胃肠动力检查/食管动力障碍

来自医学百科

食管动力障碍通常包括原发性继发性及非特异性。

1 原发性食管动力障碍只影响一个器官——食管,如:贲门失弛缓症弥漫性食管痉挛以及胡桃夹食管。

2 继发性食管动力障碍为全身性疾病累及管所至,如硬皮病

3 非特异性食管动力障碍可能与吞咽困难胸痛症状有关,但其动力异常尚未达典型的原发性食管动力障碍的诊断标准。

1、原发性食管动力障碍[编辑 | 编辑源代码]

(a)贲门失弛缓症[编辑 | 编辑源代码]

特发性贲门失弛缓症是一种原发性食管动力障碍,可引起进行性吞咽困难及反流。常有LES高压,更重要的是在吞咽时LES不能完全松弛以使食进入胃中,且因远端食管缺乏蠕动致食物郁积及食管扩张

【病因】

贲门失弛缓症的病因尚未完全确定。一些文献认为是肠肌间神经丛自身免疫反应引起,另一些文献支持其为遗传性疾病,还有人认为与感染和环境因素有关。最一致的发现是LES缺乏抑制性神经递质血管活性肠肽(VIP)和/或一氧化氮),而致松弛不全。

在贲门失弛缓症患者观察到的其他异常包括:

.食管肌间神经丛缺乏神经节细胞

.迷走神经退行性病变

.迷走神经运动性背侧核的神经细胞发生量变和质变。

总结果是吞咽时食管肌肉活动明显减弱(无蠕动)及LES非对抗性收缩(而非松弛)。

Chagas病(恰加斯病)(南美洲锥虫病

该病是继发性贲门失弛缓症的一种,病因为寄生虫感染破坏了肌间神经丛的节细胞,从而导致食管扩张。此外,胃肠道的其他器官亦可受累。

【症状】

.吞咽困难

.反流

.胸骨后疼痛

.气管食物吸入

.体重减轻

【鉴别诊断】

.伴并发症的GERD,如食管狭窄

.食管痉挛

.继发性动力障碍——硬皮病伴消化性狭窄

.癌肿(已报道有一种贲门失弛缓症样综合征与许多肿瘤有关,最常见于贲门癌)。

若患者发病时年龄较大,症状持续时间短,食管扩张程度轻,体重下降快而严重,则由癌肿引起类似贲门失弛缓症状的可能性增加。

诊断措施;

形态学诊断

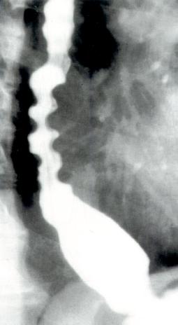
食管X线检查

X线吞钡可用于观察食管并显示食管是否扩张。贲门失弛缓症的特征性X线表现为胸部食管扩张伴液平。LES逐渐变细使食管呈现鸟嘴样外观(图2.7)。

内镜

可排除梗阻、食管炎或狭窄,且可取活检以除外肿瘤等。

功能性诊断

食管测压检查(见8.4)

贲门失弛缓症的特征性测压结果如下(图2.8):

. 食管蠕动消失

. LES压力增高(超过30mmHg)

贲门失弛缓症的食管X线表现


图2.7贲门失弛缓症的食管X线表现。

. LES不能松弛、松弛不完全或虽完全但松弛时程短暂(<6秒)

. 食管内压升高。

(b)弥漫性食管痉挛[编辑 | 编辑源代码]

弥漫性食管痉挛(DES)是一种原发性食管动力障碍,病人表现为非进行性、间歇性吞咽困难,常伴胸痛。测压时可见与正常蠕动相混并同时发生的远端食管收缩。多数DES患者并无症状。

贲门失弛缓症患者测压结果示意图


图2.8贲门失弛缓症患者测压结果示意图。取自Smout,1992。经

Wrightson Biomedical出版公司许可。

【病因】

DES的病因及神经肌肉的病理生理变化仍不清楚。

【症状】

. 胸骨后痛。疼痛亦可放射到颈部上臂、下颌且可能与进食有关

. 间歇性吞咽困难,可由精神紧张,进食冷、热液体或进食过快所诱发

. 吞咽痛。

【鉴别诊断】

. 缺血性心脏病(IHD)

. GERD伴并发症如食管炎、狭窄

. 贲门失弛缓症

. 继发性动力障碍——伴消化性狭窄的硬皮病

. 肿瘤。

诊断措施

形态学诊断

内镜

可观察食管并除外其他疾病。

食管X线吞钡检查

DES患者可见非蠕动性同步收缩形成的节段性钡柱,称为“开塞钻食管”(图2.9)。钡透视亦可用于除外其他疾病的可能性。

功能性诊断

食管测压

DES的诊断需结合相应的症状和异常的测压结果(图2.10)方可作出。支持DES诊断的特异测压表现如下:

. 频发的同步性(非蠕动性)收缩(超过湿咽的20~30%),间以正常蠕动

. DES测压异常通常仅限于食管的远端三分

. 多峰波(每个波多于2峰)

. 收缩间期延长(长于6秒)

. 自发性收缩

. 高波幅收缩(高于180mmHg)。

后五条常见于DES患者,但诊断DES时并非必需(见8.4)。

DES病人X线吞钡检查显示开塞钻食管


图2.9DES病人X线吞钡检查显示开塞钻食管。

(C)胡桃夹食管[编辑 | 编辑源代码]

非心源性胸痛(NCCP)患者测压检查中最常见的异常为胡桃夹食管。胡桃夹是指伴胸痛或吞咽困难的病人,于食管测压中发现的高波幅但为蠕动性的收缩波。

【病因】

病因不明。一些学者认为其确为一种疾病而其他人推测胡桃夹最终将发展为贲门失弛缓症。亦有人认为与对酸反流的反应有关。

DES患者测压结果示意图


图2.10DES患者测压结果示意图。取自Smout,1992。经

Wrightson Biomedical 出版公司许可。

【症状】

. NCCP

. 吞咽困难(不如NCCP常见)。

【鉴别诊断】

. GERD

. IHD

. 贲门失弛缓症

. DES

. 焦虑状态

【诊断措施】

功能性诊断

食管测压检查

以下为胡桃夹食管的测压表现(图2.11)(见8.4):

. 典型的波幅超过180mmHg的高波幅蠕动性收缩。收缩波幅常达300mmHg以上。

. 亦可见收缩持续时间延长及LES压力升高,但诊断时并非必需。

胡桃平食管病的测压结果图


图2.11胡桃平食管病的测压结果图。取自Smout,1992。

x rightson Biomedical出版公司许可。

2、继发性动力障碍[编辑 | 编辑源代码]

全身性疾病是一些可累及身体不同部分及器官的疾病。其中一些(如硬皮病)可在食管有表现,导致不同程度的食管功能障碍,即继发性动力障碍。

(a)硬皮病或进行性系统性硬化症[编辑 | 编辑源代码]

硬皮病是一种结缔组织疾病,引起多种脏器如皮肤、肺、心脏、胃肠道和肾脏纤维化

【病因】

食管功能障碍的确切发病机制不明。多认为是硬化性病变侵犯了食管远端三分的平滑肌横纹肌组成的食管近端常不受累。

平滑肌纤维化致远端食管蠕动波幅降低。并且,由于LES功能不全可出现严重的胃食管反流及其并发症,如:

. 糜烂性食管炎

. 狭窄

. Barrett食管

. 吸入性肺炎

【症状】

. 烧心

. 吞咽困难

. 胸痛。

【鉴别诊断】

. GERD

. 贲门失弛缓症。

诊断措施

形态学诊断

内镜

可检查是否存在食管炎或狭窄。可行活检以排除胃食管反流的并发症,如食管炎、Barrett食管炎。

X线食管吞钡检查

食管体可呈扩张、张力低或直径正常但蠕动减少等不同的表现(图2.12)。

硬皮病患者的吞钡表现


图2.12硬皮病患者的吞钡表现。硬皮病X线所见可与贲

门失弛缓症相似,仅LES开口增大而不同。

功能性诊断

食管测压

以下测压异常表现常提示硬皮病(见8.4)。

测压表现

. LES压力降低(致胃食管反流)

. 远段食管蠕动弱或缺如

. 食管上段蠕动及UES压力均正常(图2.13)。

硬皮病患者的测压示意图


图2.13硬皮病患者的测压示意图:取自Smout,1992。经

Wrightson Biomedical 出版公司许可。

食管放射性核素闪烁显影

食管远段肌张力缺乏致食管排空减少。

3、非特异性食管动力障碍[编辑 | 编辑源代码]

明确地区分非特异性食管动力障碍与典型的原发性食管动力障碍(如贲门失弛缓症、弥漫性食管痉挛和胡桃夹食管)通常不太可能。

许多有吞咽困难或NCCP症状的患者测压检查时表现出不同类型的食管动力异常,但又达不到典型原发性动力障碍的诊断标准,这些患者常诊断为非特异性食管动力障碍。

【病因】

病因不明,某些患者的食管动力改变可能由胃液反流所致,但不能解释所有情况,也可有与反流无关的情况存在。

【症状】

. NCCP

. 吞咽困难。

【鉴别诊断】

. DES

. 贲门失弛缓症

. IHD。

诊断措施

功能性诊断

食管测压

行测压检查可发现能揭示非特异性食管动力障碍的动力异常指标。下列测压结果均可归入非特异性食管动力障碍:

. 多峰性或重复性收缩波数量增多

. 出现长时限收缩

. 不传导的收缩波——在食管不同水平,蠕动波中断

. 低幅收缩(食管上段低于12mmHg,中下段低于25mmHg)

. 单纯的LES功能异常。