病理学/弥漫性膜性肾小球肾炎

来自医学百科

弥漫性膜性肾小球肾炎(diffuse membranous glomerulonephritis)的主要病变为弥漫性肾小球毛细血管基底膜增厚,常伴有大量蛋白尿,是引起肾病综合征的主要原因之一。由于肾小球无明显炎症现象,故又称为膜性肾病。起病缓慢,病程长,多见于青年和中年人,儿童患者较少。

病理变化】

病变为弥漫性,镜下可见肾小球毛细血管壁增厚,通透性明显增加,早期病变轻,不易察觉,易与轻微病变性肾小球肾炎混淆。随病变进展,管壁增厚逐渐加重。

电镜下可见毛细血管基底膜表面,上皮细胞下,有多数细小的小丘状沉积物。基底膜表面形成许多钉状突起插入小丘状沉积物之间。银染色基底膜及钉状突起呈黑色。钉状突起与基底膜垂直相连形如梳齿(图12-17,图12-18)。免疫荧光法证实沉积物内含免疫球蛋白补体,多为IgG和C3,沿基底膜表面呈颗粒状荧光。早期沉积物和基底膜钉状突起少而细小,以后逐渐增多、增大,基底膜增厚,钉状突起伸向沉积物表面将沉积物包围,最后大量沉积物被埋藏在增厚的基底膜内,基底膜高度增厚(图12-19)。沉积物在增厚的基底膜内逐渐溶解,使基底膜呈虫蚀状。以后这些空隙由基底膜物质充填。由于基底膜高度增厚,故毛细血管腔狭小,甚至阻塞。系膜硬化,最后整个肾小球被玻璃样变。

膜性肾小球肾炎示意图


图12-17 膜性肾小球肾炎示意图

1.膜性肾小球肾炎的病变特点示上皮细胞下小丘状电子致密沉积物及毛细血管基底膜形成钉状突起插在沉积物之间2.膜性肾小球肾炎病变发展过程

Ⅰ期:基底膜表面小形丘状沉积物Ⅱ期:基底膜表面形成钉状突起插入沉积物之间,银染色形似梳齿Ⅲ期:沉积物被增生的基底膜包围,埋藏于基底膜内Ⅳ期:基底膜增厚,其中部分沉积物消散,呈虫蚀状

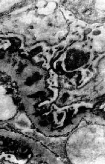
膜性肾小球肾炎


图12-18 膜性肾小球肾炎

电镜下见肾小球毛细血管基底膜表面,上皮细胞下电子致密沉积物,基底膜向表面突出伸入沉积物之间,上皮细胞足突融合

膜性肾小球肾炎


图12-19 膜性肾小球肾炎

电镜下见肾小球毛细血管基底膜增厚,电子致密沉积物被增生的基底膜包围并埋藏于基底膜内

肾小球毛细血管损伤,通透性显著增加,大量蛋白由肾小球滤过进入肾小管,部分被肾小管再吸收。近曲小管上皮细胞浊肿,胞浆内常有玻璃样变颗粒和大量脂肪空泡。晚期随肾小球病变加重,肾小管也萎缩。间质纤维组织增生,炎性细胞浸润较少。

肉眼观,早期可见肾肿胀,体积增大,色苍白。切面皮质明显增宽,髓质无特殊变化。晚期,肾体积缩小,表面呈细颗粒状。

【临床病理联系】

膜性肾小球肾炎是引起肾综合征最常见的原因之一。成人肾病综合征由膜性肾小球肾炎引起者约占40%,小儿仅占5%。膜性肾小球肾炎时,肾小球基底膜严重损伤,通透性显著增加,大量蛋白包括大分子蛋白都可由肾小球滤过引起严重的非选择性蛋白尿。由于大量蛋白由尿中排出,血浆蛋白降低,引起低蛋白血症血浆胶体渗透压降低,血管内液体渗入组织间隙,引起水肿。同时血容量减少,肾小球血流量和肾小球滤过减少,醛固酮抗利尿激素分泌增加,引起水钠潴留,进一步加重水肿。因此水肿很严重,往往为全身性,以眼睑和身体下垂部分最明显,严重者并可有胸水腹水

高脂血症的原因还不很清楚,可能由于低蛋白血症刺激肝合成各种血浆蛋白包括脂蛋白增多,因此病人有高脂血症和高胆固醇血症。由于血脂过高,血浆内的脂蛋白也可由肾小球滤过,引起脂尿症。

膜性肾小球肾炎时,肾小球内无明显增生和炎症现象。早期,毛细血管不狭窄,血流通畅,故血尿不多见,血压不高,无明显氮质血症。晚期,毛细血管阻塞,肾小球硬化,可引起高血压肾功能衰竭

【结局】

膜性肾小球肾炎起病缓慢,病程较长。病变轻者,症状可消退或部分缓解。多数则反复发作,对皮质激素治疗效果不显著。发展到晚期,大量肾单位纤维化、硬化,可导致肾功能衰竭和尿毒症