脑囊虫病
脑囊虫病(cerebralcysticercosis)是由寄生虫(猪涤虫为主)所传染的一种顽固性颅脑内疾病。该病约占囊虫病的80%以上。是由于口服了猪肉绦虫虫卵,发育成囊尾蚴,经消化道穿出肠壁进入肠系膜小静脉,再经体循环而到达脑膜、脑实质以及脑室内。可分为脑实质型、脑室型、脑膜型及混合型。
概述[编辑 | 编辑源代码]
脑囊虫是由寄生虫(猪涤虫为主)所传染的一种顽固性颅脑内疾病。患此病后痛苦大,后遗症多,脑组织及大脑中枢损伤严重,头疼浑身无力,肢体运动障碍,最严重的是继发癫痫,眼睛视物不清,甚至失明等。
脑囊虫病系猪囊尾蚴寄生于脑内引起的一种疾病。在我国以东北、华北地区多见,西北地区及云南省次之,长江以南少见。经由多种途径进入胃的绦虫卵,在十二指肠中孵化成囊尾蚴,钻入肠壁经肠膜静脉进入体循环和脉络膜而进入脑实质、蛛网膜下腔和脑室系统,引起各种损害。
脑囊虫病是猪绦虫的幼虫(囊尾蚴)寄生脑部所致,它约占人体囊虫病的80%以上,主要流行于华北、东北、西北和华东北部各地区。其感染方式有:①内在自身感染:患有绦虫的病人,由于呕吐或肠道逆蠕动,使绦虫妊娠节片回流至胃内,虫卵在十二指肠内孵化逸出六钩蚴,钻过肠壁进入肠系膜小静脉与淋巴循环而输送至全身和脑,发育成囊虫蚴。②外在自身感染:绦虫病人的手部沾染虫卵,污染食物,经口而感染。③外来感染:病人自身并无绦虫寄生,因摄入附有虫卵的蔬菜或瓜果后而感染。
病因[编辑 | 编辑源代码]
囊尾蚴引起脑病变的发病机理主要有:
①囊尾蚴对周围脑组织的压迫和破坏;
囊尾蚴侵入脑后各期的主要病理变化如下。早期可见活的囊尾蚴,囊的大小不等,最小的约2mm,一般约5~8mm,头节如小米大小,灰白色,囊内有透明液体。囊的周围脑组织有炎性反应,为中性多核粒细胞和嗜酸性粒细胞浸润及胶原纤维,距囊稍远处可有血管增生、水肿和血管周围单个核细胞浸润。后期囊壁增厚,虫体死亡液化,囊液混浊,囊周呈慢性炎性改变,囊液吸收后,囊变小或为脑胶质组织所取代而形成纤维结节或钙化。脑室内的囊尾蚴可引起局部脉络膜炎,颅底的囊虫可引起蛛网膜炎。
传染病学特征[编辑 | 编辑源代码]
人是猪绦虫的惟一终末宿主,而猪为该虫的主要中间宿主。成虫的生长是因人进食未煮熟的带囊虫猪肉,囊虫经胃消化,幼虫脱囊而出,在肠道内长为成虫。脑囊虫病是因进食被含虫卵粪便污染的水、食物,或肠道内成虫自行排卵,由于呕吐或肠道逆蠕动返回到胃内,经胃消化后,变为尾蚴,尾蚴进入血液循环到达脑实质、脑室或脑底池内,由尾蚴而变为囊虫,其中进入脑室内者由于缺乏周围组织的限制,囊虫体积较皮下或肌肉者大数倍,可阻塞脑室孔或导水管。
临床表现[编辑 | 编辑源代码]
脑囊虫病多见于青壮年。据其临床表现可分为以下四型:
一、癫痫型:最多见。发作类型常见的有全身性强直阵挛发作(大发作)及其连续状态,部分性运动发作和复合性部分性发作(精神运动性发作)等。发作多于皮现皮下囊虫结节半年之后,亦可于多年后始有发作。
二、颅内压增高型:主要表现有头痛、呕吐、视力减退、视乳头水肿,可伴有癫痫发作、意识障碍甚至昏迷。如出现偏瘫、偏盲、失语等局限性神经体征可称为类脑瘤型。少数患者在当头位改变时突然出现剧烈眩晕、呕吐、呼吸循环功能障碍和意识障碍,称Brun综合征,系囊虫寄生于脑室内的征象,是为脑室型。
三、脑膜脑炎型:系囊虫刺激脑膜和脑弥散性水肿所致。主要表现为头痛、呕吐、脑膜刺激征及发热,还常同时有精神障碍、瘫痪、失语、癫痫发作、共济失调和颅神经麻痹。脑脊液白细胞数明显增加,且嗜酸性粒细胞占优势。
四、单纯型:无神经系统症状,且无明显的皮肌囊虫结节,由于诊断方法的进步,(如CT等)而被发现。如患者不能提供明确的绦虫病史,较易误诊。
此外,还可表现为智能减退、失语、偏瘫、锥体外系症状等不同部位受损的表现。当囊尾蚴的幼虫同时大量进入血流时可出现发热、荨麻疹及全身不适。
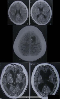
影像表现[编辑 | 编辑源代码]
X线:
平片可见多发小钙化点。
CT:
1.活动期
1)脑实质内脑囊虫大多呈圆形囊性病变,其内头节呈偏心的小点状,附在囊壁上,周围无水肿或轻度水肿,增强扫描囊壁和囊内头节可轻度强化或不强化。
2)脑室内活囊虫以第四脑室多见,呈囊状,表现为脑室扩大积水,其内可见小结节样等或高密度头节,CTM可以显示脑室内充盈缺损。
3)脑沟、脑池、脑裂活囊虫及头节表现与脑实质内活囊虫相似。
2.退变死亡期
1)脑实质内囊虫死亡,头节消失,虫体肿大变形,由于虫体死亡释放大量异体蛋白,在脑实质内引起广泛的低密度脑水肿,有占位效应。增强扫描囊壁明显强化,可呈环状强化或结节状强化,强化环的厚度较囊虫活动期明显增宽。囊内低密度代表囊虫向纤维化和机化过渡。
2)脑室系统内囊虫死亡后,除头节消失,虫体胀大外。囊体增大可引起占位效应。
3.非活动期囊虫死亡后发生钙化,CT呈点状高密度钙化灶。位于蛛网膜下隙者引起蛛网膜肥厚、粘连,可伴有脑积水。
4.混杂期活动期、退变死亡期、非活动期的囊虫混杂存在。
MRI:
可以显示不同时期的囊虫病灶,脑实质内脑囊虫可表现为结节形、环形或囊形,有时可显示头节,增强扫描可强化,有不同程度的脑水肿。脑室内活囊虫特别是在矢状面和冠状面上,T1加权像上囊虫呈低信号,比脑脊液信号略高,其囊壁呈高信号,头节也呈高信号。MRI对钙化的显示不如CT。
诊断[编辑 | 编辑源代码]
依据[编辑 | 编辑源代码]
(1)有便绦虫史和食米猪肉史。 (2)具有神经系统症状和体征。
(3)活检及病理证实为囊性结节。
(4)囊虫免疫学检查阳性。
(5)脑脊液压力增高,嗜酸性白细胞数增多。
(6)头颅CT及MRI扫描符合囊虫改变。
(7)脑电图有异常。
检查[编辑 | 编辑源代码]
癫痫发作或/和多灶、多样的中枢神经系统症状,伴有便绦虫节片史,或皮下结节并经活检证实为囊虫,以及脑脊液的血清学阳性,均为本病的重要诊断依据,囊虫结节的病理学诊断与头颅CT、磁共振的典型囊虫影像,为确诊依据。有助诊断的实验室检查有:
一、脑脊液:脑脊液细胞学检查可见嗜酸性粒细胞的百分率显著增高,最高时可达80~90%。其它还可见压力增高,蛋白及其它白细胞增加等。
二、免疫学检查:脑脊液的囊虫补体结合试验、间接血凝试验、囊虫抗体的ELISA等检测较有意义。
三、头颅CT:可见脑实质、脑室内低密度囊虫影或高密度的囊虫钙化影。
四、磁共振:T1加权成像时呈边界清楚的低信号区,T2加权成像时则为高信号区。
如经检查,对少数不能确诊的患者应与其它原因所致的癫痫、颅内增高及脑膜炎等疾病鉴别。
治疗[编辑 | 编辑源代码]
药物治疗[编辑 | 编辑源代码]
囊虫病的治疗:常用的药物有:
1.吡喹酮:系一种广谱的抗蠕虫药物,对囊虫亦有良好的治疗作用。常用的剂量为120mg/kg,分天(每天三次)口服。服药物囊虫可出现肿胀、变性及坏死,导致囊虫周围脑组织的炎症反应及过敏反应,有的患者还可出现程度不等的脑水肿,脑脊液压力与细胞数增高,严重者甚至发生颅内压增高危象。
2.丙硫咪唑,亦系广谱抗蠕虫药物。常用剂量为每日-20mg/kg,连服10天。常见的毒副反应有皮肤瘙痒、荨麻疹、头昏、发热、癫痫发作和颅内压增高。
3.甲苯咪唑:常用的剂量为100mg,3次/d,连续三天,常见的毒副反应有腹痛、腹泻、皮肤瘙痒和头痛等。
为了减免抗囊虫治疗过程中在体内大量死亡所引起的过敏反应,一般均从小剂量开始,逐渐加量,如吡喹酮先从100mg,3次/d起用,如无不良反应,每次递增100mg,直至达到治疗剂量时再持续用6天后停用。在出现颅内压增高的症状后应及时用甘露醇等脱水药物治疗,还应酌情并用类固醇激素等。如发生严重颅内增高,除及时停用抗囊虫药物及脱水、抗过敏处理外,还可应用颞肌下减压术,以防止颅内压增高危象。
手术治疗[编辑 | 编辑源代码]
确诊为脑室型者应手术治疗。其次,对颅内压持续增高,神经体征及CT证实病灶甚局限的患者亦可考虑手术治疗。
驱绦虫治疗[编辑 | 编辑源代码]
对肠道仍有绦虫寄生者,为防止自身再次感染,应行驱绦虫治疗。常用的药物为灭绦灵(氯硝柳胺),2克,嚼碎后一次吞服,服药后3-4小时应予泻药一次以排出节片及虫卵。
预防[编辑 | 编辑源代码]
专家提示,脑囊虫病患者的症状主要表现为头痛、恶心、呕吐、癫痫等。囊虫病的防治主要是不吃生菜、生肉,饭前便后要洗手,以防误食虫卵。另外,猪肉最好在零下12至13摄氏度的温度中冷冻12小时后食用,这样可以把囊尾蚴全部杀死。如果一旦发病要入院治疗。
近年来吃生鱼片成为城里人餐饮的时尚,而肝吸虫就寄生在鱼体内,吃了带有肝吸虫的生鱼片,肝吸虫就进入了人体。得了肝吸虫病,最明显的症状是厌食、恶心、肝区腹胀、浑身无力,严重的肝功能有改变。预防肝吸虫病,主要是不吃生的或不熟的鱼虾,注意分开使用切生、熟食物的菜刀、砧板及器皿。
针对如今养宠物家庭越来越多的情况,宠物与人接触,体内的弓形虫会寄生到人体内。患者偶而伴有低烧、头痛等症状,特别是偶发癫痫。一般成人染上弓形虫对身体危害不大,但孕妇感染上会造成胎儿畸形。防止其流行主要是在预防。
