角膜新生血管
疾病名称[编辑 | 编辑源代码]
疾病概述[编辑 | 编辑源代码]
角膜本身无血管,毛细血管网围绕角膜缘,如果血管超越角膜缘进入透明区即为病理性。
病因:
2、变性与营养不良缺乏维生素B2、维生素A、色氨酸、赖氨酸、蛋氨酸等都能引起角膜血管新生。
治疗:
1、对角膜新生血管治疗难度较大,但中西结合治疗是有效的。
因为:①角膜新生血管以炎症为多,炎症是可以用抗生素控制的,病因得到控制其角膜新生血管就阻止了发展速度。角膜新生血管由机化物所致者,其机化物可以通过中药软化吸收。②对营养不良者,可以补充多种维生素和蛋白质,这方面中西药皆有。
2、角膜新生血管之病因消除后,维生素B210mg,连服半个月以上。
疾病分类[编辑 | 编辑源代码]
疾病描述[编辑 | 编辑源代码]
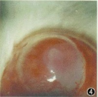
角膜新生血管不是一种独立的角膜病,而是一种病理改变。由于维持角无血管的平衡因素被破坏,角膜缘的毛细血管侵入角膜周边部1-2mm,即可视为角膜新生血管(CRNV)形成。随着它对感染的消除、创伤愈合、抑制免疫介导的角膜溶解有一定作用,但其结构和功能不完善,容易发生血浆渗漏,造成角膜水肿、脂质沉着以及激发的角膜瘢痕化,严重影响视力;也使角膜移植排斥反应的发生率大大增加。
疾病病因[编辑 | 编辑源代码]
1949年Campbell首先开展研究,但迄今确切机制不清。一般认为与角膜缘解剖及功能异常、促血管生成因子增加、抑制血管生成因子减少、免疫炎症反应、角膜水肿及缺氧等因素有关。新生血管刺激因子的过度表达与抑制因子的不足是其发生的基础。血管内皮生长因子、碱成纤维细胞生长因子、血小性生长因子、转化生长因子-β、肿瘤坏死因子-α等均与新生血管明显有关。许多眼部免疫炎症性、感染性、变性性、外伤性、医源性疾病均可诱发角膜新生血管。
诊断检查[编辑 | 编辑源代码]
按侵犯的部位可分为上皮下、基质和基质深层新生血管。一般累及角膜基质的病变引起的新生血管呈放射状或束状,起自角膜缘的血管网,与结膜血管无联系且血管较粗大。角膜周边部伴有纤维结缔组织增生的新生血管,表现为网状或垂帘状,多和结膜的血管有联系。
治疗方案[编辑 | 编辑源代码]
原则是积极处理原发病,消除刺激因素,抑制新生血管的生长,减少并发症的发生。
1、药物
①糖皮质激素眼液:是主要的治疗药物,通过抑制验证细胞的聚集、阻止炎前因子的合成、抑制血管内皮细胞的增生移行发挥作用,但长期使用并发症较多。
②非甾体消炎药:通过减少角膜病灶区前列腺素的合成,减轻新生血管化。
③环胞霉素A和K506:是有效的免疫调节剂,能移植T淋巴细胞,显著抑制异体抑制和化学烧伤后的血管生长,延长植片的存活时间。
④新药物:如白细胞介素-1受体拮抗剂(IL-1ra)、沙利度胺(反应停)、奥曲肽、催乳素片段、K5蛋白等,有良好治疗作用,但需进一步验证。
2、手术
药物仅对处于活跃生长期的新生血管有效,当角膜病变静止时,可考虑外科治疗。包括:
①氩激光:对植床的新生血管照射,能直接凝固封闭单枝或吻合杀的新生血管,但对广泛的网状新生血管疗效欠佳。
②光动力疗法:使用光敏剂后,用激光对新生血管进行靶向治疗,损伤血管内皮细胞,使其栓塞,但其安全性有待评价。
③电凝:有报道采用3-8弧长的不锈钢纤维缝合针制成简易的电凝针,对新生血管进行透热,可使50%-80%的新生血管阻塞。
④放射治疗:使用90腮,也有一定疗效。
⑤眼表重建手术:角膜缘组织是新生血管进入角膜的天然屏障。根据新生血管的部位和程度,角膜缘干细胞缺失及角膜损伤程度,可选择不同的眼表重建术式,如角膜移植、角膜缘联合板层角膜或全角膜移植、羊膜移植联合培养干细胞移植等。
保健贴士[编辑 | 编辑源代码]
1、平时尽量少的佩带隐形眼镜,同时可以滴相关的眼药水,注意用眼卫生。
2、生活规律,科学的作息时间,健康的生活规律,充足的睡眠,提高睡眠质量对于保护视力都是有益的。
3、均衡营养,生活中养成良好的饮食习惯,不挑食、厌食,多吃富含钙、维生素的食物,少吃甜食。这一点对广大青少年尤为重要。
4、科学照明,对于经常工作在夜间或昏暗的环境下的人来说,一定要选择光线明亮、柔和、不跳跃、不刺眼的照明工具为宜,尽量不在光线昏暗或强光下工作学习。
5、用眼适量,根据个人的眼调节能力不同,近距离用眼一段时间后,要远眺放松或做眼保健操以便解除眼疲劳。要养成正确的用眼习惯。对于那些常在户外工作、旅游、特殊职业者(电脑操作、电焊工等)佩戴一副合格的防紫外线偏光太阳镜,可保护眼睛免受紫外线侵害。
| ||||||||||||||||||||||||||||||||||||||||||||||||||||||||||
| |||||||||||||||||