缺血缺氧性脑病

来自医学百科

H/I:Hypoxic ischemia

缺氧 缺血  

概述[编辑 | 编辑源代码]

H/E是围产期新生儿因缺氧引起的脑部病变,

主要由宫内窘迫、新生儿窒息缺氧引起,少数可发生在其他原因引起的脑损害。多发生在窒息人足月儿,但也可发生在早产儿。  

诊断[编辑 | 编辑源代码]

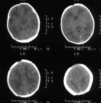
1.影像学诊断 提高了诊断的准确率。

(1)头颅B型超声(B超)检查:以婴儿前囱为窗,作冠状面矢状面扇形超声检查。可在床旁操作,无射线影响,还可多次追踪检查,优点较多。对脑水肿、脑实质病变和脑室增大显示清楚。

(2)头颅计算机扫描摄影(CT)检查:作头颅水平位横断面多层次摄片。对硬膜下少量出血蛛网膜下出血的显示较B超检查清楚,因此CT和B超互补检查可更提高诊断率。

2.脑电图和脑电功率谱检查 脑电图可出现异常棘波,脑电功率图可发现功率降低或错位。

3.脑脊液检查 为减少对患儿的扰动,应避免作脑脊液检查,只有在需要排除化脓性脑膜炎时才作这项检查。值得注意的是正常新生儿脑脊液可能有极少量红细胞进入脑脊液,或因黄疸使脑脊液呈淡黄色。并不表示有颅出血。  

治疗措施[编辑 | 编辑源代码]

预防重于治疗,一旦发现胎儿宫内窘迫,立即给产妇供氧,并准备新生儿的复苏和供氧,出生后让患儿平卧,头稍抬高,少扰动。

缺血缺氧性脑病

1.供氧 根据病情选用各种供氧方法,保持血氧PaO2在6.6~5.9.31kPa(50~70mmHg)以上,PaCO2在5.32kPa(40mmHg)以下,但敢防止PaCO2过低,以免脑血流过少。

2.维持正常血压,避免血压过大波动,以保持脑血流灌注的稳定。血压低时可用多巴胺(3~μg/kg/min连续静滴)和多巴酚丁胺(3~10μg/kg/min连续静滴),并监测血压。

3.纠正代谢紊乱 轻型酸中毒呼吸性酸中毒在改善通气后可得到纠正,只有在中、重度代谢性酸中毒时才用碳酸氢钠,剂量不宜过大,维持血pH在7.3~7.4。低血压糖时静点滴10%葡萄糖,首剂2ml/kg,以后5ml/kg.h,维持血糖在2.80~5.04mmol/L(50~90ml/dl)。由于窒息后脑啡呔增加,有人试用纳洛酮(naloxone)静脉点滴5~10μg/kg.h,至总量0.1mg/kg.d,以拮抗脑啡呔。

4.控制惊厥 可用苯巴比妥负荷量15~20mg/kg静滴,12小时后用维持量3~5mg/kg.d。

5.控制脑水肿 控制液体进入量在60~80ml/kg/d。脱水剂可用甘露醇,每次~0.75/kg,每4~6小时一次,但脱水剂不可过量。脱水剂虽可减轻脑水肿,但不能减轻脑损伤。

缺氧缺血性颅内出血

缺氧缺血性颅内出血以早产儿多见,胎龄愈小发生率愈高。出血部位以室管膜下的尾状核最多见,易破入临近的侧脑室而成为室管膜下-脑室内出血(SEH-IVH)。  

发病机理[编辑 | 编辑源代码]

尚未完全明了,有待深入研究。

1.脑血流量调节功能降低 正常新生儿脑血管舒张和收缩来调节进入脑组织的血流量,当血流量减少时脑血管舒张,而当血流量增加时脑血管则收缩,

缺血缺氧性脑病

以这种功能保持进入脑组织的流量相对稳定、缺氧缺血时血压波动大,血流量的变化多,但此时脑血管的调节功能却已降低,当血压降低,血流量减少时,脑血管未能及时舒张,形成脑的低灌注,待血压升高,血流量增加时,脑血管又未能及时收缩,转变成高灌注,在这转变过程中最易发生脑水肿和颅内出血。而且低灌注本身也可引缺氧血性脑病

2.脑组织代谢的异常 人体各脏器组织的代谢以脑需要的氧和葡萄糖量最高。缺氧缺血时能量供应不足,影响脑组织的代谢也最大,表现在①氧自身虚夸(O2-)使细胞膜发生过氧化反应而受到损害,当毛细血管壁细胞受损后渗透性增加,造成脑水肿。②细胞膜上钙离子通道开放,细胞外Ca++流向细胞内,破坏细胞的生存。③脑组织中脑啡吠增加,直接抑制呼吸,增加缺氧程度。④缺氧缺血时发生代谢性和呼吸性酸中毒。以上脑组织代谢的异常导致脑组织软化、坏死、出血和形成空洞。

3.脑部对缺氧缺血的易感区 ①不同胎龄胎儿和新生儿脑的成熟部位不同,对缺氧缺血的易感程度也不同。细胞丰富、血管多、代谢率高的区域需氧量高,对缺氧缺血最敏感。早产儿的易感区在脑室管膜下的生发层,因该区在胎儿28±周时细胞代谢最活跃,而且该区毛细血管缺乏结缔组织的支持,容易出血。至胎龄32-34周后生发层的活跃细胞渐移至大脑皮层,留下的生发层由白质替代,但因属于动脉末梢区,供血量不足,仍可受缺氧缺血的影响。足月儿大脑皮层因活跃细胞的移入,成为易感区。②动脉末梢边缘区由于供血少,血压低,成为缺氧缺血的好发部位,足月儿的顶颞部是大脑前、中、后动脉末梢的交界区,最易发生病变、早产儿的脑室周围的白质区也属动脉末梢区,易发生组织软化。  

病理改变[编辑 | 编辑源代码]

缺氧缺血后脑部先出现水肿、软化、出血和坏死,以后形成空洞、脑室内、珠网膜下、硬膜下都可能出血、病程长者脑部可能萎缩

1.大脑病变 足月儿的病变多

缺血缺氧性脑病

在脑皮质,除水肿外尚有出血和坏死。形成小囊空腔后称多囊脑(spelencephaly),如形成大空洞称为空洞脑(porencephalen)。

2.颅内出血 早产儿出血部位多在室管膜下和脑室内,足月儿多在大脑实质内(IPH)。其他如硬膜下出血(SDH)和蛛网膜下腔出血(SAH)在足月儿和早产儿都可发生。

3.脑干病变 病变在脑干神经核或白质部痊。脑干也可因脑皮层的病变而出现继发必萎缩。

缺氧缺血性脑病多因是足月儿窒息引起,窒息愈严重,时间愈长,脑病愈严重,后遗症发生率也愈高。本病也可发生在早产儿,表现为脑室周围白质的软化(Periventricular Leukomalacia,PVLM)  

临床表现[编辑 | 编辑源代码]

出生前可能有提示宫内窘迫的病史,分娩时胎心可能增快或减慢,或第二产程延长羊水被胎粪污染,出生时有窒息史,复苏后仍有意识、肌张力、呼吸节律、反向等方面改变,甚至出现惊厥。根据病情可分为三度:

轻度 表现为过度兴奋,易激惹,肢体可出现颤动,肌张力正常或增高,拥抱反应和吸吮反射稍活跃,一般无惊厥,呼吸规则,瞳孔无改变。一天内症状好转,预后佳。

中度 患儿嗜睡,反应迟钝,肌张力降低,拥抱反射和吸吮反射减弱,常有惊厥,呼吸可能不规则,瞳孔可能缩小,症状在三天内已很明显,约一周内消失,存活者可能留有后遗症。

重症 患儿神志不清,肌张力松软,拥抱反射和吸吮反射消失,反复发生惊厥,呼吸不规则,瞳孔不对称,对光反应消失,病死率高,多在一击内死亡,存活者症状可持续数周,留有后遗症。

常见的后遗症有脑性瘫痪脑积水、智能低下、癫痫等,如脑室周围白质软化可能遗有运动障碍。  

预后[编辑 | 编辑源代码]

尤其是重症窒息60%~80%发生HIE,虽然轻度者预后良好,严重者则在新生儿早期死亡或造成不可逆的脑损害,包括智能低下、脑性瘫痪、癫痫及共济失调等。  

新生儿缺氧缺血性脑病[编辑 | 编辑源代码]

概述

新生儿缺氧缺血性脑病是指围产期窒息导致脑的缺氧缺血性损害,患者常在生后1周尤其头3天内出现一系列脑功能障碍表现。如烦躁不安或嗜睡、吐奶、尖叫、抽搐等症状。轻症患者预后良好,病情危重者,病死率高,幸存者可遗留后遗症,如智力低下,癫痫和脑性瘫痪。 围产期缺氧主要发生在宫内,约80 ̄90%发生在产前或产时,10%发生在产后。缺氧缺血性脑病多见于胎儿宫内缺氧胎盘功能异常、脐带脱垂、受压及绕颈;异常分娩如急产滞产、胎位异常;胎儿发育异常如早产、过期产及宫内发育迟缓,新生儿有严重肺部感染也可致此病。因此,预防本症首先应在怀孕后定期到医院进行产前检查并在医院分娩

缺血缺氧性脑病

临床表现

1.意识障碍:表现为中枢神经系统兴奋或抑制状态,或两者交替出现。前者表现为烦躁不安,易激惹、吐奶、尖叫;后者表现为嗜睡、反应迟钝、昏迷。 2.肌张力改变:增高、降低甚至松软,轻症病人肌张力正常。 3.原始反射异常:拥抱反射、握持反射过分活跃、减弱或消失,吸吮反射减弱或消失。 4.病情较重时可有惊厥,新生儿惊厥多表现在面部、肢体不规则、不固定的节律性抽动,如反复眨眼、眼球偏斜、震颤、凝视;口舌做吸吮、咀嚼、咂嘴等阵发性活动,上肢下肢做类似划船或踩自行车样周期性活动以及阵发性呼吸暂停等。 5.重症病例出现中枢性呼吸衰竭、瞳孔改变、间隙性肌张力增高等脑损伤表现。 6.部分病人出现前囟饱满、紧张。 7.并发症中以吸入性肺炎最多见。

诊断依据

1.有明确围产期缺氧史,特别是围产期重度窒息史患儿。 2.生后1周尤其头3天内出现异常神经症状,病情较重时前囟饱满、惊厥、中枢性呼吸衰竭等。 3.常合并吸入性肺炎,严重时可同时存在颅内出血。 4.颅脑CT及颅脑B超检查对诊断、分度、估计预后及鉴别诊断有一定意义。

治疗原则

1.加强围产期监护,防治窒息,及时复苏。 2.消除低氧血症,鼻导管或头罩给氧,鼻塞CPAP或人工通气。 3.减轻组织缺氧缺血引起的多脏器损伤。尤其注意脑、心、肺、肾功能的维持。 4.预防治疗感染

用药原则

1.轻症病例用药以用药框限“A”为主。 2.对脑部症状明显的重症病例用药可包括用药框限“A”、“B”、“C”。