肺泡蛋白质沉积症

来自医学百科
Bkm41.jpg

肺泡蛋白质沉积症(pulmonary alveolar proteinosis,简称PAP),又称Rosen-Castle-man-Liebow综合征。以肺泡细支气管腔内充满PAS染色阳性,来自肺的富磷脂蛋白质物质为其特征。好发于青中年,男性发病约3倍于女性。病因未明,可能与免疫功能障碍(如胸腺萎缩免疫缺损、淋巴细胞减少等)有关。粉尘尤以接触矽尘的动物可引起PAP,故认为可能是对某些刺激物的非特异反应,导致肺泡巨噬细胞分解,产生PAS阳性蛋白质。  

病因[编辑 | 编辑源代码]

病因未明,推测与几方面因素有关:如大量粉尘吸入(铝,二氧化硅等),机体免疫功能下降(尤其婴幼儿),遗传因素,酗酒,微生物感染等。而对于感染,有时很难确认是原发致病因素还是继发于肺泡蛋白沉着症。例如巨细胞病毒,卡氏肺孢子虫,组织胞浆菌感染等均发现有肺泡内高蛋白沉着。

虽然启动因素尚不明确,但基本上同意发病过程为脂质代谢障碍所致。即由于机体内、外因素作用引起肺泡表面活性物质代谢异常。到目前为止,研究较多的有肺泡巨噬细胞活力,动物实验证明巨噬细胞吞噬粉尘后其活力明显下降,而病员灌洗液中的巨噬细胞内颗粒可使正常细胞活力下降,经支气管肺泡灌洗治疗后,其肺泡巨噬细胞活力可上升。而研究未发现Ⅱ型细胞生成蛋白增加,全身脂代谢也无异常。因此目前一般认为本病与清除能力下降有关。  

病理[编辑 | 编辑源代码]

肺大部分呈实变,胸膜下可见黄色或黄灰色结节,切面有黄色液体渗出镜检示肺泡及细支气管内有嗜酸PAS强阳性物质充塞,是Ⅱ型肺泡细胞产生的表面活性物质磷脂与肺泡内液体中的其它蛋白质和免疫球蛋白结合物肺泡隔及周围结构基本完好。电镜可见肺泡巨噬细胞大量增加,吞噬肺表面活性物质,胞浆肿胀,呈空泡或泡沫样外观。  

临床表现[编辑 | 编辑源代码]

发病多隐袭,典型症状为活动后气急,以后进展至休息时亦感气急,咳白色或黄色痰、乏力消瘦继发感染时,有发热脓性痰。少数病例可无症状,仅X线有异常表现。呼吸功能障碍随着病情发展而加重,呼吸困难紫绀亦趋严重。

胸部X线表现为从两侧肺门向外放散的弥散性边缘模糊细小结节阴影,常融合成片状,病灶之间有代偿性气肿或形成小透亮区。  

诊断[编辑 | 编辑源代码]

主要根据支气管肺泡灌洗物检查或经纤支镜或剖胸活检作出病理诊断。咳出的痰经80%乙醇固定,PAS染色有15%阳性的脂质。

诊断依据:

少数病例可无症状,仅X线有异常表现。呼吸功能障碍随着病情发展而加重,呼吸困难伴紫绀亦趋严重。  

治疗[编辑 | 编辑源代码]

主要针对如何清除沉着于肺泡内蛋白样物质。近年来用双腔气管导管(Carlen导管)或纤支镜作一侧肺或肺叶生理盐水灌洗,定期交替进行。近期疗效显示患者呼吸困难和肺功能均有改善,半数患者X线胸片可变清晰。远期效果则多数保持缓解状态,少数患者复发,常在6-24个月内,可再作肺灌洗。

肺泡蛋白沉着症(Pulmonary alveolar proteinosis,PAP)是一少见呼吸病,以肺泡及终末呼吸性细支气管内沉着大量的表面活性蛋白及脂质为特征。根据发病,可将其分为原发性PAP 与继发性PAP两类。继发性PAP的治疗原则为治疗原发病。

对于原发PAP,明确有效的治疗方法是支气管肺泡灌洗,即通过灌洗清除肺泡内沉着的蛋白质和脂质。其效果取决于肺灌洗量,分次单侧全肺盥洗较纤支镜盥洗效果好。然而,当患者肺功能严重损害时则无法接受这一治疗方法。其原因是盥洗一侧肺内很少有可交换的气体,结果引起低氧血症甚至呼吸衰竭。虽然可选择体外循环或在高压氧舱进行全肺灌洗,但会增加费用和并发症,也不便于操作。此外,灌注结束时肺内残留的液体可达0.5-1.0升,需2-3天才能吸收干净,也会影响患者呼吸功能。

为克服这些不足,自1999年始试用了自己改良的全麻密闭加压给氧分侧肺盥洗术,与以往方法的差别是新方法中有2个重要的改良:1、肺盥洗时给予密闭加压给氧。向肺内灌注生理盐水至单侧肺总量后,手动挤压给氧同时保持呼气末正压5厘米水柱,使其中纯氧和肺泡内盥洗液充分混合30-60次后再回收盥洗液。2、在首次和结束前的两次盥洗液中,均在生理盐水盥洗液中加入肾上腺素(1mg/L)。

第一个改良有三个有益作用:(1)使盥洗液与肺泡充分接触,增加盥洗效果;(2)改善氧合功能,特别适合单侧肺通气不能保持氧分压安全范围者。因为它可以使纯氧混合在液体中,充分与肺泡接触而增加氧合。如果术中氧饱和度降低,除调整非盥洗肺的吸氧浓度和呼吸支持参数外,还应增加盥洗肺侧的给氧挤压时间。(3)在盥洗肺侧加压给氧的同时,可由于肺泡内压的升高而减少分流量和改善动脉血氧分压。第二个改良的有益作用是在生理盐水盥洗液中加入肾上腺素后,不但有利于舒张支气管和回收盥洗液;而且有利于吸收肺泡内残留液体,减少其对呼吸功能的影响。

目前新方法已经应用到少数的患者,均取得了明显的效果。  

相关资料[编辑 | 编辑源代码]

肺泡蛋白沉积症的多层CT表现及影像病理学对照研究

肺泡蛋白沉积症(pulmonary alveolar proteinosis'pap)是一种罕见的肺部疾病,病因不明,临床表现以活动后气促、咳嗽、咳少量白色黏液痰为主,无特征性,极易误诊[1],诊断主要依赖于病理学检查。多层ct(msct)的问世,使单次屏气时间内完成高质量的全肺薄层扫描成为现实,极大提高了图像的时间和空间分辨率,胸部高分辨率ct(hrct)还能清晰显示次级肺小叶为单位的肺内细微结构,极大提高了ct在肺部疾病诊断中的应用价值。本文收集经病理证实的6例pap,综合国内外有关文献 ,探讨pap的影像病理学联系及其多层ct表现特征,旨在提高对本病的认识和诊断。

1 资料与方法

1.1 一般资料

收集2000年1月~2005年6月经病理学证实的6例pap患者作为研究对象。男4例,女2例,年龄25~55岁,平均42岁。病程7个月~10.3年,其中1例有粉尘接触史5年。临床症状包括:气促(6例)、咳嗽咳痰(5例)、胸痛(2例)、痰中带血丝(1例)及发热(1例)。体格检查: 2例无明显阳性体征;4例出现双下肺湿啰音;杵状指1例;紫绀1例。

1.2 影像学检查

采用ge lightspeed qx/i多层ct扫描机,常规行胸部ct平扫及增强扫描,范围自肺尖扫至肺底。扫描参数:层厚5mm,螺距6∶1,床速15mm/s,管电流210ma,管电压120kv。增强扫描所用对比剂碘帕醇(300mgi/ml),经高压注射器给药,剂量80ml,注射流率2.5ml/s,给药开始后32s进行增强扫描。其中4例同时进行病变区hrct扫描,扫描参数:管电流250ma,管电压120kv,层厚1.25mm,间隔1mm,骨算法重建。

1.3 组织病理学检查

6例患者均在多层ct检查后接受支气管肺泡灌洗(bal)及经支气管肺活检(tblb)'其中2例因tblb未确诊再行经皮肺穿刺活检明确诊断。bal液(balf)沉淀物及活检肺组织行he染色、过碘酸雪夫(pas)染色及奥辛蓝(ab)染色,在光学显微镜下观察。

1.4 影像学评价

采用单盲法由从事影像诊断的教授1名,主治医师2名,分析6例患者的多层ct平扫及增强表现,以活检结果为对照,探讨pap的影像病理学联系及其多层ct表现特征。

2 结果

2.1 多层ct表现

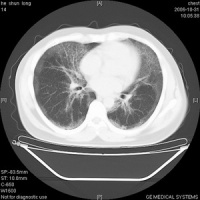
本组共6例经病理学证实为pap患者,其多层ct诊断结果分别为:特发性肺间质纤维化2例;浸润型肺结核1例;肺泡癌1例;肺炎1例;肺泡蛋白沉积症1 例,诊断正确率17%。6例患者均见双肺散在分布的毛玻璃样高密度影,密度欠均匀,形态呈三角形、方形和多边形,少数呈圆形、弧形或线形,全部病灶边界清楚。其中4例可见部分病灶融合呈片块状。所有患者病变分布以肺门区及肺野外带为主,上下肺叶均可见到,在周围正常肺组织衬托下。4例患者的hrct图像还可见到在斑片状毛玻璃影中增多、增粗、紊乱的肺小叶间隔,呈铺路石样(crazy paving appearance)表现[4'5],见图2。病变与周围肺组织分界清楚,相邻肺组织未见明显异常表现。本组所有病例未见支气管气像,msct增强扫描均未见病灶强化以及纵隔肺门淋巴结肿大征象。心脏大小形态在正常范围。

2.2 病理学表现

病理学发现此6例患者肺泡腔内充满大量粉红色云絮状、无定形蛋白样物质。4例患者病变区内见小叶间隔水肿、增厚,可见淋巴细胞浸润。所有患者肺泡间隔无明显纤维组织增生以及肺泡结构未见破坏。全部病例肺灌洗均可见乳白色牛奶样混浊液,3例可见沉淀物。全部病例过碘酸雪夫(pas)染色均为阳性,奥辛蓝(ab)染色均为阴性。

3 讨论

肺泡蛋白沉积症临床非常罕见,由rosen等[6]于1958年首先报道,其病因及发病机制至今仍不清楚, 目前认为与肺泡表面物质代谢异常或肺泡巨噬细胞的清除异常有关,部分患者还可能与粉尘或某些化学物质吸入所致的特异性反应有关,也可能与自身免疫机制障碍、血液淋巴系恶性肿瘤以及细胞毒性药物的应用有关3.1 影像与病 理学 联系 肺泡腔内充满大量粉红色云絮状或细颗粒状无定形蛋白质样物质为pap的主要病理改变,而肺泡壁、支气管壁和胸膜病变不明显。病变区与相邻正常肺组织界限清楚,肺泡结构保持完整,肺泡间隔多数正常,少数可因间隔水肿及淋巴细胞浸润而增厚[8]。病变 发展的不同阶段,肺泡蛋白沉积症出现不同的影像学征象。当病变仅累及肺泡腔,以蛋白质样物质充填肺泡腔为主,而肺泡间隔无水肿及炎症细胞渗出时,ct检查可见肺野内毛玻璃样斑片状高密度影,病变与周围正常肺组织形成明显分界,在肺野中呈地址样表现[2'3]。本组所有患者均可见此征象。其形成机制尚不明确,可能与病变分布以肺小叶为单位,小叶间隔在一定程度上限制了病变蔓延有关。根据 文献,即使做过肺灌洗的患者,其剩余的肺实变仍然边界清楚[5]。msct增强扫描病灶未见强化,说明病灶缺乏血供及无肉芽组织形成。当病变累及小叶间隔,小叶间隔因水肿及炎症细胞浸润而增厚时,hrct上可见实变区出现增厚的小叶间隔,围绕实变的肺小叶形成铺路石样表现,具有一定的特征性[4'5]。本组4 例患者见此征象。hrct能够清楚地显示pap患者的次级肺小叶结构,发现胸部x线平片及常规ct所不能发现的pap患者肺小叶及小叶间隔病变,从而更好地评定病变范围及严重程度,具有重要价值。本组中hrct图像显示pap患者增粗的肺纹理符合小叶间隔走行,与肺部纤维化表现不同,病理学上pap患者的小叶间隔也无纤维化改变发生。pap病变分布以双肺多见,可仅累及一侧[9],肺野中央及外周均可发生,上下肺分布无明显差异[3'9'10]。文献报道当实变肺泡与含气肺泡混杂并存时,还可见到实变阴影内出现蜂窝状透光区,但是支气管气像不多见[9]。本组病例中均未见。肺泡蛋白沉积症为非感染病变,部分学者认为该病不伴有纵隔、肺门淋巴结肿大,若出现明显淋巴结肿大则多数与感染有关[11]。本组所有病例均未见到纵隔、肺门淋巴结肿大。

总之,对于肺部弥漫性病变,ct表现为地址样及铺路石样时,高度提示pap诊断。胸部ct扫描特别是hrct能提高对pap的早期正确诊断。[4'7'8]。本病好发于30~50岁成人,偶见于儿童及老年患者,男性多于女性。多数患者起病隐袭,临床表现无特征性,常见症状为活动后气促、咳嗽、咳少量白色黏液痰,亦可为干咳无痰。低热、乏力、胸痛、咯血者少见,部分病例可咯出小块胶冻样物质。部分患者体格检查可闻及少许肺底部湿啰音,约1/5患者出现杵状指,重者可致发绀。患者预后差异大,部分可自行缓解,复发常见,约1/3患者因呼吸衰竭或合并感染而死亡。

参考[编辑 | 编辑源代码]