血友病性关节炎

来自医学百科
Bka3b.jpg


血友病[编辑 | 编辑源代码]

为一组遗传性凝血因子缺乏而引起的出血疾病。  

分类[编辑 | 编辑源代码]

按缺乏因子的不同,分为A型(第VIII因子缺乏),B型(第IX因子缺乏)和C型〔第XI因子缺乏)。

A和B型为X性染色体隐性遗传,仅男性发病,女性为携带者,有明显的骨与关节出血倾向

C型为常染色体显性遗传,男女均可发病,此型病例少见,出血较轻,罕有骨与关节受累。

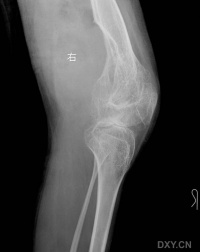
血友病的出血常累及活动较多和承受重力的膝、躁、肘和髓关节,其中以膝关节最为常见。  

病理[编辑 | 编辑源代码]

血友病性关节病的病理改变主要由骨关节反复出血所致。

关节内出血早期引起关节软组织和关节间隙增宽。反复出血者可有含铁血黄素沉积。

中期由于酶的作用使滑膜纤维化透明软骨分解,引起慢性滑膜炎软骨退变和关节表面侵蚀。滑膜增殖引起软骨边缘和软骨下骨侵蚀。软骨的退变与破坏导致关节间隙变窄。关节运动受限可引起废用性骨质疏松

晚期出现软骨下硬化和囊变及关节周围软组织萎缩

生长发育,本病使骨髓充血、骨髓内出血以及关节内反复出血,致骨髓变形,骨筋或干髓端增大变方、股骨裸间窝增宽加深。

(2)骨内出血(软骨下出血)引起骨质溶解或囊变以及关节旁的囊性病灶。

(3)骨膜下出血较少发生,可引起骨膜反应皮质增厚,血肿较大时,骨皮质可出现压力性侵蚀。

(4)血友病性假肿瘤为血友病罕见的严重并发症,发生率约1-2%,其形成原因与出血有密切关系。可见溶骨性破坏,病灶也可呈膨胀性改变,常合并软组织肿块和骨膜反应,增生的骨膜可再遭破坏。易发生病理性骨折,且不易愈合。

根据病理过程本病分为三期 .

(1)早期(单纯关节积血)关节内充盈血液,引起滑膜增厚和关节囊肿胀;

(2)中期(全关节炎期)关节内反复出血,引起滑膜增厚,进而软骨侵蚀、吸收以及血液干扰软骨营养,均可引起关节间隙狭窄。骨及骨膜下出血可引起软骨下囊肿及血友病假肿瘤;(3)晚期(修复期)关节内积血吸收,炎症逐渐消退,轻者关节功能慢慢恢复,重者出现继发性骨性关节病或遗留关节屈曲挛缩畸形

本病一般不主张手术治疗,Mathew等用同位素放射治疗取得了良好的效果。