扁桃体炎

多由急性扁桃体炎反复发作或因隐窝引流不畅,而致扁桃体隐窝及其实质发生慢性炎症病变。也可发生于某些急性传染病之后。根据免疫学说,扁桃体隐窝内细菌、病毒代谢产物进入体液后,可引起抗体形成,继之腺体内产生抗原抗体结合物,能起到一种复合免疫作用,从而认为慢性扁桃体炎是一种自身免疫反应。由于自身抗原抗体结合时对组织细胞有损害,而有利于感染,感染又促进抗原抗体反应,从而形成恶性循环。

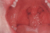
临床表现[编辑 | 编辑源代码]

全身症状不明显。局部症状主要是咽痛咽干不适,咽部痒感,口臭等。扁桃体一

慢性扁桃体炎图解

般都比较大。扁桃体隐窝内的细菌素被吸收,而引起身体的变态反应,常有消化不良头痛、疲乏无力、低热等症状。检查时见扁桃体充血,特别咽腭弓充血。有时呈暗红色,扁桃体表面有瘢痕,凹凸不平,有的有小脓点,挤压扁桃体可挤豆渣样分泌物,有时颌下淋巴结肿大。  

临床诊断[编辑 | 编辑源代码]

临床上为记录方便,可将扁桃体的外形大小分为Ⅲ度:扁桃体超出舌腭弓,但未遮盖咽腭弓者为Ⅰ度;已遮盖咽腭弓者为Ⅱ度;超出咽腭弓突向中线者为Ⅲ度。但扁桃体的大小不能作为炎症的指征,因为儿童有生理性肥大,成人多萎缩

鉴别诊断[编辑 | 编辑源代码]

本病应与下列疾病相鉴别。

慢性扁桃体炎

1.扁桃体角化症(keratosis of tonsil) 为扁桃体隐窝口上皮细胞过度角化,形如黄白色角状或尖形砂粒样角化物,触之坚硬,根基牢固,不能拭掉,可无明显自觉症状,或反觉咽部不适或异物感,可同时发生于咽后壁、咽侧束和舌根等处。病程较长,多发生于30岁以前的青年。病因尚不明确,一般不需特殊治疗。

2.扁桃体肿瘤 一侧扁桃体迅速增大或扁桃体肿大而有溃疡,均应考虑肿瘤的可能性。如扁桃体肉瘤,早期可局限于扁桃体粘膜下,表面光滑,主要症状为一侧扁桃体迅速增大,常有颈淋巴结转移,以青年人较多见,活检可确诊。

3.扁桃体症状性肥大 系某些全身性疾病的局部表现,如患白血病时,扁桃体可呈对称性肿大。有时咽部症状可为其首发症状。根据周围血象及骨髓象进行诊断。

并发症[编辑 | 编辑源代码]

慢性扁桃体炎,不仅由于炎症蔓延可引起邻近器官的感染,如中耳炎,鼻窦炎,喉、气管支气管炎等,更重要的是为人体常见的感染病灶之一,与急性肾炎风湿性关节炎、风湿热、心脏病、长期低热等疾患关系密切。如何诊断为病灶扁桃体炎,尚缺乏特异性检查方法。临床常认为人体受扁桃体隐窝内细菌和毒素的影响,发生变态反应而产生各种并发症;此类并发症多发生于扁桃体炎发作后1~3个月,病情的演变或恶化往往与扁桃体炎的发作有联系;病灶性扁桃体以纤维型病变者居多,常有隐窝内分泌物潴留和颌下淋巴结肿大等,应根据病史、局部与全身检查等资料,全面分析,相互参证,有时结合扁桃体摘除后的情况加以判断。另外,扁桃体激发试验、血清抗链球菌溶血素“O”、抗链激酶和抗透明质酸酶滴度的动态观察等,对诊断有一定的参考意义。  

治疗[编辑 | 编辑源代码]

慢性扁桃体炎的治疗是长期的,坚持治疗是很重要的一点。

慢性扁桃体炎

保持口腔清洁,每天睡前刷牙,饭后漱口,以减少口腔内细菌感染的机会。

西医治疗[编辑 | 编辑源代码]

(1)低温等离子刀:其治疗原理是通过导电介质在电极周围形成一个高度聚集的等离子体区,等离子体区是由高度等离子化了的粒子组成,这些离子化了的粒子具有足够的能量粉碎组织内的有机分子链,从而使分子和分子分离,组织体积缩小,不直接破坏组织,对周围组织损伤极小;由于电流不直接流经组织,织发热极少,治疗温度低。

(2)局部刮治法:用物理的方法挤出扁桃体内的分泌物从而达到疏通的作用。方法:用普通竹制压舌板,将其两端磨圆滑,以不至于划伤黏膜为度,清洁消毒待用。刮治时患者取坐位,操作者一手压舌,一手刮,刮时以下前牙为支点,于扁桃体表面自下极向上极刮过,力度以能挤出隐窝内黄白色物质为度,每次每侧扁桃体刮5 ~7遍,生理盐水漱口,恶心严重者以1%的丁卡因喷雾麻醉口咽后再刮。

(3)冷冻疗法:冷冻治疗的原理是利用致冷剂产生深低温,用低温破坏局部病变组织,以达到治疗疾病的目的。冷冻中及术后均无出血,无疼痛,但手术时间长,只能使扁桃体缩小30% ~50%。

(4)微波疗法:微波是通过电磁波作用于组织细胞,产生强烈的分子运动,形成特殊的内生热效应,使组织蛋白凝固血管闭塞,从而达到萎缩、平复、消失或坏死脱落的目的。

(5)激光疗法:激光疗法的原理是激光的汽化热凝效应,扁桃体组织迅速凝固、汽化、坏死、脱落,其局部组织形态被改变,其表面及隐窝内病原体被杀死。

(6)射频疗法:射频能量使电极和组织间形成等离子薄层,层中离子被电场加速,并将能量传递给组织,在低温下(60~80e)打开分子健,使靶组织中的细胞以分子为单位解体,分解为碳水化合物和氧化物,造成组织凝固性坏死,称为低温等离子消融。坏死组织脱落或产生瘢痕收缩,便达到减小组织体积的效果。

(7)药物治疗:左旋咪唑(Levamisoie.或LMS)为一种人工台成的广谱低毒驱肠虫药物,近年来作为一种有效的免疫调节剂应用于临床。LMS在体外可使巨噬细胞数增加,吞噬颗粒增多,在体内可促使机体免疫缺陷或免疫抑制功能恢复,提高对细菌病毒的抗能力。

中医疗法[编辑 | 编辑源代码]

中医认为慢性扁桃体炎与体质虚弱,脏腑虚损有关,主要与肺、肾阴虚有关,治疗卜多用滋补肺肾,生津利咽的方法。常用方药:玄参12克、麦冬10克、生地12克、知母10克、黄柏6克、桔梗10克、生甘草6克。有消化不良,不思饮食者加陈皮10克、砂仁6克、焦三仙各10克。四肢乏力,精神疲倦,大便溏泄者,则应改服中成药参苓白术丸,每次6克,每日2次。  

预防[编辑 | 编辑源代码]

1.慢性扁桃体炎的病人应养成良好的生活习惯,保证充足的睡眠时间,随天气变化及时增减衣服,去除室内潮湿的空气,都是重要的。对于患病儿童,应养成不挑食、不过食的良好习惯。

2.坚持锻炼身体,提高机体抵抗疾病的能力,不过度操劳,若劳累后应及时调整休息。戒除烟酒,是预防慢性扁桃体炎的重要一点。

3.患扁桃体急性炎症应彻底治愈,以免留下后患。

4.预防各类传染病、流行病。流食或半流食,发热高者町用酒精擦浴,协助降温。

2.积极治疗急性扁桃体炎可预防本病。  

保健[编辑 | 编辑源代码]

慢性扁桃体炎食疗方

(1)肺阴亏虚型,症见咽部干掀不适、微痛、微痒,干咳无痰或痰少而粘。哽哽不利,喉核肥大、潮红,连及周围,喉核上或有黄白色脓点。一般以午后症状明显,并可有午后颧红,精神疲乏,手足心热,讲话乏力,舌质红或干、少苔,脉细数等症状。治宜养阴清肺生津润燥

(2)肾阴虚损型,症见咽喉干掀不适,微痛,哽哽不利,口干不喜多饮,喉核及喉核前后潮红,喉核上或有黄白色脓点。全身并有头晕眼花,耳鸣耳聋腰膝酸软虚烦失眠舌红少苔,脉细数等症。治宜滋阴降火,清利咽喉。

慢性扁桃体炎

  

百合炖香蕉[编辑 | 编辑源代码]

组成:百合15克,去皮香蕉2个,冰糖适量。

用法:上三味加水同炖,服食之。

功效:养阴清肺,生津润燥。

主治:慢性扁桃体炎,属肺阴亏虚型,咽部干掀不适,微痛,微痒,于咳无痰或痰少而粘。哽哽不利,喉核肥大,或有黄白色脓点。午后颧红,手足心热,讲话乏力。  

百合羹[编辑 | 编辑源代码]

组成:百合20克,桑叶9克。

用法:百合去衣,加桑叶所煎出的汁,合煮为羹,每日食1小碗。

功效:养阴清肺,生津润燥。

主治:慢性扁桃体炎,属肺阴亏虚型,咽部于掀不适,微痛,微痒,喉核肥大,潮红,连及周围,喉核上或有黄白色脓点。一般以午后症状明显,舌质红或干少苔。  

枸杞猪肉[编辑 | 编辑源代码]

组成:枸杞30克,猪肉500克。

用法:萝卜二味加入调料炖汤,佐餐食用。

功效:滋阴降火,清利咽喉。

主治:慢性扁桃体炎,属肾阴虚损型,咽喉干掀不适,微痛,喉核及喉核前后潮红,喉核上或有黄白色脓点。头晕眼花,腰膝酸软,虚烦失眠。  

五汁饮[编辑 | 编辑源代码]

组成:雪梨100克,甘蔗100克,荸荠100克,藕100克,新鲜芦根100克。

用法:将上五味榨汁混合,每日饮用,10天为1疗程。

功效:滋阴降火,清利咽喉。

主治:慢性扁桃体炎,属肾阴虚损型,咽喉干掀不适,微痛,哽哽不利,口干不喜多饮,喉核及喉核前后潮红,头晕眼花,耳鸣、耳聋,腰膝酸软,虚烦失眠。  

扁桃体炎的危害[编辑 | 编辑源代码]

正常情况下,扁桃体的淋巴细胞和抗体能将病菌消灭或控制住,维持机体的健康。但是,任何防御的力量都是有限的,当身体抵抗力下降,如在寒冷或潮湿环境、身体过度疲劳营养不良、缺乏锻炼等情况下,扁桃体的防御能力便会减弱;或者当病菌多次侵袭,特别是病菌数量大、毒力强时,扁桃体会因寡不敌众而被病菌攻破占领,发生炎症,出现红肿、疼痛、化脓。轻者低热、咳嗽,喉部不适;重者高烧不退、呼吸急促,甚至高热惊厥

若治疗不及时,人体抵抗力不足以战胜病原体时,炎症就可向周围组织扩散,并可经血液播散至其他器官,使之发生炎症,还会引起宝宝全身性的病理反应,如继发风湿热、风湿性关节炎、风湿性心脏病、急性肾炎和无显著原因的低热。当然,像扁桃体周围脓肿、急性中耳炎副鼻窦炎等并发症也时有发生。此时,扁桃体便成了宝宝生病的“罪魁祸首”。

参看[编辑 | 编辑源代码]

参考文献[编辑 | 编辑源代码]

  • 黎再云; 陈隆晖.慢性扁桃体炎的临床治疗研究进展.西南军医
  • 田勇泉.耳鼻咽喉头颈外科学.人民卫生出版社