运动员心脏

来自医学百科

运动员心脏(athlete‘s heart),由运动引起的生理性心脏增大。S.E.亨申于1899年首次发现越野滑雪运动员的心脏普遍增大,不仅左心大,右心也大。早期有人认为运动员心脏的增大不是纯生理现象,而是由急性心脏过度负荷和心肌衰竭引起的病理现象,因此曾称之为“运动员心脏综合征”。经过多年的研究,目前认为运动员心脏轻度增大,心功能良好,系运动引起的生理性改变。随着临床医学和基础医学的进展,关于运动员心脏有很多新的资料,并逐渐形成一个新的领域,称为运动心脏学。运动训练使心脏功能加强,除引起心脏增大外,还可表现安静时心率缓慢,出现异常心电图等,在临床上可能与某些心脏病相混淆。
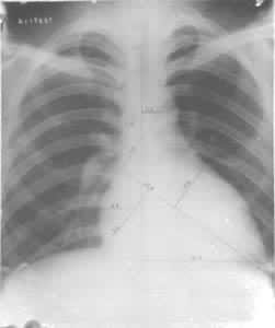
  运动员尸检材料发现运动训练可引起明显的心肌肥厚放射线检查可见运动员心脏面积和容积增大。心面积增大者以耐力训练项目运动员为最多(图1)。心面积增大的程度,多数不超过其预测面积的30%。运动员心脏容积一般也较大,中国正常成人心脏容积最大为870.68ml,中国运动员心脏容积最大者为1209.45ml,其心脏面积也最大(为+55.32%)。外国文献报道,职业自行车运动员和水球运动员心脏容积最大可达1700ml。训练内容不同对心脏的影响也有差别,耐力训练运动员的心脏以心腔扩张为主,力量练习运动员的心肌肥厚可稍占优势。

运动员心脏放射线检查



  运动员安静时心率缓慢,这特别多见于耐力训练项目(如公路自行车、马拉松、中长跑及足球等)运动员中。中国运动员安静时出现窦性心动过缓者占 54.94%,最慢的是33次/分。国外文献报告动态心电图检查于夜间睡眠时发现运动员心率最慢达21次/分。这些运动员均健康状况良好,可进行正常训练和比赛。
  运动员安静时心血输出量减少,每搏量不变或增多,运动后心率加快,最大心率与一般正常人相似,但心输出量明显增多,每搏量也显著加大。
  运动员最大摄氧量明显增大,为5000~ 6000ml/分,合 70ml/kg以上, 而一般人为 2000~3000ml/分, 合40ml/kg以下。
  在运动员中常可见到过早搏动,室性最多,房性次之,交界性者最少,与一般临床统计结果相似。此种心律失常多因疲劳引起,有些是对训练不适应,常在突然中止训练后或停止训练一时期后重新开始训练时出现,有些原因不明。情绪因素、感染、器质性心脏病者也可发生。若运动员健康状况良好,无其他器质性心脏病证据,仍可进行系统运动训练。早搏只在安静时出现,运动后消失者,多数可参加体力活动,运动后早搏不消失甚至增多者则应减少运动量,并密切随访观察。
  房室传导阻滞也较常见,以中长跑、马拉松、篮球及游泳等项目的运动员多见。心电图多数为二度Ⅰ型,多因运动训练使迷走神经张力占优势引起,运动后阻滞消失,运动员无不良主诉体格检查无其他异常发现。过度疲劳、感染等情况下也可发生,此时应作全面检查。停止训练后阻滞多消失,长期随访观察证明绝大多数为功能性改变,运动员身体健康状况良好。
  不完全性右束支传导阻滞在运动员中很多见,可能由右心室舒张期负荷过重或右心室肥厚引起,此种阻滞在停止训练后可减轻甚至消失。
  偶见阵发性心动过速心房颤动心房扑动预激综合征,此时应进行详细检查,找出原因;少数因过度疲劳引起,需调整运动量和进行积极治疗。
  运动员中可见非特异性T波改变,偶尔可见到巨T倒置心电图。动态观察此种心电图变化较小,定量运动后T波改善,极量运动后即刻T波可正常化。临床检查无其他器质性心脏病证据,一般健康状况良好,运动能力正常,有的可进行大运动量训练,甚至参加激烈的比赛(图2)。

运动员心脏心电图



  根据文献报道,有些巨 T倒置者最长随访22年,未见心脏其他异常,故认为此种巨T倒置不是病理现象,有人认为巨 T倒置与心肌肥厚,特别是心尖部心肌肥厚有关。
  运动员中还常见心脏收缩期杂音,多为功能性的,此类杂音强度多在Ⅲ级以下,呈吹风样或震动性质,杂音不固定,多发生在肺动脉区,胸骨左缘三四肋间及心尖部,在青少年运动员中尤为多见。收缩期功能性杂音可因血液迅速喷射引起。有时需与房、室间隔缺损二尖瓣关闭不全鉴别。运动员心音图收缩期杂音的出现率更高,为一般正常人心音图的2倍。功能性收缩期杂音心音图有以下现象:第一心音后到收缩期杂音开始前有一间隙;杂音持续,但不占全收缩期;杂音在中频心音图上最明显;杂音呈菱形、递减形或不定形。运动员中第三心音也较多见,为生理性第三心音,有时需与病理性第三心音及二尖瓣开放拍击音鉴别。