胆管扩张症

来自医学百科


疾病概述[编辑 | 编辑源代码]

胆管扩张症cholangiectasis为较常见的先天性胆道畸形,以往认为是一种局限于胆总管的病变,因此又称为先天性胆总管囊肿。1723年Vater首例报道,1852年Douglas对其症状学和病理牲作了详细介绍。一个世纪以来,随着对该病认识的加深,通过胆道造影发现扩张病变可以发生在肝内、肝外胆道的任何部位,根据其部位、形态、数目等有多种类型,临床表现亦有所不同。  

疾病病因[编辑 | 编辑源代码]

有关病因学说众多,至今尚未定论。多数认为是先天性疾病,亦有认为有获得性因素参与形成。主要学说有三种:

1.先天性异常学说

认为在胚胎发育期,原始胆管细胞增殖为一索状实体以后,再逐渐空化、贯通,如某部分上皮细胞过度增殖,则在空泡化再贯通时过度空泡化而形成扩张。

有些学者认为,胆管扩张症的形成需有先天性和获得性因素的共同参与。胚胎时期胆管上皮细胞过度增殖和过度空泡形成。所造成的胆管壁发育薄弱是先天因素,再加后天的获得性因素,如继发于胰腺炎壶腹炎症的胆总管末端梗阻,及随之而来发生的胆管内压力增高,最终将导致胆管扩张的产生。

2.胰胆管合流导常学说

认为由于胚胎期,胆总管与主胰管未能正常分离,两者的交接处距乏特(Vater)壶腹部较远形成胰胆管共同通道过长,并且主胰管与胆总管的江合角度近乎直角相交,因此胰管胆管吻合的部位不在十二指肠乳头,而在十指肠壁外局部。无括约肌存在,从而失去括约肌功能,致使胰液胆汁相互返流。当胰液分泌过多而压力增高,使胆管发生扩张。近年开展逆行胰胆管造影证实,有胰管胆管合流流高达90~100%,且发现扩张胆管内淀粉酶含量增高这一事实。在动物实验中观察到胰液进入胆道后,淀粉酶胰蛋白酶弹力蛋白酶的活性增强,这可能是胆管损伤的主要原因。

3.病毒感染学说

认为胆道闭锁新生儿肝炎和胆管扩张症是主要病因,是肝胆系炎症感染的结果。在病毒感染之后,肝脏发生巨细胞变性,胆管上皮损坏,导致管腔闭塞(胆道闭锁)或管壁薄弱(胆管扩张),但目前支持此说者已见减少。  

临床表现[编辑 | 编辑源代码]

多数病例的首次症状发生于1~3岁,但最后确诊则往往要迟得多。囊状型在1岁以内发病几占1/4,其临床症状以腹块为主,而梭状型多在1岁以后发病,以腹痛黄疸为主。

腹部肿块、腹痛和黄疸,被认为是胆管扩张症的经典三联症状。腹块位于右上腹,在肋缘下,巨大者可占全右腹,肿块光滑、球形,可有明显的囊肿弹性感,当囊内充满胆汁时,可呈实体感,好似肿瘤。但常有体积大小改变,在感染、疼痛、黄疸发作期,肿块增大,症状缓解后肿块又可略为缩小。

小的胆管囊肿,由于位置很深,不易扪到。腹痛发生于上腹中部或右上腹部,疼痛的性质和程度不一,有时呈持续性胀痛,有时是绞痛,病者常取屈膝俯卧体位,并拒食以减轻症状。

腹痛发作提示胆道出口梗阻,共通管内压上升,胰液胆汁可以相互逆流,引起胆管炎或胰腺炎的症状,因而临床上常伴发热,有时也有恶心呕吐

症状发作时常伴有血、尿淀粉酶值的增高。黄疸多为间歇性,常是幼儿的主要症状,黄疸的深度与胆道梗阻的程度有直接关系。轻者临床上可无黄疸,但随感染、疼痛出现以后,则可暂时出现黄疸,粪色变淡或灰白,尿色较深。以上症状均为间歇性。由于胆管远端出口不通畅,胰胆逆流可致临床症发作。当胆汁能顺利排流时,症状即减轻或消失。间隔发作时间长短不一,有些发作频繁,有些长期无症状。

典型的三联症状,以往曾认为是胆管扩张症的必有症状,实则不然。在早期病例较少同时出现三大症状。由于获早期诊断者日众,发现梭状扩张者增多,有三联症者尚不足10%.多数病例仅有一种或两种症状。据各家报道在60~70%病例腹部可扪及肿块,60~90%病例有黄疸,虽然黄疸很明显是梗阻性的,但事实上许多病人被诊断为肝炎,经反复发作始被确诊。腹痛也缺少典型的表现,因此易误诊为其它腹部情况。肝内、外多发性胆管扩张,一般出现症状较晚,直至肝内囊肿感染时才出现症状。  

疾病检查[编辑 | 编辑源代码]

1.生物化学检查 血尿淀粉酶的测定在腹痛发作时应视为常规检查有助于诊断。

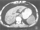
2.B型超声显像检查

3.经皮肝穿刺胆道造影(PTC)检查

4.经内窥镜逆行胰胆管造影(ERCP) 检查

5.胃肠钡餐检查

6.术中胆道造影

以上各种检查方法在临诊时,一般首先进行超声检查和生化测定。如临床上扪及腹块,则诊断即可确立。如临床未能扪及肿块,而超声检查疑似诊断,则需进行ERCP检查。如若受器械与年龄所限,则进行PTC检查必要时再辅以其他检查方法。  

并发症[编辑 | 编辑源代码]

病变部的囊状扩张和远端胆管的相对狭窄,所引起的胆汁引流不畅,甚或阻塞是导致并发症的根源。主要并发症有:

1.复发性上行性胆管炎

2.胆汁性肝硬变

3.胆管穿孔或破裂

4.复发性胰腺炎

5.结石形成和管壁癌变  

疾病治疗[编辑 | 编辑源代码]

症状发作期的治疗,采取禁食2~3天,以减少胆汁和胰液的分泌,缓解胆管内压力。应用解痉剂以缓解疼痛,抗生素3~5天以预防和控制感染,以及相应的对症治疗,常能达到缓解症状的目的。鉴于其频繁的发作和各种并发症,宜及时进行手术治疗。

1.外引流术

应用于个别重症病例,如严重的阻塞性黄疸肝硬变,重症胆道感染,自发性胆管穿孔者,待病情改善后再作二期处理。

2.囊肿与肠道间内引流术

如囊肿十二指肠吻合术,因有较多的并发症,胆管炎的反复发作、吻合口狭窄、结石形成等,以后转而采用囊肿空肠Roux-en-Y式吻合术,并在肠襟上设计各种式样的防逆流操作,但仍存在胰胆合流问题,因而术后还是发生胆管炎或胰腺炎症状,甚至需要再次手术,且术后发生囊壁癌变者屡有报道。所以目前已很少采用。

3.胆管扩张部切除胆道重建术

主张具有根治意义的切除胆管扩张部位以及胆道重建的方法,从而达到去除病灶,使胰胆分流的目的。可采用生理性胆道重建术,将空肠间置于肝管与十二指肠之间,或加用防返流瓣,或采用肝管空肠Roux-en-Y式吻合术、肝管十二指肠吻合术等,均能取得良好效果。主要的是吻合口必须够大,以保证胆汁充分引流。

至于肝内胆管扩张的治疗,继发于肝外胆管扩张者,其形态圆柱状扩张,术后往往可恢复正常。如系囊状扩张则为混合型,肝外胆管引流后,不论吻合口多大,仍有肝内胆管淤胆、感染以致形成结石或癌变,故肝内有限局性囊状扩张者,多数人主张应行肝部分和切除术

胆管扩张症根治术后,既使达到了胰液和胆汁分流的目的,但部分病例仍经常出现腹痛、血中胰淀粉酶增高等胆管炎或胰腺炎的临床表现,此与肝内胆管扩张和胰管形态异常有关。症状经禁食、抗炎、解痉、利胆后可缓解,随着时间推移,发作间隔逐渐延长。