医学影像学/肺结核

来自医学百科

肺结核(pulmonary tuberculosis)是由人型或牛型结核杆菌引起的肺部慢性传染病。建国前流行广泛,建国后人民生活普遍提高,防治工作成绩卓著。现在肺结核的患病率死亡率较建国初期均有明显下降。但目前仍不少见。X线检查对肺结核的防治有着重要作用。

肺结核的病理变化比较复杂。机体的免疫力和细菌的致病力都直接影响着病变的性质、病程和转归,所以肺结核的X线表现也是多样的。

结核杆菌侵入肺组织后所引起的基本病变是渗出增殖。前者以结核性肺泡炎,后者以结核性结节肉芽肿为特征。在机体免疫力的影响下,未被吸收的渗出性病变可发生增殖性改变,增殖性病变周围也可出现渗出性病变。两者大多混合存在。

在机体抵抗力低下或未适当治疗时,结核病变可以恶化,发生以下几种改变:①干酪样坏死(caseous necrosis),为结核病变坏死的特征性改变,病变在渗出的基础上呈凝固性坏死,变为灰黄色似奶酪,故称干酪样坏死;②液化及空洞(liquification and cavitation),病变发生干酪样坏死后,继而发生液化,坏死物经支气管排出后即形成空洞;③播散(dissemination),结核病变中的结核杆菌可以通过淋巴管胸导管进入血流,经右心、肺动脉造成肺内血行播散;直接进入肺静脉造成全身性血行播散;通过支气管播散到其他肺部;病变局部浸润至邻近肺组织。

机体抵抗力强和经适当治疗时,结核病变可通过以下几种方式愈合:①吸收,急性渗出性病变可被完全吸收而不留痕迹,轻微的干酪样变或增殖性病变也可大部吸收,仅残留少量纤维瘢痕;②纤维化,病变在吸收过程中伴有纤维组织增生,特别是增殖性病变,主要经纤维化而愈合,非液化的干酪样病可以被纤维组织包绕而形成结核球;③钙化,局限性干酪样病灶,在机体抵抗力增强的情况下,可脱水干燥而钙化;④空洞瘢痕性愈合,新形成的薄壁空洞,经有效治疗,洞内干酪样坏死物排出后,引流支气管闭塞,空洞内压下降,洞壁萎陷,肉芽组织及纤维组织增生而愈合;⑤空洞净化,为空洞临床愈合的一种形式。慢性纤维空洞难以闭合,经长期抗结核治疗,洞内细菌被消灭,支气管上皮可长入,痰内一直查不到结核杆菌,称为净化空洞。

肺结核的临床分类,对肺结核的防治很重要。但因肺结核具有复杂的临床、病理及X线表现,所以较难制订一个满意的分类。1978年全国结核病防治会议制定了我国新的结核病分类法。将肺结核分为五个类型:即①原发型(Ⅰ型);②血行播散型(Ⅱ型);③浸润型(Ⅲ型);④慢性纤维空洞型(Ⅳ型);⑤胸膜炎型(Ⅴ型)。并将活动性及转归分为三期:

进展期:凡具备下述一项者属进展,新发现活动性病变;病变较前恶化、增多;新出现空洞或空洞增大;痰内结核杆菌阳性。

好转期:凡具备下述一项者属好转,病变较前吸收好转;空洞闭合或缩小;痰内结核杆菌为阴性(连续3个月,每月至少查痰一次)。

稳定期:病变无活动、空洞闭合、痰内结核杆菌连续阴性(每月至少查痰一次)达6个月以上。如空洞仍然存在,则痰内结核杆菌须连续阴性1年以上。稳定期为非活动性肺结核,属临床治愈;再经观察2年,如病变仍无活动性,痰内结核杆菌仍持续为阴性,则作为临床痊愈,可认为“肺部健康”,如有空洞,需观察3年以上,才能作为临床痊愈。

如因缺乏对比资料而不能确定活动性时,可记“活动性未定”,一般应按活动性肺结核处理。

现按1978年制订的我国肺结核病分类方法,介绍各型肺结核的X线表现。

1.原发型肺结核(Ⅰ型) 原发型肺结核(primary trberculosis)为初次感染所发生的结核,多见于儿童,也见于青年。初期症状不明显,可有低热、轻咳、食欲减退盗汗无力及精神不振。有时婴幼儿发病较急,体温可达39~40℃,以后转为低热。一般无阳性体征,当病变范围较大或有增大的淋巴结压迫支气管致肺不张时,可有叩浊、呼吸音减弱等体征

原发型肺结核X线表现可为原发综合征及胸内淋巴结结核。

(1)原发综合征:结核杆菌侵入肺部后,多在肺的中部近胸膜处发生急性渗出性病变,为原发灶。其周围可以发生不同程度的病灶周围炎。结核杆菌沿原发病灶周围的淋巴管侵入相应的肺门纵隔淋巴结,引起淋巴管炎淋巴结炎。原发病灶,淋巴管炎及淋巴结炎三者组成原发型肺结核的典型变化,为原发综合征

原发病灶及病灶周围炎X线表现为边界模糊的云絮状影,可大可小,大者可占据数个肺段甚至一个肺叶,婴幼儿以大叶型及肺段型多见。自原发病灶引向肺门的淋巴管炎可表现为数条索条状致密影,当病灶周围炎范围较大时则淋巴管炎及淋巴结炎可被掩盖而不能显示。肺门与纵隔增大的淋巴结表现为肿块影(图3-1-20)。原发病灶周围炎范围较小时,可以出现原发病灶-淋巴管炎-淋巴结炎三者组成的哑铃状双极现象。但此种典型征象并不多见。原发病灶周围炎范围较大时可误为大叶性肺炎,结合临床症状及肺门淋巴结增大可以鉴别。

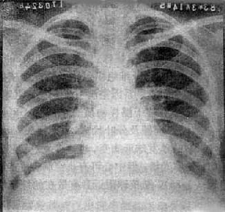
原发综合征


图3-1-20 原发综合征

右侧下肺野靠近心右缘可见边缘模糊的云絮状影,

范围较大,肺门淋巴结增大,边界不清

(2)胸内淋巴结结核:原发病灶易于吸收消散,症灶较小时也常被掩盖。但淋巴结炎常伴不同程度的干酪样坏死,愈合较慢,当原发病灶已被吸收或被掩盖而不能发现时,则原发型肺结核即表现为肺门或纵隔淋巴结增大,为胸内淋巴结结核。

肺门及纵隔增大的淋巴结可分为结节型(肿瘤型)与炎症型。结节型者X线表现为圆形或椭圆形结节状影,常为数个淋巴结增大,其内缘与纵隔相连,外缘呈半圆形或分叶状突出,边界清楚(图3-1-21)。多出现于右侧气管旁及气管支气管淋巴群。气管隆突下淋巴结增大时,后前位片常不能显示,侧位片可显示增大的淋巴结位于气管隆突下方。

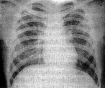
胸内淋巴结结核


图3-1-21 胸内淋巴结结核

右侧肺门淋巴结增大,边缘清楚,内侧与纵隔影相续,肺门角不能看到

炎症型者主要为增大的淋巴结同时伴有淋巴周围炎,X线表现为肺门影增大,边缘模糊,无清楚边界。

婴幼儿支气管壁较软,可被增大的淋巴结压迫而引起肺不张,多见于右上、中叶

原发型肺结核预后多较好,原发灶可以完全吸收或经纤维化、钙化而愈合。淋巴结内的干酪样病灶难以完全吸收,须逐渐通过纤维化、钙化而愈合。有时只部分愈合,成为体内潜伏的病灶。少数患者抵抗力低下,原发病灶可干酪样化、液化而形成空洞。原发灶及淋巴结内的干酪样坏死物可通过支气管播散到其他部位,形成干酪性肺炎,也可通过淋巴、血流而引起血行播散。

2.血行播散型肺结核(Ⅱ型) 根据结核杆菌进入血循环的途径、数量、次数以及机体的反应,可分为急性粟粒型肺结核(acute miliary tuberculosis)及慢性血行播散型肺结核(chronicdisseminated pulmonary trberculosis)。

(1)急性粟粒型肺结核:系大量结核杆菌一次或短期内数次进入血流,播散至肺部所致。发病急,可有高热寒战呼吸困难咳嗽头痛昏睡以及脑膜剌激等症状。体检可无阳性体征,红细胞沉降率多增快,但结核菌素试验可为阴性。

粟粒型肺结核病灶小,透视常难以辩认,故拟诊急性粟型肺结核时应摄片检查。病变早期整个肺野可呈毛玻璃样密度增高。约10日后可出现均匀分布的1.5~2mm大小、密度相同的粟粒状病灶,正常肺纹理常不能显示(图3-1-22)。经过适当治疗后。病灶可在数月内逐渐吸收,偶尔以纤维硬结或钙化而愈合。病变恶化时,可以发生病灶融合,表现为病灶增大,边缘模糊,甚至形成小片状或大片状影,并可干酪样化而形成空洞。

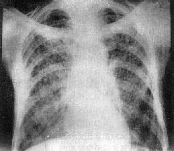
急性粟粒型肺结核


图3-1-22 急性粟粒型肺结核

两肺野布满粟粒状病灶,分布均匀,肺门大

(2)亚急性或慢性血行播散型肺结核:系少量结核杆菌在较长时间内多次进入血流播散至肺部所致。患者抵抗力较强,症灶多以增殖为主,临床症状可不明显或有反复的发热畏寒或轻度结核中毒症状如低热、盗汗、无力、消瘦等。

由于病灶系多次血行播散所形成,故X线表现为大小不一、密度不同、分布不均的多种性质的症灶(图3-1-23)。小者如粟粒,大者可为较大的结节状,主要分布于两肺上、中野,下野较少。早期播散的症灶可能已经钙化,而近期播散的病灶仍为增殖性或渗出性。本型结核发展较慢,经治疗新鲜病灶可以吸收,陈旧病灶多以纤维钙化而愈合。恶化时病灶可融合并形成空洞或逐渐转为慢性纤维空洞型肺结核

慢性血行播散型肺结核


图3-1-23 慢性血行播散型肺结核

两肺野布满大小不一、密度不同、分布不均的病灶,

下野较少,膈位置低而平

3.浸润型肺结核(Ⅲ型) 浸润型肺结核(inailtrative pulmonary tuberculosis)系继发性肺结核,为成年结核中最常见的类型,小儿极少。多为已静止的原发病灶的重新活动,偶为外源性再感染。因为机体已产生特异性免疫力,病变趋向局限于肺的一部,多在肺尖锁骨下区及下叶背段。由于病变性质不同,多少不一,临床症状可相差悬殊,轻者无任何症状,可在查体时偶然发现。一般多有低热、乏力、咳嗽、盗汗等症状。严重者可有咯血胸痛、消瘦。痰结杆菌阳性率高,红细胞沉降率增快。

X线表现可多种多样,一般为陈旧性病灶周围炎,多在锁骨上、下区,表现为中心密度较高而边缘模糊的致密影(图3-1-10)。也可为锁骨下区出现新的渗出性病灶,表现为小片云絮状影,范围较大时可呈肺段或肺叶性浸润,症变的发展过程较为复杂,早期渗出性病变可以完全吸收,但一般多呈时好时坏的慢性过程,故可有渗出、增殖、播散、纤维和空洞等多种性质的病灶同时存在(图3-1-24)。

浸润型肺结核还包括结核球及干酪性肺炎两种物殊类型的病变。

左肺浸润型肺结核空洞形成


图3-1-24 左肺浸润型肺结核空洞形成

左肺上野第2前肋间边缘模糊的致密影,其中可见空洞

(1)结核球:结核球(tuberculoma)为纤维组织包绕干酪样结核病变而成。系因空洞引流支气管阻塞,空洞被干酪样物质充填所致。可呈圆、椭圆及分叶状。多为直径2~3cm的单发球形病变,也可多发。多见于锁骨下区,但可发生于任何部位。一般密度均匀,轮廓光滑,但中心可有小空洞存在。结核球内可以出现层状、环状或斑点状钙化影(图3-1-25)。结核球附近常有散在纤维增殖性病灶,常称为卫星灶。

右肺结核球


图3-1-25 右肺结核球

右肺内带可见椭圆形致密影,轮廓光滑,内有斑状钙化

(2)干酪性肺炎:干酪性肺炎(caseous pneumonia)见于机体抵抗力极差,对结核杆菌高度过敏的患者。分大叶性及小叶性两种。大叶性干酪性肺炎为大片渗出性结核性炎变发生干酪样坏死而形成,范围较大,小叶性干酪性肺炎系由干酪空洞或干酪样化的淋巴结破溃经支气管播散而形成。临床症状急剧严重,有明显中毒症状如高热、恶寒、咳嗽、咳痰、胸痛、呼吸困难和痰中带血等。

大叶性干酪性肺炎X线表现为一个肺段或肺叶的大部呈致密性实变,轮廓与大叶性肺炎相似,但密度较大叶性肺炎为高(图3-1-26)。在高电压摄影或体层摄影时,可见大片实变中有多处密度低的虫蚀样空洞影。小叶性干酪性肺炎常表现为两肺内分散的小叶性致密影,有时与大叶性干酪性肺炎同时存在。

4.慢性纤维空洞型肺结核(Ⅳ型) 慢性纤维空洞型肺结核为肺结核的晚期类型。多由其他类型肺结核的恶化、好转与稳定交替发展而来。由纤维厚壁空洞、广泛的纤维性变及支气管播散病灶组成病变的主体。此外,广泛的纤维组织增生可引起代偿性肺气肿支气管扩张慢性肺原性心脏病等。患者有反复的低热、咳嗽、咳痰、咯血、胸痛、盗汗、气短食欲不振等症状。有些患者代偿功能好,可无明显症状,但痰内结核杆菌阳性,成为肺结核的重要传染源。本型结核预后不良,多数患者最后死心于心肺功能衰竭。极少数患者病情可好转,空洞消失或净化,纤维组织广泛增生成为以纤维化为主的稳定状态。

5.胸膜炎型(Ⅴ型) 结核性胸膜炎多见于儿童与青少年。胸膜炎可与肺部结核同时出现,也可单独发生而肺内未见病灶。前者多系邻近胸膜的肺内结核病灶直接蔓延所致;后者多系淋巴结中的结核杆菌经淋巴管逆流至胸膜所致。临床上分为干性及渗出性结核性胸膜炎。

(1)结核性干性胸膜炎:系指不产生明显渗液或仅有少量纤维素渗出的胸膜炎。临床以发热,胸部剧烈针剌样疼痛,呼吸及咳嗽时加剧为特点。听诊可有胸膜摩擦音。部分患者可自行愈合或遗留轻微胸膜粘连。多数患者继续发展而出现胸腔积液。X线检查可无异常发现或仅出现患侧膈运动受限。

(2)结核性渗出性胸膜炎:多发于初次感染的后期。此时机体对结核杆菌过敏性高,易产生渗液。其他类型结核也可发生。多为单侧,液体一般为浆液性,偶为血性。临床可有发热、恶寒、胸痛等症状。液量较多时可出现气急,甚至紫绀。经治疗后液体可完全吸收。病程较长,有大量纤维素沉着,则引起胸膜肥厚、粘连甚至钙化。

渗出性胸膜炎的X线表现已在基本病变的X线表现中叙述。单纯X线检查不能确定胸腔积液的性质及原因,需结合临床资料确诊。

参看[编辑 | 编辑源代码]