遗传性球形细胞增多症

来自医学百科

遗传性球形细胞增多症(hereditary spherocytosis)是一种红细胞膜异常的遗传性溶血性贫血(HA)。这种病的遗传方式是男女都可发病,每代都会有发病者,也就是所谓“常染色体显性遗传”。本病的起病年龄和病情轻重差异很大,多在幼儿和儿童期发病。如果在新生儿或1岁以内的婴儿期发病,一般病情较重。脾切除对本病有显著疗效。

遗传性球形细胞增多症

病因及发病机制[编辑 | 编辑源代码]

常染色体显性遗传,有8号染色体短臂缺失。患者红细胞膜骨架蛋白有异常,引起红细胞膜通透性增加,钠盐被动性流入细胞内,凹盘形细胞增厚,表面积减少接近球形,变形能力减退。其膜上Ca2+-Mg2+-ATP酶受到抑制,钙沉积在膜上,使膜的柔韧性降低。这类球形细胞通过脾脏时极易发生溶血。

临床表现[编辑 | 编辑源代码]

2/3为成年发病,贫血黄疸脾大为主要I临床表现,轻重程度不一。青少年者生长迟缓并伴有巨脾。感染可加重临床症状。常有胆囊结石(50%),其次是踝以上腿部慢性溃疡,常迁延不愈。此外尚有先天性畸形,如塔形头、鞍状鼻及多指(趾)等。

患者可并发再障危象(aplastic crisis),常为短小病毒(parvovirus)感染或叶酸缺乏所引起。患者表现为发热腹痛呕吐网织红细胞减少,严重时全血细胞减少,一般持续10~14天。贫血加重时并不伴黄疸加深。

诊断[编辑 | 编辑源代码]

  1. 溶血性贫血的临床表现和血管外溶血为主的实验室依据,详见溶血性贫血词条;
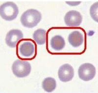
  2. 外周血涂片中胞体小、染色深、中央淡染区消失的球形细胞增多(10%以上);
  3. Coombs实验阴性,渗透性脆性试验提示渗透性脆性增加。红细胞的渗透性脆性与红细胞的面积/体积的比值有关,球形红细胞面积/体积的比值缩小,脆性增加,细胞在0.51%~0.72%的盐水中就开始溶血,在0.45%~0.36%时已完全溶血。红细胞于37℃温育24小时后再做渗透性脆性试验,有助于轻型病例的发现。

据以上三点即可诊断。如伴有常染色体显性遗传的家族史,红细胞膜蛋白电泳或基因检查发现膜蛋白的缺陷,更有利于诊断。应与化学中毒、烧伤、自身免疫性HA等引起的继发性球形细胞增多相鉴别。

遗传性球形细胞增多症血象

鉴别诊断[编辑 | 编辑源代码]

作出遗传性球形细胞增多症的诊断时,须与以下几种疾病相鉴别。

(1)黄疸型肝炎:均有黄疸,但两者是性质绝然不同的两种疾病。HS虽然可有黄疸和贫血,但有时因骨髓造血功能得到代偿,贫血可以极轻微或没有,因此临床上很容易误诊为黄疸型肝炎。注意HS病人血清中直接胆红素不增加,尿内亦无胆红素出现。有关的血液学发现也不会出现于黄疸型肝炎。

(2)自体免疫溶血性贫血:也可有球形细胞出现,渗透脆性试验的结果也不正常,很容易与H S相混淆。有三种鉴别方法:①抗人球蛋白试验(Coombs试验):本病为阴性,而自体免疫溶血性贫血为阳性;②自溶血试验:本病红细胞的溶血可被葡萄糖纠正,而自体免疫溶血性贫血的溶血不能被葡萄糖纠正;③用皮质类固醇治疗:本病无效,而对自体免疫溶血性贫血则速效。

(3)遗传性非球形细胞溶血性贫血(HNHA):这种贫血是因红细胞内酶缺乏而发生的慢性溶血性贫血,血液中并无球形细胞出现,脆性试验结果亦正常,但作自溶血试验时,自溶血亦增多。丙酮酸激酶缺乏(HNHAⅡ型)的溶血不能被葡萄糖纠正,但可被三磷酸腺苷(ATP)纠正;葡糖六磷酸脱氢酶缺乏(HHNAⅠ型,G6PD缺乏)溶血较轻,亦可被葡萄糖纠正,但作酶缺乏的过筛试验,如高铁血红蛋白还原试验、氰化钾、抗坏血酸试验、荧光斑点试验等检查,可呈阳性,而HS则为阴性。

(4)新生儿溶血性贫血和黄疸:因为只有极少数HS病人是在新生儿时期就出现症状的,所以很容易被忽视,须与G6PD缺乏引起的新生儿黄疸和Rh因子引起的同种免疫溶血病等作出鉴别。

治疗[编辑 | 编辑源代码]

脾切除是使贫血发生完全和持久缓解的最有效疗法。脾切除后,虽然红细胞膜的缺陷和球形细胞增多均依然存在,渗透脆性也仍不正常,但过度溶血停止,红细胞的生存时间接近正常,因之贫血消失。凡诊断明确的病例,除有手术禁忌症之外,都宜作脾切除手术。手术后贫血复发者极罕见。手术时间最好在7岁以后,但如果贫血特别严重,需要经常输血,并影响儿童发育者,可以考虑提前作手术。

脾切除手术之前,应先作胆囊造影,了解胆囊中有无胆结石。脾切除手术时,再仔细探查胆囊。如发现结石,可同时作适当的外科处理。如果没发现胆结石,则不必作胆囊切除。

未作脾切除的病人发生溶血危象时,主要采取输血和治疗诱发溶血的感染。骨髓再生障碍危象的发生与感染也有关,其治疗也是输血和控制感染。病情好转后,也应作脾切除手术。骨髓中如出现巨幼细胞,可每日口服叶酸5~10毫克。

参看[编辑 | 编辑源代码]

参看[编辑 | 编辑源代码]

  • 第8版内科学.人民卫生出版社
  • 希氏内科学