肠息肉

来自医学百科

肠息肉泛指直肠粘膜表面向肠腔突出的隆起性病变,包括有腺瘤(其中有绒毛状腺瘤),儿童型息肉、炎

Bkh7d.jpg

症息肉及息肉病等。从病理上来看,其内容不一,有的是良性肿瘤,有的是炎症增生的后果。但由于肉眼看来大体相似,因此这一含意笼统不清的病名“息肉”一直被习惯采用。直肠是息肉常见的所在,更由于易于发现和处理,因而受人重视。

凡是大肠黏膜上任何向肠腔突起的赘生物,无论其大小、形状和组织学类型如何,临床均统称为“息肉”或“多发性息肉”,也称“息肉病”属于肿瘤的范畴,部分为类癌;介于良性肿瘤与恶性肿瘤]之间。病理检查可分为管状腺瘤、绒毛状腺瘤和管状绒毛状(混合型)腺瘤、腺瘤样息肉(包括乳头状腺瘤)最常见,炎性息肉,肠粘膜受长期炎症刺激增生的结果,错构瘤型息肉,其他,如粘膜肥厚增生形成增生性息肉淋巴组织增生,类癌等疾。临床上息肉可为单个多个,以大肠息肉多见且症状较明显。  

发病原因[编辑 | 编辑源代码]

肠息肉是由于人体先天遗传易感病态因素,在后天的情绪、饮食、炎症、感染免疫能力下降等因素刺激、诱发下形成肠息肉、胃息肉。由此导致复发、再生、癌变、家族人员相继发病的根本原因是人体先天遗传易感病态因素得不到调整。这一根本的原因称之为致息理论。过去医界对肠息肉的成因有多种观点。如饮食因素、精神因素、功能因素等等说法不一,但都难以解释清楚息肉形成、再生、复发、恶变、易感人群相继发病的机理。我们发现关键的致息原因后,才率先在肠息肉、胃息肉的致癌因素、息肉瘤体分型、发病机理、药理、实验、临床等领域进行了广泛、深入细致的探索研究、系统根治和防治复发等方面,取得了重大突破和质的提高。  

临床表现[编辑 | 编辑源代码]

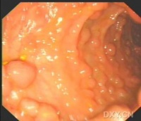
肠息肉

本病由于病理性质的类型不同,而临床表现或有差异,但主要以便血、粘液便或便秘腹痛、腹泄为常见症状。

大肠腺瘤常无任何自觉症状,而是在结肠镜检查或X线钡剂灌肠时偶然发现。大便带血或粘液血便是其多见症状,每次排便均见,并不与粪便混合,或在粪便表面;血色鲜红,量不多,夹有粘液,有时忽然大量出血;长时期慢性失血可导致贫血。位于直肠的较大腺瘤可以引起大便次数增多或肛门有下坠感,很低的腺瘤大便时可脱出肛外。在个别情况,结肠腺瘤有可能引起肠套叠、腹绞痛。

儿童型息肉以便血、腹泻、息肉脱出或腹痛、贫血等症多见,有时还可并发先天性畸形,如先天性心脏病等;其血便色泽鲜红,附于粪便表面,不相混杂,出血量一般不大,甚似内痔出血。

家族性息肉病,早期可完全无症状,出现症状的年龄平均约20岁左右;其临床表现亦主要是大便带血、便次增多或解稀便,常有较多粘液便;有的病人排便时可见大小息肉脱至肛门。此外,患者还可有不同程序的腹部不适,以及疲乏、无力消瘦等全身症状。  

临床诊断[编辑 | 编辑源代码]

(1)家族性结肠息肉病[编辑 | 编辑源代码]

①多有家族遗传史,青少年发病较多。

②可无症状,或出现腹痛、腹泻、血便或粘液血便、贫血、低蛋白血症低血钾肠梗阻等。

③结肠镜检查,息肉形态多样,球形、梨形或有分叶,单个或多个,多有蒂,表面光滑或有糜烂渗血,病理活检可以确诊。

④X线钡剂检查可见充盈缺损。  

(2)结肠息肉[编辑 | 编辑源代码]

便血或粘液便。

②可有里急后重、便包、或排便次数增多等。

③X线钡剂灌肠可有充盈缺损。

纤维肠镜检查,可见单个或多个肿块。

⑤病理切片明确诊断。  

(3)直肠息肉[编辑 | 编辑源代码]

①大便带血,色鲜红、量不多,无自觉疼痛。排便时息肉可脱出,排便后还纳。偶可见粪便上有勾槽,多见于儿童。

②肛指检查可触及圆形、质软、有弹性、带蒂或无蒂之大小不等,单个或多个肿物。

③直肠镜或乙状结肠镜检查,常可见肿物,并可采取活体组织明确诊断。

④X线钡剂灌肠,可确定息肉部位及数目,可助鉴别诊断。  

预防[编辑 | 编辑源代码]

研究表明:

预防肠息肉的秘诀十分简单,就是常吃碱性食物以防止酸性废物的累积,因为酸化的体液环境,是正常细胞突变的肥沃土壤,调整体液酸碱平衡,是预防细胞增生和突变的有效途径

A) 养成良好的生活习惯,戒烟限酒。吸烟,世界卫生组织预言,如果人们都不再吸烟,5年后,世界上的癌症将减少1/3;其次,不酗酒。烟和酒是极酸的酸性物质,长期吸烟喝酒的人,极易导致酸性体质。

B) 不要过多地吃咸而辣的食物,不吃过热、过冷、过期及变质的食物;年老体弱或有某种疾病遗传基因者酌情吃一些防癌食品和含碱量高的碱性食品,保持良好的精神状态。

C) 有良好的心态应对压力,劳逸结合,不要过度疲劳。可见压力是重要的癌症诱因,中医认为压力导致过劳体虚从而引起免疫功能下降、内分泌失调,体内代谢紊乱,导致体内酸性物质的沉积;压力也可导致精神紧张引起气滞血淤、毒火内陷等。

D) 加强体育锻炼,增强体质,多在阳光下运动,多出汗可将体内酸性物质随汗液排出体外,避免形成酸性体质。

E) 生活要规律,生活习惯不规律的人,如彻夜唱卡拉OK、打麻将、夜不归宿等生活无规律,都会加重体质酸化,容易患肠息肉。应当养成良好的生活习惯,从而保持弱碱性体质,使细胞增生,突变疾病远离自己。

F) 不要食用被污染的食物,如被污染的水,农作物,家禽鱼蛋,发霉的食品等,要吃一些绿色有机食品,要防止病从口入。  

治疗[编辑 | 编辑源代码]

手术治疗[编辑 | 编辑源代码]

摘除息肉的方法主要是内镜下行各种摘除法。根据息

家族性肠息肉病施行结肠切除术图示

肉的形态、大小、数量及蒂的有无、长短粗细而分别采用不同的手术方法:

①高频电凝圈套切除法:主要用于有蒂息肉。

②高频电凝灼除法:主要用于多发半球状小息肉。

③高频电凝热活检钳法:目前很少应用主要被高频电凝灼除法和活检钳除法取代。

激光气化法和微波透热法:适于无需留组织学标本者。

⑤活检钳除法:主要用于单发或少数球状小息肉简便易行又可取活组织病理检查。

⑥粘膜剥离嵌除法:主要用于扁平息肉或早期癌患者。

⑦分期批摘除法:主要用于10~20颗以上息肉患者无法一次切除者。

⑧密接摘除法:主要用于长蒂大息肉,难以悬于肠腔者采用大息肉密接肠壁电凝切除法。

⑨内镜外科手术联合治疗法:主要用于息肉病患者,即将息肉稀疏区以手术切除,这样即可达到治疗目的,又可维持大肠正常功能。

手术对人身体本身伤害很大,在酸性体质环境下伤口愈合慢,患者身心都会受到很大的影响,而且手术并不一定就能根除肠息肉,肠息肉会癌变,只有真正通过改善自身的体液,才能真正的根除肠息肉。  

食疗法[编辑 | 编辑源代码]

要治疗肠息肉还得从改善自身的体质开始,从源头上根治肠息肉。多吃碱性食品,改善自身的酸性体质,同时补充人体必须的有机营养物质,这样才能恢复自身的免疫力。

七,常见食物的酸碱性

1.强酸性食品:蛋黄、奶酪、白糖做的西点或柿子、乌鱼子、柴鱼等。

2.中酸性食品:火腿、培根、鸡肉鲔鱼猪肉、鳗鱼、牛肉、面包、小麦、奶油、马肉

等。

3.弱酸性食品:白米、落花生、啤酒、酒、油炸豆腐、海苔、文蛤章鱼,泥鳅

4.弱碱性食品:红豆、萝卜苹果甘蓝菜、 洋葱、豆腐等。

5.中碱性食品:萝卜干、大豆、红萝卜、蕃茄、 香蕉、橘子、番瓜、草莓蛋白、梅干、柠檬菠菜等。

6.强碱性食品:恰玛古、葡萄茶叶、海带芽、海带,柠檬等。

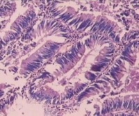
大肠腺瘤
大肠腺瘤

区别肠息肉和大肠腺瘤

大肠癌癌前病变肿瘤性息肉(又称大肠腺瘤)。统计表明,80%的大肠癌都是由大肠腺瘤演变而来的。而大肠息肉和大肠腺瘤是两个并不完全相同的概念。

息肉≠腺瘤,大肠息肉是指自黏膜表面突向肠腔的隆起性病变,可以带蒂或不带蒂。在大肠息肉中,有些是肿瘤性息肉,有些是非肿瘤性息肉。其中,肿瘤性息肉占70%-80%,与大肠癌关系密切,而非肿瘤性息肉,如炎症性息肉、增生性息肉、错构瘤性息肉,它们的发生、发展与大肠癌关系不大。

切除息肉一定要开刀吗?

随着医疗技术的发展,现在,大部分结肠息肉的切除已不需要开刀。近几十年,随着纤维内镜、特别是电子内镜的问世,内镜技术飞速发展,尤其是内镜下治疗技术发展得最快,内镜下息肉切除术已是很成熟的一种治疗方法。其适应症有:

(1)各种大小的有蒂息肉和腺瘤;

(2)直径小于2cm无蒂息肉和腺瘤;

(3)多发性腺瘤和息肉,分布分散,数目较少。

可以说,内镜下肠息肉切除已成为肠息肉治疗的常规方法,除了极少部分直径过大、内镜下形态明显恶变或数目过多者外,一般均可在内镜下将肠息肉完整切除。对比开刀,内镜下进行息肉切除具有明显优势。美国Bernard曾报道剖腹手术后,病人恢复正常生活平均要28天,而内镜下切除息肉,恢复正常生活平均仅需2天,且费用也仅是开刀的1/3。内镜下进行息肉切除对身体损伤小、痛苦少,对年老体弱或婴幼儿均适用,因此该方法现已广泛普及。 

息肉导致小儿便血

患儿究竟患的是什么病呢?经过肠道清洁等准备后,在静脉麻醉下,对患儿实施了全大肠电子结肠镜检查术。结果发现患儿的直肠黏膜上有一直径约2厘米的息肉,伴有表面糜烂与渗血———原来这是孩子便血的罪魁祸首。

幼年性息肉其实是错构瘤性息肉,并不是真性恶变,多发生在婴儿、儿童患者的结肠及直肠,是小儿便血常见的原因。这种息肉发生恶变的概率极小,但长期的慢性失血会给正处于生长发育关键时期的儿童造成影响。所以如果孩子出现不明原因的大便出血,家长切不可掉以轻心。  

肠息肉的四个常见信号[编辑 | 编辑源代码]

大肠息肉是指肠腔内黏膜表面的隆起病变,多见于直肠和乙状结肠。大肠息肉很常见,发病率随年龄增长而逐渐增高,且有一定的恶变倾向,恶变率约为10%。大肠息肉可单发,也可多发。当息肉数量很多,超过100枚以上时,称为大肠息肉病。

大肠息肉常隐匿起病。常见信号主要有4个:  

①大便带血[编辑 | 编辑源代码]

不少饮食起居不规律、大便秘结的青年人常有大便带血,若自我药疗1周后还有出血,或用药好转后,症状常有反复,需及时去医院就诊。  

②大便习惯和性状改变[编辑 | 编辑源代码]

若发现大便变细、有凹槽、有黏液,原本一天一次大便,现在变为两三天一次或一天两三次,就需要引起重视了。  

③便秘和腹泻[编辑 | 编辑源代码]

长期腹泻和便秘的病人,若药物疗效不佳,就需进一步检查,排除大肠息肉可能。  

④腹痛[编辑 | 编辑源代码]

有长期腹部隐痛者应行肠镜检查,在排除大肠息肉后,再进行对症处理。  

肠息肉如何检查?[编辑 | 编辑源代码]

息肉可怕,却不难发现,也不难鉴别。

在肠镜下,有经验的医生从息肉的大体形状,大致可判断其良恶性。一般来说,带蒂的、直径小于2厘米、表面光滑、镜子推动时活动度好的常为良性,如炎症性、腺瘤性息肉;但如果是扁平的、直径较大(大于2厘米)、表面污秽、有出血溃疡、镜子推动活动度差的,往往恶性的机会较大。

美国一项研究显示,直径小于1厘米的息肉,恶变概率约为l%;l~2厘米间的腺瘤,恶变可能也仅有10%;而大于2厘米的腺瘤,则有46%会恶变。如果是家族性的多发腺瘤,恶变的概率就更大了。

有些息肉由于比较小或非常扁平,经验不足的操作医生可能让其在眼皮底下逃过一劫,经验丰富的医生会有更加“锐利”的眼睛,对可疑之处借助色素内镜与放大内镜等技术,使之无处遁形,再根据息肉表面的腺管开口类型,作出初步性质判断。

当然,这样的判断仅仅是初步的,“终审”仍需将息肉完整切除后送病理检查  

小心结肠炎危及生命[编辑 | 编辑源代码]

很多结肠炎患者不以为然,在患者心里结肠炎也就是经常拉拉肚子,常伴里急后重,偶尔会伴随腹痛等,也没什么大不了的,但是有俗话说:患上结肠病,丢掉半条命,这源于结肠炎的并发症

●大量便血:便血是结肠炎的主要临床表现之一,便血的多少也是衡量病情轻重的指标。

肠狭窄:多发生在病变广泛、病程持续长达5-25年以上的结肠炎患者,其部位多见于左半结肠,乙状结肠或直肠,临床上一般无症状,严重时可引起肠阻塞,在结肠炎出现肠狭窄时,要警惕肿瘤,鉴别良性恶性。

肠穿孔:多为中毒肠扩张的并发症,也可出现严重型,多发生于左半结肠,皮质激素的应用被认为是肠穿孔的一个危险因素。

●中毒性肠扩张:这是结肠炎的一个严重并发症,多发生在全结肠炎的病人,死亡率可高达44%,临床表现为病情迅速恶化,中毒症状明显,伴有腹泻、腹部压痛反跳痛肠鸣音减弱或消失,白细胞数增多,易并发肠穿孔。

结肠癌:约5%的结肠炎患者发生癌变,幼年起病和病史超过10年者。

长沙肛泰肛肠医院肛肠专家提醒:结肠炎又称非特异性溃疡性结肠炎,起病多缓慢,病情轻重不一,腹泻是主要症状,排出脓血便、粘液血便或血便,常伴里急后重,有腹痛→便意→排便→缓解的特点。 发现这些症状一定要及时到正规专科医院接受检查,配合医生治疗。

长沙肛泰肛肠专科医院率先引进美国肠SPA水疗系统,它不同于传统的灌肠方法,是一种“清理为先,调理为后,慢病快治、不药而愈”的专门针对肠炎、长期便秘、腹泻等肛肠疾病的一种新的生态治疗技术,不仅对治疗便秘、肠炎等肛肠疾病效果显著,而且对于皮肤病肥胖痤疮、色斑等也有很好的疗效,达到同一途径治疗多种疾病的目的,对肠道起到很好的调理作用,能改善肠道环境,有益身心健康。