多发性骨髓瘤
多发性骨髓瘤(multiple myeloma,MM)是浆细胞异常增生的恶性肿瘤。一种进行性的肿瘤性疾病.其特征为骨髓浆细胞瘤和一株完整性的单克隆免疫球蛋白(IgG,IgA,IgD或IgE)或Bence Jones蛋白质(游离的单克隆性κ或γ轻链)过度增生. 多发性骨髓瘤常伴有多发性溶骨性损害,高钙血症,贫血,肾脏损害,而且对细菌性感染的易感性增高,正常免疫球蛋白的生成受抑.发病率估计为2~3/10万,男女比例为1.6:1,大多患者年龄>40岁黑人患者是白人的2倍.
疾病症状[编辑 | 编辑源代码]
持续性的无法解释的骨骼疼痛(特别是在背部或胸廓),肾功能衰竭,反复发生细菌性感染(特别是肺炎球菌性肺炎)是最常出现的症状.病理性骨折和椎骨压缩常见,后者可能导致脊髓受压迫和截瘫.由于在肾小管广泛管型形成,肾小管上皮细胞萎缩和间质纤维化而发生肾衰(骨髓瘤肾病).有些病人以贫血,伴乏力和疲劳为主,少数病人有高粘滞综合征(见上文巨球蛋白血症).淋巴结和肝脾肿大不常见.
病因及发病机制[编辑 | 编辑源代码]
病因不明.在骨髓瘤患者培养的树突状细胞中,发现了与卡波西肉瘤相关的疱疹病毒,这提示两者存在一定的联系.该病毒编码的白介素-6(IL-6)的同系物.人类IL-6可促进骨髓瘤生长,同时刺激骨的重吸收. 此种特殊的细胞来源尚不明了.通过免疫球蛋白的基因序列和细胞表面标志分析提示为后生发中心细胞恶性变而来.
疾病诊断[编辑 | 编辑源代码]
1、好发年龄多为40岁以上,男多于女。
2、病变前期可无明显症状,仅存在血沉增快、贫血、蛋白尿等症状。
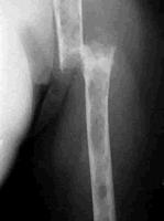
3、可有骨关节、腰背疼痛、颅骨、胸肋骨瘤形成,以胸肋、锁骨连接处发生串珠样结节及溶骨性钻凿样或鼠咬状圆形骨质缺损为特征,可出现病理性骨折、截瘫、肋间及坐骨神经痛等。
4、可损害肾脏而造成蛋白尿、肾小管病、肾病综合征、尿毒症等。
5、因血液粘稠度增高而引起头晕、头痛、视力障碍、胸闷、眩晕、出血等症状。
6、易引起肺部、泌尿系感染。
7、实验室检查
(1)血清异常球蛋白增多而白蛋白正常或减少。尿凝溶蛋白半数阳性。
(4)骨骼X线检查可见多发性溶骨性穿凿样骨质缺损区或骨质疏松、病理性骨折。
(5)误诊率罚高,应注意与慢性炎症、伤寒、红斑狼疮、肝硬变转移癌所致反应性浆细胞增多症(浆细胞小于10%,无形态异常)、良性单克隆丙球蛋白血症(无骨骼变化)和老年性骨疏松、甲状腺功能亢进相鉴别。
易混淆病种[编辑 | 编辑源代码]
多发性骨髓瘤是较易发生误诊的内科疾患之一。在临床上常被误诊为“骨质疏松”、“骨转移癌”、“腰椎结核”、“肾病”、“复发性肺炎”、“泌尿系感染”等病。
在诊断时又需与反应性浆细胞增多症、意义未明单克隆免疫球蛋白血症、原发性巨球蛋白血症、原发性系统性淀粉样变性、伴发于非浆细胞病的单克隆免疫球蛋白增多、骨转移癌、原发于骨的肿瘤、原发性肾病、甲状旁腺功能亢进等病鉴别。
预防措施[编辑 | 编辑源代码]
多发性骨髓瘤常见的并发症也是患者死亡的主要原因之一,本病的发生与环境、等因素有关,故预防多发性骨髓瘤发生,增强病人的体质,积极治疗慢性疾患,避免射线及化学毒物的接触,对于疾病的防治具有重要的意义。
1、首先应避免与致病因素接触,若有接触史或病状可疑者,应定期体检,争取早期发现及时治疗。
2、患者宜参加适当的经常性活动,以减少脱钙。
3、注意个人卫生,防止感染。
4、注意调理情志,防止七情太过,从而保持气血和畅,阴阳平衡,预防疾病的发生。
5、保持乐观情绪,性情勿大怒、勿大悲伤,注意身体锻炼。
免疫学分型[编辑 | 编辑源代码]
1、IgG型:多见,占55%~70%,分泌轻链者占50%~70%,κ/λ比例为2~3∶1。易感染,病程长,高钙血症和淀粉样变较少见,预后在各型中最好。
2、IgA型:占20%~27%,分泌轻链者占50%~70%,κ/λ比例为1~2∶1。感染较少见。高钙血症明显,合并淀粉样变,出现凝血异常及出血倾向机会较多,预后较差。
3、IgD型:少见,仅占1%~2%,分泌轻链者占90%,κ/λ比例为1∶9。瘤细胞分化较差,易并发浆细胞性白血病,几乎100%合并肾功能损害,生存期短。
4、IgE型:罕见,多为λ型。易合并浆细胞性白血病。
6、轻链型:占20%,分泌轻链者占100%,κ/λ比例为1.2∶1。80%~100%有凝溶蛋白尿,极易出现高钙血症、肾功能不全和淀粉样变性,预后很差。
7、双克隆或多克隆型免疫球蛋白型:占2%,亦可为双轻链型。
8、非分泌型:占1%以下,血中无M蛋白,尿中无凝溶蛋白。
【分期】
ISS国际分期系统(2003)
分期 血清β2-MG水平 中位生存期(月)
Ⅰ期 <3.5mg/L 62
Ⅱ期 Ⅰ和Ⅲ期之间 44
Ⅲ期 ≥5.5mg/L 29
Durie和Salmon(D-S)分期系统
| 分期 特征 |
| Ⅰ期 符合下列各项: |
| 低肿瘤负荷 1 血红蛋白>100g/L |
| (< 0.6 × 10^12个细胞/m2) 2 M蛋白合成率低 |
| IgG<50 /L |
| IgA<30g/L |
| 3 尿κ或λ轻链< 4g/24小时 |
| 4 血钙正常 |
| 5 骨X线片正常或只有个别溶骨性改变 |
| Ⅱ期 介于I期和III期之间 |
| 中等肿瘤负荷 |
| (0.6–1.2 ×10^12个细胞/m2) |
| Ⅲ期 符合下列至少一项: |
| 高肿瘤负荷 1 血红蛋白<85g/L |
| (> 1.2 × 10^12个细胞/m2) 2 M蛋白合成率高 |
| IgG>70g/L |
| IgA>50g/L |
| 3 尿κ或λ轻链> 12 g/24小时 |
| 4 血钙>12g/L |
| 5 溶骨性病变多于3处 |
| 亚型 A:肾功能正常 B:肾功能损害 |
并发症[编辑 | 编辑源代码]
1.骨折 病理性骨折,常见于颅骨、盆骨、肋骨、脊柱骨骨折等。
2.高钙血症 骨髓瘤合并高钙血症在欧美患者中的发生率可达30%~60%,临床可表现为食欲不振、恶心、呕吐、烦渴性多尿、昏迷。
3.肾脏损害 是MM常见和重要的并发症,也是患者死亡的主要原因之一。
急、慢性肾功能衰竭是多发性骨髓瘤的重要并发症之一,也是诊断上的重要线索,它可发生在多发性骨髓瘤的任何阶段。
4.高黏滞综合征 在MM患者中发生率为10%,常表现视力下降、意识障碍、中枢神经系统紊乱、心衰等。
6.感染 在病程中可反复出现感染、发热。如皮肤感染、肺部感染等。
7.淀粉样变性 引起相应的临床表现,包括舌肥大、腮腺肿大、心肌肥厚、心脏扩大、腹泻、外周神经病、肝脾肿大等。
8.神经系统损害 MM合并神经系统损害的发病率28.6%~40%,包括脊髓压迫、神经根脊髓压迫等。
疾病治疗[编辑 | 编辑源代码]
1、无根治疗法,仍以抗肿瘤化疗为主。
(1)M2方案:卡氮芥20mg/m2静注,第1日环磷酰胺400mg/平方米静注,第1日;苯丙酸氮芥每日mg/平方米,第1~7日口服,每日mg/平方米口服,第1~4日;强松每日mg/平方米口服,第1~7日,每日mg/mg口服,第8~14日。21日为1个疗程,2个疗程间竭14日,共6个疗程。强的松在第3或第4个疗程起逐渐停用。对M2方案已产生抗药、难治或晚期多发性骨髓瘤者,可采用VAD方案:长春新碱1mg静注,每日1次,共4日;阿霉素10mg静注,每日1次,共4日;地塞米松10mg静注,每日1次,共4日,再于9~12日,17~21日应用,每25日重复1个疗程。如不能耐受联合化疗,可单独或使用。
(2)干扰素:a-2a干扰素3×10U肌注,每日增加剂量为6×10U、9×10U、18×10U以至50×10U,反应严重或治疗4周以上无效应停药。
(3)贫血、感染可难予对症抗贫血、抗感染治疗。
(4)高血清粘滞症可行血浆分离;高钙血症可给生理盐水1000ml静滴,强的松20mg,每日次口服或氢化可的松每日~300mg静注。
(5)骨髓移植。大剂量化疗已解后,可考虑自身或同种异体骨髓存移植。
临床表现[编辑 | 编辑源代码]
多发性骨髓瘤起病徐缓,可有数月至十多年无症状期,早期易被误诊。MM的临床表现繁多,主要有贫血、骨痛、肾功能不全、感染、出血、神经症状、高钙血症、淀粉样变等。
症状:
(一)多发性骨髓瘤瘤细胞浸润表现
1.骨痛、骨骼变形和病理骨折 骨髓瘤细胞分泌破骨细胞活性因子而激活破骨细胞,使骨质溶解、破坏,骨骼疼痛是最常见早期出现的症状,约占70%,多为腰骶、胸骨、肋骨疼痛。由于瘤细胞对骨质破坏,引起病理性骨折,可多处骨折同时存在。
2.贫血和出血 贫血较常见,为首发症状,早期贫血轻,后期贫血严重。血小板减少,出血症状多见、皮肤粘膜出血较多见,严重可见内脏及颅内出血。
3.肝、脾、淋巴结和肾脏浸润 肝、脾轻度、中度肿大,颈部淋巴结肿大,骨髓瘤肾。
4.其他症状 部分病人在早期或后期可出现肢体瘫痪、嗜睡、昏迷、复视、失明、视力减退。
(二)多发性骨髓瘤细胞分泌大量M蛋白引起的症状
1.多发性骨髓瘤的继发感染 感染多见于细菌,亦可见真菌、病毒,最常见为细菌性肺炎、泌尿系感染、败血症,病毒性带状庖疹也可见。
2.多发性骨髓瘤的肾功能损害 50%-70%病人尿检有蛋白、红细胞、白细胞、管型,出现慢性肾功能衰竭、高磷酸血症、高钙血症、高尿酸血症,可形成尿酸结石。
3.多发性骨髓瘤的高粘滞综合征 约为2%-5%发生率,头晕、眼花、视力障碍,并可突发晕厥、意识障碍。多见于IgM型多发性骨髓瘤。
4.多发性骨髓瘤的淀粉样变 发生率为5%-10%,常发生于舌、皮肤、心脏、胃肠道等部位。
(三)浆细胞性白血病 符合外周血浆细胞数大于20%,肝脾肿大,白细胞数大于15×109/L,则为浆细胞白血病。
化疗注意事项[编辑 | 编辑源代码]
(1) 开始治疗前诊断必须明确,白血病、多发性骨髓瘤与恶性组织细胞瘤必须得到血液学和骨髓细胞学诊断。恶性淋巴瘤与其它各种实体瘤必须得到局部组织的病理诊断,化疗药物一般不用于诊断性治疗,更不能作为安慰剂使用,以免给病人造成不必要的损失。
(2) 患者一般情况较好,血象及肝、肾功能正常,才能耐受化疗。凡有下列情况之一者,应慎重考虑药物的种类与剂量:[1] 年老体弱;[2] 以往经过多种化疗或与放疗同时进行;[3] 肝、肾功能异常;[4] 明显贫血;[5] 白细胞或血小板低于正常值;[6]营养不良、血浆蛋白明显减少;[7] 肿瘤骨髓转移;[8] 肾上腺皮质功能不全;[9] 有发热、感染或其它并发症;[10] 心肌病变等;[11] 慢性肺功能不全。
化疗失败的原因
1.病人方面
骨髓与其它重要器官(肝、肾、心、肺等)的功能不全,患者的一般情况太差,不能耐受化疗。
2.肿瘤方面
原发或继发性抗药;增殖比率较低处于静止期细胞多;肿瘤的负荷过大,瘤细胞在1011 以上。
3.药物方面
选择性不强,对肿瘤和正常组织细胞的损伤差别不大;对GO期细胞无效或效力太差;不能作用于“避难所”内的瘤细胞如不能通过血脑屏障而进入颅内;最有效的使用方法尚未找到。
疾病康复指导[编辑 | 编辑源代码]
(一) 生活调理
①劳逸结合,尤其中老年人,注意不要过度劳累,保持心情舒畅。
②MM病人易出现病理性骨折,故应注意卧床休息,避免负重等劳动或运动。
(二) 饮食调理
饮食宜清淡,选用抑制骨髓过度增生的食品,如海带、紫菜、裙带莱、海蛤、杏仁。对症选用抗血栓、补血、壮骨和减轻脾肿大的食品,稳定期可长期服用"康血宁"药茶。
① 抑制骨髓过度增生食疗方 桃花鱼片:青鱼肉适量,桃仁酥10g。鱼肉切丝,共炒熟即可。适用于各型多发性骨髓瘤。
②抗血栓食疗方 山楂甜羹:山楂50g,红花50g。煮羹作点心食。适用于伴有高粘滞血症的多发性骨髓瘤患者。
③补血、抗消耗食疗方
黄芪银耳汤:黄芪9g,银耳12g,加水300ml,文火煮1小时加冰糖适量,每日服一次。治疗多发性骨髓瘤缓解期,气阴虚,口干,盗汗,失眠者。
饮食注意[编辑 | 编辑源代码]
多发性骨髓瘤饮食宜清淡,选用能抑制骨髓过度增生的食品,如海带、紫菜、裙带菜、海蛤、杏仁。
对症选用抗血栓、补血、壮骨和减轻脾肿大的食品,如海带、紫菜、裙带菜、海蛤、杏仁、桃仁、李子、蛤、统鱼、韭菜、山植、海蜇、龟甲、鳖肉、牡断、核桃。猪肝、蜂乳、芝麻、花生甲鱼、泥鳅、海鳗。戒禁烟酒,忌食肥甘厚味以及生冷、辛辣之品。以杜绝生疾之源,可适当饮用牛奶。有肾功能损伤者、还应采用低盐饮食。若件发真性细胞增多症及原发性血小板增多症时,应加食花生、葡萄等增加凝血功能的食品。
家庭护理[编辑 | 编辑源代码]
1.休息 一般病人可适当活动,过度限制身体能促进病人继发感染和骨质疏松,但绝不可剧烈活动,应避免负载过重,防止跌、碰伤,视具体情况使用腰围、夹板,但要防止由此引起血液循环不良。如病人因久病消耗,机体免疫功能降低,易发生合并症时,应卧床休息,减少活动。有骨质破坏时,应绝对卧床休息,以防止引起病理性骨折。
2.为防止病理性骨折 应给病人睡硬板床,忌用弹性床。保持病人有舒适的卧位,避免受伤,特别是坠床受伤。
3.饮食护理 给予高热量、高蛋白、富含维生素、易消化的饮食。肾功能不全的患者,应给予低钠、低蛋白或麦淀粉饮食,以减轻肾脏负担。如有高尿酸血症及高钙血症时,应鼓励病人多饮水,每日尿量保持在2000ml以上,以预防或减轻高钙血症和高尿酸血症。
4.对肢体活动不便的老年卧床病人,应定时协助翻身,动作要轻柔,以免造成骨折。受压处皮肤应给予温热毛巾按摩或理疗,保持床铺干燥平整,防止褥疮发生。
5.口腔护理 肾功能损害的病人,因代谢物积累过多,部分废物进呼吸道排出而产生口臭,影响病人食欲,应做好口腔护理,并给予0.05%洗必泰液和4%碳酸氢钠液交替漱口,预防细菌和真菌感染。
6.疼痛护理 随着病情进展,骨痛症状难以缓解,骨痛程度轻重不一,主要发生于富含红骨髓的骨骼,如肋骨、胸骨等。神经根可因受压而出现神经痛。要关心体贴病人,尽量减轻病人痛苦。尤其对病人因身体活动时引起的疼痛,应密切观察,细心护理。按医嘱给予适量的镇静止痛药,必要时可给予杜冷丁、吗啡等镇痛药。也可进行局部放射治疗,以减轻症状。神经性疼痛的病人可给予相应的局部封闭或理疗。
7.贫血护理 观察贫血的症状和判断贫血程度,给予相应的护理。
8.预防感染 本病以呼吸道感染和肺炎为多见,其次是泌尿道感染,故应保持病室清洁空气,温湿度适宜,避免受凉和防止交叉感染,协助病人经常更换体位,及时排痰;鼓励水化利尿。
9.化疗护理 化疗期间病人应多饮水,每日入液量不少于3000ml,并碱化尿液,准确记录液量,维持水电解质平衡。
10.心理护理 疏导病人说出自已的忧虑,加倍地给予关爱和照顾,尽力缓和病人的精神压力,帮助病人正视现实,摆脱恐惧,情绪平稳。
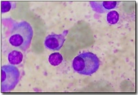
多发性骨髓瘤患者的骨髓象[编辑 | 编辑源代码]
骨髓象检查对诊断本病具有决定性意义。骨髓常增生活跃,骨髓瘤细胞一般都在5%以上,多者可达95%。瘤细胞有时呈不均匀分布,须多部位多次骨穿方能确诊。孤立性骨髓瘤在X线确定位置后骨穿确诊率高。浆细胞系统明显增多,主要为多发性骨髓瘤细胞,其特点为:
①细胞大小不一,有时可见巨型、多枚骨髓瘤细胞;
③胞浆着色异常,部分呈嗜碱性,部分呈嗜酸性,有时胞浆内见红色或结晶状包涵体即罗氏小体。核周围淡染区常不明显或消失,可合少量嗜苯胺蓝颗粒或空泡。有时可见蓝色小球状,直径约2u的充满胞浆的包涵体。根据形态学的不同将骨髓瘤细胞分为成熟型、不成熟型、中间型及原浆细胞型4类。电镜下可见骨髓癌细胞的粗糙内质网丰富,形态不一;核糖体减少,高尔基体发达;线粒体较大,数已增多,嵴高而膨胀。
化疗失败的原因[编辑 | 编辑源代码]
1.病人方面
骨髓与其它重要器官(肝、肾、心、肺等)的功能不全,患者的一般情况太差,不能耐受化疗。
2.肿瘤方面
原发或继发性抗药;增殖比率较低处于静止期细胞多;肿瘤的负荷过大,瘤细胞在10的11 次方以上。
3.药物方面
选择性不强,对肿瘤和正常组织细胞的损伤差别不大;对GO期细胞无效或效力太差;不能作用于“避难所”内的瘤细胞如不能通过血脑屏障而进入颅内;最有效的使用方法尚未找到。
参看[编辑 | 编辑源代码]
| |||||||||||||||||||||||
